Cookie Consent byPrivacyPolicies.comcas multidisciplianaires : adjointe alignement implanto ... - Eugenol

cas multidisciplianaires : adjointe alignement implanto ...

Fouilla h6plsy - Eugenol
fouilla

17/09/2012 à 14h54

voila je va d'abord mettre les photos dans l'ordre et pi je vais détailler dans un deuxième temps . vous pourrez vous lâcher sur tous les sujets être méchants gentils le fouilla est de bonne humeur .
--
.

R a oqs9g1 - Eugenol

Fouilla h6plsy - Eugenol
fouilla

17/09/2012 à 15h01

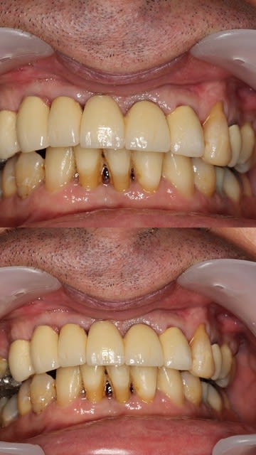
alors comme on ne voit pas grand chose reprenons en détails : paitent jeune 50 ans vient pour avis car ses dents antérieures se barrent et en bas ça se chevauche...

étape 1 on vire les antérieures rog (avec un matériau de comblement inapproprié en rog immédiate : nanobone + prf +mb collagénique pour garer le volume antérrieur)
étape 2: alignement en bas avec quelques boîtiers
étape 3 : contention sous digue

--
.

Ra 1 garuvj - Eugenol
Ra 2 d81nsh - Eugenol
Ra 3 v4utnp - Eugenol

Fouilla h6plsy - Eugenol
fouilla

17/09/2012 à 15h06

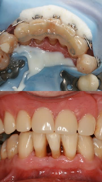
mise en place des implants : axiom 4 *12 attente d'ostéotintégration
puis à la mise en charge petit tracé d'incision affin d'essayer de récréer des papilles
réalsiation simultané d'un provisoire transvissé avec gestion des axes à gérer (au niveau de 12 émergence trop vestibulaire) uitilisation de faux moignon droit transvissés retouchés à la hauteur et modelage de l'émergence avec un flow
--
.

Ra 4 bsbdpb - Eugenol
Img 6377 ezjb1h - Eugenol
Shaping w1gupv - Eugenol

Fouilla h6plsy - Eugenol
fouilla

17/09/2012 à 15h11


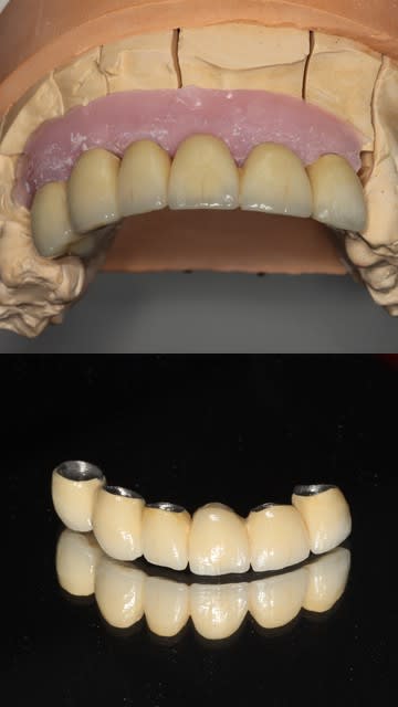
puis cicatrisation et empreinte pour travil conventionnel du labo / empreinte adaptés des contours gingivaux (merci noah)
surmepreinte impregum
puis coulé des modèles et envoi à simeda pour confecion des pilliers (pour gérer correctement axe et émergence.
enfin ce matin pose des faux moignons et mise en place de la prothèse conventionelle
voila
--
.

Rla 6 up8uzz - Eugenol
Ra7 zfhjfa - Eugenol
Rla 9 u7u9ch - Eugenol
Ra 8 uqc5s0 - Eugenol
Ra 10 k0qfhh - Eugenol

Fouilla h6plsy - Eugenol
fouilla

17/09/2012 à 15h15

en toute sincérité et même si cela choque je m'attendais à bien mieux mais nous sommes confrontés au fait que le patient habite très loin donc peu de visites .
et surtout au mois d'aout a cassé le provisoire gentiment rescellé par un confrère (!) alors qu'il s'agissait d'un transvissé .... je n'ai pas pris le temps de faire les photos en bouche mais les voici sur le modéles repositionnés

--
.

