Cookie Consent byPrivacyPolicies.comoù est Charlie ? - Eugenol

où est Charlie ?

3f3boxni50k58rq7e9ce9ddqrxgk - Eugenol
dentiste57

07/10/2012 à 20h57

où est Charlie et pourquoi ?

Dsc 0669 rjq2kl - Eugenol

DocJ

07/10/2012 à 21h05

12 avec liseré métallique en transparence


Elephant 018 u6kzyq - Eugenol
confrère

07/10/2012 à 21h11

12


Img 3657 cwjvqm - Eugenol
alapex

07/10/2012 à 21h31

12 11 21 22
Parce que t'es mauvais ...))) Pis la 22 avec un anthogyr ....


3f3boxni50k58rq7e9ce9ddqrxgk - Eugenol
dentiste57

07/10/2012 à 22h38

Je donnerai le résultat et posterai les photos qu'à partir de 23h mais il faut dire pourquoi c'est Charlie .


colza2

07/10/2012 à 22h39

12 on dirait qu'il y a une cicatrice de résection, qui n'a pas réussi , d'où l'implant?


DocJ

07/10/2012 à 23h10

Implant 12, ça sent être bon , bien entendu les 11 et 21 sont couronnées. Reste à savoir si implant eux aussi ?


duck

07/10/2012 à 23h21

;


3f3boxni50k58rq7e9ce9ddqrxgk - Eugenol
dentiste57

08/10/2012 à 01h02

bon, je donne la réponse:

12 à 22 sont effectivement des couronnes:

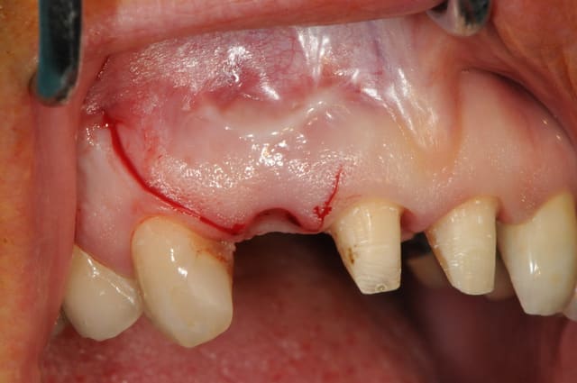
-22 à été posée juste avant que je ne vois la patiente pour un problème récurent d'infection chronique sur 22.

je fais donc une résection apicale sur 22, mais manque de bol il y a récidive et le traitement échoue.

on décide donc d'extraire 22 tout en refaisant un bridge sur 11 et 21 avec un cantilever pour la 22 nouvellement extraite.
je dis à la patiente que la pose d'in implant n'est pas forcément ce qu'il y a de mieux et qu'il vaut mieux attendre la cicatrisation pour décider...

deux mois après (photo 2-3-4), l'état de la gencive me paraît plutôt sympa et je propose donc d'en rester là. toutefois la patiente ne veut pas, elle à peur de perdre le bridge (même le définitif) , bref, elle veut un implant !
parfois les patients, faut les freiner, mais là ,autant essayer d’arrêter un camion avec ses mains, elle veut rien savoir.

Dsc 4848 rsuovu - Eugenol
Dsc 5404 scnqrt - Eugenol
Dsc 5570 lbdgxt - Eugenol
Dsc 5574 adkkpo - Eugenol

