Cookie Consent byPrivacyPolicies.comKodak 9000 3D - Eugenol
Titof2000

29/10/2012 à 21h59

Bonjour tout le monde... Et quel beau monde...

J'envisage d'acheter cette pano 3d. Y a t'il quelqu'un qui en possède une? Quel retour? Qualité de la pano 2d?

Merci de vos réponses


flicflac

30/10/2012 à 02h47

le carestream?


Titof2000

30/10/2012 à 02h54

flicflac écrivait:
------------------
> le carestream?

oui, tu as des infos?

Un concurrent m'a dit que la pano 2d était pas terrible?


Img 1392 s73srk - Eugenol
Guttaman

30/10/2012 à 08h15

Non, au contraire, elle est plutôt très bonne niveau qualité des panos. Tu l'as dit toi même, c'est un concurent qui t'as dit le contraire...pas très objectif.


Grumpy cat ifik8s - Eugenol
radich_a_tord

30/10/2012 à 10h59

J'ai utilisé un modèle de la génération 8000 (il me semble, en tt cas c'était du Kodak). Pano Ok mais j'ai vu mieux. Cone beam le champs était ridiculement petit mais j'ai pas d'éléments de comparaison.


Titof2000

30/10/2012 à 12h11

radich_a_tord écrivait:
-----------------------
> J'ai utilisé un modèle de la génération 8000 (il me semble, en tt cas c'était du
> Kodak). Pano Ok mais j'ai vu mieux. Cone beam le champs était ridiculement petit
> mais j'ai pas d'éléments de comparaison.

Oui c'est vrai que le champs est petit pour la 3D. L'argument du vendeur c'est que dans la grande majorité de nos cas on pose 1 à 3 implants et pour les cas exceptionnels dans lesquels on a besoin d'un plus grand champs on peut faire un switching voir adresser à un radiologue. L'argument semble se tenir. Quand pensez vous?

Etant donné que l'amortissement du cone beam se fera essentiellement sur la 2D je voudrais être certain que la qualité de l'image sera au rendez vous.


Img 9301 q0yyqn - Eugenol
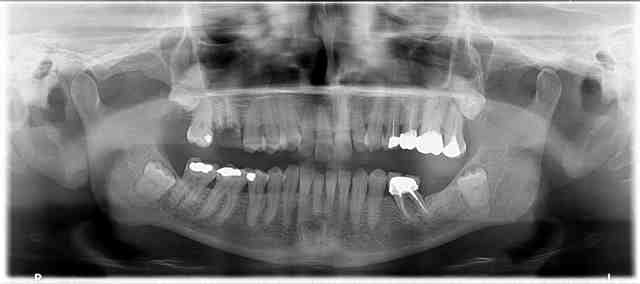
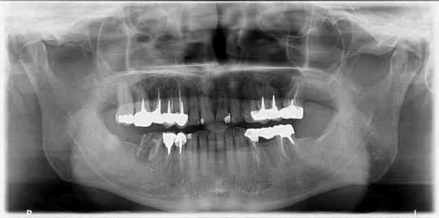
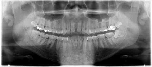
Art-dent

30/10/2012 à 22h11

Quelques pano réalisées avec Kodak 9000 3D que j'ai en stock

Edit : je sais pas pourquoi elles sont pixelisées à mort sur Nonol...

--

00123 yxpbgl - Eugenol
P12 xdln3r - Eugenol
P18 dbjrrr - Eugenol
P1 imcl4g - Eugenol

Grumpy cat ifik8s - Eugenol
radich_a_tord

31/10/2012 à 01h19

Oui j'ai eu des images comme la 0123 (la première radio). Les autres sont très pixellisées en effet.

Le stitching oui ça marche, mais de mémoire, il faut faire un "raccord" et le temps d'acquisition est plus long, avec le risque que le patient ait bougé.

Je ne connais pas le tarif mais la Vatech me parait un meilleur choix (un ami en a une, très content).


Titof2000

31/10/2012 à 09h34

Art-dent écrivait:
------------------
> Quelques pano réalisées avec Kodak 9000 3D que j'ai en stock
>
> Edit : je sais pas pourquoi elles sont pixelisées à mort sur Nonol...
>
> --
> 

Merci pour tes images. Je trouve la qualité pas mal du tout.


Titof2000

31/10/2012 à 09h36

radich_a_tord écrivait:
-----------------------
> Oui j'ai eu des images comme la 0123 (la première radio). Les autres sont très
> pixellisées en effet.
>
> Le stitching oui ça marche, mais de mémoire, il faut faire un "raccord" et le
> temps d'acquisition est plus long, avec le risque que le patient ait bougé.
>
> Je ne connais pas le tarif mais la Vatech me parait un meilleur choix (un ami en
> a une, très content).



Oui le tarif a son importance! On me propose la Kodak pour 52000€ à combien sort la Vatech?


1 okqrab - Eugenol
Léonard

31/10/2012 à 14h26

Titof2000 écrivait:
-------------------
et pour les cas
> exceptionnels dans lesquels on a besoin d'un plus grand champs on peut faire un
> switching voir adresser à un radiologue. L'argument semble se tenir. Quand
> pensez vous?

être équipe d'un cone beam et adresser a un radiologue !
pour moi l'argument ne tient pas !!!
perso planmeca (5x8cm) ,2D tres bien, 3D correcte, et stiching a l'occaz


Titof2000

31/10/2012 à 16h40

Léonard écrivait:
-----------------
> Titof2000 écrivait:
> -------------------
> et pour les cas
> > exceptionnels dans lesquels on a besoin d'un plus grand champs on peut faire
> un
> > switching voir adresser à un radiologue. L'argument semble se tenir. Quand
> > pensez vous?
>
> être équipe d'un cone beam et adresser a un radiologue !
> pour moi l'argument ne tient pas !!!
> perso planmeca (5x8cm) ,2D tres bien, 3D tres bien, et stiching a l'occaz

Combien la planmeca?


1 okqrab - Eugenol
Léonard

02/11/2012 à 01h27

ce n'est plus d'actualite car cela date de la mi-2009...
85KE


3f3boxni50k58rq7e9ce9ddqrxgk - Eugenol
dentiste57

02/11/2012 à 13h34

Art-dent écrivait:
------------------
> Quelques pano réalisées avec Kodak 9000 3D que j'ai en stock
>
> Edit : je sais pas pourquoi elles sont pixelisées à mort sur Nonol...
>
> --

merci pour les images, mais moi je trouve la qualité très médiocre