Cookie Consent byPrivacyPolicies.comchocs sur incisives...quelles solutions - Eugenol

chocs sur incisives...quelles solutions

cocobret

26/10/2012 à 23h58

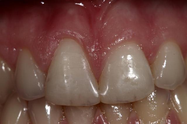
Coup de fil en urgence ce matin. Une patiente de 20 ans s'est cassé les incisives devant une boite de nuit lors d'une bousculade.

Je la reçoit en urgence ce matin et la fait revenir sur ma pause déjeuner pour faire 2 composites.
Quelle solution "définitive" envisageriez-vous?
Laisser le composite, couronne, facette sur compo...
A priori, je vais pouvoir conserver la vitalité pulpaire.
J'ai un devis signé pour 2 Emax collées. Le résultat serait certainement plus durable que mes composites.

Ca c'est pour la clinique... maintenant, pour ceux qui on le courage de lire mon histoire il y a le rapport au patient.
Cette jeune fille qui m'a appelé ce matin est la fille d'un patient qui habite en face du cabinet. Celui-ci m'avait amené sa mère (plus de 80 ans, parkinson...) en urgence pour des douleurs sur 47. Grosse carie, 46 absente, 45 dévitalisée avec un gros composite infiltré. 48 est présent et la patiente n'a des contacts qu'a droite en occlusion. Je décide d'essayer de garder la dent: endo de 47 galère à isoler (digue posée grâce a composite fluide et digue liquide)et devis pour le bridge. J'explique ce que je vais faire dès la première séance au patient (j'ai soigné sa femme au printemps et il connait mes tarifs). Rendez-vous pour le bridge provisoire 1h, de prévu, il me dit qu'il n'a pas encore envoyé le devis à la mutuelle de sa mère et qu'il doit le faire... Je décide de tailler et de faire le provisoire quand même plutôt que de perdre 1h. Le patient rappelle 2 jours après pour m'annoncer que sa mutuelle dit que je suis 25% plus cher quel les tarifs de leur centre et qu'il s'en va si je n'aligne pas mes tarifs (en me précisant qu'il ne veut pas jouer les "marchands de tapis"). Evidemment, j'essaye d'expliquer pourquoi je ne peux pas m'aligner et les rendez-vous sont annulés.
Aujourd'hui, sa fille m'appelle en urgence, ça m'a démanger de ne pas la prendre pour donner une leçon à son père mais ça aurait été s'abaisser à son niveau...

J'avoue que ça m'embête de ne pas me faire honorer correctement pour le travail réalisé aujourd'hui. Puis-je prendre un DE si je laisse les composites. Si oui,comment ça marche.
Dois-je faire les couronnes puisque la solution n'est pas scandaleuse et ça me permettra de me faire rémunérer correctement. Si je laisse les composites, un autre dentiste (moins cher) ne manquera pas de faire 2 CCM bien sous gingivale pour que ce soit joli dans 4 ou 5 ans...

Je revois la patiente en contrôle lundi.

Img 4679 wtj60q - Eugenol
Img 4682 inxa6u - Eugenol
Img 4686 nne5uw - Eugenol

Img 3657 cwjvqm - Eugenol
alapex

27/10/2012 à 00h28

Tu fais 2 facettes emax .
Le père , tu t'en occupes pas et tu restes droit dans tes bottes , la solution c'est facette , point . Le pognon et le marchandage du père tu t'en fous .
Et si elle ne fait pas , bin tu as pris les honoraires pour les compos , point . t'en verras d'autres , laisse les mariner .


Img 3657 cwjvqm - Eugenol
alapex

27/10/2012 à 00h36

Tu balances 2 , 3 photos de facettes et tu présentes bien (avec photo) le liseré noir des cérams qui finira par extraction dans 10 ans .


G-P

27/10/2012 à 00h57

Plutôt une indication de ccc Emax que de facettes, à mon avis.


Img 3657 cwjvqm - Eugenol
alapex

27/10/2012 à 01h00

+1.
Quoique , avec emax on peut beaucoup se permettre .


Smile beach jgh0a1 - Eugenol
Céramik

27/10/2012 à 01h00


Dommage de n'avoir pas pu simplement recoller les fragments, car ça fonctionne super bien.

Solution : facettes e.max un jour, le débile qui fait des CCM, faut le pendre !

