Cookie Consent byPrivacyPolicies.comImplant direct - Eugenol

Implant direct

Azerty06

07/11/2012 à 08h47

Bonjour, nouvel utilisateur de la marque implant direct, je cherche des utilisateurs de leurs attachements GPS. Je voudrais leurs avis, surtout en comparaison avec le locator.
Merci


Photo pluton1b h9n4ea - Eugenol
pluton

07/11/2012 à 09h02

çà marche aussi bien...;-)
avec 2 avantages: existent en angulé à 15 et 30°


Azerty06

07/11/2012 à 09h16

Merci pluton, j'ai crus comprendre que tu connais bien cette marque, je pars plus confiant.


Photo pluton1b h9n4ea - Eugenol
pluton

07/11/2012 à 10h07

oui, je la connais très bien...;-)
de loin, c'est le système qui m'offre le plus de possibilités prothétiques et chirurgicales
c'est un système très abouti permettant un très fort taux de succès quelque soit le type d'os rencontré (çà vient du fait que l'on peut adapter, moduler sa séquence de forage en fonction de la qualité osseuse ressentie)...et çà n'est pas vraiment le cas pour tous les autres systèmes...et je sais de quoi je parle...


Grumpy cat ifik8s - Eugenol
radich_a_tord

16/11/2012 à 02h31

Je me tâte à l'adopter en système "low cost" et faire du Nobel à coté.

Que penses tu de leurs kits chir (basic et complete) en trilobe ?

Merci !


Photo pluton1b h9n4ea - Eugenol
pluton

16/11/2012 à 08h33

elles sont bien, pourquoi???

en fait, le plus dur pour toi, çà va être de choisir entre le Replant qui est compatible chirurgicalement et prothétiquement avec le Nobel replace, mais dont le porte implant/transfert, n'est aussi qu'un pilier titane PROVISOIRE...
et les 2 autres, Replus et Reactive chirurgicalement compatibles avec quasi tous les implants ID (spectra + legacy) et reprenant le design externe des legacy 1 pour le replus et legacy 3 pour le reactive...
ces 2 là sont compatibles uniquement prothétiquement avec Nobel, mais ont un porte implant/transfert/pilier ti droit définitif...le vrai concept all in one...

quitte à vraiment vouloir faire du "low cost" avec de l'ID autant pousser le concept jusqu'au bout, je pense, et profiter du vrai "all in one" tu ne crois pas? et des 2 je prendrais plutôt le Reactive qui doit se comporter comme le legacy3...

et dernière précision, je pense que l'interactive (compatible Nobel active) sera aussi posé avec la même trousse chir que les spectra/legacy/replus/reactive....


Olieve

16/11/2012 à 10h22

radich_a_tord écrivait:
-----------------------
> Je me tâte à l'adopter en système "low cost" et faire du Nobel à coté.

C'est même pas un système "low cost", c'est juste moins cher à qualité identique (voire même meilleure)

Je trouve leurs pièces supra-implantaire de meilleure qualité que les Nobel.

Je pose toujours des implants Nobel Replace mais depuis le début de cette année, je n'ai plus utilisé que des pièces prothétiques ID sans rencontrer aucun problème.

J'ai commencé à poser leur implants également, sans avoir encore terminé un cas complètement. Là aussi tout se passe normalement. Il faut s'habituer à leur porte-implant (un peu déroutant la 1ère fois)

Je pense qu'en 2013 je serais totalement acquis à ID. :-) En conservant les possibilités de Nobel pour les cas prothétique complexe (pilier usiné, PIB....)


Photo pluton1b h9n4ea - Eugenol
pluton

16/11/2012 à 12h03

Olieve écrivait:
----------------

> C'est même pas un système "low cost", c'est juste moins cher à qualité identique
> (voire même meilleure)
>
> Je trouve leurs pièces supra-implantaire de meilleure qualité que les Nobel.

c'est pour çà que j'avais mis aussi " "....;-)
constat donc pour toi identique au mien pour les pièces prothétiques...cf le petit sujet avec les photos de vis de cicat que j'avais fait...


