Tous les forums
où est Charlie ?
21/10/2012 à 13h01
salut
suite du jeu
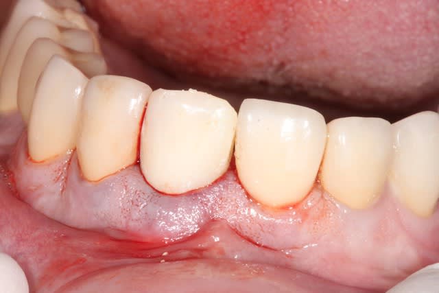
(petite précision c'est une photo à + de 2 ans post prothèse)
21/10/2012 à 21h06
21 aussi, papilles gingivales un peu effondrées entre 21-11 et 21-22, et 21 plus courte (l'implant est figé dans l'os, les dents naturelles ont, elles, pu migrer un peu en 2 ans?)
21/10/2012 à 21h11
23 ou 22...j'ai l'impression de distinguer une ou des incisions de décharge de lambeau de part et d'autre de la 23...
22/10/2012 à 00h23
la réponse
c'est 11 en EII avec Mise en fonction immédiate mais... il y a 5-6 ans et comme beaucoup d'entre vous je me suis rendu compte que EII + MFI n'était pas une garantie pour éviter la fonte osseuse.
Pour prévenir la fonte osseuse, on m'a suggéré une technique, et c'est avec cette technique qu'il y a maintenant plus de 2 ans j'ai traité la 21
1/ photo pré op
2/ extraction + forage lingualé
3/ pose d'un implant Dentium SuperLine 5/14 en ménageant un espace avec l'os vestibulaire
4/ comblement avec de l'osteon de l'espace vestibulaire, mais aussi d'un autre espace
cet espace est une poche sous périostée qui est créé en vestibulaire de l'os vestibulaire, il faut évidemment ne pas déchirer le périoste.
5 et 6/ Pose d'un pilier en peek et couronne provisoire transvissée
22/10/2012 à 00h31
suite
photo de controle vue vestibulaire et occlusale 8 mois post chir
puis à 2 ans post op
on constate que contrairement à la 11 surlaquelle il y a un affaissement de l'os vestibulaire
sur la 21 le volume est préservé
PS toutes les dents ont été couronné en unitaire il y a une dizaine d'années, mais patient qui bruxe beaucoup et qui a fracturé la 11 puis la 21
22/10/2012 à 01h17
Très bien fait.
J'ai au moins gagné sur la 21 !
Si je peux me permettre, la 11 semble plus naturelle, car le zénith gingival est plus ovoide. La 21 possède certe plus de volume de tissu en vestibulaire, mais le collet gingivale est trop coronaire, effet de dent trapue.
L'ensemble est par contre sympa.
Une radio des implants ?
Merci
--
Céramik