Cookie Consent byPrivacyPolicies.comAménagement des tissus mous en phase pré-implantaire ... - Eugenol

Aménagement des tissus mous en phase pré-implantaire ...

Img 8465 fqhxid - Eugenol
noahaxeltiger-olivier

30/03/2013 à 11h29

posit écrivait:
---------------
> Les observations sont dépendantes du point de vue où l’on se situe, si tu
> regarde la Tour Eiffel au pied face au champ de Mars, tu verras un grand édifice
> dans un cadre de verdure, si tu l’observe depuis le 2èmme étage, tu voies une
> ville étendue et les voitures toute petites.
>
> Lorsque tu écris « Plusieurs groupes de recherche se sont penchés sur des
> situations dentaires comme la cicatrisation alvéolaire post extractionnelle. »
> si tu parle de post-extractionnelle et conne je ne vois pas comment on peut
> étudier la cicatrisation de l’alvéole autrement qu’après une extraction, aussi
> je te demande plus de précision.
> Apparemment, sur la MCIPE totale tu n’as plus d’information que ca, ce qui me
> laisse penser que tes remarques sur le sujet sont trop stéréotypé.
>
> La déroulé de la première partie de ton plan de traitement m’intéresse et
> j’attends de voir la partie concernant la pose des 2 implants avec mise en
> charge immédiate d’un bridge de 3 dents et le résultat du bridge implanto-proté
> définitif.

Merci de tes commentaires Posit.
CQFD. Si on ne devient pas un bon technicien de laboratoire du jour au lendemain, il en est de même si on l'ambition de devenir un bon dentiste.
Posit, ton manque de connaissances en dentisterie rend ce genre de discussion impossible.

Je te souhaite de passer de tres bonnes fêtes de Pâques.

PS: pour le cas clinique je posterai le suivi à 1 an avec vues clinique + status parodontal et radiologique. Cela me semble bien plus interessant que la cicatrisation à 7 jours. Mais c'est certainement parce je suis dentiste.

Olivier.


Utilisateur banni

30/03/2013 à 11h46

noahaxeltiger-olivier écrivait:
-------------------------------
> Petite photo pour le post op (fin de chirurgie, 10 jours, dépose des points, 2
> mois).
>
> La 2ème étape a été l'augmentation du volume osseux, chose que j'ai réalisé avec
> un bloc autogène ramique. Je vous posterai la vidéo dans quelques jours (quand
> j'aura fini le montage vidéo de cette chirurgie et des 500 autres GB qui
> m'attendent ;-)) )
>
> Au final, 2 implants avec bridge provisoire immédiat 3 dents. Après maturation
> tissulaire et mise en forme du pontique, réalisable du bridge implantoporté
> définitif.
>
> Amicalement
> Olivier


Les phases intermédiaires sont aussi instructives.


Utilisateur banni

30/03/2013 à 12h01

noahaxeltiger-olivier écrivait:
-------------------------------
> Merci de tes commentaires Posit.
> CQFD. Si on ne devient pas un bon technicien de laboratoire du jour au
> lendemain, il en est de même si on l'ambition de devenir un bon dentiste.
> Posit, ton manque de connaissances en dentisterie rend ce genre de discussion
> impossible.
>
> Je te souhaite de passer de tres bonnes fêtes de Pâques.
>
> PS: pour le cas clinique je posterai le suivi à 1 an avec vues clinique + status
> parodontal et radiologique. Cela me semble bien plus interessant que la
> cicatrisation à 7 jours. Mais c'est certainement parce je suis dentiste.
>
> Olivier.



Ton manque de connaissance en technique MCIPE ne semble pas te préoccuper.


RépondreCiter
Avatar jt8tlq - Eugenol
bogenom

02/04/2013 à 01h29

Merci pour ces belles vidéos,
est-il possible de voir des tomographies de la zone en question ?
quel est l'historique de cette zone ?

(je précise que j'ai acheté ton appli qui est au top)

et pourquoi ne pas utiliser un guide POSIT pour la pose d'implants ?


Img 8465 fqhxid - Eugenol
noahaxeltiger-olivier

09/04/2013 à 21h50

bogenom écrivait:
-----------------
> Merci pour ces belles vidéos,
> est-il possible de voir des tomographies de la zone en question ?
> quel est l'historique de cette zone ?
>
> (je précise que j'ai acheté ton appli qui est au top)
>
> et pourquoi ne pas utiliser un guide POSIT pour la pose d'implants ?