> Je pense qu'en 2013 je serais totalement acquis à ID. :-) En conservant les
> possibilités de Nobel pour les cas prothétique complexe (pilier usiné, PIB....)

comme beaucoup de ceux qui ont essayés...;-)
tu poses lequel de leur gamme? je suis pas expert sur les compatible Nobel...il y a la trousse compatible replace avec les drivers pour le col de l'implant, mais ils sont absents de la trousse spectra, qui est celle utilisée pour les replus et reactive...cela dit, ces drivers s'achètent aussi à l'unité, il est donc très facile de compléter la trousse spectra...


Grumpy cat ifik8s - Eugenol
radich_a_tord

16/11/2012 à 12h50

Salut et merci pour les réponses

En fait j'ai rien du tout pour l'instant au cabinet et ce sont vraiment mes tout premiers cas. ça fait quelques mois que je recrute et j'ai quelques patients motivés, avec édentement unitaire (molaires mandibulaires mais j'ai aussi un cas avec deux prémolaires maxillaires, plus confortable).

J'ai la chance d'avoir un copain qui a un DU et qui accepte de me coacher en implanto : il vient avec son moteur, matériel chir, et son stock d'implants et me guide au fauteuil. Le hic, il ne pose que du Nobel (je pense bien que ça doit être majoritairement du Replace).

Moi j'ai rien contre, simplement les devis ont du mal à passer quand on est jeune sans expérience et qu'on colle des prix premium...

D'où l'idée d'aller voir dans le compatible, et j'avais lu des posts sur ID qui allaient tous dans le même sens : super système à pas trop cher.

C'est vrai que c'est dommage qu'ils ne fassent pas de all in one sur le replant !

Je reviendrai vous embêter quand j'aurai avancé dans ma réflexion, merci pour les infos !


Olieve

16/11/2012 à 14h12

pluton écrivait:
----------------
> Olieve écrivait:
> ----------------

> comme beaucoup de ceux qui ont essayés...;-)
> tu poses lequel de leur gamme? je suis pas expert sur les compatible Nobel...il
> y a la trousse compatible replace avec les drivers pour le col de l'implant,
> mais ils sont absents de la trousse spectra, qui est celle utilisée pour les
> replus et reactive...cela dit, ces drivers s'achètent aussi à l'unité, il est
> donc très facile de compléter la trousse spectra...

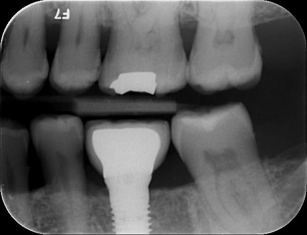
Actuellement j'ai posé 3 Replant seulement, pour continuer à utiliser ma trousse chir Nobel. Par la suite je pense choisir le ReActive.

Voici 3 Rx d'un petit cas tout simple : implant Replace Nobel avec pilier titane ID.
Bite-wing fait au contrôle à 1 an. Pour ceux qui douteraient de la compatibilité parfaite :-)

1 wnn2v5 - Eugenol
2 f2qnbx - Eugenol
3 vr3ymg - Eugenol

Grumpy cat ifik8s - Eugenol
radich_a_tord

07/07/2014 à 19h54

radich_a_tord écrivait:
-----------------------
> Salut et merci pour les réponses
>
> En fait j'ai rien du tout pour l'instant au cabinet et ce sont vraiment mes tout
> premiers cas. ça fait quelques mois que je recrute et j'ai quelques patients
> motivés, avec édentement unitaire (molaires mandibulaires mais j'ai aussi un cas
> avec deux prémolaires maxillaires, plus confortable).
>
> J'ai la chance d'avoir un copain qui a un DU et qui accepte de me coacher en
> implanto : il vient avec son moteur, matériel chir, et son stock d'implants et
> me guide au fauteuil. Le hic, il ne pose que du Nobel (je pense bien que ça doit
> être majoritairement du Replace).
>
> Moi j'ai rien contre, simplement les devis ont du mal à passer quand on est
> jeune sans expérience et qu'on colle des prix premium...
>
> D'où l'idée d'aller voir dans le compatible, et j'avais lu des posts sur ID qui
> allaient tous dans le même sens : super système à pas trop cher.
>
> C'est vrai que c'est dommage qu'ils ne fassent pas de all in one sur le replant
> !
>
> Je reviendrai vous embêter quand j'aurai avancé dans ma réflexion, merci pour
> les infos !

