Cookie Consent byPrivacyPolicies.comVos avis pour ce Plan de traitement? - Eugenol

Vos avis pour ce Plan de traitement?

dentine34

04/10/2012 à 17h51

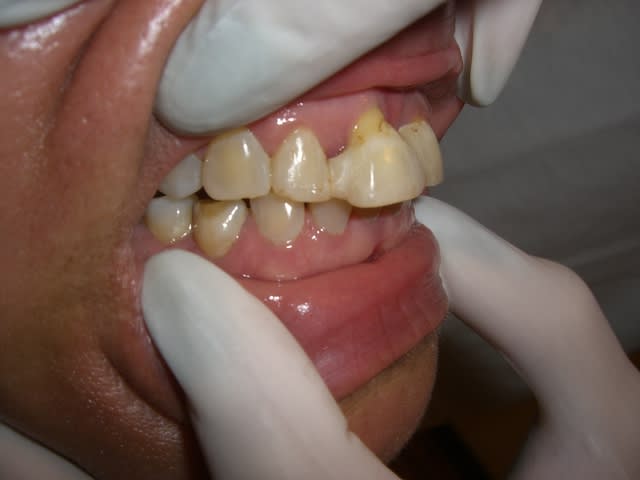
Patiente reçue la semaine dernière. Ses deux incisives centrales la gêne esthétiquement.
Je la vois demain pour lui proposer un plan de traitement et le devis!
Bien sûr, niveau financier c'est limite puisqu'elle est femme de ménage.
Désolé, j'ai oublié la pano au cabinet...
En gros ce qu'il faut savoir c'est que 26,27 sont absentes, que le support osseux sur 11 et 21 est réduit (rapport couronne/racine à presque 2/1), le reste au niveau paro c'est ok.
Le top, je pense, serait ODF, puis couronnes full Céram jumelées de 12 à 22 et implant 26/27. Malheureusement le devis ne passera jamais, je pense!
J'ai donc pensé à deux autres plans de traitement:
1/ CCC jumelées 12/11 et 21/22 avec risque de traitement de racine. Le diastème sera obligatoire pour ne pas se retrouver avec deux énormes dents! Et appareil résine pour 26/27. Le soucis c'est qu'avec sa praxie linguale j.ai peur que ça rebouge devant!

2/ extraction 11/21 puis appareil amovible :(

Bref, je suis preneur de toutes les idées, en sachant qu'il faut allier l'esthétique, le fonctionnel et le financier!

Merci


dentine34

04/10/2012 à 18h00

les photos arrivent...


dentine34

04/10/2012 à 18h07

Voilà les photos!!!

Cimg3860 jepoyq - Eugenol
Cimg3861 fqkvou - Eugenol
Cimg3862 redivm - Eugenol
Cimg3863 kawszq - Eugenol
Cimg3864 t4fed7 - Eugenol

1309531 ours brun n5iukf - Eugenol
seespan

04/10/2012 à 18h10

Je préche pour ma paroisse mes fréres.

Traitement endo 11 et 21, extrusion 11 et 21 au fure est a mesure pour faire suivre l'os et la gencive.
Tu réalises les couronnes quand la position de la racine est telle que tu as un rapport racine couronne 1/1 minimum.
Estethique c'est top car tu élimine en bonne partie le déchaussement gingival inésthetique. Fonctionnellement c'est favorable car le rapport courrone racine 1/1 limite l'effet bras de levier que tu vas avoir avec un rapport 1/2 pour les force horizontale (donc stable dans le temps et moins de perte d'os). Tu recrée aussi en partie l'os perdue.
C'est moins cher que des implants et tu ne courrones que deux dans.
Par contre 26 27 a part amovible ou implant je ne vois pas

Amovible plus économie.
--
หมอจัดฟัน


1309531 ours brun n5iukf - Eugenol
seespan

04/10/2012 à 18h13

je viens de voir les photos, je maintiens mon plan de traitement.
Le diastem tu laisses surtout ne pas souder les courrones dans ce cas.
Couronnes unitaire 11 et 21.

--
หมอจัดฟัน


Images jm2g2g - Eugenol
dr_0le

04/10/2012 à 18h13

salut,
motivation a l'hygiène et chir paro me semblent nécessaires si tu veux un résultat antérieur sympa...
l'ortho me semble être une bonne solution, mais je ne suis pas expert dans ce domaine.. voire avec son correspondant..
Mais après c'est a savoir si elle veut absolument rapprocher ses 2 centrales..
moi cela me parait difficile, je laisserai le diastème.