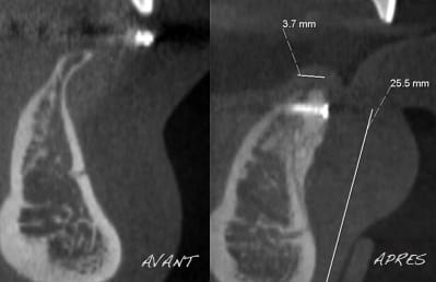
Désolé Bogenom, Dentosseo ou Eugenol, je ne sais plus où donner de la tête ;-))

Pour l'anamnèse, le patient présentait plusieurs aplasies au niveau du bloc incisif inférieur.

Pour les coupes tomo, voici avant/après au niveau du site 41-42.

Pour guide Posit, d'une part, je ne veux pas utiliser mes patients comme cobayes et j''ai besoin de preuves avant d'utiliser ce genre de système... D'autres part à la vue de ce qui est montré par Posit, la qualité de ces bridges provisoires n'est pas à la hauteur de mes exigences.

Amicalement
Olivier

Autogenous bonegraft kusnca - Eugenol

Utilisateur banni

09/04/2013 à 22h08

noahaxeltiger-olivier écrivait:
-------------------------------
> wouaww ça faisait longtemps que je n'étais pas venu faire un tour sur Eugénol
> ;-))
>
>
> Vous connaissez tous l'adage "il vaut mieux prévenir que guérir" .... et ceci
> est aussi vrai en implantologie!
>
>
> Envie de partager ce cas clinique où un aménagement des tissus mous est un
> préalable obligatoire avant de passer à une augmentation des tissus durs puis au
> traitement implantaire.
>
> Augmenter la hauteur et l'épaisseur de gencive attachée peut se faire de
> plusieurs façons. Avec l'arrivée sur le marché de produits de substitution pour
> la gestion des tissus mous (Mucograft, Mucoderm, Alloderm,...) une question que
> l'on se pose souvent est : "est-ce mieux qu'une greffe gingivale libre"?
>
> Pour répondre à cette question, pourquoi ne pas faire soi-même le test et
> utiliser les 2 techniques en split-mouth !
>
>


>
>
> La suite plus tard ...
>
> Amicalement
> Olivier Carcuac

> je ne veux pas utiliser mes patients comme cobayes


Utilisateur banni

09/04/2013 à 22h12

noahaxeltiger-olivier écrivait:
-------------------------------
D'autres part
> à la vue de ce qui est montré par Posit, la qualité de ces bridges provisoires
> n'est pas à la hauteur de mes exigences.
>
> Amicalement
> Olivier

Demande à mac les coordonnés de son labo


Img 8465 fqhxid - Eugenol
noahaxeltiger-olivier

09/04/2013 à 22h13

posit écrivait:
---------------
> je ne veux pas utiliser mes patients comme cobayes

Posit va faire un tour sur pubmed avant de parler !! Tu es sur un terrain très glissant si tu veux jouer ce jeux avec moi !!
Mais Mucograft, c'est sûr, tu ne t'ai certainement pas penché sûr ses indications, scientifiquement, prouvées.


Utilisateur banni

09/04/2013 à 22h23

noahaxeltiger-olivier écrivait:
-------------------------------
> La suite plus tard ...
>
> Amicalement
> Olivier Carcuac

>PS: pour le cas clinique je posterai le suivi à 1 an avec vues clinique + status parodontal et radiologique. Cela me semble bien plus interessant que la cicatrisation à 7 jours. Mais c'est certainement parce je suis dentiste.


Utilisateur banni

09/04/2013 à 23h02

Olivier, je pense qu’il était possible de répondre à la provocation de bogemon de manière plus adaptée.


Avatar jt8tlq - Eugenol
bogenom

09/04/2013 à 23h38

Alors :
1-Merci noah pour la réponse
2-désolé Posit mon but n'était pas de provoquer...
3-Stop


Utilisateur banni

10/04/2013 à 01h20

4-ou alors assume.


RépondreCiter