Cookie Consent byPrivacyPolicies.com"votre devis hors norme" - Eugenol

"votre devis hors norme"

Little shop of horrors brzqjx - Eugenol
chatondecarte

29/09/2012 à 16h42

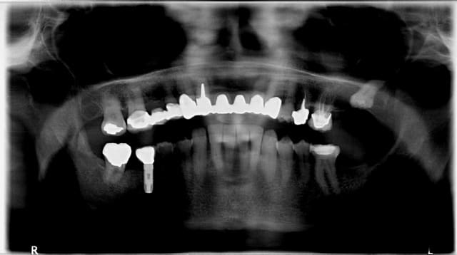
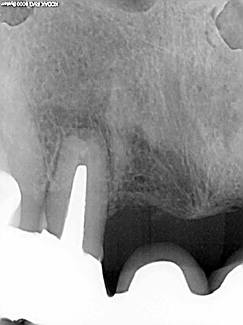
Je reçois ce matin ce mail plutôt désagréable, intitulé "votre devis hors norme", suite à une consultation en juillet pour un abcès sur la 12 (je joins les radios).
Je lui avais fais un devis pour 2 ou 3 implants et 6 couronnes de 13 à 23...

Voici le mail qui pourrait être en substance traduit pas "nananère !" :

" Cher Docteur

Vous m’avez remis en Juillet un devis d’un montant de 7.000 € pour une intervention
sur la racine d’une de mes dents infectée . Je viens de subir une “résection apicale” pour un honoraire de 287 € 98 chez un
chirurgien dentiste de renom, – et - pour votre information
mon bridge n’a en aucune manière besoin d’être changé.

Vous comprendrez qu’avec regret vous avez perdu ma clientèle ainsi que celle de mon mari qui devait
prendre rendez-vous avec vous.

Quel dommage !

Cordialement. "


Franchement?
La résec sur la 12 était à tenter? C'est moi qui fait du surtraitement?


quoi qu'il en soit, voici ma réponse :

"Madame,

J'ai été étonné de lire que je prenais 7000€ pour soigner une racine. Aussi je suis allé au cabinet pour vérifier le devis que je vous avais fait. Après vérification, je prends 7000€ pour poser 3 implants et faire 6 couronnes, ce qui n'est absolument pas hors norme, mais largement dans la moyenne des prix parisiens.

Le choix thérapeutique dépend de la balance bénéfice/risque. Pour moi la racine de la 12 n'est pas conservable (et donc le bridge non plus) car la racine est très courte et le tenon est très long. La résection apicale raccourcit encore la racine, et raccourcit d'autant la durée de vie de cette racine. J'ai donc écarté ce choix thérapeutique car il s'agissait pour moi de reculer pour mieux sauter. Mais peut-être me suis-je trompé, après tout je ne suis pas encore un chirurgien dentiste de renom. Seul le temps pourra dire si j'avais tord ou raison.

Je vous ai vue en juillet, je vous ai soulagée par des antibiotiques et vous ai proposé un devis. Le devis sert justement à ce que vous preniez votre décision tranquillement et que vous puissiez comparer avec d'autre praticiens. Je ne vous ai pas coûté un euro car la consultation de juillet était entièrement remboursée, aussi ai je été surpris de l'agressivité latente de votre mail, qui me donne l'impression d'avoir été malhonnête.

Je suis en tout cas ravi que vous ayez trouvé un praticien qui vous convient mieux.

Cordialement "

P1 envubc - Eugenol
R1 f3dlw3 - Eugenol
R3 drlzi2 - Eugenol

Marque a3 orange fyvhyq - Eugenol
Marc Apap

29/09/2012 à 17h04

Si tu te comportes comme ça avec tous les patients qui arrivent la première fois dans ton cabinet, il va se vider très vite.
Un minimum de réflexion t'aurait dicté d'attendre d'avoir la confiance de la personne pour lui proposer une solution de cette nature, et pas de lui jeter à la figure un devis de 7000 € le jour où elle arrive en souffrant ou même, lors de la séance suivante. Peut être l'apprendras tu avec le temps. Ou pas si tu es du genre à croire qu'il faut te croire sur parole parce que tu es Chirurgien Dentiste avec un beau diplôme.