1309531 ours brun n5iukf - Eugenol
seespan

04/10/2012 à 18h15

Pour le guide antérieur fais surtout bosser les latérales et les canines si tu peux.

--
หมอจัดฟัน


1309531 ours brun n5iukf - Eugenol
seespan

04/10/2012 à 18h20


L'ortho c'est pas pour rapprocher les centrales, c'est pour recréer le volume osseux et gingival. Au niveau prothétique ça permet surtout d'avoir un rapport racine dans l'os/prothèse beaucoup plus favorable sur le long terme.
J'ai une publication ou ils ont fait l'extrusion des 4 centrales avec sévére atteinte paro pour récreer le volume osseux avant pose d'implant.
Résultat esthétique optimal, stabilité de l'os créer par cette technique excellent (1% de perte en volume par ans, essaye d'avoir ça avec une greffe osseuse :-) )
--
หมอจัดฟัน


dentine34

04/10/2012 à 19h01

Merci Pour vos 1er avis!
Cependant même en faisant de l'ortho pour égresser les centrales, ça me parait impossible de ne couronner que ces deux dents, mis à part lui mettre deux dents de dinausaures! L'espace disponible sur l.arcade est trop important pour deux centrales harmonieuses esthétiques! C'est pour ça que j'imaginais devoir couronner les 4 antérieures ,et même avec cela il y aura toujours un diasteme! (À confirmer avec Wax-up).
Et si je fais des unitaires, j'ai peur que dans quelques années la situation soit à nouveau la même.


1309531 ours brun n5iukf - Eugenol
seespan

04/10/2012 à 19h12

Pour le diasteme tu ne pourras pas le supprimer a moins de faire une bridge de 3 a 3.
Si tu veux le limiter un peut sans couronner les latérales tu peus les gonfler un peut en mésial avec du composite, vue que de toute façon la patiente devras venir régulièrement pour suivre l'évolution.
Pour le diastem fait un wax up pour deux couronne unitaire 11 et 21 et demande son avis a la patiente, demande lui aussi des photo de quand elle était plus jeune.
Noralement il a toujours était présent ( la question c'est de savoir ou, entre les centrals, entre toute les incisive (vue que la langue est impliqué c'est probable), donc si tu le reconstitue ça devrait étre acceptable pour la patiente.
Sinon tu fais extrusion est courrone soudé 11 12 et 21 22 en laissant le diasystème aussi, mais j'ai peur que ce soit moche, un wax up peut aidé.
Dans tout les cas l'avantage de l'extrusion c'est que tu auras une bonne position de la gencive ce qui au niveau esthétique est important. C'est aussi moins cher qu'un traitement paro et plus prédictible au niveau du résultat.


--
หมอจัดฟัน


1309531 ours brun n5iukf - Eugenol
seespan

04/10/2012 à 20h40

Sinon il y a une autre solution potentielle, mais faut voir avec quelqu'un qui a une bonne expérience en prothèse.
Tu rajoute une incisive :
Tu fais un bridge 12,11,21,22 (après égression des centrales of course) tu rajoutes une incisives latéral entre une centrale et une latérale (tu fais un bridge de 5 dents sur 4 pilier. Bien sur il faut rapprocher les deux central pendant l'extrusion .
Bon honnétement je sais pas ce que ça va donner au niveau esthètique, mais peut etre que ça peut passer (mais je doutes).
Comme contention si tu garde le diastème, tu peux utiliser du fil de pêche transparent.

--
หมอจัดฟัน


1309531 ours brun n5iukf - Eugenol
seespan

05/10/2012 à 02h33


Y a personne qui hurle pour le fil de pêche?
--
หมอจัดฟัน


doczi

05/10/2012 à 03h07

freinectomie labiale sup, Odf sectorielle (2 mois max, tu pourrais même la faire avec plaque amovible et éperon et gérer avec chaînette) pour les 4 incisives de manière à rapprocher les centrales et créer des diastèmes avec les latérales et entre latérales et canines . là, tu pourrais couronner. deux bridges 11 12 et 21 22


Bebe 038 nf8eum - Eugenol
danteyeah

05/10/2012 à 12h22

Dentine 34, t'es pas magicienne je pense: c'est un cas multidisciplinaire (ortho/implanto/paro/prothèse.....les trucs les plus cher dans notre profession!!!!). Donc si pas de moyen financier, pas la peine de trouver l'équation magique en saupoudrant un peu de ceci ou cela pour obtenir une bricole instable.
Donc soit on passe par du multidisciplinaire et c'est déjà pas un cas simple en utilisant le meilleur de notre arsenal thérapeutique, soit c'est extraction et amovible et malheureusement l'esthétique restera médiocre.
Désolé pour ta patiente, mais elle doit avoir conscience que sa situation esthétique (et occlusal) nécessite une réhabilitation complexe.


