Cookie Consent byPrivacyPolicies.comA la recherche du MV 2 ... - Eugenol

A la recherche du MV 2 ...

Img 3657 cwjvqm - Eugenol
alapex

02/11/2012 à 15h13

L'endo est une source de déception sans fin et lorsqu'il s'agit d'une rte , c'est pire .
Ensuite "on" pourra palabrer sur la digue et ses bienfaits , les microbes , le biofilm , la mise en forme des canaux , leur obturation , les matériaux de choix , la rte de certains canaux , les isthmes et toutes sortes de choses ...
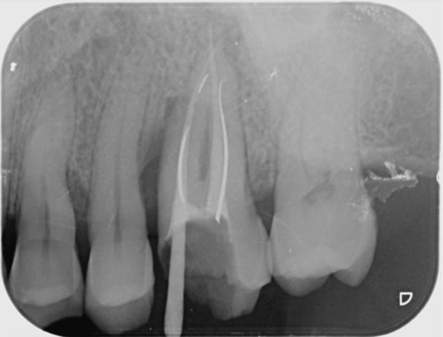
Voici le résultat d'une 3ème séance de recherche du MV 2 le vague à l'âme expliquant l'absence de digue , et mv 2 que j'aurai nommé le CCE pour casse couille endodontique mais n'étant pas endo exclusif je reste courtois avec cette désespérance souvent absente radiologiquement après obturation et dont le trajet incertain me laisse rêveur , quand à la guérison de l'image en mésial prions pour que Saint NaOCl et Saint EDTA veillent sur nous .
Le tout en supposant que LIPOE soit une vue de l'esprit ce qui serait étonnant .
Bref cônes d'argent présents MV1 et DV , palatin ?!?!? : aucune image radio , à tout les coups mon MV 2 sera insuffisant et je serai le maillon faible ...)))

1 wgqwvg - Eugenol
3 q2xv7r - Eugenol
Img 1966 fqw6xa - Eugenol
Img 1968 qukpie - Eugenol
2 wkkujb - Eugenol

Fresh watermelon 640x562 udulqz - Eugenol
gulguch

02/11/2012 à 17h25

Ca avait de la gueule tout de mème ces cônes Ag.


Img 3657 cwjvqm - Eugenol
alapex

02/11/2012 à 19h44

Tu remarqueras qu'il n'y a aucune image apicale face aux cônes d'Ag .
Egalement les rapports curieux entre mv1 et mv2 , je suis arrivé à virer le 1/3 milieu du cône qui se trouve dans mv1 et je suis au bout du mv2 que j'ai pénétré facilement après l'avoir cherché 3 séances...
J'aurais dû être endo-exclusif , et mérité mes 800 euros ;)


Img 1392 s73srk - Eugenol
Guttaman

02/11/2012 à 21h52

Moi, y a quand même des trucs que je pige pas...
1°) pourquoi diable ne pas mettre la digue lors de la 3° séance (surtout que là, on peut pas dire que ça prenne du temps sur une dent comme ça).
2°) pourquoi diable ne pas avoir retiré les cônes d'argent ?...


ok je sors... ;-)


Img 3657 cwjvqm - Eugenol
alapex

02/11/2012 à 22h36

Guttaman écrivait:
------------------
> Moi, y a quand même des trucs que je pige pas...
> 1°) pourquoi diable ne pas mettre la digue lors de la 3° séance (surtout que là,
> on peut pas dire que ça prenne du temps sur une dent comme ça).


Oui , oui , c'est récurent comme questionnement sur nonol , et tu comprends pourquoi "j'ose" . Parce que pour toutes sortes de raison , je le peux . C'est aussi simple que cela .
Ensuite nous pourrons disserter sur ceux qui le font (nous sommes 5 %) , sur ceux qui aseptisent les cônes de gutta , et aussi plein de choses tournant autour de l'endo .

> 2°) pourquoi diable ne pas avoir retiré les cônes d'argent ?...
>


Cela m'est arrivé d'en sortir , mais vais-je faire pour celle là ? Pourquoi devrais-je le faire ? Tu vois des granulomes ?
Mon cône est-il scellé ?
Comment trouves-tu les cônes de chez Endo Express , perso je les trouve pâlichons , radiologiquement .




> ok je sors... ;-)


Bin non reste , c'est un sujet sympa l'endo , pis ça change des grèves , des mutuelles et autres . Non ?
...)))


Smile beach jgh0a1 - Eugenol
Céramik

03/11/2012 à 03h06

Et la paro partout, c'est à cause des tiges d'argent ?
Je sors...

--
Céramik


machu

03/11/2012 à 11h19

Je salue ta conscience professionnelle, voire l'acharnement, je n'aurais probablement pas eu le courage d'une 3ème séance pour le mv2. D'ailleurs, je trouve que pour les reprises le mv2 me donne très souvent envie d'hurler, malgré l'attirail digue/loupes qui va bien. Sur des endos 1ère intention, je me sens plus attirée par ce foutu canal.
Il y a très rarement des granulomes sous des cônes d'argent, par contre après les avoir retiré...


Img 1392 s73srk - Eugenol
Guttaman

03/11/2012 à 18h29

@Alapex: rassures toi, je plaisantai sur le retrait des cônes. Je sais très bien que ce n'est toujours possible de les sortir.
Effectivement, ce n'est pas très radio-opaque. Cela ne préfigure en rien la qualité de l'étanchéité, juste un choix du fabricant dans la proportion de sulfate de baryum. Mais j'avoue que c'est un peu rédhibitoire, parce que c'est quand même plus joli je trouve quand c'est bien blanc sur les radiographies.

@Machu : oui, mais sur des dents sur lesquelless on laisse rentrer de nouveaux microorganismes (pas de digue, erreurs d'asepsie durant le retraitement, temporisation cavit/irm trop longue, scellement d'inlay-core sans désinfection préalable de la dent et de l'IC, IC mal ajusté, couronne mal ajustée ... sinon, sans une de ces erreurs, la lésion qui apparait serait de toute façon apparue.