Cookie Consent byPrivacyPolicies.comCerexcellence - Eugenol

Cerexcellence

Img 4593 pnrtmh - Eugenol
teethsurfer

07/10/2012 à 23h17

L'esthétique n'est pas la priorité du Cerec même si le mimétisme et l'absence de métal sont très appréciables et y contribuent largement, il permet surtout de réaliser des restaurations full céramiques précises et chairside souvent en séance unique.

Mais ce n'est pas pour autant qu'elle est incompatible avec le Cerec et ce fil au titre volontairement provocateur et ambitieux a pour objectif d’améliorer autant la morphologie que le maquillage de ces restaurations en partageant nos astuces, nos critiques (les eugenoliens y excellent déjà ;o) et même nos autocritiques tout en étant conscients que certaines réalisations ne passeront pas au four pour des raisons économiques.

Les divers échanges précédents sur le Cerec se repolarisant trop souvent sur ce sujet au détriment du leur qui en est même fâcheusement éclipsé, ce fil devrait donc permettre aussi de recentrer leurs discussions.



Img 4593 pnrtmh - Eugenol
teethsurfer

07/10/2012 à 23h33

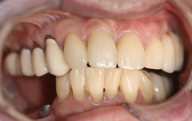
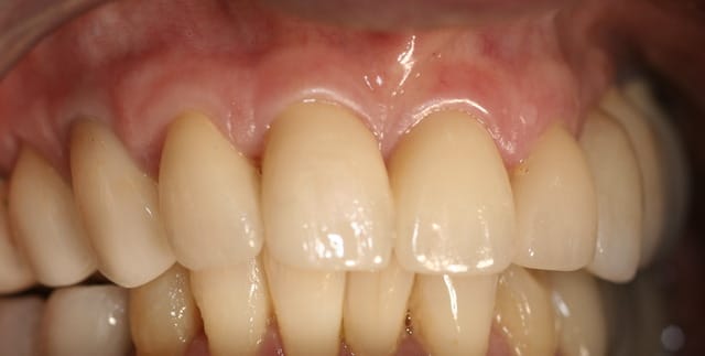
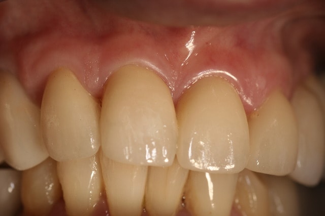
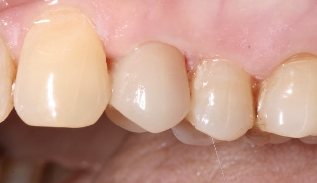
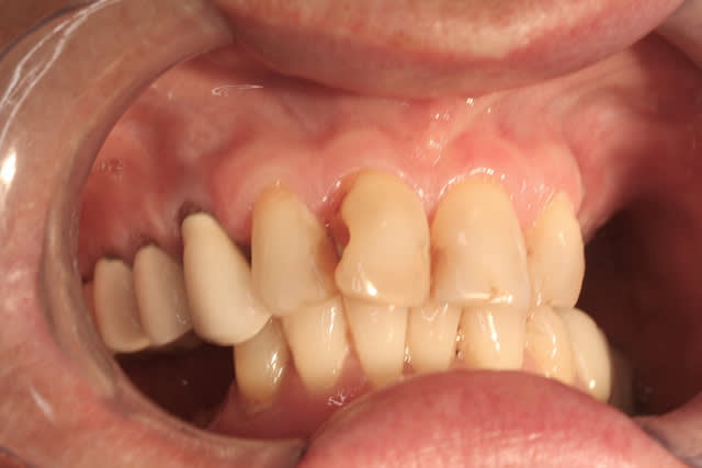
Je me lance pour le premier cas. Il s'agit d'une 22 réalisée en empress multi dont je joins les différents stades (initial, pilier, juste usinée, maquillée et glacée et après polissage). La 21 est naturelle et présente un angle composite, la 23 est recouverte d'une ccm.

J'ai été confronté au même problème qu'avec l'emax en ce qui concerne la granulométrie de surface quoique dans des proportions moindres mais je n'ai pratiqué le polissage qu'après maquillage.
A quoi pensez-vous qu'elle soit due? Au matériau, à une glazure instable, insuffisante ou excessive ou bien encore à un défaut de programmation du four pourtant paramétré par Ivoclar?
La glazure a été mise en place ici au pinceau avant les maquillants.

22ini ppqset - Eugenol
22prep jcaotu - Eugenol
22 multi usinee - Eugenol
22 multi usinee - Eugenol
22 maquillage et glacage i4wl8h - Eugenol
22 maquillage et gla age - Eugenol
22 maquillage et polissage final fn5dab - Eugenol

Img 2951 flo3gr - Eugenol
molinarius

08/10/2012 à 03h35

salut ,

Qu'elle glasure utilises tu ?
celle d'ivoclar je présume .. attention à l'application de cette dernière ,, ne pas surcharger , tirer la glasure avec un pinceau fin , propre .
Ensuite utilises tu un diluant avec cette glasure ? (liquid stain)

Dans un post précédent , spatouille a indiquer des kit fraise de chez komet pour travailler l'état de surface avant de passer la glasure ...

concernant le four , as tu étalonné ce dernier récemment ? logiquement les programmes pré installé des four ivoclar sont fiables ...


