Cookie Consent byPrivacyPolicies.comPremier cas - Eugenol

Premier cas

magix

16/09/2012 à 12h18

Bonjour à tous,
voici mon premier cas d'Extraction implantation Immediate...
pour la plupart ce doit être un cas des plus simples...
Pour moi c’était pas mal de stress avant, pendant, et meme après...
je vous serais reconnaissant de me dire ce que vous en pensez...
Toutes vos remarques sont les bienvenues.

D'avance merci

Zaigouche said 1 x1flv2 - Eugenol
Img 0473 pqgnuy - Eugenol
Img 0483 uxegtf - Eugenol
Img 0488 ztcw6v - Eugenol
Img 0471 r65aww - Eugenol
Img 0481 nycfpw - Eugenol
Img 0485 xdvs9h - Eugenol
Zaigouche said 2 hvekru - Eugenol

albert

16/09/2012 à 12h32

clap clap clap !
Continue comme ça, tu n'as pas besoin de stresser pour bien faire.


Photo pluton1b h9n4ea - Eugenol
pluton

16/09/2012 à 12h32

joli...;-)
déstresses, çà devrait bien se passer...;-)


Photo pluton1b h9n4ea - Eugenol
pluton

16/09/2012 à 12h42

grillé par Albert!!! lol...

ah si, juste une petite remarque (oh pas grand chose...) pour tes points de sutures...si tu veux que les berges s'affrontent bien sans bailler, fais des points plus puissants type matelassier ou en X de part et d'autre de tes vis de cicat...;-)


3f3boxni50k58rq7e9ce9ddqrxgk - Eugenol
dentiste57

16/09/2012 à 13h26

moi, ce matin , j'ai pas envie d'être gentil, mais bon, comme c'est ton premier cas sur nonol, je ne peux que te souhaiter la bienvenu et t'encourager à en poster beaucoup d'autres.

bien sur toute la ligne! sauf positionnement de 24 en palatin
(fallait bien dire quelque chose de pas sympa)


Photo pluton1b h9n4ea - Eugenol
pluton

16/09/2012 à 13h46

dentiste57 écrivait:
--------------------

> bien sur toute la ligne! sauf positionnement de 24 en palatin
> (fallait bien dire quelque chose de pas sympa)

bof, allez, peut être de 0.5mm trop palatin...pas toujours évident à faire quand l'alvéole "aspire" naturellement les forets...
amha çà va pas changer grand chose pour la prothèse...et puis au moins il n'aura pas le risque de corticale vestibulaire trop fine...
c'est vrai, D57 c'est pas très sympa...moi je trouve qu'il s'en est vachement bien sorti!!!
continue, et post bien sûr, çà permet de progresser car les remarques c'est généralement constructif!!!


Cinquo ht16g4 - Eugenol
dentistevip

16/09/2012 à 13h50

attention, pluton va nous expliquer ce qu'est un point "puissant" LOL

il devait sans doute dire "efficient".


Photo pluton1b h9n4ea - Eugenol
pluton

16/09/2012 à 14h02

dentistevip écrivait:
---------------------
> attention, pluton va nous expliquer ce qu'est un point "puissant" LOL
>
> il devait sans doute dire "efficient".

oh si tu veux...mais tout le monde avait compris ce que je voulais dire...un point qui permette une traction plus efficace, ou "efficiente" comme tu le dis, du lambeau pour assurer une herméticité en une meilleure coaptation des berges

tout cela pour dire que ta remarque est aussi inutile que conne pour être parfaitement précis dans la description et le choix du vocabulaire adapté...mdr...


Pepsi tmi4vp - Eugenol
cartman

16/09/2012 à 14h05

Bonjour,

Merci d'avoir poste.
J'aurai deux questions.
1/as tu place une membrane pour ta rog?
2/ pourquoi le faire en un temps? Le risque d'echec de la rog est majore dans cette approche je pense?