Little shop of horrors brzqjx - Eugenol
chatondecarte

29/09/2012 à 17h12

Je la voyais tous les ans pour un détartrage quand même.. C'est pas la première fois qu'elle venait.

Ce qui m’intéresse surtout c'est de savoir si mon plan de traitement était raisonnable, ou si la racine était conservable.


129 fucieh - Eugenol
rs4

29/09/2012 à 17h20

Je suis pastoujours d accord avec marc mais la je le rejoins à 100%

Le patient qui vient consulter pour une urgence, tu le reçois, tu le soulagés, en suite tu l revois et tu lui expliques quel traitement tu lui proposés .


Mets toi a la place du patient, tu arrivés chez quelqu un que tu ne connais pas
Et il te saute à la gorge avec un gros devis. Tu as une reaçtion de recul.


Ne t étonnés pas De sa réaction,, elle est logique

La patient ne va pas comparer avec la norma en île de France, il voit X000 euros en bas du devis


Quant en plus ton confrère lui prend moins. De 300 euros, t es mort


129 fucieh - Eugenol
rs4

29/09/2012 à 17h21

chatondecarte écrivait:
-----------------------
> Je la voyais tous les ans pour un détartrage quand même.. C'est pas la première
> fois qu'elle venait.
>
> Ce qui m’intéresse surtout c'est de savoir si mon plan de traitement était
> raisonnable, ou si la racine était conservable.


À mon avis. Le pb n est pas la.


1309531 ours brun n5iukf - Eugenol
seespan

29/09/2012 à 17h21

Dans l'absolue elle semble conservable (la durée de vie du bridge a quand même pas l'aire top), mais si ce n'est pas vous qui avait fait la prothèse initial, c'était un peut risquer de tenter.
Si ça réussie vous avez fait une opération délicate quasi ou a perte.
Si ça loupe, probablement aucune reconnaissance de la patiente qui risque de penser que vous avez surtraité pour pouvoir refaire le bridge.

Dans ce cas les deux options ce discute.
Marc apac ne vous critique pas sur le plans de traitement mais uniquement sur la démarche 'commercial'.

--
หมอจัดฟัน


Grumpy cat ifik8s - Eugenol
radich_a_tord

29/09/2012 à 17h36

bouche de merde, bridge en bout de course, courbes occlusales inversées. Les justifications à un traitement lourd sont nombreuses, tu as bien fait.


G-P

29/09/2012 à 17h49

La bonne question à se poser :
Mais pourquoi tu t'embêtes à faire une réponse sérieuse comme ça à une personne qui est obviously une grosse conne ?


Photo 046 c2xbxf - Eugenol
jimm33

29/09/2012 à 17h51

Avoir le consentement éclairé du patient c'est lui proposer toutes les alternatives avec avantages et inconvénients, les pronostics à court ou moyen terme et si on te le demande lui dire ce que l'on ferait si on était à leur place.


paradoxe

29/09/2012 à 18h52

On peut tenter des choses, comme faire une résection apicale, faire une prière, du magnétisme,..
Cela apportera un petit mieux.
Ensuite tu es grand, tu as analysé, tu as proposé, elle a refusé.
Je ne vois pas où est ton problème.
Et je ne vois pas non plus pourquoi la patiente est mécontente.


levm

29/09/2012 à 19h08

On a ce genre de cas , tous les jours .
Tu soulages une dent en pulpite , tu précises qu'il faut faire une couronne tu remets un devis et on te dit "Mettez moi plutôt un plombage blanc remboursé"

Tu as fait ton job , et bien .
Par contre , je pense qu'il faut adapter ses prix (ou son plan de traitement) en fonction des moyens financiers du patient .
Tu donnes ton avis sur le pronostic à long terme .
Au final , elle les fera ses implants et ses 6 couronnes .


joseph23

29/09/2012 à 21h17

Difficile de juger...dans tous les cas tu l'as soulagé et pour remerciement elle te traite vraiment mal!
Je n'aurais pas dépensé plus d'énergie pour elle (en lui répondant).

Te mine pas!


01 ukhwbq - Eugenol
ʎqqoq

29/09/2012 à 21h29

MGEN? ;-)


Sans titre tztxfv - Eugenol
Monet

29/09/2012 à 21h29

Il y a 3 ans, un patient se présente avec une résorption externe sur une 46...avec douleurs...

