Cookie Consent byPrivacyPolicies.comLésion nerf mandibulaire - Eugenol

Lésion nerf mandibulaire

dent2669

30/10/2012 à 12h09

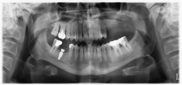
...implant posé hier matin... 5*10mm

A la fin du serrage manuel, douleurs du patient, je m'arrête, dévisse d'un quart de tour, termine l'intervention, prend la pano que vous voyez plus bas...

Donc je redévisse l'implant pour qu'il "remonte d'un millimètre" et je laisse comme ça.

J'appelle à l'instant et... lèvre encore anesthésiée...

Il revient à 16h, je vais déposer l'implant...

Que faire de plus à part avertir la RCP et aller allumer un cierge dans l'église du coin ??

Merci !

Boissier qu9ilk - Eugenol

olivier

30/10/2012 à 12h18

t'as une rétro alvéolaire ?
Il 'y a t il eu un saignement particulièrement important au forage?

A part dévisser et mettre un cocktail de vitamine B Je ne sais pas. S'il s agit d'une compression simple dévisse et mets sous corticoïdes.

C'est quoi comme implant ? Est ce que l'apex est travaillant ou mousse?


1309531 ours brun n5iukf - Eugenol
seespan

30/10/2012 à 12h21

Noramlement la perte de sensibilité c'est trois jours, trois semaine ou trois mois. Donc dans tous les cas c'est encore trop tot pour juger.
C'était quoi l'anesthésie? Peri apical?

--
หมอจัดฟัน


olivier

30/10/2012 à 12h23

seespan écrivait:
-----------------
> Noramlement la perte de sensibilité c'est trois jours, trois semaine ou trois
> mois. Donc dans tous les cas c'est encore trop tot pour juger.
> C'était quoi l'anesthésie? Peri apical?
>
> --
> หมอจัดฟัน

je connaissais pas cette règle des 3...sympa a retenir


1309531 ours brun n5iukf - Eugenol
seespan

30/10/2012 à 12h28


Elle est pas de mois :-)

D'après le professeur Coudert, ancien responsable du département de chirurgie. On lui envoyer tout les cas de DS les plus pourris.
Il siégeait aussi au conseil de l'ordre pour les litiges (je connais pas le post exacte), la ou les patient porte plainte et ou les cas sont examiné.
Donc en tout il avait pas mal d’expérience sur les pertes de sensibilité.
--
หมอจัดฟัน


1309531 ours brun n5iukf - Eugenol
seespan

30/10/2012 à 12h31

Ensuite pour l’anesthésie c'est juste que si je dis pas de connerie avec une para apical tu as la sensibilité avant de toucher le nerfs (environs 1 mm), donc ça veut dire que très probablement l'implant est en lingual du nerfs sur la pano et il n'y a pas de contacte avec le nerf.

Si c'est une tronculaire possible qu'il y est eu contacte.

--
หมอจัดฟัน


Humator t9r5wy - Eugenol
humator

30/10/2012 à 12h36

dépose au + vite.
corticoides dose maxi sur une semaine.
attente.
généralement, après ça, on refait pas la boulette! bon courage

au vissage, l'implant pousse un volume de sang au delà de l'apex qui génère une bonne compression. La nevrite réactionnelle perdure +/- longtemps.
Cela est vrai, sauf si lésion au forage il y a... et malheureusement, bien souvent le foret est un peu plus long que l'implant...
Pour te rassurer, le nerf est dans sa gaine, qui elle même a une certaine résistance élastique. Il faut etre patient.

--
N.Hum


Canin

30/10/2012 à 12h37

disons que t'as pas les 2 mm de sécurité prévus par le principe de précaution.

là je crois que déposer est la plus sage des solutions.

à part si t'es sûr que c'est pas juste une superposition de la panoramique mais il faudrait alors une 3D pour l'évaluer.

--
Canin


Zz cnsu38 - Eugenol
toto48

30/10/2012 à 12h43

+1 avec Hum
et pas hésiter à adresser à un neurologue.


 mg 0207 xwjxcl - Eugenol
Tillc

30/10/2012 à 12h54

Tu peux anesthesier le NAI avec une para apicale aussi
C'est de la connerie cette histoire de pas faire de spix


mire

30/10/2012 à 12h54

1° Faire rétro-alvéolaire et 3D pour voir si vraiment le nerf est atteint
2) donner cortisone 1 semaine (solupred 20mg:2 comprimés le matin)+1 comprimé/jour de vit B12 pendant 15j
s'arréter 15 jours puis recommencer vit B12 15 j s'arréter à nouveau et refaire une 3°cure de B12 pendant 15j
si le nerf n'est pas atteint ou légèrement,tout rentre dans l'ordre
bon courage


soeursourire

30/10/2012 à 13h10

as tu le scan pré op?

