Cookie Consent byPrivacyPolicies.compremier cas facettes - Eugenol
maz

11/10/2012 à 10h33

enfin un cas sympa pour faire des facettes, et a part une unitaire une fois c'est mon premier cas

le premier mock up était tout penché un peu plat, j'ai rajouté du composite par dessus la cire pour en faire un second qui nous plaise plus, à la patiente et à moi.
on a pas voulu toucher le collet de la 12, patiente pas motivée pour chir et ça me simplifiait la vie pour une première

ce sont des emax qui sont prévues

j'ai pris les empreintes, le rendez vous de pose est dans 2 semaines



4 deuxi me mock up mqht91 - Eugenol
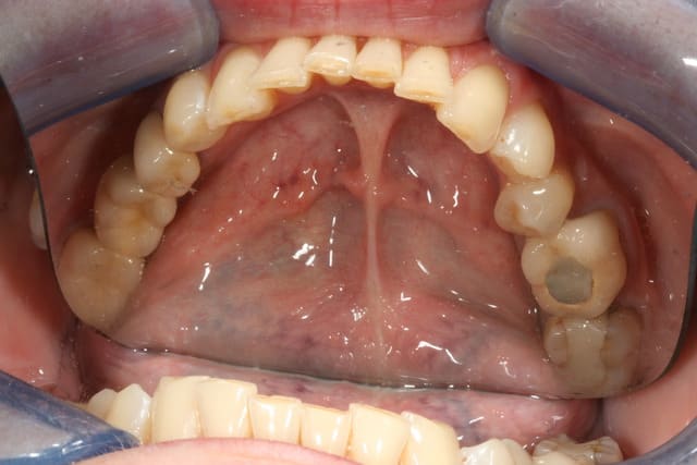
5 d but pr paration sre0d3 - Eugenol
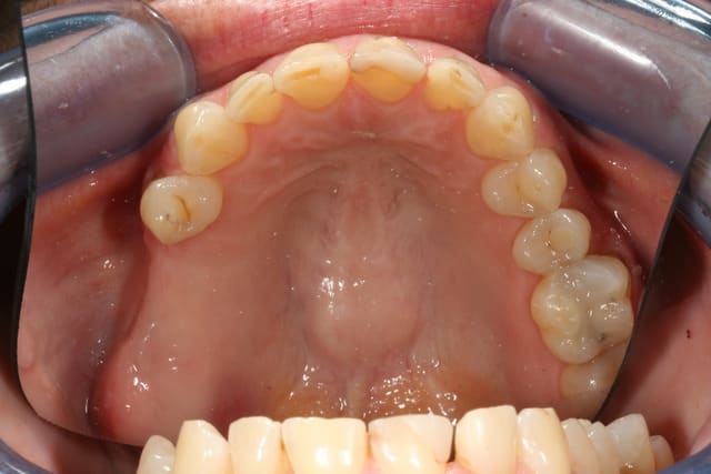
6 dents pr par es x0xesq - Eugenol
8 provisoires z7xjop - Eugenol
9 empreinte eomiql - Eugenol
10 retraction jj3ujj - Eugenol
1   dents avant   copie dbgdjq - Eugenol
2   dents avant nqguzj - Eugenol
3 premier mock up pmrzit - Eugenol
7 dents pr par es 2 s5eeb9 - Eugenol

S2y2o1v7q53ws4r5wy6ou8czrpom - Eugenol
pxav

11/10/2012 à 11h05

Salut Maz
Très intéressant ton cas, j'aime bien l’esthétique des dents "vivantes".
Par contre, pour moi ce n'est pas un cas de facettes car bruxo, et il me semble indispensable de compenser les courbes d'occlusion.
Autres points, qui justifie le contrôle par photos, il semble qu'il reste un point ou deux de dentine infiltrée et un compo qui aurais mérité d’être viré.
Empreinte quasiment parfaite par contre.
Merci de présenter

--
xbk
"Si tous ceux qui croient avoir raison n'avaient pas tort, la vérité ne serait pas loin" Dac Pierre


Samy8 mgu6if - Eugenol
oliverKapaspeur

11/10/2012 à 11h10

Comment t'y prends tu pour la temporisation? je n'ai aucune expérience en facettes...