Rescellement fyu4dt - Eugenol

Homer simpson wallpaper brain 1024 f4t8dv - Eugenol
Jpeg

17/09/2012 à 15h27

qu'est-ce que tu aurais aimé de mieux ?
Parce que là c'est déjà très beau !(surtout quand on voit d'où on part )


200106 10150128247663588 709988587 6466236 5598391 n d7mksb - Eugenol
hallboy

17/09/2012 à 15h36

pour l'utilisatin des provisoires pour conserver gentiment le mm profil:

tu sort les prov
tu fixes les transferts dessus
tu fasi une clef en silicone du couple prov + analogues
tu laisse dans l'emp les analogues tu fixes les transferts
tu injectes de la resine qui va se fixer sur les transferts en simulant la zone d'emergence des prov

si j'ai bien compris?


Pepsi tmi4vp - Eugenol
cartman

17/09/2012 à 15h41

De quel logiciel de planification s'agit il? As tu commandé un guide chir?

Concernant l'aligement incisivo caniin inf, quelle séquence de fils a s tu utilisé sur quelle période?

Merci


Fouilla h6plsy - Eugenol
fouilla

17/09/2012 à 15h42

hallboy écrivait:
-----------------
> pour l'utilisatin des provisoires pour conserver gentiment le mm profil:
>
> tu sort les prov
> tu fixes les transferts dessus
> tu fasi une clef en silicone du couple prov + analogues
> tu laisse dans l'emp les analogues tu fixes les transferts
> tu injectes de la resine qui va se fixer sur les transferts en simulant la zone
> d'emergence des prov
>
> si j'ai bien compris?

tout à fait ça y est tout s'est évaporé :-))

--
.


Fouilla h6plsy - Eugenol
fouilla

17/09/2012 à 16h09


pas de logiciel de planification : élaboration avec plaque plastulène à partir du montage de la prothèse adjointe .pour la séquence de fils j'y reviendrai si tu veux bien en demandant à dame fouillette ce qu'elle m'a filé de mémoire un niti carré c'est tout.
--
.


Pepsi tmi4vp - Eugenol
cartman

17/09/2012 à 16h16

Image 3 du post 5 c'est bien un logiciel de planification non?
C'est quoi donc une plaque de plastulène? Comment ça marche?
Merci pour la séquence des fils ça m'interesserait beaucoup.

Merci d'avoir posté ce cas très intéressant en tout cas!


Img 3657 cwjvqm - Eugenol
alapex

17/09/2012 à 16h28

Bon , voilà tu as gagné , je vais me pendre .
P'tain j'aurais dû bosser au lieu de faire tous les tonus ...)))


Fouilla h6plsy - Eugenol
fouilla

17/09/2012 à 16h34

cartman écrivait:
-----------------
> Image 3 du post 5 c'est bien un logiciel de planification non?
> C'est quoi donc une plaque de plastulène? Comment ça marche?
> Merci pour la séquence des fils ça m'interesserait beaucoup.
>
> Merci d'avoir posté ce cas très intéressant en tout cas!

non non excuse mon manque de clarté : il s'agit uniquement du logicile d'usinage des faux moignons implantaires (simeda)...
--
.


200106 10150128247663588 709988587 6466236 5598391 n d7mksb - Eugenol
hallboy

17/09/2012 à 18h11

En fait en revoyant tout; ça faisait moins mal qd c'etait les Magne: ils s'y mettaient a plusieurs, ils habitent loin, ils ont un accent ridicule..... ;)


Smile beach jgh0a1 - Eugenol
Céramik

18/09/2012 à 06h12

Joli cas, avec ortho en plus !
Très bien joué

J'aurais implanté en bas, car nul en ortho je suis !


--
Céramik


Cuisinier2 vnbbxx - Eugenol
jeff2

18/09/2012 à 12h47

J'aurais bien aimé voir la première pano avant le début des soins et la dernière une fois tout fini.


Cuisinier2 vnbbxx - Eugenol
jeff2

18/09/2012 à 12h47

.