Petit update : Je me suis équipé chez Nobel (moteur + trousse chir + 10 Replace) et j'ai posé 3-4 cas en Nobel.

Et donc j'ai posé 3 Replant ce matin (le compatible Nobel Replace de chez ID) un RP11,5 (4,3x11,5) et 2 WP11,5 (5x11,5)

J'ai utilisé ma trousse chir Nobel et les implants ID sans aucun soucis : porte implant Nobel connecté au trilobe du Replant (j'ai pas trop compris comment utiliser la double pièce au dessus, et ça fait très haut avec le porte implant et le contre angle en plus). ça rentrait tout seul j'en ai serré 1 à 45 Nm et les deux autres ont bloqué à 45 au moteur, fini en mettant 2 tours complets à la clé.

Ensuite j'ai mis les vis de couverture fournies avec, et suturé tout ça proprement. Je réouvre dans 4 mois.

On verra dans le temps la stabilité du truc.

A la base je me suis tourné vers cette solution pour un problème financier (le devis classique ne passait pas en Nobel et le patient partait sur de l'amovible du coup) mais je suis très content d'implant direct : livraison en 3-4 jours par Fedex super rapide, la boutique est simple d'utilisation, facture envoyée par courrier, très bien.

Par contre j'ai pas reçu de réponse à mon mail envoyé au service commercial concernant les offres d'essai (3 implants gratuits ou 5 pour 20 achetés).

Merci à Eugenol et à Pluton pour m'avoir fait découvrir cette marque.

15 cross sections budgmt - Eugenol
3implants2 implant view dj28sl - Eugenol
Nobel clgpff - Eugenol
3implants0 implant view gz0ewo - Eugenol

Photo pluton1b h9n4ea - Eugenol
pluton

07/07/2014 à 20h46

radich_a_tord écrivait:

> J'ai utilisé ma trousse chir Nobel et les implants ID sans aucun soucis : porte
> implant Nobel connecté au trilobe du Replant (j'ai pas trop compris comment
> utiliser la double pièce au dessus, et ça fait très haut avec le porte implant
> et le contre angle en plus). ça rentrait tout seul j'en ai serré 1 à 45 Nm et
> les deux autres ont bloqué à 45 au moteur, fini en mettant 2 tours complets à la
> clé.

c'est très simple, pour tes futures poses, il te suffit, si tu veux poser au moteur d'acheter l'instrument ad hoc qui s'appelle HD 2.5 et qui se prend dans l'hex du porte implant

http://store.implantdirect.eu/fr/hd2-5

sinon, il faut utiliser directement le carré de ta clef à cliquet sur le carré du porte implant (partie colorée)

> Par contre j'ai pas reçu de réponse à mon mail envoyé au service commercial
> concernant les offres d'essai (3 implants gratuits ou 5 pour 20 achetés).

faut téléphoner directement à l'un des 2 commerciaux (si tu veux celui de Lucien tu me MP...:-))

> Merci à Eugenol et à Pluton pour m'avoir fait découvrir cette marque.

de rien, tu te rendras vite compte des différences de comportement entre le replace et le replant (parce que lui, il est autotaraudant...;-))
ensuite, tu constateras aussi que la plupart de tes devis passeront avec les ID alors que çà va coincer avec les Nobel...
quand tu en seras à 60 voir 70% d'ID tu abandonneras Nobel
et quand tu voudras aller plus loin dans la gestion de l'esthétique....et bien tu seras mûr pour l'Interactive...;-)

bref, une progression classique...;-)


dédé74

08/07/2014 à 13h52

Tu as aussi les implants de génericimplants, c'est des génériques du REPLACE CC, je les poses tous les jours avec ma trousse NOBEL.