3f3boxni50k58rq7e9ce9ddqrxgk - Eugenol
dentiste57

08/10/2012 à 01h09

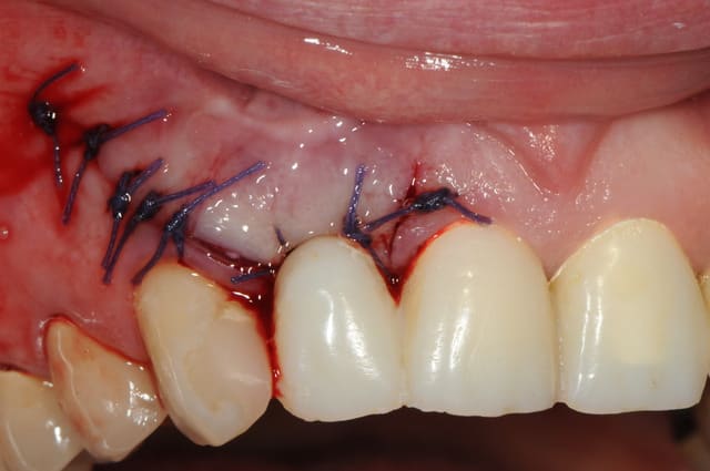
je jour J, à l'heure H, je fini par poser mon implant.
il reste même après deux mois encore des saletés (photo2)

photo
3- axe implantaire
4-5 pose implant et comblement
6 sutures ( je sais, c'est affreux des gros fils en soie!)
7-8 bridge provisoire
9- J +... plusieurs jours... (je sais plus combien)

Dsc 5575 wg4s0w - Eugenol
Dsc 5576 iv34v6 - Eugenol
Dsc 5578 l6brrs - Eugenol
Dsc 5584 trpcza - Eugenol
Dsc 5585 uxr0sy - Eugenol
Dsc 5587 qrh63x - Eugenol
Dsc 5588 ret2b8 - Eugenol
Dsc 5590 wk2r2u - Eugenol
Dsc 6120 z0zdch - Eugenol

3f3boxni50k58rq7e9ce9ddqrxgk - Eugenol
dentiste57

08/10/2012 à 01h18

donc après encore 3 mois, je fais enfin la mise à jour de l'implant (un vrai bonheur avec ce système implantaire où l'on vient chercher la vis de couverture "à l'aveugle")

protection du trou d’accès avec du compo provisoire (photo5)

photo 8 : provisoire réalisée à partir d'un moule Ion

photo 9-10 : positionnement de la dent

Dsc 6126 zu8wrp - Eugenol
Dsc 6128 eckdrw - Eugenol
Dsc 6129 wbvfi8 - Eugenol
Dsc 6135 riuzhq - Eugenol
Dsc 6139 jk0wsp - Eugenol
Dsc 6142 veee3q - Eugenol
Dsc 6145 zdgg3w - Eugenol
Dsc 6149 nlpn9n - Eugenol
Dsc 6151 kckbit - Eugenol
Dsc 6152 tfc3vq - Eugenol

3f3boxni50k58rq7e9ce9ddqrxgk - Eugenol
dentiste57

08/10/2012 à 01h25

photo :
1- encore quelque temps plus tard
2 mise ne place d'un transfert d'implant pop-in (les nouveaux sont un peu mieux) puis empreinte des dents et de l'implant
3-4-5-6 la réalisation de la prothèse et vue agrandie du pilier en zircone

Dsc 6692 nrycsd - Eugenol
Dsc 6694 g2jblp - Eugenol
Dsc 7033 jq44ef - Eugenol
Dsc 7035 rctmrj - Eugenol
Dsc 7036 ltoma1 - Eugenol
Dsc 7043 ujp7ap - Eugenol

3f3boxni50k58rq7e9ce9ddqrxgk - Eugenol
dentiste57

08/10/2012 à 01h30

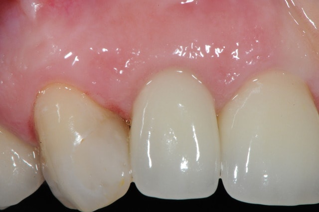
voici - voilà:

photo
1: j+ 2 ou 3 jours
2: j+8 mois
3-4-5: j+ 2 ans

sur la photo 3 on voit à la gencive que l'aspect est moins granité au niveau du col.
c'était ça l'indice pour trouver Charlie.

bonne soirée à toutes et à tous.