Bazaruto 2007 ircsez - Eugenol
jumpingjackflash

08/10/2012 à 10h55

Emax maquillé , mais dans la précipitation j'ai oublié la glasure
je me pose des questions?

 mg 7078 qxmmi5 - Eugenol
 mg 7083 drwoks - Eugenol

Bazaruto 2007 ircsez - Eugenol
jumpingjackflash

08/10/2012 à 11h18

Incisive Vita trilux ,canine PM Emax
dernière photo 2 ans après réalisation des incisives
c'est peut être pas parfait mais ça a de la gueule quand même

Img 3997 qkf6g4 - Eugenol
 mg 6899 mnnkh6 - Eugenol
 mg 6905 iarcil - Eugenol
 mg 6856 pt9x99 - Eugenol

Image ag8nh7 - Eugenol
vali

08/10/2012 à 16h50

teethsurfer écrivait:
---------------------
> Je me lance pour le premier cas. Il s'agit d'une 22 réalisée en empress multi
> dont je joins les différents stades (initial, pilier, juste usinée, maquillée et
> glacée et après polissage). La 21 est naturelle et présente un angle composite,
> la 23 est recouverte d'une ccm.
>
> J'ai été confronté au même problème qu'avec l'emax en ce qui concerne la
> granulométrie de surface quoique dans des proportions moindres mais je n'ai
> pratiqué le polissage qu'après maquillage.
> A quoi pensez-vous qu'elle soit due? Au matériau, à une glazure instable,
> insuffisante ou excessive ou bien encore à un défaut de programmation du four
> pourtant paramétré par Ivoclar?
> La glazure a été mise en place ici au pinceau avant les maquillants.


c'est vraiment bizarre ton rendu, si tu as skype je montre a ton AD en direct comme faire les glaçages et maquillages.
bises


--
AD qui adore son CEREC.


Img 4593 pnrtmh - Eugenol
teethsurfer

08/10/2012 à 21h42

molinarius écrivait:
--------------------
> salut, Qu'elle glasure utilises tu ?
> celle d'ivoclar je présume .. attention à l'application de cette dernière ,,
> ne pas surcharger , tirer la glasure avec un pinceau fin , propre .
> Ensuite utilises tu un diluant avec cette glasure ? (liquid stain)
> Dans un post précédent , spatouille a indiquer des kit fraise de chez komet
> pour travailler l'état de surface avant de passer la glasure ...
> concernant le four , as tu étalonné ce dernier récemment ? logiquement les
> programmes pré installé des four ivoclar sont fiables ...

J’utilise effectivement la glazure d’Ivoclar avec diluant. La surface granuleuse est apparue nettement après glaçage contrairement à l’emax qui est granuleux après usinage et que je traite ainsi que Spatouille l’a conseillé en le polissant avant glaçage.
Le four a été étalonné récemment par une formatrice d’Ivoclar.


jumpingjackflash écrivait:
--------------------------
> Emax maquillé , mais dans la précipitation j'ai oublié la glasure
> je me pose des questions?

Moi aussi ;o)
--------------------------
> Incisive Vita trilux ,canine PM Emax
> dernière photo 2 ans après réalisation des incisives
> c'est peut être pas parfait mais ça a de la gueule quand même

Je note surtout l’intégration parfaite des céramiques au niveau de la gencive après 2 années.


vali écrivait:
--------------
> c'est vraiment bizarre ton rendu, si tu as skype je montre a ton AD en direct
> comme faire les glaçages et maquillages.
> bises

J’ai ! C’est une excellente idée, il va juste falloir trouver le bon moment...
Merci pour ta proposition et bises à toi aussi ;o)


87 ujotte - Eugenol
Spatouille

08/10/2012 à 22h01

beau travail Jumpingjackflash ! :)
belle harmonie de teinte pour l'emploi de deux matériaux différent.

ne te poses pas trop de questions, les shades ont aussi quelques propriété "glaçante"...


Image gle53x - Eugenol
cadxpress13

28/10/2012 à 23h17

Bsr j ai lu vos problèmes. Je suis prothésiste et j utilise emax. Press ou cad. Les blucad que vous utilisez je pense ! Si vous avez un four ivoclar la cristallisation c est le programme 81. Donc vous faites la cristallisation puis après vous maquillez avec le glaze ivoclar et les maquillants puis vous refaite le programme 81. Et la c est bien glacé. Voila


Img 4593 pnrtmh - Eugenol
teethsurfer

09/11/2012 à 21h44

Ayant un Programat CS d'Ivoclar, les numéros de programmes attribués par l'installateur sont différents et leur nombre bien inférieur à 81, as-tu l'intitulé de tes programmes ou du moins leurs paramétrages?