Cookie Consent byPrivacyPolicies.comporosité de surface - Eugenol
marco17

16/10/2012 à 18h28

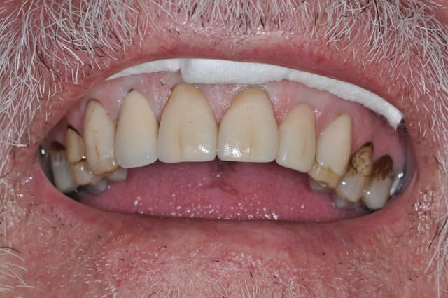
Bonjour,
savez-vous quelle est la raison de cette porosité de surface ?
il s'agit d'emax sur 11 21 22.
Merci d'avance

Porosit  surface aiiady - Eugenol
Dsc 0050 ijxzbp - Eugenol

doagui

16/10/2012 à 18h37

L'hygiène alimentaire du patient peut-être ? Est-ce qu'il mord à pleines dents dans du citron tous les 2 jours ?


marco17

16/10/2012 à 18h52

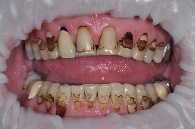
non en fait ma question porte sur l'état de surface de mes emax,
la coloration est présente depuis un bon moment et je n'en connais pas l'origine
je joins une photo avant traitement

Dsc 0017 kd9pcr - Eugenol

G-P

16/10/2012 à 18h53

S'agit-il réellement d'emax ? Ou de "céramique composite" type lava usiné que certains labos font passer pour de l'emax ?


1309531 ours brun n5iukf - Eugenol
seespan

16/10/2012 à 18h54

Je dirais défaut de cuisson, ça t'explique que les trois couronne sois touché de maniéré homogène, mauvaise porosité qui est passé inaperçus a la pause. Avec les habitues de ton patient (fumeur?), les défauts se remplisse de colorant noir et deviennent évident. Ta pas une grosse fêlure moche sur le milieux de la face vestibulaire de chaque dents?

A priori je dirais trop de cuisson.

--
หมอจัดฟัน


marco17

16/10/2012 à 19h25

non j'ai demandé des emax, et je pense que c'en est,
pour la fêlure marron, c'est un "maquillage" de mon prothésiste, le patient trouve que cela fait naturel, mais effectivement en voyant la photo, on aurait pu s'en passer ;)


malimor33

16/10/2012 à 19h26

La fêlure est certainemnt faite exprès par le prothésiste , il s'agit d'un patient âgé, c'est du maquillage pour faire plus naturel. Pour les porosités je dirais ausi défaut de cuisson


vmdeugénol

16/10/2012 à 19h40

Mauvaise gestion de l'état de surface au labo avant la cristallisation, et voir quel programme de cuisson a été appliqué court ou long.

Moins c'est cuit moins c'est cristallisé
Si l'état de surface est pollué avant glaçage et cuisson on a ce genre de défauts.

si les retouches en phase bleu de métasillicate sont faites avec les mauvaises fraise ou pointe montées....si...

Si la glasure est mal passée.....


3 76 hchzpi - Eugenol
kingkong

16/10/2012 à 20h09

ça sent la cuisson sans vide ça .....


87 ujotte - Eugenol
Spatouille

17/10/2012 à 10h01

oui travail au labo pas top ...


S2y2o1v7q53ws4r5wy6ou8czrpom - Eugenol
pxav

17/10/2012 à 10h54

ou simplement mauvais polissage avant glasure.

--
xbk
"Si tous ceux qui croient avoir raison n'avaient pas tort, la vérité ne serait pas loin" Dac Pierre


3 76 hchzpi - Eugenol
kingkong

17/10/2012 à 13h20

pxav écrivait:
--------------
> ou simplement mauvais polissage avant glasure.
>


non, sortie du four, une ceram n'a pas cet aspect , il n'y a pas de bulles comme ça, soit c'est une infiltration car il a cuit sur du réfractaire et donc l'air est passé au travers ...

il aurait pu polir à mort, d'autres seraient sorties dessous


S2y2o1v7q53ws4r5wy6ou8czrpom - Eugenol
pxav

17/10/2012 à 15h29

sur les Emax, nous nous sommes rendus compte que pour éviter les porosité, il fallait passer la surface à la meule caoutchouc,.

--
xbk
"Si tous ceux qui croient avoir raison n'avaient pas tort, la vérité ne serait pas loin" Dac Pierre


Img 2951 flo3gr - Eugenol
molinarius

17/10/2012 à 19h29

moi je dirais une cuisson glaçage , rajout de céramique de correction avec recouvrement de glasure .. tout en un ..
et paf bubulle ..

retour labo , ton protho ne dira rien .... à mon avis il le sait ...