Pas besoin de faire des CCC non plus.

--
Céramik


Smile beach jgh0a1 - Eugenol
Céramik

27/10/2012 à 01h02


Alapex, tu fais de l'insomnie ?

--
Céramik


G-P

27/10/2012 à 01h09

Céramik écrivait:
-----------------
>

>
> Solution : facettes e.max un jour, le débile qui fait des CCM, faut le pendre !
>

Mon pauvre, je pense que la plupart des dentistes français ne font jamais de CCC.
L'angle de la photo est trompeur mais je suppose que la perte de substance est quand même conséquente surtout sur la 21, tu as des cas ou tu fais des facettes pour une grosse fracture d'angle comme ça ?


cocobret

27/10/2012 à 01h26

elle n'a pas récupéré les fragments... dommage, j'ai déjà recollé une incisive avec une fracture transversale il y a 1 an. Je revois régulièrement le patient (qui a d'autres soins a réaliser) et tout va bien (il me dit même ne pas faire particulièrement attention).

Je trouve que parfois, la différence de préparation entre CCC Emax ou facette Emax tient à peu de chose.

ci-joont: une autre vue

Img 4683 ppmql0 - Eugenol

G-P

27/10/2012 à 01h29

Mmh, on voit bien que la fracture a emporté en grande partie la face palatine, on va préparer les 3/4 de la dent pour faire une "facette" moi j’appelle ça une couronne ;)


Img 3657 cwjvqm - Eugenol
alapex

27/10/2012 à 01h30

Céramik écrivait:
-----------------
>
> Alapex, tu fais de l'insomnie ?
>
> --
> Céramik


Non pas ...)))


Img 3657 cwjvqm - Eugenol
alapex

27/10/2012 à 01h34

G-P écrivait:
-------------
> Mmh, on voit bien que la fracture a emporté en grande partie la face palatine,

Pas plus qu'en vestibulaire .

> on va préparer les 3/4 de la dent pour faire une "facette" moi j’appelle ça une
> couronne ;)


Sauf que selon les indication de la facette , si tu te tiens en dehors du contact antagoniste ça passe , et le plus important tu préserves le cingulum . D'après l'occusion ici , c'est le cas .


Smile beach jgh0a1 - Eugenol
Céramik

27/10/2012 à 01h45

G-P écrivait:
-------------
> Mmh, on voit bien que la fracture a emporté en grande partie la face palatine,
> on va préparer les 3/4 de la dent pour faire une "facette" moi j’appelle ça une
> couronne ;)

et moi une couronne 3/4
;-)


--
Céramik


cocobret

27/10/2012 à 02h02

Bon, en tout cas, je ne vais ps lui laisser juste son composite...
Après, je verrai en fonction de l'humeur du jour...


maz

27/10/2012 à 02h06

la fille est jeune, privilégier au maximum l'économie tissulaire et faire deux jolis composites bien stratifiés, il pourra toujours faire les facettes (ou juste refaire le compo) dans dix, quinze, ou trente ans !

http://www.styleitaliano.org/interview-with-prof-romano-grandini/
(déjà posté sur un autre sujet, mais très encourageant !)

sinon des facettes avec préparation vraiment minimale, toujours dans le soucis qu'il ne finisse pas dans 30 ans avec deux implants

comme ceramik, couronne à bannir dans un cas pareil

faire les couronnes pour éviter que quelqu'un d'autre les lui fasses dans 4-5 ans me semble bancal comme raisonnement, par contre je lui expliquerais bien pourquoi il ne faut surtout pas les tailler plus, c'est un des rares messages que les patients comprennent et gardent même des fois en mémoire


Bebe 038 nf8eum - Eugenol
danteyeah

27/10/2012 à 02h58

maz écrivait:
-------------
> la fille est jeune, privilégier au maximum l'économie tissulaire et faire deux
> jolis composites bien stratifiés, il pourra toujours faire les facettes (ou
> juste refaire le compo) dans dix, quinze, ou trente ans !
>
> http://www.styleitaliano.org/interview-with-prof-romano-grandini/
> (déjà posté sur un autre sujet, mais très encourageant !)
>
> sinon des facettes avec préparation vraiment minimale, toujours dans le soucis
> qu'il ne finisse pas dans 30 ans avec deux implants
>
> comme ceramik, couronne à bannir dans un cas pareil
>
> faire les couronnes pour éviter que quelqu'un d'autre les lui fasses dans 4-5
> ans me semble bancal comme raisonnement, par contre je lui expliquerais bien
> pourquoi il ne faut surtout pas les tailler plus, c'est un des rares messages
> que les patients comprennent et gardent même des fois en mémoire

Tout pareil que maz....sont trop doué ces ritals.

