Cookie Consent byPrivacyPolicies.comAvis 2 cas - Eugenol

Avis 2 cas

Chicoman

18/10/2012 à 21h31

Bonsoir je poste ces 2 radios pour vous demander 2 avis.

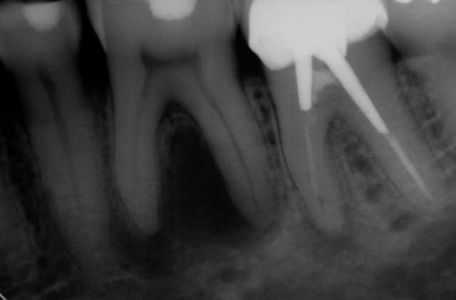
Un avis d'ordre général. Sur la 1ère radio bite wing.
Le patient n'a pas de douleurs. On voit une rétraction pulpaire signifiant un mécanisme de défense face à la carie.

Je voulais savoir si vous tentiez systématiquement le coiffage pulpaire direct à la biodentine. J'ai évidemment fait une effraction pulpaire lors du soin de la carie. Pourtant j'ai essayé de ne pas la faire ...
Quel est le pourcentage de chance de ne pas avoir de pulpite ou nécrose dans le cas d'une dent asymptomatique ou voire même symptomatique calmée au paracétamol?

2ème cas plus particulier. La 36 présente une lésion interradiculaire énorme.
Je me demande ce qui a pu provoquer une telle lésion?
La dent est légèrement égressée.
Y a t il pu y avoir un trauma du fait de la perturbation occlusale (désolé pas de pano mais bridge avec courbe occlusale non harmonieuse en antagoniste).

Je compte tenter le traitement radiculaire de cette 36 qui réagit toujours au froid. Pas de douleurs à la percussion.
Je me demande s'il pourrait y avoir une fracture radiculaire ou est ce ''seulement'' une lésion endo paro?

Merci pour vos avis éclairés


Chicoman

18/10/2012 à 21h58

.

Rad1 fnl99w - Eugenol
Rad2 vkty9w - Eugenol

G-P

18/10/2012 à 22h02

36 lésion d'origine endo sans doute, test de vitalité ?

Le coiffage pulpaire peut être tenté seulement si certains critères sont respectés : pulpe asymptomatique, ouverture sous digue, reconstitution composite fiable possible (autrement dit petite cavité de carie). Ici je ne pense pas que ces critères soient réunis.


Marque a3 orange fyvhyq - Eugenol
Marc Apap

18/10/2012 à 22h21

Si tu peux te permettre le coiffage de la prémolaire à la biodentine, c'est une excellente indication. Il faut remplir la cavité (bien nettoyée) et revoir l'obturation dans un second temps, pour mettre un composite en surface puisque la biodentine n'est pas très solide.

La molaire est peut être nécrosée partiellement. La radio est un peu cadrée serrée pour voir le contexte. De toute manière,tu verras bien faisant le traitement canalaire.


jeff13

18/10/2012 à 22h42

Vous pensez que la 36 peut cicatriser?
Ca me parait fort peu probable. As tu realisé un test de vitalité sur la 35?


Marque a3 orange fyvhyq - Eugenol
Marc Apap

18/10/2012 à 23h45

A moins d'une fêlure radiculaire, la 36 a de grandes chances de cicatriser puisque les canaux sont larges et qu'il n'y a eu aucun traitement avant. Evidemment, il faut faire le travail correctement.


Chicoman

18/10/2012 à 23h53

Je vous posterai les radios de l endo.

Merci pour vos réponses


G-P

19/10/2012 à 00h03

profites en pour reprendre la 37, y'a une pêche.


dentine34

19/10/2012 à 12h10

Fais un bon traitement de racine sur la 36, puis un composite. Contrôle régulièrement la cicatrisation. A mon avis tu peux t'attendre à un bon résultat. Au pire si échec tu auras recréé un environnement sain pour la pose d'un implant.
Par contre, motive ton patient sur les accessoires seondaires lors du brossage genre fil ou brossettes car l'émail de tout les espaces proximales présente des lésions carieuses....sauf si tu souhaites le revoir dans quelques années pour faire des composites MOD de partout!


Chicoman

14/11/2012 à 20h17

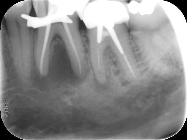
Suite du traitement

Un peu déçu de ne pas avoir eu le delta apical en Distal.
Pourtant j'étais descendu loin avec mon fouloir à système B.

Très léger dépassement en Mésial (à moins que ça soit juste un puff de pate).

Wait & see maintenant ....

Gen3 osxd9n - Eugenol
Gen2 iw9mrz - Eugenol