87 ujotte - Eugenol
Spatouille

17/10/2012 à 21h43

si elles sont collées, il n' y a pas de retour possible ...
ce sont des couronnes ? donc pas de travail sur réfractaire non plus ;)
mais je suis d'accord pour dire que ce genre de défaut existent aussi en profondeur (le coté blanc laiteux du rendu) , un polissage n'aurait pas amélioré la situation.

je ne pense pas que cet état de surface soit dû à un manque de polissage, que l'emax soit pressé ou usiné ... là il y a des trous qui se remplissent de merde ...
et puis ce ne sont pas des monoblocs non ? c'est donc la partie stratifiée qui déconne .

je penche comme molinarius pour une correction des formes au glaçage mais avec des poudres à la temp de fusion trop élevée pour un glaçage, les "grains" ne ce sont pas suffisamment aggloméré .

sinon je vois pas ...


Img 3657 cwjvqm - Eugenol
alapex

17/10/2012 à 23h11

Ca c'est une céram cuite 25 fois , préparée à côté de l'arpète qui gratouillait une CCA .


87 ujotte - Eugenol
Spatouille

18/10/2012 à 01h00

mouarff ! :)


frenchlabo

18/10/2012 à 09h55

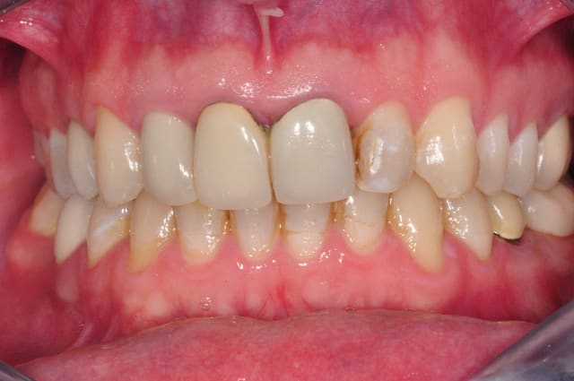
je pense que la structure de cette dent n estpas homogene , qu elle est sous cuite ; et que la dent na pas ete degraissee avant glacage le materiau emax est le plus facile a glacer ci joint 2emax 11 12 et deux emax 11 21 merci

21010062 tgxi9x - Eugenol
De rouge03 yxouzm - Eugenol

Image gle53x - Eugenol
cadxpress13

28/10/2012 à 23h38

Ber la céramique emax est très sensible à la cuisson et très souvent les protho cuisent mal leurs céramique car ils font le programme marqué qu il y est une ou 10 dents dans le four et aussi la position de la dent dans le four est très important donc si la première cuisson est ratée la dent est ratée et souvent sous cuite. Donc porosités !... Et il faut aussi faire attention au glaze ivoclar pour l emax il accentue. Les bulles de surface. Et voilà le résultat.


frenchlabo

03/01/2013 à 18h55

on peut glacer sans glaze c est mieux les lingotins sont en M O

Emax 11 21 qzd8ns - Eugenol
Emax 11 21 menlju - Eugenol
Emax 11 12 21 22 awi7gs - Eugenol
03 luf6zx - Eugenol

Img 3657 cwjvqm - Eugenol
alapex

03/01/2013 à 20h11

On peut aussi respecter les embrasures ...(img 3)


340 6 lnustc - Eugenol
ladent17

10/01/2013 à 10h38

marco17 écrivait:
-----------------
> Bonjour,
> savez-vous quelle est la raison de cette porosité de surface ?
> il s'agit d'emax sur 11 21 22.
> Merci d'avance


c'est clair manque de polissage avant glaçage, et la glaz n'a pas été suffisamment appliquée, sur l'Emax faut impérativement effectué un polissage mécanique de surface avant glaçage sinon vous voyez le résultat


Valostone

10/01/2013 à 17h57

L'emax Céram de stratification n'est pas une céramique simple à utiliser.
Les états de surface naturels et exempts de porosités que l'on arrive à obtenir avec les autres céramiques sont réellement moins facilement obtenables avec l'emax.
Tout dépend des programmes utilisés, des liquides de montage, des fraises diamantées, de la glaize, du rapport épaisseur d'armature/épaisseur de cosmétique.
Au final si je reprends les photos de mes premiers cas il y a 6 ans et maintenant l'expérience fait que je n'ai plus de porosités de surface.


Img 2951 flo3gr - Eugenol
molinarius

10/01/2013 à 18h38

je suis assez surpris !! j utilise l'emax , hormis l'absolue nécéssité d'une chape homothétique et donc une certaine hauteur de construction disponible , je n'ai jamais eu de ce type de porosité de surface ,,,, je la trouve simple à utiliser ,


Utilisateur banni

28/01/2013 à 12h11

l'e max est une céramique à phase vitreuse, le dentifrice attaque les ceram et le fluor aussi, rechercher des causes d'abrasions et d'agression chimique semble opportun, et rechercher du côté de la qualité du matériaux aussi.


12