Et au moins c'est fabriqué en FRANCE.

http://genericimplants.com/fr/les-implants/77-implant-like-cc.html


Amibien

08/07/2014 à 18h09

dédé74 écrivait:
----------------
> Tu as aussi les implants de génericimplants, c'est des génériques du REPLACE CC,
> je les poses tous les jours avec ma trousse NOBEL.
>
> Et au moins c'est fabriqué en FRANCE.
>
> http://genericimplants.com/fr/les-implants/77-implant-like-cc.html
************************************


hé hé , Pluton tu penses quoi de ces implants ?


Photo pluton1b h9n4ea - Eugenol
pluton

08/07/2014 à 19h53

que Nobel se gave bien avec son replace CC...;-)

sinon, que çà soit le replace ou sa copie (conforme, ou presque) perso d'un point de vue "mécanique" j'aime pas
c'est un implant "compressif" sans aucune caractéristique lui permettant d'être autotaraudant...
tant que tu es dans de l'os mou, tout va bien, mais sinon gare à la cratérisation au col!!!
je crois que les utilisateurs de l'original se limitent à 35 Ncm voir 40 Ncm grand max de couple à l'insertion...

toi qui aime entendre l'os qui fait cruicruic, Amibien, bein c'est pas un implant pour toi, parce que là tu vas au casse pipe systématique si tu fais çà avec...

sinon, oui, c'est moins cher...enfin sur le papier car tu n'as pas la vis de cicat, ni le transfert, ni le pilier...le tout mis bout à bout çà doit pas être très loin...
quand à l'état de surface....quel recul clinique avec comparé au SBM/MTX type zimmer qui a plus de 30 ans derrière lui?


Grumpy cat ifik8s - Eugenol
radich_a_tord

09/07/2014 à 02h47

pluton écrivait:
----------------

> c'est très simple, pour tes futures poses, il te suffit, si tu veux poser au
> moteur d'acheter l'instrument ad hoc qui s'appelle HD 2.5 et qui se prend dans
> l'hex du porte implant
>
> http://store.implantdirect.eu/fr/hd2-5
>
> sinon, il faut utiliser directement le carré de ta clef à cliquet sur le carré
> du porte implant (partie colorée)

Super merci du conseil. ça fait quand même trop haut pour passer sur l'implant postérieur en position de 37 sur ce cas par exemple !

> faut téléphoner directement à l'un des 2 commerciaux

Ah très bien. Je verrai pour les prochains !

>tu te rendras vite compte des différences de comportement entre le
> replace et le replant (parce que lui, il est autotaraudant...;-))

J'ai toujours eu du mal à "finir" l'insertion des replace Nobel : le moteur bloque à 45 Nm et je dois mettre bien 4 ou 5 tours de clé pour l'insérer correctement.

J'ai toujours senti que le col mettait la corticale à rude épreuve et que ça compressait beaucoup trop la vascularisation. Je pensais que c'était moi qui ne "surforait" pas en longueur ou que je devais passer les forets "os dense" même sur faible longueur (ils sont normalement faits pour les 13 et 16mm).
Ce que tu dis plus bas ne m'étonne pas. Je n'ai pas encore assez de recul pour voir la cratérisation au niveau du col, ça sera la surprise...

Et là c'est vrai que les replant y sont allés beaucoup plus facilement, j'ai juste eu 2 tours maxi à faire.

Pour les implants made in France, ça n'est pas un argument pour moi. Je préfère un truc sur lequel je connais un utilisateur qui est là pour me répondre (dont acte ! merci encore) et qui a un vrai recul sur la camelote sans trop de parti pris.


Amibien

09/07/2014 à 09h36

Cher Pluton, merci pour ton expertise, je prends note !


Logo m4n3gc - Eugenol
drmarcus

09/07/2014 à 10h50

radich_a_tord écrivait:
Je préfère
> un truc sur lequel je connais un utilisateur qui est là pour me répondre (dont
> acte ! merci encore) et qui a un vrai recul sur la camelote sans trop de parti
> pris.

