Cookie Consent byPrivacyPolicies.comidentification implants... - Eugenol

identification implants...

Humator t9r5wy - Eugenol
humator

22/10/2012 à 11h27

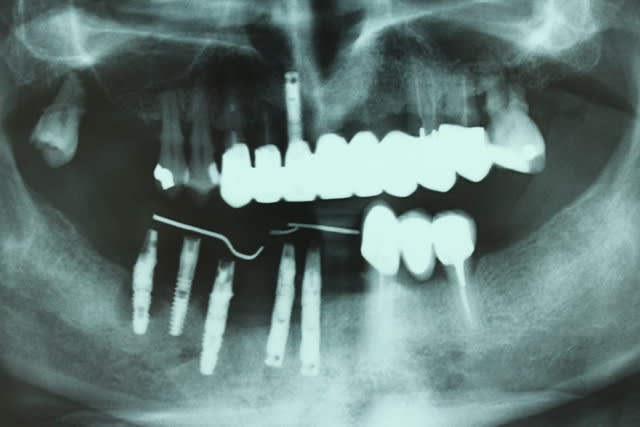
hello tout le monde.
qui peut me dire quel implants on a ici (à par les frialit, facilement identifiés), merci

--
N.Hum

Bo boulot  lyngqa - Eugenol

Photo pluton1b h9n4ea - Eugenol
pluton

22/10/2012 à 12h07

en haut et devant en bas: nobel mk1
et entre les frialit2 çà doit être un axiom non? (c'est pas très net sur nonol la pano...)


Humator t9r5wy - Eugenol
humator

22/10/2012 à 12h10

toujours aussi rapide!
merci.
par contre, ce n'est pas un axiom. une autre idée?

--
N.Hum


Photo pluton1b h9n4ea - Eugenol
pluton

22/10/2012 à 12h55

pas facile avec cette radio...
une rétro m'aiderait plus...

c'est pas un ankylos
c'est pas un straumann bone level

les spires qui vont comme çà jusqu'au col m'orientait vers l'axiom...mais si tu dis que c'est pas çà...
un biocom MIS???


Smile beach jgh0a1 - Eugenol
Céramik

23/10/2012 à 04h12


Sont-ils dans l'os ? Selon la radio pas trop nette je dirais faut tout enlever ...


--
Céramik


Humator t9r5wy - Eugenol
humator

23/10/2012 à 10h57

c'est prévu: on vire toute cette collection...

--
N.Hum


Humator t9r5wy - Eugenol
humator

23/10/2012 à 16h47

les voilà dehors!
à priori on a: un anthogyr anthofit, un frialit, mais les 2 derniers, je connais pas. Une idée?
NB sur la rx, un autre frialit a été déjà viré.
--
N.Hum

Collection cef17h - Eugenol

Photo pluton1b h9n4ea - Eugenol
pluton

23/10/2012 à 18h39

peut être çà....
c'est ce que j'ai trouvé de plus ressemblant...

http://www.bonesystem.it/2P_implant.php?LANG=ITA


Humator t9r5wy - Eugenol
humator

23/10/2012 à 19h56

j'ai pas l'impression...
je me suis un peu fait ch..r pour en virer un: mon tourne à gauche à explosé le col de l'implant.

--
N.Hum


Smile beach jgh0a1 - Eugenol
Céramik

24/10/2012 à 04h13



MDR, tu veux les enterrer avec le bon nom sur la tombe ?


--
Céramik