Je lui explique que l'on peut tenter de conserver sa dent et de faire un ttt endo puis de la couronner...si cela ne fonctionne pas, je lui extraie et lui pose un implant et dans ce cas ne lui facturerai pas la couronne sur implant (puisqu'il avait payé la couronne sur dent naturelle)
je lui ai fait signer le devis mentionnant que le pronostic était réservé...

Il revient 1 an plus tard avec un échec et refuse de payer l'implant....Ma RCP a préféré lui payait l'implant car "je n'aurai pas dû le faire sachant que cela pouvait ne pas fonctionner"


Tronche2 ug74bc - Eugenol
Franck LE BOURHIS

29/09/2012 à 21h38

chatondecarte écrivait:
-----------------------
Je viens de subir une “résection
> apicale” pour un honoraire de 287 € 98 chez un
> chirurgien dentiste de renom


avis incertain quant au devenir de cette dent réséquée, comme tout le monde.
ensuite,pour l'art et la manière de savoir quand parler d'une solution + sûre... on peut élucubrer pendant des plombes là-dessus!

Moi, ce qui m'épate, ce sont les 287.98 pour une résection apicale.
Même avec une pano, un dét, 1 rétro... sur un acte en DC sans dépassement possible, je ne vois pas.
soit c'est un prof avec Dépassement Permanent, soit c'est un truand, soit...???
Paris est-il en France?
--
Franck LE BOURHIS


RépondreCiter
Little shop of horrors brzqjx - Eugenol
chatondecarte

29/09/2012 à 21h48

ʎqqoq écrivait:
---------------
> MGEN? ;-)


Je vérifie ça lundi... Mais je ne serais pas étonné


Little shop of horrors brzqjx - Eugenol
chatondecarte

29/09/2012 à 21h56

Franck LE BOURHIS écrivait:
---------------------------

> Moi, ce qui m'épate, ce sont les 287.98 pour une résection apicale.
> Même avec une pano, un dét, 1 rétro... sur un acte en DC sans dépassement
> possible, je ne vois pas.
> soit c'est un prof avec Dépassement Permanent, soit c'est un truand, soit...???
> Paris est-il en France?


Il s'agit soit de 280€ ED pour la résection et 7,98 pour la rétro associé.
Soit des 30€ opposable pour la résection + 250€ HN pour l’obturation à retro (bien que je ne vois pas trop quoi obturer une fois qu'on a réséqué jusqu'au métal du tenon...) + 7,98 pour la radio.
Quoi qu'il en soit, si l'indication est bien posée, ce tarif ne me choque pas. Le tarif opposable de 30€ pour cet acte est juste une insulte.


doagui

29/09/2012 à 22h20

Ton plan de traitement est surement le bon, simplement c'est un peu raide à entendre lors d'une consultation d'urgences...

Ca me rappelle un cab où j'avais bossé une journée avec de donner ma démission : cadre élégant, limite bourgeois, un patient consulte pour un amalgame fracturé. On lui explique qu'il faut extraire la dent, qu'il faut ABSOLUMENT un cone beam pour ça, fait sur place et avec dépassement évidemment. Coup de chance, le cone beam montre une lésion apicale sur la dent adjacente couronnée. Résultat de la consultation d'urgence pour un amalgame fracturé : un devis de 5000€ pour 2 implants.

Ta situation est la même finalement, et on comprends que la patiente ait voulu un autre avis.

Ceci dit la bonne nouvelle c'est que c'est manifestement un grosse conne, qui au lieu de chercher à discuter et à savoir le pourquoi du comment préfère directement te narguer comme une môme. Elle t'aurait probablement fait suer pendant des années si tu avais réussi à lui faire son bride, à force de se plaindre de tout et de rien. Tu as évité ça, félicitations. Pour le reste, on lui souhaite évidemment de faire un bel abcès dans les plus bref délais et d'être obligée de te re-consulter en urgence, afin que tu puisses lui pouffer de rire au nez à ton tour.