Aiguille cyboyt - Eugenol
fatboy

11/10/2012 à 12h11

bonjour,
C'est tres joli et j'attend avec impatience la suite.
Quelques petites questions:
A quoi sert le morceau de matrice, que tu mets sur l'empreinte? Est ce parce que la limite de la prepa est sur le point de contact?
Pourquoi ne pas s'etre approche un peu plus de la gencive dans tes prepa, alors qu'apparement tes provisoires sont juxta-gingivaux?
J'aurais moi aussi enleve les petites taches de dentines infiltree, au dela du risque carieux , il y a un risque qu'elles apparaissent par translucidite.
La gestion des provisoires n'est pas evidente, pour pallier les bulles qui peuvent se glisser ca et la, tu peux utiliser du compo flow qui rend bien service.
Le secteur 2 a l'air bien vide en posterieur j'aurai peut etre commence par la.

Ne te vexe pas, ton cas est tres beau et tes photos montrent ta motivation et ton savoir-faire. Les tailles sont precises, les etapes respectees, l'empreinte parfaite.

P.S.: comment tu fais pour faire un fond noir derriere tes prepas sur les photos, il y a un logiciel ou tu prends une tronconneuse et tu decoupe le maxillaire pour le mettre sur du velours noir?


paradoxe

11/10/2012 à 12h24

C'est le bon coté du boulot.
Redonner du sourire et un peu de joie.
Pour le bruxisme, préviens la personne, et prévois la solution au cas où.


maz

11/10/2012 à 12h50

pxav écrivait:
--------------
> Salut Maz
> Très intéressant ton cas, j'aime bien l’esthétique des dents "vivantes".
> Par contre, pour moi ce n'est pas un cas de facettes car bruxo, et il me semble
> indispensable de compenser les courbes d'occlusion.
> Autres points, qui justifie le contrôle par photos, il semble qu'il reste un
> point ou deux de dentine infiltrée et un compo qui aurais mérité d’être viré.
> Empreinte quasiment parfaite par contre.
> Merci de présenter
>
> --
> xbk
> "Si tous ceux qui croient avoir raison n'avaient pas tort, la vérité ne
> serait pas loin" Dac Pierre

tu as tout à fait raison
j'ai zappé le début du traitement. Elle s'est présenté avec avulsion récentes de 26 et 27 dans des conditions bizarres, genre elle avait des douleurs dans la zone, un stomato à viré les dents et ça n'a rien changé ..
elle a eu gouttière en relation centrée un moment, puis avec l'amélioration des symptomes, (j'ai juste amélioré son calage je pense) on est passé au fixe, avec augmentation de la DV. Il y a eu implants 25 26 après sinus lift, couronne 36, bridge 45/47, onlay 16 et facettes palatines en composite de 13 à 23 et composites sur les incisives en bas

depuis ça va mieux, je suis juste déçu par l'articulé inversé de la 27 mais la position de l'implant ne permettait pas vraiment autre chose (encore qu'en jouant sur la couronne 36 et en vestibulant un peu les couronnes sur implant ça aurait peut être pu passer)

j'ai refait les compos des incisives avant de lancer tout ça, pour être sur du collage, et on aussi fait un éclaircissement.