Merci


magix

16/09/2012 à 14h37

cartman écrivait:
-----------------
> Bonjour,
>
> Merci d'avoir poste.
> J'aurai deux questions.
> 1/as tu place une membrane pour ta rog?
> 2/ pourquoi le faire en un temps? Le risque d'echec de la rog est majore dans
> cette approche je pense?
>
> Merci



Justement cartman...
J'avais prévu en amont; bio oss et membrane.
En examinant la paroi vestibulaire de l’alvéole après extraction...j'ai pensé que la résorption faisant l'option implantaire serait plus compliquée par la suite. J'ai donc posé l'implant en 24;
A posteriori je me dit que j'aurai du poser la membrane autour de l'implant pour éviter la compétition cellulaire et optimiser mon comblement.
On va dire que j'ai été ptit bras sur ce coup.


magix

16/09/2012 à 14h39

dentiste57 écrivait:
--------------------
> moi, ce matin , j'ai pas envie d'être gentil,

Mais ca me va bien... D57 hesite pas
> je ne peux que te souhaiter la bienvenu et t'encourager à en
> poster beaucoup d'autres.

merci à toi .


Logo m4n3gc - Eugenol
drmarcus

16/09/2012 à 14h41

Laisses tomber les critiques certains plus expérimentés ne font pas mieux.
Félicitations!

--
"La vis est à l'implant ce que la carie est à la dent!" (Pozzi)


120 81 mdkvjo - Eugenol
Monaco

16/09/2012 à 15h02

C'est tres beau, bravo, mais techniquement c'est trop fort pour moi, je débute donc je ne peux pas juger ton job je laisse mes ainés le faire.

Par contre, je pense qu'il faudrait supprimer le nom du patient sur la pano ..


magix

16/09/2012 à 15h12

Monaco écrivait:
----------------

> Par contre, je pense qu'il faudrait supprimer le nom du patient sur la pano ..



oui je m'en suis rendu compte à posteriori...et oui je débute partout....;-)


Avatar ow44t3 - Eugenol
Chicot

16/09/2012 à 16h29

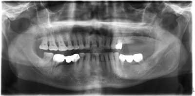
bravo ! Pour la 24, la prochaine fois commence avec un trépan dans le septum:

tes forets suivant ne seront plus déviés et tu aura un peu d'os à mélanger au Bio-Oss

Ici, pas besoins de membrane car ton défaut osseux est à 4 parois

dommage que tu sois si timide pour la longueur des implants, y'avait de quoi mettre un peu plus long et faire une mise en esthétique immédiate


--
;O)


magix

16/09/2012 à 17h07

Chicot écrivait:
----------------
> bravo ! Pour la 24, la prochaine fois commence avec un trépan dans le septum:
>
> tes forets suivant ne seront plus déviés et tu aura un peu d'os à mélanger au
> Bio-Oss
>
> Ici, pas besoins de membrane car ton défaut osseux est à 4 parois
>
> dommage que tu sois si timide pour la longueur des implants, y'avait de quoi
> mettre un peu plus long et faire une mise en esthétique immédiate

oui t'as raison, mais comme je ne suis encore rompu au bon positionnement tridimensionnel des implants, j'ai préféré me laisser un peu de marge au cas ou je dévie...


Images jm2g2g - Eugenol
dr_0le

16/09/2012 à 21h07

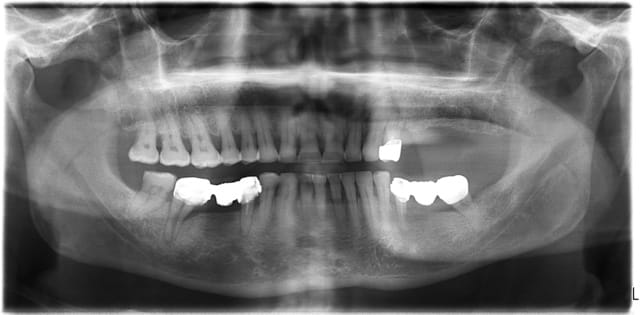
on ne voit pas trop sur les photos, mais j’espère que tu avais bien assaini en paro auparavant.. parce que la pano n'est pas très belle...

