Cookie Consent byPrivacyPolicies.comQue puis-je faire...? - Eugenol

Que puis-je faire...?

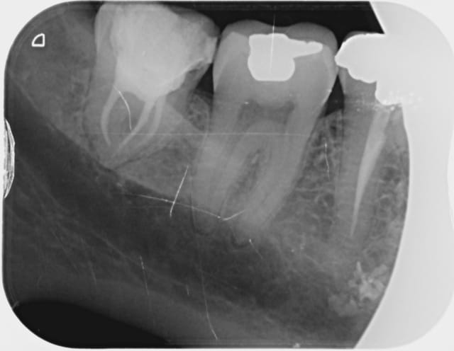
Img 3657 cwjvqm - Eugenol
alapex

05/10/2012 à 14h30

Tout est là , merci de vos avis éclairés .

Alapex alphonse 000 ohzkpt - Eugenol
Alapex alphonse 003 ub3ewt - Eugenol

1309531 ours brun n5iukf - Eugenol
seespan

05/10/2012 à 14h50

reprendre une rétro, sans le matériaux d'obturation sur le capteur ou sur l'étuis du capteur, ça fait une tache a l'apex.

--
หมอจัดฟัน


1309531 ours brun n5iukf - Eugenol
seespan

05/10/2012 à 14h52

Je ne comprend pas ou le probleme, c'est quoi qui vous empeche de faire une restauration classique sur cette dent?
J'ai loupé quelque chose ?

--
หมอจัดฟัน


Aiguille cyboyt - Eugenol
fatboy

05/10/2012 à 14h54

Si douleurs, extraction direct. Je te trouve deja bien assez genereux, ambitieux, inconscient, audacieux...

Sinon, compo et dans 6 mois-1 an un bel inlay, si il n'y a aucune image radio (auquel cas retour 1ere option).


Img 3657 cwjvqm - Eugenol
alapex

05/10/2012 à 14h56

Pfff ....je pensais que ça durerait plus longtemps ;)

Alapex alphonse 004 aksbpp - Eugenol

1309531 ours brun n5iukf - Eugenol
seespan

05/10/2012 à 15h04

alapex écrivait:
----------------
> Pfff ....je pensais que ça durerait plus longtemps ;)

C'est béte une fois j'ai eu un patient qui avait une tache radio dense parfaitement ronde au niveau de l'apex d'une six (aucune restauration sur les dents de ce secteur). Il m'a dit que mon prédécesseur ne savait pas ce que c'était.

Vue qu'il avait débarqué au cab avec les bottes boueuse, le treillis militaire et la casquette je lui demande si par hasard il n'était pas chasseur et si il ne s'était par ramassé un plomb dans la joue.
C'était le cas :-). Le plomb bien sur n'avait jamais était enlevée.

ça aurait fait une belle devinette.

--
หมอจัดฟัน


Rape p0as4f - Eugenol
rapelapente

05/10/2012 à 18h37

Bof... pas tant que ça... :-)

Pano plombee l7p4ix - Eugenol

01 ukhwbq - Eugenol
ʎqqoq

05/10/2012 à 18h49

On lui avait dit de pas se planquer dans la haie pendant la chasse ^^
Pis c'est du gros plomb, je dirais du 2.


1309531 ours brun n5iukf - Eugenol
seespan

05/10/2012 à 18h52

ha non c'est pas des plomb de chasse ca.
C'est quoi de la peinture, de l'allu découpé?

--
หมอจัดฟัน


1309531 ours brun n5iukf - Eugenol
seespan

05/10/2012 à 18h58

C'est sur le patient et pas a l'interieur ni sur le capteur de la pano, donc je dirais une sorte de peinture cuttané ou allu.
Un truc pour faire des mouches?
--
หมอจัดฟัน


Utilisateur banni

05/10/2012 à 19h01

Putain de piercing.


1309531 ours brun n5iukf - Eugenol
seespan

05/10/2012 à 19h16

je crois pas on voit le pins sur la plus part des piercing, plus le dentiste ne s'est pas aperçus qu'il y avait quelque chose de radio dense (a moins qu'il est fait une irradiation pour le fun).
Donc peinture, poudre ou l'on ne savait pas que c'était radio dense.
Probablement patient vue en urgence pour un pulpite sur 37 ou 38 et qui allait a une féte ou un carnaval.

--
หมอจัดฟัน