Dsc 7661 tj5vzz - Eugenol
Dsc 0670 awmhvs - Eugenol
Dsc 1534 cpci6i - Eugenol
Dsc 3114 tfvuyc - Eugenol
Dsc 6192 anlkrl - Eugenol

hachehaine

08/10/2012 à 01h33

Les prép sont superbes , tu fais une finition de la limite cervicale au US ?
Quelles sont tes réferences de fraises ? Bague rouge ou turbine ?



Img 2951 flo3gr - Eugenol
molinarius

08/10/2012 à 03h21

très belle réalisation ... bravo

Concernant le pilier Zr as tu utilisé une vis particulière ?? quel serrage ? la vis
était elle fournie avec le pilier ?
Quel force de serrage préconise le fournisseur ?

merci ;)


Grueavatar nptrc9 - Eugenol
Le Choixpeau magique

08/10/2012 à 10h43

C'est dommage car ta partie est très bien gérée et au final entre les couronnes dento et implanto portées la luminosité n'est pas la même, est-ce que c'est le même type de couronnes ?
Je me demande si avec Simeda il sera possible de faire des piliers zircone colorés, je pense qu'un peu plus de saturation du pilier n'aurait pas fait de mal, à moins que la couronne soit elle même opaque.


Icon hase505so n7k1wb - Eugenol
airylis

08/10/2012 à 10h56

Superbe ! Bravo !


l adan

08/10/2012 à 11h38

Très jolie realisation . Une petite question : comment as tu déterminé la profondeur d'enfouissement de l'implant ? il est enfoui de combien de mm sous le niveau osseux ?


3f3boxni50k58rq7e9ce9ddqrxgk - Eugenol
dentiste57

08/10/2012 à 14h31

"Les prép sont superbes , tu fais une finition de la limite cervicale au US ? "

**non, pas d'us ! j'ai pas encore essayé

**pour ce qui est des références des fraises:???


"Concernant le pilier Zr as tu utilisé une vis particulière ?? quel serrage ? la vis
était elle fournie avec le pilier ?"

** oui les vis sont fournies avec le pilier qui est un simple pilier standardisé en zircone.

"Quel force de serrage préconise le fournisseur ?"
** 25n.cm, jamais eu de dévissage...

"C'est dommage car ta partie est très bien gérée et au final entre les couronnes dento et implanto portées la luminosité n'est pas la même, est-ce que c'est le même type de couronnes ?
Je me demande si avec Simeda il sera possible de faire des piliers zircone colorés, je pense qu'un peu plus de saturation du pilier n'aurait pas fait de mal, à moins que la couronne soit elle même opaque."

** suis aussi de ton avis, la zircone est trop blanche, j'aimerai des piliers plus suturés
les couronnes sont faites avec une chape zircone

"Une petite question : comment as tu déterminé la profondeur d'enfouissement de l'implant ? il est enfoui de combien de mm sous le niveau osseux ?"

je m'arrange pour que le bord périphérique du pilier soit 1 à 2mm sous le contour gingivale des dents voisines. cela suppose qu'il faille essayer le pilier idéal PENDANT la chirurgie. il en faut donc plusieurs, mais c'est là l'avantage de poser soit même ses implants car on a l'habitude de faire la prothèse aussi. ce n'est donc pas le cas des stomato à qui je reprocherai simplement le manque d'expérience en prothèse. quand je pose un implant pour un correspondant, il ne lui reste quasi plus rien à faire, même le choix du pilier le plus approprié est défini à l'avance. généralement, il est rare que l'on doive changer de référence.