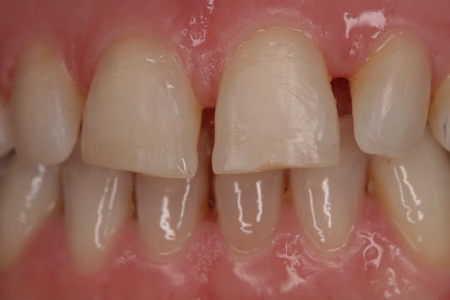
pour les points de caries que j'ai découverts entre 22 et 23, j'ai essayé d'en enlever un maximum en préparant, mais c'est vrai qu'en regardant les photos ça semble un peu limite sur la 22, peut être que j'y repasserait un coup de fraise avant de coller les facettes.

il est aussi prévu une gouttière pour la nuit pour protéger tout ça juste après avoir collé les facettes

5 apr s calages post ln1emp - Eugenol
7 apr s arcade haut aucykr - Eugenol
1 avant arcade haut wwptcn - Eugenol
2 avant arcade du bas drvpyn - Eugenol
3 avant secteur 2 moulages tfdchg - Eugenol
4 t l radio ape4aa - Eugenol
6 apr s arcade bas sobsbe - Eugenol

Img 3657 cwjvqm - Eugenol
alapex

11/10/2012 à 13h07

Je suis assez d'accord pour la préparation supragingivale dans certains cas , être le moins invasif est l'axiome à retenir , inutile de s'enfoncer éperdument au risque de blesser le sulcus et l'attache .
Encore faut-il calculer son coup question teinte , et bien garder la même , l'application se fait alors pour des cas esthétiques de changement de forme des dents uniquement .
Je suis admiratif à propos du fil de rétraction , j'ai personnellement beaucoup de mal et m'en passe souvent .(pas glop...)))
C'est top .


Bazaruto 2007 ircsez - Eugenol
jumpingjackflash

11/10/2012 à 13h42

je ne comprend pas l'utilité du fil pour des préparations supra gingivales de1/2mm


maz

11/10/2012 à 13h57

fatboy écrivait:
----------------

> Quelques petites questions:
> A quoi sert le morceau de matrice, que tu mets sur l'empreinte? Est ce parce que
> la limite de la prepa est sur le point de contact?

en fait j'ai pas du tout passé le point de contact à cet endroit, et je voulais que je prothésiste puisse facilement faire ses modèles unitaires. C'est aussi un test ; un truc que j'ai vu et que j'ai jamais fait, je voulais voir ce que ça donne, j'aurais surement pu m'en passer ici.

> Pourquoi ne pas s'etre approche un peu plus de la gencive dans tes prepa, alors
> qu'apparement tes provisoires sont juxta-gingivaux?

parce que je voulais pas changer plus la couleur des dents, donc autant rester loin, ça simplifie toute la suite, empreinte, collage
effectivement, pour les provisoire, on peut dire qu'ils sont débordants, j'aurais du mieux les ajuster à la bonne limite

> J'aurais moi aussi enleve les petites taches de dentines infiltree, au dela du
> risque carieux , il y a un risque qu'elles apparaissent par translucidite.

je pense pas que ça puisse ce voir, c'est quand même assez loin en interdentaire.
par contre j'ai plus peur du risque de carie derrière la facette effectivement, j'aurais du creuser un peu plus et mettre un peu de compo

> La gestion des provisoires n'est pas evidente, pour pallier les bulles qui
> peuvent se glisser ca et la, tu peux utiliser du compo flow qui rend bien
> service.

oui, j'aurais du faire ça, mais j'en avais marre à la fin ;)

> P.S.: comment tu fais pour faire un fond noir derriere tes prepas sur les
> photos, il y a un logiciel ou tu prends une tronconneuse et tu decoupe le
> maxillaire pour le mettre sur du velours noir?

tu as des contrasteur photo qui ont la bonne forme et évitent l'étape fastidieuse de découpe du maxillaire (et de nettoyage des murs de la salle de soin avant le patient suivant)
un exemple d'utilisation : http://www.youtube.com/watch?feature=player_embedded&v=MN5gC3QjxQY


maz

11/10/2012 à 14h30

jumpingjackflash écrivait:
--------------------------
> je ne comprend pas l'utilité du fil pour des préparations supra gingivales
> de1/2mm

je n'ai rentré le fil qu'aux endroits ou j'étais juxta ou très peu supra

quand à savoir pourquoi je suis juxta à certains endroits et supra à d'autres, je dois avouer que je sais pas trop, j'ai du me dire qu'il fallait descendre un peu en interdentaire parce que les dents étaient assez écartées et que ça permettrait au prothésiste de me faire un plus joli profil d'emergence à ces endroits.

