Cookie Consent byPrivacyPolicies.comRésistance implants courts maxillaires postérieur - Eugenol

Résistance implants courts maxillaires postérieur

Petitours

25/09/2012 à 20h26

Bonjour,
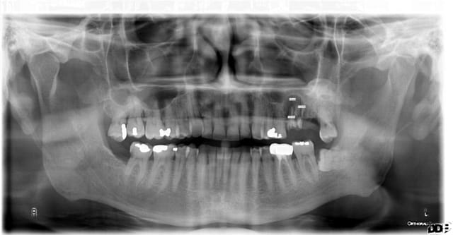
je dois envisager de poser des implants courts pour éviter un soulever de sinus=
26 = 3I cylindro-conique diamètre 6mm enfouit dans 6.5mm d'os D3
27 = 3I pareil en diamètre 5mm (couronne environ 5-6 mm de haut)

le reste de l'oclusion est OK.

Ma question = le gars ayant cassé les racines sous cc de 26-27 par bruxisme à un an d’intervalle je me demande si ça tiendra le choc même si j'envisage 2 couronnes solidarisées

merci pour vos réponses

PS= ne vous effrayez pas, la pano date de l'année dernière, depuis soins, extractions et comblements puis délai de cicat...

447 x 2011 11 24 16 13 31 4 avutgv - Eugenol

Ulysse 31 nono le petit robot tjdbmb - Eugenol
ptitrobot

25/09/2012 à 21h17

Tu n'as que ta pano pour tes mesures ? C'est peut-être un peu juste, surtout si tu as fait un comblement.

Tu peux peut-être gagner quelques mm pour tes fixtures en faisant un summers.

Quant au rapport 1/1 c'est juste mais de toutes les façons si bruxisme: plaque de protection obligatoire et tu la controles régulièrement pour être sûr qu'il la porte bien ..


Photo 158 mluhia - Eugenol
robin

25/09/2012 à 22h35

pourquoi vouloir éviter un soulevé de sinus?


tarski

26/09/2012 à 00h57

parce que la taux de succès d'un implant court sans soulevé de sinus est supérieur à un implant de taille normal avec soulevé de sinus.

d'après Renouard.


Smile beach jgh0a1 - Eugenol
Céramik

26/09/2012 à 04h40

Moi j'aime bcp le soin au mésial de la 18 extrudée de 20 cm...

Sinon, les pertes d'implant que j'ai vu, c'est souvent des implants courts au maxillaire...

Une autre citation de Misch : créer de l'os dans un sinus est la chose la plus facile du monde. Ensuite il place des 12 mm, fait une mise en charge progressive, place le maximun d'implants et utilise un implant avec un design adapté à l'os de faible densité. Avec ses bouquins, ses dizaines d'études, etc, etc, en général il a raison, alors moi je greffe.




--
Céramik


Smile beach jgh0a1 - Eugenol
Céramik

26/09/2012 à 04h46

http://www.eugenol.com/sujets/345039-implant-court-ok-mais-lequel?page=3


http://www.information-dentaire.fr/pdf/11193_idvol93n12p99-108.pdf?.

Bonne lecture, et surtout bonne décision...




--
Céramik


Logo m4n3gc - Eugenol
drmarcus

26/09/2012 à 10h59

tarski écrivait:
----------------
> parce que la taux de succès d'un implant court sans soulevé de sinus est
> supérieur à un implant de taille normal avec soulevé de sinus.
>
> d'après Renouard.

C'est marrant d'autres disent (je ne les citerai pas pour éviter une guerre des clans) que les implants courts sont une invention marketing pour ceux qui ne savent pas faire greffe ou sinuslift.............

Ce n'est pas forcément mon avis et d'ailleurs je ne sais toujours pas quoi en penser.
Je fais les deux et pour l'instant je suis incapable de donner une préférence.
Certains patients ne veulent pas de sinuslift, ensuite pour des raisons d'économie de santé pourquoi se priver d'outil en notre possession.? Maintenant faut attendre 20 ans de recul :-(((( je risque de ne jamais le connaitre Snif !!!!