Tronche2 ug74bc - Eugenol
Franck LE BOURHIS

29/09/2012 à 23h18

chatondecarte écrivait:
-----------------------

> Quoi qu'il en soit, si l'indication est bien posée, ce tarif ne me choque pas.
> Le tarif opposable de 30€ pour cet acte est juste une insulte.

Que ce tarif soit une insulte, j'en conviens tout à fait!
Qu'un acte opposable soit assorti d'un HN, dans ce cas précis entièrement décrit à la nomenclature (obturation comprise dit d'ailleurs la nomenklatür SS, ce me semble), ce n'est absolument pas plus défendable.
Donc impasse: soit on pend haut et court les responsables de l'insulte (ils le mériteraient amplement les bougres!), soit on reste dans les clous (mon cas), soit on bricole.
Les 2 dernières attitudes permettant au système insultant de continuer de fonctionner.
La 1° coûterait trop cher en terme bénéfice/risque de se faire choper ;-)
Vois-tu une 4° voie non violente qui serait efficace? (perso, pas vu l'ombre d'une depuis 25 ans)

--
Franck LE BOURHIS


Img 1392 s73srk - Eugenol
Guttaman

30/09/2012 à 00h15

Pour le HN, dans mon coin, le dentiste conseil considère que tu peux le faire car il n'ai pas fait mention dans la nomenclature d'obturation a retro.
Mais pour en revenir au post, je ne trouve pas que la patiente soit conne de penser qu'elle aurait pu se faire avoir. Si lors de la remise du devis à 7000€ on ne lui dit pas qu'il existe une autre solution beaucoup moins onéreuse, c'est normal qu'elle arrive à ce genre de ressentiment. Elle n'est pas une professionnelle de la dentisterie...mettez vous deux secondes à sa place. Si on lui dit qu'une solution à 300 euros existe, mais que dans son cas précis que l'on pense que c'est n'est pas une bonne idée en lui disant pourquoi, lorsqu'elle prend sa décision, elle a tous les éléments pour comparer les deux solutions. Et même si au final, elle choisit alors la solution de la chir apicale, elle ne se dit pas qu'elle a faillit se faire avoir en beauté puisque le premier chirdent lui a dit que la solution pour laquelle elle a opté existait. Là, ce qu'elle s'est sans doute dit, ET A JUSTE TITRE, c'est qu'on lui a caché une option thérapeutique. Que chatondecarte n'ait pas cru en cette solution dans le cas précis n'est pas le problème. Il n'avait pas besoin de proposer cette solution, juste de dire que ça existait.

Quand j.explique à un patient que sa dent n'est pas conservable, (et donc qu'il n'aura pas besoin de mes services), je lui explique souvent (à sa demande, car ils veulent savoir ce qu'ils pourront faire pour la remplacer), qu'il pourra faire un implant, un bridge (en lui précisant si c'est moins bien dans son cas si les dents d'à côté sont intactes) et de la possibilité de l'appareil amovible une dent (que je lui déconseille pour les raisons que l'on connait tous). C'est ça un consentemment éclairé pour moi.


Little shop of horrors brzqjx - Eugenol
chatondecarte

30/09/2012 à 00h44

Guttaman écrivait:
------------------
Si on
> lui dit qu'une solution à 300 euros existe, mais que dans son cas précis que
> l'on pense que c'est n'est pas une bonne idée en lui disant pourquoi,
> lorsqu'elle prend sa décision, elle a tous les éléments pour comparer les deux
> solutions. Et même si au final, elle choisit alors la solution de la chir
> apicale, elle ne se dit pas qu'elle a faillit se faire avoir en beauté puisque
> le premier chirdent lui a dit que la solution pour laquelle elle a opté
> existait.



Sauf que la solution de la chir apicale n'existe pas dans ce cas là. Pour moi, la dent n'est pas conservable point. Car ratio couronne/racine de 3 pour 1 aggravé par une chir apicale, car pas 5 mm de gutta entre le tenon et l'apex, car gros risque de fracture de la racine.

Les deux seules solutions qui existent c'est la solution implantaire et la solution amovible avec ses crochets apparents, son décapsulage des dents voisines et autres joyeuseté iatrogènes...