je préfère le fil dans les cas avec plusieurs préparations dans ce style, parce qu'on peut mettre un seul fil et tout tirer d'un coup en injectant derrière

la plupart du temps je fais à l'expasyl, mais c'est trop long à rincer quand il y a trop de dents, travaillant seul le matériau à empreinte commence à prendre le temps de tout rincer

j'aurais peut être pu me passer complètement de retraction gingivale dans ce cas, mais ça me donnera une raison de râler sur mon prothésiste qui m'aura bouffé les profil d'émergence au détourage


S2y2o1v7q53ws4r5wy6ou8czrpom - Eugenol
pxav

11/10/2012 à 15h16

maz écrivait:
-------------

> tu as tout à fait raison
> j'ai zappé le début du traitement. Elle s'est présenté avec avulsion récentes de
> 26 et 27 dans des conditions bizarres, genre elle avait des douleurs dans la
> zone, un stomato à viré les dents et ça n'a rien changé ..
> elle a eu gouttière en relation centrée un moment, puis avec l'amélioration des
> symptomes, (j'ai juste amélioré son calage je pense) on est passé au fixe, avec
> augmentation de la DV. Il y a eu implants 25 26 après sinus lift, couronne 36,
> bridge 45/47, onlay 16 et facettes palatines en composite de 13 à 23 et
> composites sur les incisives en bas
>
> depuis ça va mieux, je suis juste déçu par l'articulé inversé de la 27 mais la
> position de l'implant ne permettait pas vraiment autre chose (encore qu'en
> jouant sur la couronne 36 et en vestibulant un peu les couronnes sur implant ça
> aurait peut être pu passer)
>
> j'ai refait les compos des incisives avant de lancer tout ça, pour être sur du
> collage, et on aussi fait un éclaircissement.
>
> pour les points de caries que j'ai découverts entre 22 et 23, j'ai essayé d'en
> enlever un maximum en préparant, mais c'est vrai qu'en regardant les photos ça
> semble un peu limite sur la 22, peut être que j'y repasserait un coup de fraise
> avant de coller les facettes.
>
> il est aussi prévu une gouttière pour la nuit pour protéger tout ça juste après
> avoir collé les facettes


Tu aurais du présenter le cas du début, d'abord parce que ça montre le coté indispensable du TTT global, et ensuite ça m'aurai évité une petite remarque (gentille).
C'est le e bon coté des présentations avec photos , ça nous permet de voir nos erreurs.
--
xbk
"Si tous ceux qui croient avoir raison n'avaient pas tort, la vérité ne serait pas loin" Dac Pierre


Bebe 038 nf8eum - Eugenol
danteyeah

11/10/2012 à 15h41

Tiens je suis content de n'arriver que maintenant, car avec les photos du premier post j'aurais fait exactement les mêmes remarques que Pxav. Evidemment avec la deuxième série de photos tout est plus limpide.

En attente de la suite......ça va être joli, assurément.

Ah si une petite remarque! La résine acrylique pour les provisoires et les mock-up donne vraiment un résultat dégueu. A remplacer avantageusement par des résines métacylate esthétique: une grosse préférence pour la micerium enamel en bi-couche dentine-émail. Au regard de l'investissement du patient pour une réhabilitation importante, je trouve que c'est justifié.


ceel

11/10/2012 à 15h51

BRAVO, TRéS JOLI CAS,
juste une petite remarque , au niveau du toboggan mesial sur 23, j'ai l'impression que l'angle est trés marqué. n'y a t il pas un risque de fracture de la céramique à ce niveau ?


maz

11/10/2012 à 16h44

pxav écrivait:
> Tu aurais du présenter le cas du début, d'abord parce que ça montre le coté
> indispensable du TTT global, et ensuite ça m'aurai évité une petite remarque
> (gentille).