3f3boxni50k58rq7e9ce9ddqrxgk - Eugenol
dentiste57

08/10/2012 à 14h41

dentiste57 écrivait:
--------------------
> "Les prép sont superbes , tu fais une finition de la limite cervicale au US ? "
>
> **non, pas d'us ! j'ai pas encore essayé
>
> **pour ce qui est des références des fraises:???
>
>
> "Concernant le pilier Zr as tu utilisé une vis particulière ?? quel serrage ? la
> vis
> était elle fournie avec le pilier ?"
>
> ** oui les vis sont fournies avec le pilier qui est un simple pilier standardisé
> en zircone.
>
> "Quel force de serrage préconise le fournisseur ?"
> ** 25n.cm, jamais eu de dévissage...
>
> "C'est dommage car ta partie est très bien gérée et au final entre les couronnes
> dento et implanto portées la luminosité n'est pas la même, est-ce que c'est le
> même type de couronnes ?
> Je me demande si avec Simeda il sera possible de faire des piliers zircone
> colorés, je pense qu'un peu plus de saturation du pilier n'aurait pas fait de
> mal, à moins que la couronne soit elle même opaque."
>
> ** suis aussi de ton avis, la zircone est trop blanche, j'aimerai des piliers
> plus suturés
> les couronnes sont faites avec une chape zircone
>
> "Une petite question : comment as tu déterminé la profondeur d'enfouissement de
> l'implant ? il est enfoui de combien de mm sous le niveau osseux ?"
>
> je m'arrange pour que le bord périphérique du pilier soit 1 à 2mm sous le
> contour gingivale des dents voisines. cela suppose qu'il faille essayer le
> pilier idéal PENDANT la chirurgie. il en faut donc plusieurs, mais c'est là
> l'avantage de poser soit même ses implants car on a l'habitude de faire la
> prothèse aussi. ce n'est donc pas le cas des stomato à qui je reprocherai
> simplement le manque d'expérience en prothèse. quand je pose un implant pour un
> correspondant, il ne lui reste quasi plus rien à faire, même le choix du pilier
> le plus approprié est défini à l'avance. généralement, il est rare que l'ont
> doivent changer de référence.

voici pour la radio de contrôle.

R23 ukz8kf - Eugenol

Img 2951 flo3gr - Eugenol
molinarius

08/10/2012 à 18h59

dentiste57 écrivait:
--------------------
> dentiste57 écrivait:
> --------------------

> > Je me demande si avec Simeda il sera possible de faire des piliers zircone
> > colorés, je pense qu'un peu plus de saturation du pilier n'aurait pas fait de
> > mal, à moins que la couronne soit elle même opaque."
> >


Un peu dans cet esprit ... j'ai pas de pilier sous la main ,
sur ce cas de future CZR transvissées , les profils d'émergence sont teinté "rose" et le reste teinté en dégradé en fonction de la teinte choisie.
Sur un pilier avec ou sans base TI la même chose est parfaitement réalisable

Toujours pareil photos pourris ... iphone .. désolé


Img 2951 flo3gr - Eugenol
molinarius

08/10/2012 à 19h02

avec les photos c'est mieux

Pi kerbxk - Eugenol
P2 p89vnt - Eugenol
Photo  2  lrvltu - Eugenol

doagui

08/10/2012 à 20h19

Les piliers Atlantis en CFAO sont disponibles en titane doré, afin de donner un peu plus de chaleur aux couronnes par transparence.

Très joli résultat ceci dit !


Cinquo ht16g4 - Eugenol
dentistevip

08/10/2012 à 21h14

vous n'étiez pas entièrement satisfait du profil d'émergence que vous aviez créé en réalisant la provisoire pour choisir de prendre l'empreinte sans reproduire ce profil sur le transfert ?

je pensais aussi qu'avec le procédé simeda, anthogyr pouvait vous proposer du pilier sur mesure ce qui aurait été idéal ici.

salutations confraternelles


3f3boxni50k58rq7e9ce9ddqrxgk - Eugenol
dentiste57

09/10/2012 à 14h44

dentistevip écrivait:
---------------------
> vous n'étiez pas entièrement satisfait du profil d'émergence que vous aviez créé
> en réalisant la provisoire pour choisir de prendre l'empreinte sans reproduire
> ce profil sur le transfert ?
>

si j'en était satisfait mais dans le cas présent le profil d'émergence et déjà en grande part défini par la forme du pilier en zircone.


12