Blocperso talon jer3sl - Eugenol
mrquentin

05/10/2012 à 14h24

je comprends pas l'indication de l'extrusion sur un terrain paro aussi faible.
Pour moi, c'est, au contraire, ingression des incisives sup avec palatoversion des racines, ca va fermer le diastème un peu déjà. En fonction de l'analyse ODF, on peut un peu ouvrir des diastèmes entre latérales et centrales pour pouvoir lui poser des facettes (ou ccc?) sur 13 à 23, 14 à 24 ou 12 à 22 selon le résultat esthétique espéré par l'odf.
Mais de tte facon pour moi aussi, c'est un cas majoritairement odf.
PAP non car pour moi elle n'aura pas de résultat meilleur que ce qu'elle a déjà sauf avec les dents de dinausores


floydal

05/10/2012 à 16h47

Et n'oublie pas de rajouter 19.6% à l'addition pour l'esthetique


Bebe 038 nf8eum - Eugenol
danteyeah

05/10/2012 à 17h45

mrquentin écrivait:
-------------------
> je comprends pas l'indication de l'extrusion sur un terrain paro aussi faible.
> Pour moi, c'est, au contraire, ingression des incisives sup avec palatoversion
> des racines.
Il faut rappeler qu'en orthodontie l'ingression est un déplacement très long (donc très couteux) à mettre en oeuvre. Ici une palatoversion des racines des incisives va entrainer une horizontalisation de ces dernières donc une catastrophe occlusale puis parodontale.


1309531 ours brun n5iukf - Eugenol
seespan

05/10/2012 à 17h53

danteyeah écrivait:

> Il faut rappeler qu'en orthodontie l'ingression est un déplacement très long
> (donc très coûteux) à mettre en oeuvre.
En effet c'est le mouvement le plus difficile a obtenir. Donc a envoyer a un ortho.
L'autre problème est qu'avec ce mouvement vous ne créez pas d'os vous en perdez, même si des études semble montrer que l'on peut "rentrez les dents dans l'os" si le mouvement est réaliser en même temps qu'une chir parodontal.
Dans tout les cas c'est un traitement compliqué et coûteux.

L'extrusion a contrario est le mouvement le plus simple (parfaitement réalisable par un généraliste avec un minimum d’expérience) et il crée de l'os, l'os et la gencive suivant l'os.


--
หมอจัดฟัน


Humator t9r5wy - Eugenol
humator

05/10/2012 à 19h06

je suis l'avis de danteyaeh:

c'est un cas archi difficile. Ici: pas possible de bidouiller.
bon courage si un choix de compromis est fait!!

--
N.Hum


dentine34

06/10/2012 à 02h21

Franchement merci à tous pour vos avis, et merci à Seespan aussi pour le MP et les références biblio!
J'ai donc vu la patiente aujourd'hui (qui ne parle que l'espagnol), mais heureusement elle est venue cette fois ci avec la femme qui l'emploi...ça m'a bien aidé car elle a tout compris sur la difficulté du cas.
J'ai donc proposé trois plans de traitement:
1/ déposer ces magnifiques composites, nettoyer les caries radiculaires que ça à créer, sûrement faire des endos sur 11 et 21 du fait de ces caries, et reprendre deux jolies composites pour réduire légèrement le diasteme.

2/ déposer les composites, nettoyer les caries, endos si nécessaires, et traitement ODF. À la fin du traitement ODF, on voit si c'est nécessaire de faire des CCC sur 11/ 21, et facettes sur 22,12, voire 13,23.

3/ extraction 11/21, et implants. Puis en fonction possibilité facettes latérales, canines...

On verra bien ce qu'elle décide, et si elle peut trouver le financement!

PS: dentayeah, je suis un MEC!!!! Je sais que dentine34 ça fait féminin, que j'aurai plus du opter pour email34 ou cément34 mais j.ai ce mail depuis la P2!


Bebe 038 nf8eum - Eugenol
danteyeah

06/10/2012 à 15h34

dentine34 écrivait:
-------------------
>
> PS: dentayeah, je suis un MEC!!!! Je sais que dentine34 ça fait féminin, que
> j'aurai plus du opter pour email34 ou cément34 mais j.ai ce mail depuis la P2!

Oh tu sais, moi sans mes lunettes............;-)))