Grueavatar nptrc9 - Eugenol
Le Choixpeau magique

30/09/2012 à 03h29

Franck LE BOURHIS écrivait:
---------------------------
> Que ce tarif soit une insulte, j'en conviens tout à fait!
> Qu'un acte opposable soit assorti d'un HN, dans ce cas précis entièrement décrit
> à la nomenclature (obturation comprise dit d'ailleurs la nomenklatür SS, ce me
> semble), ce n'est absolument pas plus défendable.
> Donc impasse: soit on pend haut et court les responsables de l'insulte (ils le
> mériteraient amplement les bougres!), soit on reste dans les clous (mon cas),
> soit on bricole.

Tu fais combien de chir apicales par an Franck ? Avec quel matériau ?


Img 1392 s73srk - Eugenol
Guttaman

30/09/2012 à 11h05

chatondecarte écrivait:
-----------------------
> Sauf que la solution de la chir apicale n'existe pas dans ce cas là. Pour moi,
> la dent n'est pas conservable point. Car ratio couronne/racine de 3 pour 1
> aggravé par une chir apicale, car pas 5 mm de gutta entre le tenon et l'apex,
> car gros risque de fracture de la racine.
>
> Les deux seules solutions qui existent c'est la solution implantaire et la
> solution amovible avec ses crochets apparents, son décapsulage des dents
> voisines et autres joyeuseté iatrogènes...

Cette solution ne te paraît pas bonne, mais elle existe au même titre que l'amovible. Dans un cas comme celui là, je ne résèquerai pas jusqu'au tenon. J'aplanirai juste la pointe, ferai la retropréparation jusqu'au tenon et MTA dedans. Le ratio reste le même que ce qu'elle avait avant et ça peut donc durer encore des années.
Si ça dure ne serait-ce que 5 ans, ça fait 300/5 = 60€/an...et ta solution reste possible ensuite.
Ta solution lui donnerai sans doute satisfaction pendant 20 ans : 7000€/20= 350€/an...
Tu n'es pas malhonnête, c'est clair, mais sur ce coup là, comme l'on dit certains, un petit peu de patience et surtout plus d'explications t'aurai permis de ne pas passer pour un "docteur es croc". a 7000€ le devis, entre nous, tu pouvais prendre 3 minutes de plus pour lui expliquer cette solution en laquelle tu ne crois pas. Ma conclusion sur ton histoire : toujours évoquer toutes les solutions, mêmes celles que tu ne valides pas (mais que d'autres pourrait valider) Après, on peut toujours dire que les patients sont des cons et qu'ils ne comprennent rien, mais pour qu'ils aient une chance de comprendre, il faut leur expliquer.


Photo pluton1b h9n4ea - Eugenol
pluton

30/09/2012 à 11h28

Guttaman écrivait:
------------------


> Tu n'es pas malhonnête, c'est clair, mais sur ce coup là, comme l'on dit
> certains, un petit peu de patience et surtout plus d'explications t'aurai
> permis de ne pas passer pour un "docteur es croc". a 7000€ le devis, entre nous,
> tu pouvais prendre 3 minutes de plus pour lui expliquer cette solution en
> laquelle tu ne crois pas. Ma conclusion sur ton histoire : toujours évoquer
> toutes les solutions, mêmes celles que tu ne valides pas (mais que d'autres
> pourrait valider) Après, on peut toujours dire que les patients sont des cons et
> qu'ils ne comprennent rien, mais pour qu'ils aient une chance de comprendre, il
> faut leur expliquer.

+10000...ton problème est un problème de communication avec ton patient...et Guttaman te donne la bonne méthode pour y remédier...
évoquer TOUTES les solutions, même celles que l'on écarte...çà va faire partie de ton argumentation face à ton patient, l'explication du pourquoi du comment tu n'envisages pas telle ou telle possibilité d'intervention...et c'est ce que l'on appelle,...le consentement éclairé...toi qui poses des implants tu devrais pourtant être rompu à l'exercice...

mais bon, on est pas des machines, parfois le trop d'urgences, ou celle juste après un problème, etc...et on peut vite, sans le faire volontairement, bâcler cette étape, faute à pas de temps, raz le bol...et on en arrive...à cette situation...


Sans titre tztxfv - Eugenol
Monet

30/09/2012 à 11h33

Je suis d'accord avec chatondecarte!
Que se passe t'il si vous faites la résection apicale et qu'elle échoue?