Mais je peux comprendre que la blague "Santéclair" m'aurait bien refroidie quand même.
Va demander au père de la gamine si le composite stratifié c'est aussi 25% moins cher dans les cabinets signataires?


doagui

27/10/2012 à 04h27

Perso dans un cas pareil je fais quasiment toujours des simples composites en 1ere intention, quitte à expliquer qu'on a un risque que ça casse mais qu'au pire il sera alors toujours temps de faire de la prothèse si besoin est, en expliquant l'intérêt de l'économie tissulaire si ça fonctionne.

Résultats des courses : les composites bien faits et bien reglés en occlusion bah ça tient bien dans la majorité des cas.

Ici la facette ça me semble un peu excessif, en 1ere intention en tout cas. Certes le résultat esthétique est plus simple à obtenir avec elles, mais bon, c'est pas très économe pour les tissus dentaires.

Navré, mais à mon avis il serait préférable de te contenter de 2 SC 17 pour le moment...


Smile beach jgh0a1 - Eugenol
Céramik

27/10/2012 à 07h04

+10
Compo comme 1er choix
Au pire refaire compo stratifié
Ensuite peut être facette a minima
Jamais couronne, ni endo la dessus.
On verra dans 20 ans, et encore...


--
Céramik


cocobret

27/10/2012 à 10h15

Si je garde les composites, pensez-vous que je peux compter un dépassement exceptionnel. Il y avait une exigence particulière de la patiente puisqu'elle voulait que ce soit fait immédiatement. De plus ce serait le premier en 8 ans donc le caractère exceptionnel serait là.

Ca m'embête vraiment que le père n'y soit pas de sa poche un peu...
(Je précise qu'ils n'ont vraiment aucun problèmes financiers...)


G-P

27/10/2012 à 11h21

Non, 2 sc17


maz

27/10/2012 à 11h48

je ne pense pas que tu puisse demander plus que les 2 SC17 à posteriori,

par contre, hors urgence, dans un cas comme ça je fais un devis avant, sinon
soit on fait que deux ou trois compo stratifiés par an pour se faire plaisir
soit on se dégoute parce que on y perd trop d'argent

en urgence d'habitude je met un CVI dans un cas comme ça, et du coup comme je peux pas recompter SC17 dans les 3 mois qui suivent, je fais un devis HN pour les compo

on fait comme on peut avec la nomenclature et la sécu ...


003 penrd2 - Eugenol
Cingulum

27/10/2012 à 13h05

facette pas facette ...
il faut arrêter de vouloir faire rentrer nos préparation dans des tiroirs !
Tu gardes tout ce que tu peux garder, et tu prépares ce qui est perdu.
Tu laisses la place de 1mm en vestibulaire et tu colles de l'emax.

Ce sera une facette HN ou une Couronne SPR50, ça c'est pour la sécu.
Les caries, les fractures ne rentrent pas dans des tiroirs :)


Si tu estimes que c'est une restauration partielle qui tient que par le collage, c'est une facette
Si tu estimes que tu as faire la périphérie de la dent, c'est une couronne....

Un cas semblable, mais plus proche de la pulpe.
chute en boite de nuit ;)
J'ai temporisé 5 mois avant de passer à la céram
Le cas a 5 ans.



--
Dr Cingulum
-----Ancien interné----
----Attaché à l'apex----
http://www.clinic-all.fr/ formation par passion

Img 1379 sp6dtd - Eugenol
Img 1378 uqvtbh - Eugenol
Img 1374 ethsbg - Eugenol
Img 6029  large  bihi7g - Eugenol
Img 6152  large  c0zd7j - Eugenol
Img 6026  large  imzjsy - Eugenol

Img 3657 cwjvqm - Eugenol
alapex

27/10/2012 à 15h13

Pfff , je parle de garder le cingulum , même pas y relève , pis là comme c'est lui qui le dit bin , tout le monde va applaudir !
...)))