les facettes, je pensais qu'il y avait que ça d'intéressant ;D

sinon, oui, j'ai eu la flemme ce matin en fait ; ta remarque m'a obligé à me sortir les doigts du ...


maz

11/10/2012 à 16h45

ceel écrivait:
--------------
> BRAVO, TRéS JOLI CAS,
> juste une petite remarque , au niveau du toboggan mesial sur 23, j'ai
> l'impression que l'angle est trés marqué. n'y a t il pas un risque de fracture
> de la céramique à ce niveau ?

oui, je me suis fait la même remarque en voyant les photos, j'ai fait ça en allant chercher la zone cariée et j'espère que le fait que ce soit de l'emax et pas de la feldspathique pure compensera mon erreur


maz

11/10/2012 à 16h56

danteyeah écrivait:
-------------------

> Ah si une petite remarque! La résine acrylique pour les provisoires et les
> mock-up donne vraiment un résultat dégueu. A remplacer avantageusement par des
> résines métacylate esthétique: une grosse préférence pour la micerium enamel en
> bi-couche dentine-émail. Au regard de l'investissement du patient pour une
> réhabilitation importante, je trouve que c'est justifié.

pour le provisoire, ça a l'avantage d'être très facile et rapide.
tu fais comment pour faire le provisoire, ou le mock-up, en bicouche directement en bouche à partir du wax-up ?


Bebe 038 nf8eum - Eugenol
danteyeah

11/10/2012 à 18h31

maz écrivait:
-------------
> pour le provisoire, ça a l'avantage d'être très facile et rapide.
> tu fais comment pour faire le provisoire, ou le mock-up, en bicouche directement
> en bouche à partir du wax-up ?

La résine micerium est décliné comme le composite en teinte UD (dentine) et email
Tu fais un premier provisoire (avec ton empreinte de mock-up) en UD puis tu retailles en vestibulaire et au niveau du bord libre et tu rebases avec ton empreinte, cette résine est facile à polir, non grasse, beaucoup plus costaud que l'acrylique et réparable avec du composite micerium que tu as en stock si mes souvenirs sont bons.

Ici un exemple de mock-up qu'avec de la résine émail (déjà posté une fois). Ce truc est vraiment naturel pour de la résine, rien a voir avec le coté opaque des acycliques: bon c'est plus long, ça pu, c'est pas donné (du micérium quoi!)....mais ça vaut le coup.

Mockup4 pte9qv - Eugenol
Mockup 2 px6qkp - Eugenol
Mockup1 igkfz4 - Eugenol
Mockup 3 gh9oan - Eugenol

maz

11/10/2012 à 19h22

tu as raison, c'est clair que c'est plus joli

si j'ai envie de me lacher, je testerais en bicolore en commandant l'incisal de l'unifast 3 avant de foncer chez micerium

on peut aussi faire du multicouches avec les bisacryl, et les polir, et rendre ça beaucoup plus joli, mais là j'ai laissé brut, c'est vrai qu'on peut faire beaucoup mieux en provisoire
d'un autre côté, j'ai bien mis 5 ou 6 min pour faire le provisoire :
sécher les dents, charger une clef silicone du wax de résine bis acryl, laisser 2 min, virer les excès au bistouri, et zou :)


Smile beach jgh0a1 - Eugenol
Céramik

13/10/2012 à 02h44

Joli cas et belles photos

La résine bis-acryl auto est par contre très facile et pas dégeux si ton wax est bien fait et que tu utilises un silicone rebasé au light pour faire tes mock-up et tes provisoires.

Les provisoires, tu places ton silicone remplis de bis-acryl, tu enlèves les excès et tu laisses en place.
Tu peux polir et placer de la résine dessus et polyériser pour plus de brillance.

Une remarque, j'aurais fais au minimum de 14 à 24.