félicitations, et maintenant on attend l'oi =)


Pepsi tmi4vp - Eugenol
cartman

16/09/2012 à 21h55

Chicot écrivait:
----------------
> bravo ! Pour la 24, la prochaine fois commence avec un trépan dans le septum:
>
> tes forets suivant ne seront plus déviés et tu aura un peu d'os à mélanger au
> Bio-Oss
>
> Ici, pas besoins de membrane car ton défaut osseux est à 4 parois
>
> dommage que tu sois si timide pour la longueur des implants, y'avait de quoi
> mettre un peu plus long et faire une mise en esthétique immédiate
>
>
> --
> ;O)

Meme a 4 parois les particules de bio oss peuvent ne pas rester dans la zone a combler? Je ne fais que poser la question , j'en sais rien a vrai dire.:)


Avatar ow44t3 - Eugenol
Chicot

16/09/2012 à 21h58

cartman écrivait:
-----------------

> Meme a 4 parois les particules de bio oss peuvent ne pas rester dans la zone a
> combler? Je ne fais que poser la question , j'en sais rien a vrai dire.:)

si la suture est étanche, tu veux qu'elles aillent où ?


--
;O)


magix

17/09/2012 à 00h36

dr_0le écrivait:
----------------
> on ne voit pas trop sur les photos, mais j’espère que tu avais bien assaini en
> paro auparavant.. parce que la pano n'est pas très belle...
>
> félicitations, et maintenant on attend l'oi =)


oui, la pano date du jour de la consult,
on a fait un assainissement paro et d' autres soins on été entrepris entre temps.


Smile beach jgh0a1 - Eugenol
Céramik

17/09/2012 à 03h21


J'aime bien, j'aurais posé un peu plus long, mais bon, c'est bien.
J'aurais aussi enfoui les 24-25, par prudence pour un 1 er cas.

J'aime pas le bios, mais cela, c'est un autre sujet.


--
Céramik


magix

17/09/2012 à 03h28

Céramik écrivait:
>
> J'aime pas le bios, mais cela, c'est un autre sujet.


t'aurais placé quoi à la place ceramik?


Smile beach jgh0a1 - Eugenol
Céramik

17/09/2012 à 05h08

magix écrivait:
---------------
> Céramik écrivait:
> >
> > J'aime pas le bios, mais cela, c'est un autre sujet.
>
>
> t'aurais placé quoi à la place ceramik?

Ben, pas de bios...qui ne se transforme pas en os, ou bien seulement dans 10 ans et encore...c'est pas certain.

Je place soit de l'autogène( parfois), soit plus souvent de l'os de banque en granules (Puros, Mineros, autres).

Après 4 mois, tu as de l'os bien vivant et bien réel.


--
Céramik


Canin

17/09/2012 à 10h45

Je dis joli cas, sinon comme les autres, un peu timide sur la longueur, t aurais pu largement lui ramoner le bas fond sinusien pour aller poser un 12 mm sur le distal qui est une 6 mm je présume. Je sais, c est un peu facile après coup. ou sinon radio per op mais difficile à gérer sur le plan de l asepsie.

--
Canin


magix

17/09/2012 à 13h06

Canin écrivait:
---------------
> Je dis joli cas, sinon comme les autres, un peu timide sur la longueur, t aurais
> pu largement lui ramoner le bas fond sinusien pour aller poser un 12 mm sur le
> distal qui est une 6 mm je présume.

Non canin c'est un 8mm et 10mm en 24 ET 25


Pour les Summers on va attendre un peu... aller voir un ou deux confères qui en font...


12