voir si il y a lésion nerveuse ou si c'est la compression par l'oedème lié au forage qui est responsable de la paresthésie


olivier

30/10/2012 à 13h26

mire écrivait:
--------------
> 1° Faire rétro-alvéolaire et 3D pour voir si vraiment le nerf est atteint
> 2) donner cortisone 1 semaine (solupred 20mg:2 comprimés le matin)+1
> comprimé/jour de vit B12 pendant 15j
> s'arréter 15 jours puis recommencer vit B12 15 j s'arréter à nouveau et refaire
> une 3°cure de B12 pendant 15j
> si le nerf n'est pas atteint ou légèrement,tout rentre dans l'ordre
> bon courage


+1


olivier

30/10/2012 à 13h26

mire écrivait:
--------------
> 1° Faire rétro-alvéolaire et 3D pour voir si vraiment le nerf est atteint
> 2) donner cortisone 1 semaine (solupred 20mg:2 comprimés le matin)+1
> comprimé/jour de vit B12 pendant 15j
> s'arréter 15 jours puis recommencer vit B12 15 j s'arréter à nouveau et refaire
> une 3°cure de B12 pendant 15j
> si le nerf n'est pas atteint ou légèrement,tout rentre dans l'ordre
> bon courage


+1


dent2669

30/10/2012 à 13h30

comment ça s'appelle le médicament de vit B12 ?? quelle posologie ?? (oui c'est ma première fois...)


Choukroun Joseph

30/10/2012 à 14h19

Le traitement le plus efficace: Synacthene Retard 1mg IM tout de suite. répéter une deuxième injection dans 24h. Bilan neuro avec une aiguille au bout de 48h pour décider si on fait une troisième injection. En principe, rapidement appraissent des démangeaisons qui signent la récupération du nerf.


olivier

30/10/2012 à 14h53

le Synacthene Retard est un anti epiliptique est il efficace si il y a compression sans contact ou s'il y a eu déchirure ou contact de l'apex de l'implant avec le NAI?


dentatronche

30/10/2012 à 18h39

dépose ton implant et attends . Il n'y a pas grand chose à faire d'autre.

as tu fais un scan préop?

Bilan des courses dans 6 mois.

Bon courage a toi.


levm

30/10/2012 à 19h00

Fais une cartographie de la zone insensibilisée . Tu notes les zones et tu vois l'évolution .


sidchir

30/10/2012 à 23h32

Corticotherapie solupred 1mg/kg cad environ 3cp(20mg) le matin pdt6jrs
vitamine b1 b6 b12 (Neurovit) 1cp 3fois/jr pdt 1a 2mois
et surtout des prieres


olivier

31/10/2012 à 08h58

Et alors des radios ? Des nouvelles ? Tiens nous au courant. As tu essayé la formule "magique" de Choukroun qu'il a balancé sans explications ?


dent2669

31/10/2012 à 10h54

patient revu hier soir. Il était plus inquiet à cause de l'oedème post op sur le site d'intervention que par sa lèvre en carton...

J'ai fait des tests de sensibilités sur toute la zone d'inervation, il avait des sensation douloureuses aux piqures de partout. Atténuées certes mais elles étaient là. J'ai refais un radio rétro-alv (pas de cone beam au cab) on voit nettement l'implant à un bon mm au dessus du canal (et oui, je l'avais dévissés suite à la pano que vous voyez dans le premier post).
J'opte donc pour une simple compression du nerf, levée par le dévissage de l'implant, qui devrait s'attenuer avec le temps. Reste à savoir combien de temps...

Donc après avoir consulté vos avis, l'avis d'amis implanto, j'ai décidé de laisser l'implant en place, de rallonger la cortico thérapie pour vite résorber l'oedème post-op.

Je lui prescrirai des vitamines si cette paresthésie se poursuit lorsque le site opératoire aura refroidi.

Ce qui me sauve c'est que le patient est une crème, il n'est pas du tout vindicatif donc c'est bien plus facile à gérer sereinement !!

Merci à tous !! je vous tiens au jus


dentatronche

05/11/2012 à 01h08

Tu peux te détendre, s'il présente une sensibilité c'est que ce n'est pas bien grave. Ca va s'attenuer avec le temps


Thedude5962

01/09/2015 à 11h03

Bonjour,

As-tu revu ton patient depuis trois ans?

Quelles conséquences s'il y en a?

Bonne journée.