--
Céramik


maz

31/10/2012 à 22h48

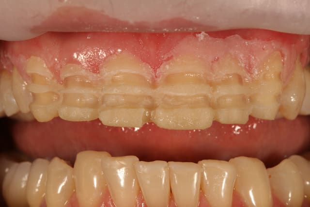
essayage, et comme on peut le voir sur la première photo, c'est bizarement long par rapport au provisoire ...

pourtant le prothésiste avait un alginate des mocks-up

j'ai mis du sealtemp et essayé tout ça, c'est trop long

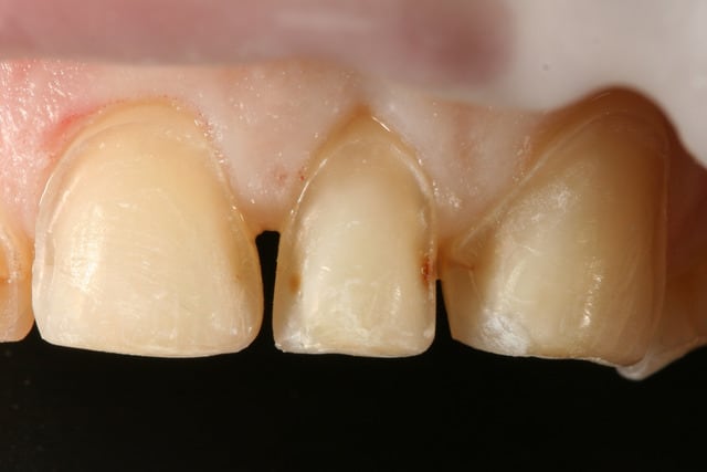
par contre, je me dis que je suis resté trop supra-gingival sur mes préparations, ça se voit trop, même si la patiente découvre peu, elle découvre un peu et j'aurais du aller plus juxta.

Essayge ywzzhe - Eugenol
Essayage 2 ojsc2w - Eugenol
Essayge 3 d3o29p - Eugenol

maz

31/10/2012 à 22h51

Céramik écrivait:
-----------------

> Une remarque, j'aurais fais au minimum de 14 à 24.

après le mock-up, j'avais proposé de faire 14 et 15 pour éviter un trop gros décalage avec la canine et faire un truc plus harmonieux

sur la coup ça lui disait bien, mais ça revenait quand même cher, donc on en est resté à 13-23


S2y2o1v7q53ws4r5wy6ou8czrpom - Eugenol
pxav

31/10/2012 à 23h00

J'ai eu le même problème aujourd’hui, les prothésistes ne comprenne pas toujours que les patients sont vivants!

--
xbk
"Si tous ceux qui croient avoir raison n'avaient pas tort, la vérité ne serait pas loin" Dac Pierre


le dabe

14/11/2012 à 16h18

Le problème, ce n'est pas tes prep, c'est le choix du matériau avec lequel ont été faites les facettes : trop opaque. Le contraste entre facette et dent naturelle est trop important. Il aurait fallu un matériau plus translucide et mimetique. Un beau collage fait le reste...


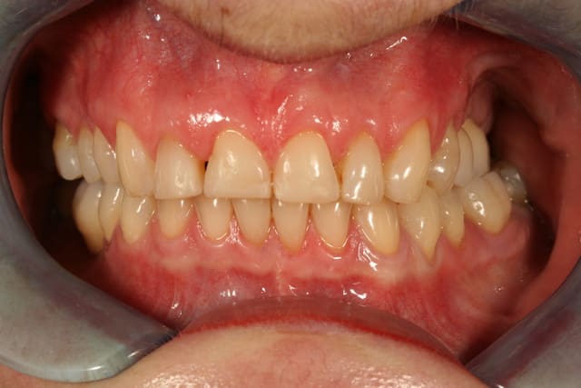
maz

14/11/2012 à 20h54

c'est de l'emax ... à moins de faire du feldspathique, je pense pas qu'on puisse faire plus translucide
mais là à l'essayage c'est mis avec un ciment provisoire, donc la lumière passe pas, ça va mieux une fois collé

