Cookie Consent byPrivacyPolicies.comLésion osseuse bizarre - Eugenol

Lésion osseuse bizarre

blajack

13/12/2012 à 17h11

Kyste dentigère.

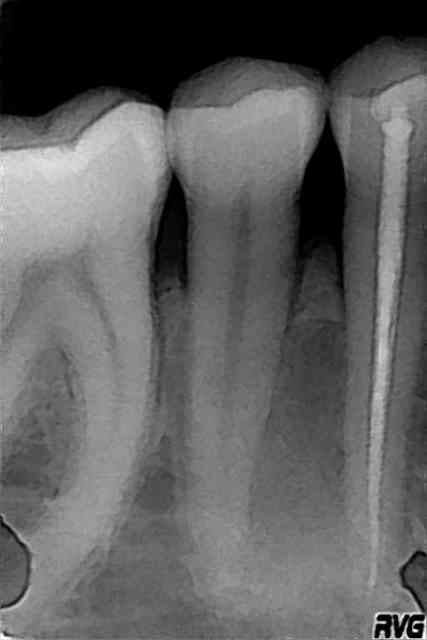
Radio post op .

R15 ipccv7 - Eugenol

Images jm2g2g - Eugenol
dr_0le

13/12/2012 à 22h55

Odontine écrivait:
------------------
> Mon prof nous a montré un cas comme celui-là en td de radio aujourd'hui. C'était
> au niveau incisif mandibulaire, et lui, il appelle ça une lacune essentielle. La
> pression qu'elle exerce sur les dents voisines par son caractère évolutif
> provoque des douleurs fugaces, à ne pas confondre avec des douleurs d'origine
> pulpaire. Il dit que c'est plein de sang et qu'il faut bien nettoyer lors du
> curetage parce que si il reste des cellules, ça peut recommencer...
>
>
> --
> Carmen

sauf qu'une lacune essentielle irriguée par un vaisseau de calibre plus important (genre Artere alvéolaire Inférieure, collatérale de l'artère maxillaire) peut se transformer en catastrophe au fauteuil.
j'ai suis tombé sur une de ces lésions lors d'une extraction de 47.
lors du curetage (pensant que c'était kystique), il y a eu un saignement pulsatile très important, très difficile a juguler.
donc méfiat !


12