--
"La vis est à l'implant ce que la carie est à la dent!" (Pozzi)


Scan10030 ukikhq - Eugenol
vava

26/09/2012 à 11h24

drmarcus écrivait:


Maintenant
> faut attendre 20 ans de recul :-(((( je risque de ne jamais le connaitre Snif
> !!!!
>
> --
> "La vis est à l'implant ce que la carie est à la dent!" (Pozzi)

pour te consoler une jolie vis


tarski

26/09/2012 à 11h28

au maxillaire, je préfère si moins de 5mm de hauteur, pratiquer une élévation latérale, attendre tranquillou 5/6 mois, placer effectivement un 12mm, attendre 5/6 mois puis couronne.

Après pas assez d'expèrience pour me prononcer sur les implants courts vs sinus+implants 12mm.

Si je peux placer un implant court, c'est à dire de 6mm donc j'ai au minimum 6.5mm de hauteur, à ce stade, un petit summer, ça mange pas de pain, c'est rapide, et t'arrive à 8mm voire même 10mm...et plus si affinités...

Après entre un 6mm ostéointégré et un 10mm dont l'extremité 4mm est entouré de membrane de Schneider et "seulement" 6mm dans os, la résistance est identique mais plus de risque d'échec pour l'implant long.


Photo pluton1b h9n4ea - Eugenol
pluton

26/09/2012 à 12h38

vava écrivait:
--------------

> pour te consoler une jolie vis

mdr....
c'est d'un compliqué la prothèse sur implant....
2 min vidéo (merci le montage...), en réel quoi...10x plus...et youpi le ciment de scellement qui fuse sous la gencive...;-)


Logo m4n3gc - Eugenol
drmarcus

26/09/2012 à 12h49

pluton écrivait:
----------------
> vava écrivait:
> --------------
>
> > pour te consoler une jolie vis
>
> mdr....
> c'est d'un compliqué la prothèse sur implant....
> 2 min vidéo (merci le montage...), en réel quoi...10x plus...et youpi le ciment
> de scellement qui fuse sous la gencive...;-)

Fais nous une video comparative........ Ah oui t'as raison si on coupe autant ils n'auront pas cliquer que ce sera terminé :-)))))

Non ce qui est marrant c'est la tentative de transfert sans vis.....et dire que l'on nous reproche de risquer des fautes de positionnement.....c'est encore pire dans ce système. Si il copie c'est que ce n'est pas si mal non?


--
"La vis est à l'implant ce que la carie est à la dent!" (Pozzi)


Petitours

27/09/2012 à 11h05

ptitrobot écrivait:
-------------------
> Tu n'as que ta pano pour tes mesures ? C'est peut-être un peu juste, surtout si
> tu as fait un comblement.
>
> Tu peux peut-être gagner quelques mm pour tes fixtures en faisant un summers.
>
> Quant au rapport 1/1 c'est juste mais de toutes les façons si bruxisme: plaque
> de protection obligatoire et tu la controles régulièrement pour être sûr qu'il
> la porte bien ..

Bien entendu je réfléchi face au scan que je viens de recevoir sinon je ne pourrais être si précis.

Une élévation par abord crestal va se limité à 2 voire 3 mm mais pas plus et encore moins pour la 27. c'est pour ça que je me demande si "ça vaut le coup".
Une élévation par abord latéral n'est vraiment pas le même travail ni risque ni durée de traitement.

donc je pensais à des couronnes avec un minimum de cuspide pour éviter les forces délétères.

donc d'après toi c'est juste ( je me doutais sinon j'aurai pas posé la question) mais faisable....


209209668 fh2mys - Eugenol
fredo667

27/09/2012 à 20h07


MMMais si, ergarde donc mon dernier post et dis moi si on pas gagné plus de 2 ou 3 mm. meme si tu fais 3.5 mm ca te fais toujours 2 implants de 10


>
> Une élévation par abord crestal va se limité à 2 voire 3 mm mais pas plus et
> encore moins pour la 27. c'est pour ça que je me demande si "ça vaut le coup".