Cookie Consent byPrivacyPolicies.compremier cas facettes - Eugenol
Logo qw3xdt - Eugenol
ĐĐS

15/11/2012 à 00h09

maz écrivait:
-------------
> c'est de l'emax ... à moins de faire du feldspathique, je pense pas qu'on puisse
> faire plus translucide
> mais là à l'essayage c'est mis avec un ciment provisoire, donc la lumière passe
> pas, ça va mieux une fois collé
>


C'est de l'emax, avec quel lingot?

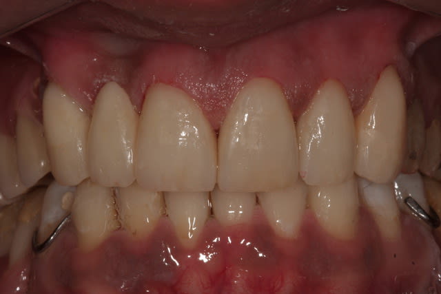
Sinon, un "petit" cas en cours de traitement avec bridge emax & facettes.


--
Normal is not something to aspire to, it's something to get away from...

Img 8725 ecy8um - Eugenol
Img 4510 jdijjd - Eugenol

Bebe 038 nf8eum - Eugenol
danteyeah

15/11/2012 à 02h33

Cingulum écrivait:
------------------
> Le résultat est très très bon. J'aime beaucoup.
> Sur les photos, effectivement on voit la limite de la préparation, mais au moins
> tu n'interfères pas avec l'espace biologique...
>
> Superbe travail :)
>
>
> --
> Dr Cingulum
> -----Ancien interné----
> ----Attaché à l'apex----
> http://www.clinic-all.fr/ formation par passion

+1, de la belle dentisterie esthétique à la française, ça Monsieur!
Bravo pour ne pas avoir céder à la pression du "Blanc", et avoir garder un maximum de naturel dans les teintes et la simulation d'usure, c'est parfaitement intégré et naturel, tu m'étonnes que la patiente soit contente!!!


87 ujotte - Eugenol
Spatouille

15/11/2012 à 08h19

effectivement c'est vraiment très joli ! c'était pas un de tes premiers cas de facettes ? bravo maz

alors, in fine, as-tu fait retoucher la longueur des facettes ?


maz

15/11/2012 à 11h33

merci beaucoup cingulum, danteyeah et spatouille :)
et merci à mon prothésiste (et pas la peine de me demander ses coordonnées, il part à la retraite dans 1 mois et demi :/)

oui, le prothésiste les a bien raccourcies après l'essayage

je ne sais pas quel lingotin il a préssé pour faire la chape, je pourrais lui demander, je pense le truc moyen


Android jyzura - Eugenol
Tavéca

15/11/2012 à 13h37

maz écrivait:
-------------

> je suis resté trop supragingival, mais la patiente est très contente (ouf, c'est
> l'essentiel !)
>
Super boulot et super photos!
je partage ton avis sur les limites qui sont quelques dixièmes de millimètre trop supra-gingivale sur tes photos et a fort grossissement! Mais c'est vraiment un détail a la vue du travail réalisé.
J'aime beaucoup la 3eme photo qui permet comme les radios de visualiser la qualité de l'adaptation et du collage.


Avatar eugenol pe0ymx - Eugenol
nicklebenou

16/11/2012 à 00h45

combien tu l'as facturé à la patiente? pour avoir un ordre d'idée . et la cotation c 'est quoi HN?
En effet beau travail! ca aurait été tentant de mettre un coup de fraise un peu plus bas mais yavait quand même un risque pour l'espace biologique.
merci pour l'iconographie du cas


Smile beach jgh0a1 - Eugenol
Céramik

16/11/2012 à 04h13

maz écrivait:
-------------
j'ai mis du sealtemp et essayé tout ça, c'est trop long
>
> par contre, je me dis que je suis resté trop supra-gingival sur mes
> préparations, ça se voit trop, même si la patiente découvre peu, elle découvre
> un peu et j'aurais du aller plus juxta.


Question : pourquoi ne pas tout simplement retoucher les finitions ? Les facettes devaient retournées au labo de toute façon.



--
Céramik


maz

16/11/2012 à 07h14

je sais pas, tu penses qu'on peut retoucher la limite lors de l'essayage et y faire ajuster la facette ensuite ?

si c'est bien ça, j'ai du mal à imaginer comment on fait


maz

16/11/2012 à 07h17

nicklebenou écrivait:
---------------------
> combien tu l'as facturé à la patiente? pour avoir un ordre d'idée . et la
> cotation c 'est quoi HN?
> En effet beau travail! ca aurait été tentant de mettre un coup de fraise un peu
> plus bas mais yavait quand même un risque pour l'espace biologique.
> merci pour l'iconographie du cas

les facettes 600€, les onlays je sais plus du tout
dans ce cas là, les onlay palatins étaient HN
les facettes ont été coté comme des couronnes
après tout, la dent a été entièrement recouverte, du moins devant et derrière !


Avatar eugenol pe0ymx - Eugenol
nicklebenou

16/11/2012 à 14h15

merci pour les renseignements. c'est ce que je voulais savoir.


le dabe

17/11/2012 à 13h44

J'avais bien compris que c'était de l'Emax, mais lequel. Tu peux presser suivant différentes translucidités. Et je pense que ton pb vient de là. Armat trop dense, du coup le joint n'est pas beau. pas de transition entre la dent naturelle et la céram


Smile beach jgh0a1 - Eugenol
Céramik

17/11/2012 à 18h37

maz écrivait:
-------------
> je sais pas, tu penses qu'on peut retoucher la limite lors de l'essayage et y
> faire ajuster la facette ensuite ?
>
> si c'est bien ça, j'ai du mal à imaginer comment on fait

Les facettes doivent être refaites à 100 % si tu retouches les finitions.
Mais là, le type à merder les longueur, alors...

--
Céramik


timbalero

26/12/2012 à 19h37

j'arrive un peu tard.

question, maz.
Je regardais la vue occlusale des facettes définitives collées, et je ne vois pas les faces palatines des anterieures en composite , que tu as réalisé en amont du traitement, pour lui stabiliser l'occlusion.
Mais ou sont elles passées?


dentatronche

26/12/2012 à 21h03

TU n'as rien à te reprocher du point de vue clinique.
En revanche à mon humble avis pour eviter ce genre de tracas, il faut toujours faire ce que souhaite le patient, ou alors l'orienter ailleurs.

Il voulait garder ses molaires pourries? très bien tu lui fais l'appareil antérieur, en consignant bien dans le dossier, refus catégorique à les extraire malgré l'indication.
Tu ne peux pas forcer les gens.
Au pire tu fais l'extension et tu la factures.



Autre chose pour eviter les soucis de paiement, il faut toujours demander la totalité en chèque le jour de l'empreinte. Tu prends plusieurs cheque et tu fixes les dates en accord avec le patient.


maz

27/12/2012 à 00h13

timbalero écrivait:
-------------------
> j'arrive un peu tard.
>
> question, maz.
> Je regardais la vue occlusale des facettes définitives collées, et je ne vois
> pas les faces palatines des anterieures en composite , que tu as réalisé en
> amont du traitement, pour lui stabiliser l'occlusion.
> Mais ou sont elles passées?

C.est bon signe si tu les vois pas ; c'est que c'est bien collé (et qu'elles sont très fines)
Ça se voit quand même à l'état de surface du composite

Dentatronche tu t'es trompé de fil ? Pas compris !


12