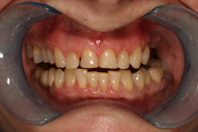
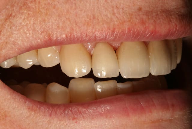
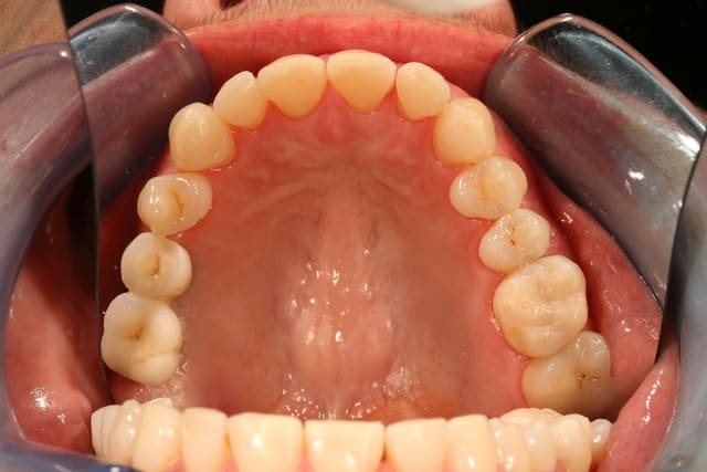
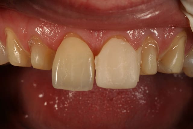
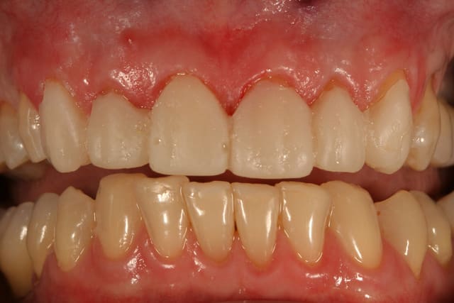
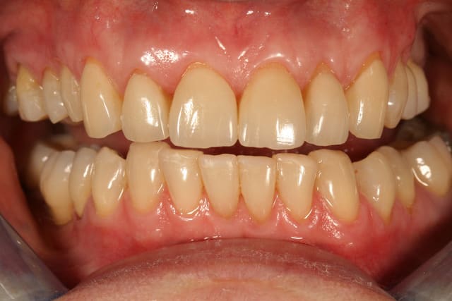
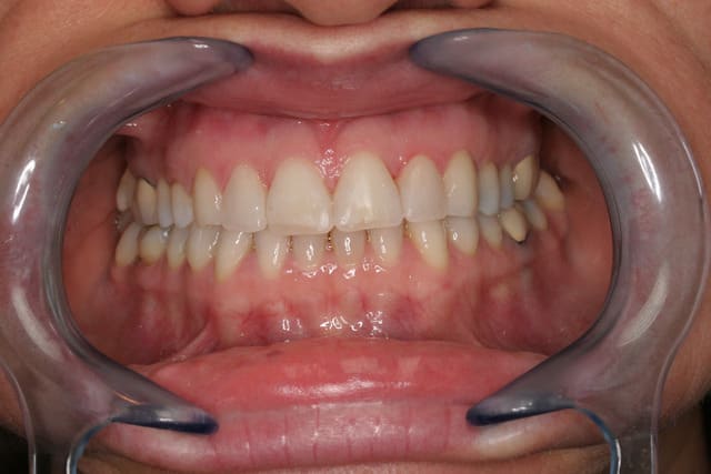
voilà le resultat collé

je suis resté trop supragingival, mais la patiente est très contente (ouf, c'est l'essentiel !)

elle a sa gouttière pour la nuit

E carteurs yiazkj - Eugenol
Sourire w9qjjh - Eugenol
Occlusal jyrk8g - Eugenol
Zooom bjj8ay - Eugenol

003 penrd2 - Eugenol
Cingulum

14/11/2012 à 23h52

Le résultat est très très bon. J'aime beaucoup.
Sur les photos, effectivement on voit la limite de la préparation, mais au moins tu n'interfères pas avec l'espace biologique...

Superbe travail :)


--
Dr Cingulum
-----Ancien interné----
----Attaché à l'apex----
http://www.clinic-all.fr/ formation par passion


12