Cookie Consent byPrivacyPolicies.comcas multidisciplinaires 2 : adjointe alignement implanto - Eugenol

cas multidisciplinaires 2 : adjointe alignement implanto

Icon poker h4nm2d - Eugenol
jeff

18/09/2012 à 17h49

Je rebondis sur le cas présenté par Fouilla, pour vous en sortir un également.

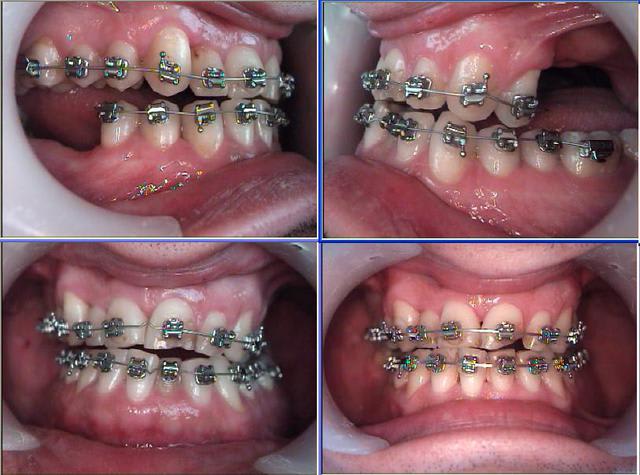
Patient 34 ans, motivé : " que peut-on faire ? "

Pas mal de chose, mon bon monsieur...

1 obir9o - Eugenol
2 ac5h7e - Eugenol

Icon poker h4nm2d - Eugenol
jeff

18/09/2012 à 17h51

En centrée, il se met en bout a bout. La classe 3 n'est donc pas si terrible, et je pense pourvoir la traiter sans chirurgie.

Partiel provisoire en sur-élévation, pour permettre la correction des inversé d'articulé antérieur.

3 is0jx6 - Eugenol

Icon poker h4nm2d - Eugenol
jeff

18/09/2012 à 17h52

poursuite de l'orthodontie, en multibagues basse friction.

4 jgeery - Eugenol

Icon poker h4nm2d - Eugenol
jeff

18/09/2012 à 17h55

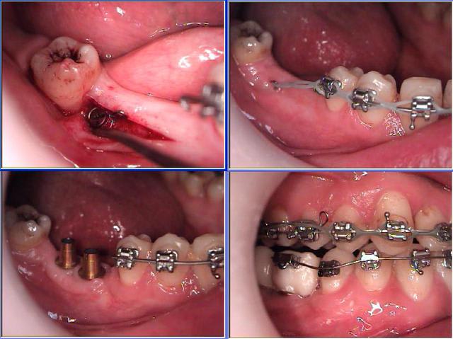
nessité de reculer le bloc incisif mand pour la classe 3 : ancrage par minivis dancha, puis finition de l'ODF sur les implants mandibulaire.

Entre temps : premier sinus ( gratuit, puisque pas prévu dans le devis, puisque quand j'ai commencé le cas, j'en faisait pas ... ) et pose des implant maxillaire.

5 bdlzcy - Eugenol

Icon poker h4nm2d - Eugenol
jeff

18/09/2012 à 17h58

Cas terminé. la classe 3 est corrigé, une chirurgie orthoganique aurait permis sans doute des axes incisifs un peu moins vestibulé, mais le patient s'en porte tres bien.

à vos questions et commentaires..

6 olduik - Eugenol

dent2669

18/09/2012 à 18h14

Beau cas !! J'aimerai savoir faire de l'ortho quand je vois des patients comme ça...

Je ne saurai porter un jugement sur la partie ODF du traitement donc je me permets une question sur l'implanto... N'y aurait-il pas un manque de gencive attachée en vestibulaire de 24/25 et 46 ?? Est-ce maîtrise ? As-tu prévu une intervention ou tout va bien comme ça ?


Icon poker h4nm2d - Eugenol
jeff

18/09/2012 à 18h20

bonne remarque. Effectivement, il y a des petites choses que j'ai fait a l'époque, et que je ferais sans doute diiférement aujourd'hui, notamment la gestion de la gencive attaché. Je l'avais vu a 6 mois et tout allait bien. Je ne l'ai pas vu depuis 3 ans..


marco17

18/09/2012 à 18h20

cas super bien géré,
impressionné,
durée du traitement ?


Smile beach jgh0a1 - Eugenol
Céramik

18/09/2012 à 18h30

Bravo, et bravo au patient pour l'effort !

--
Céramik


Icon poker h4nm2d - Eugenol
jeff

18/09/2012 à 21h02

Un peu plus de 2 ans et demi de traitement. Céramik, tu as raison de souligner l'engagement du patient, on ne peut rien faire sans lui :)

En fait quand j'ai reçu ce patient, j'ai de suite pensé au cas de Michel Montaud ( http://www.dentosophie.com/IMG/pdf/Paroles_1.pdf ) , sauf que j'ai de meilleur résultat en multibagues, qu'en activateur de soulet besombes. ( je n'ai sans doute pas la patience de faire porter l'activateur pendant 5 ans a mes patients ).

Je m'en suis quand même inspiré pour les partiels provisoires.

Une erreurs que j'ai commise, c'est de poser le partiel haut, alors que le labo avait oublié de faire les taquets occlusaux que j'avais demandé. Résultat, j'ai eu une forte résorption au niveau du secteur 2 ( on le voit bien sur les photos ), et c'est sans doute pour cela que je manque de gencive attacheé en haut.


dentine34

18/09/2012 à 21h21

Très beau cas!
C'est toi qui à gérer l'ODF ainsi que l'implanto???
Si oui, tu es le vrai Omnipraticien!;)


Icon poker h4nm2d - Eugenol
jeff

19/09/2012 à 14h40

Merci du compliment, ça fait toujours plaisir.

C'est effectivement tres gratifiant d'arriver au bout d'un tel traitement. C'est aussi beaucoup plus facile de motiver le patient, que de lui dire, " je vous envoi chez le paro, puis chez l'ortho, puis chez chez le chir pour le sinus, puis..."

Le plus souvent, même si c'est une erreur, on ne propose que ce que l'on sait faire. Dans nombre de cabinets, ce patient aurait fini sans ODF, avec deux stellites. ( je vois bien combien j'ai réalisé de cas implantaire, avant de me former , et combien depuis ! )

dent2669 écrivait:
------------------
J'aimerai savoir faire de l'ortho quand je vois des patients comme
> ça...

c'est en fait assez simple, tu fais le CETO, et dans deux ans, c'est bon.

C'est vrai que c'est un gros investissement en temps et financier, si c'est juste pour traiter un ou deux cas par ans. Mais pourquoi pas, tout s'apprend :)


S2y2o1v7q53ws4r5wy6ou8czrpom - Eugenol
pxav

19/09/2012 à 17h12

Chapeau bas!
Cas très bien mené de A à Z.

--
xbk
"Si tous ceux qui croient avoir raison n'avaient pas tort, la vérité ne serait pas loin" Dac Pierre


seb335i

28/09/2012 à 22h30

Très impressionner du résultat, de la maitrise technique ainsi que de la démarche intellectuelle.
Quelle est le type de bracket utiliser? Edgewise? Straight wire?
merci


Index vakr2r - Eugenol
pgc

30/09/2012 à 17h02

Superbe résultat. C'est magistral.


Icon poker h4nm2d - Eugenol
jeff

03/10/2012 à 22h25

Pour la partie ortho, ce sont des brackets autoligaturant GAC innovation R , en 22/28, arc droit.