Je dois reconnaitre que sans mon ami Pluton je n'en serai pas là ! Je dois reconnaitre que je ne regrette pas, il pourra même témoigner que je fais tout pour essayer " de me casser la gueule" mais ils tiennent bon ces satanés implants. Je n'irai pas plus loin dans les indications limites. Le seul que j'ai perdu à ce jour est une réimplantation immédiate avec greffe dans un site de péri implantite; ça ne se fait pas mais je n'ai pas perdu de temps non plus.

A suivre.


--
"La seule chose promise d'avance à l'échec, c'est celle que l'on ne tente pas" Paul Emile VICTOR


Aiguille cyboyt - Eugenol
fatboy

12/08/2014 à 21h02

Bonjour,
J'utilisais depuis 1an le systeme replant (car je voulais etre compatible avec le replace de nobel).
J'aimerai utiliser d'autres implants plus specialisés (os mou, dense, zone esthetique...) de chez ID mais je n'arrive pas a trouver d'info sur leur site et leurs conseillers me renvoient vers les catalogues...
Je suis habitué a la connection tri-lobe mais je peux changer.
Je trouvé le systeme supra implantaire du replant pas tres pratique parce que je devais le devisser de l'implant avant de le poser (par manque de place) et ne reutilisai que rarement le pilier provisoire. La plupart du temps je mets un pilier de cicatrisation pendant la phase chir.
Que me conseillez vous (pour ceux qui ne sont pas a la plage)?
Merci


Grumpy cat ifik8s - Eugenol
radich_a_tord

12/08/2014 à 21h30

Salut,

Ben ils ont l'interactive, qui se rapproche du nobel active avec un implant assez (trop ?) agressif donc indiqué dans les cas où tu cherches une stabilité primaire maximale.

Sinon ils ont pas mal de choix mais peu d'arguments sur le site en faveur de tel ou tel système. Je crois que c'est le Legacy 4 que Pluton aimait beaucoup.


Photo pluton1b h9n4ea - Eugenol
pluton

12/08/2014 à 23h36

non, c'était le legacy3...;-)

c'était, car je suis totalement passé sur interactive...
et non c'est pas un implant trop agressif, à condition le cas échéant d'utiliser les CBD drills en cas d'os dense

les résultats esthétiques semblent excellents et surtout, bien plus prédictibles vs une connexion classique type Zimmer ou trilobe Nobel...


Img 0812 mvp6i0 - Eugenol
jeamba

13/08/2014 à 00h24

Quel est l'équivalent du Replace cc de chez nobel. Tu me parlais du Replant mais le cc est un hexagone et non pas un trilobe.


Photo pluton1b h9n4ea - Eugenol
pluton

13/08/2014 à 02h24

le CC du Nobel replace CC veut dire Conical Connexion
c'est la même connexion que pour le Nobel Active (hex anti-rotationnel, cône de centrage avec une pente à 12°) qui est un implant plutôt spécifiquement développé pour les os peu dense et les EII/MCI

donc "l'équivalent" du replace CC comme du Nobel Active....c'est l'interactive (qui utilise la même connexion...mais améliorée)... et qui permet de n'utiliser qu'un seul type d'implant...quelque soit la qualité de l'os ou la situation clinique (esthétique ou non...mais qui peut le plus...) avec en plus cette "souplesse" incroyable de pose puisqu'il est prévu pour être posé aussi bien en léger supra-crestal qu'en sous crestal....en gros tu as 1mm de tolérance de pose qui fait qu'avec tu te contrefous de ne pas avoir une crête plate comme un billard...
faudrait que je fasse une petite illustration pour expliquer ce petit "plus" génial...


Img 0812 mvp6i0 - Eugenol
jeamba

13/08/2014 à 16h43

Merci Rapha.


Aiguille cyboyt - Eugenol
fatboy

16/08/2014 à 02h41

Merci.
jai finalement opté pour l'interactive.


12