Cookie Consent byPrivacyPolicies.comoù est Charlie ? - Eugenol

où est Charlie ?

sinclair

21/10/2012 à 13h01

salut

suite du jeu

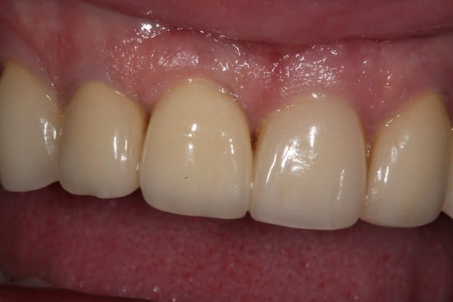
(petite précision c'est une photo à + de 2 ans post prothèse)

Img 2704 uh7ubr - Eugenol

Smile beach jgh0a1 - Eugenol
Céramik

21/10/2012 à 18h22



21 ?


--
Céramik


Olieve

21/10/2012 à 20h43

11 et 12 ?


Bebe 038 nf8eum - Eugenol
danteyeah

21/10/2012 à 21h06

21 aussi, papilles gingivales un peu effondrées entre 21-11 et 21-22, et 21 plus courte (l'implant est figé dans l'os, les dents naturelles ont, elles, pu migrer un peu en 2 ans?)


Photo pluton1b h9n4ea - Eugenol
pluton

21/10/2012 à 21h11

23 ou 22...j'ai l'impression de distinguer une ou des incisions de décharge de lambeau de part et d'autre de la 23...


Smile beach jgh0a1 - Eugenol
Céramik

21/10/2012 à 21h58


24 aussi...

--
Céramik


3f3boxni50k58rq7e9ce9ddqrxgk - Eugenol
dentiste57

21/10/2012 à 22h05

12 et 21

beau boulot!
tu nous montres la chir ?


Grueavatar nptrc9 - Eugenol
Le Choixpeau magique

21/10/2012 à 22h29

J'aurais dit toutes les dents visibles.


duck

21/10/2012 à 23h52

;


3f3boxni50k58rq7e9ce9ddqrxgk - Eugenol
dentiste57

22/10/2012 à 00h09

toutes les dents, c'est évident! moi, je parlais de l'implant.


duck

22/10/2012 à 00h21

;


sinclair

22/10/2012 à 00h23

la réponse
c'est 11 en EII avec Mise en fonction immédiate mais... il y a 5-6 ans et comme beaucoup d'entre vous je me suis rendu compte que EII + MFI n'était pas une garantie pour éviter la fonte osseuse.

Pour prévenir la fonte osseuse, on m'a suggéré une technique, et c'est avec cette technique qu'il y a maintenant plus de 2 ans j'ai traité la 21

1/ photo pré op
2/ extraction + forage lingualé
3/ pose d'un implant Dentium SuperLine 5/14 en ménageant un espace avec l'os vestibulaire
4/ comblement avec de l'osteon de l'espace vestibulaire, mais aussi d'un autre espace
cet espace est une poche sous périostée qui est créé en vestibulaire de l'os vestibulaire, il faut évidemment ne pas déchirer le périoste.
5 et 6/ Pose d'un pilier en peek et couronne provisoire transvissée

Eii mci  0  dvldl6 - Eugenol
Eii mci  2  zjs9w3 - Eugenol
Eii mci  3  taslcb - Eugenol
Eii mci  4  msfnsh - Eugenol
Eii mci  5  gppyri - Eugenol
Eii mci  6  ysoicl - Eugenol

Blason dql7mj - Eugenol
growler

22/10/2012 à 00h26

super!


sinclair

22/10/2012 à 00h31

suite

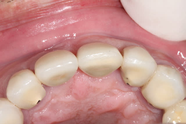
photo de controle vue vestibulaire et occlusale 8 mois post chir

puis à 2 ans post op

on constate que contrairement à la 11 surlaquelle il y a un affaissement de l'os vestibulaire
sur la 21 le volume est préservé

PS toutes les dents ont été couronné en unitaire il y a une dizaine d'années, mais patient qui bruxe beaucoup et qui a fracturé la 11 puis la 21

Img 2218 uycpja - Eugenol
Img 2219 c5cp9b - Eugenol
Img 2704 zdwjtd - Eugenol
Img 2705 lzuz2u - Eugenol

Smile beach jgh0a1 - Eugenol
Céramik

22/10/2012 à 01h17

Très bien fait.

J'ai au moins gagné sur la 21 !

Si je peux me permettre, la 11 semble plus naturelle, car le zénith gingival est plus ovoide. La 21 possède certe plus de volume de tissu en vestibulaire, mais le collet gingivale est trop coronaire, effet de dent trapue.

L'ensemble est par contre sympa.
Une radio des implants ?

Merci


--
Céramik


3f3boxni50k58rq7e9ce9ddqrxgk - Eugenol
dentiste57

22/10/2012 à 02h04

y a pas! c'est chouette!


12