Cookie Consent byPrivacyPolicies.comfacette purement esthétique ? - Eugenol

facette purement esthétique ?

maz

10/11/2012 à 18h53

parfait, le nexus 3 est très bien, il prend assez vite faut pas se faire surprendre

l'optibond xtr étant un automordançant, je mordancerais l'émail avant de l'utiliser


Pierre-E

10/11/2012 à 19h06

le NX3 oui je sais, je me suis fait avoir une fois ! même pas le temps de le mettre dans l'intrados.


003 penrd2 - Eugenol
Cingulum

10/11/2012 à 19h06

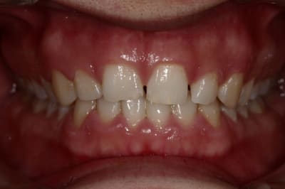
Je trouve ça aussi pas joli.
Les dents naturelles étaient belles !
Je veux pas me prononcer sur 4 photos, mais,
avoir des bords translucide on court tous après !!
A la rigueur, petite correction des positions.

Si tu veux faire de l'esthétique il faut faire des photos correcte.
C'est à dire où on voit le collet, la gencive, pas la lèvre.

Quelques photos de facettes, comme tu demandes nos cas... ;)






--
Dr Cingulum
-----Ancien interné----
----Attaché à l'apex----
http://www.clinic-all.fr/ formation par passion

Img 0277 gytx8l - Eugenol
Img 0908 duqkoy - Eugenol
Img 1097 nmqhzj - Eugenol
Img 1110 tct3f8 - Eugenol
Img 1124 admktr - Eugenol
Img 1223 k3ndr3 - Eugenol
Img 1338 chnpsz - Eugenol
Img 1343 ptte37 - Eugenol
Img 1345 vndjg7 - Eugenol
Img 1346 rgu5il - Eugenol

Pierre-E

10/11/2012 à 19h09

ah ces dentistes "esthétiques" qui détartrent même pas....







Je charrie évidemment ;) !
Très belle illustration de ce qu'on peut faire ! ça fait envie.


003 penrd2 - Eugenol
Cingulum

10/11/2012 à 19h11

celles ci à 3 ans post op...

--
Dr Cingulum
-----Ancien interné----
----Attaché à l'apex----
http://www.clinic-all.fr/ formation par passion

Img 8526 twzitq - Eugenol
Img 8528 o40xje - Eugenol
Img 8600 dn4muq - Eugenol
Img 8680 omhkcj - Eugenol
 mg 2314 ymdzxy - Eugenol
 mg 2316 hdwssm - Eugenol

87 ujotte - Eugenol
Spatouille

10/11/2012 à 19h12

cingulum tes photos sont justes irréelles ! c'est magnifique, quel boulot !

pourquoi n'avoir pas préparer légèrement plus en proximal pour mieux fermé les espaces des centrales de ton premier cas ?

bravo.


003 penrd2 - Eugenol
Cingulum

10/11/2012 à 19h17

un petit dernier pour la route ... ;)



--
Dr Cingulum
-----Ancien interné----
----Attaché à l'apex----
http://www.clinic-all.fr/ formation par passion

 mg 2052 tl1for - Eugenol
 mg 2115 v8igyy - Eugenol
 mg 2054 umc0ev - Eugenol
 mg 2206 qmutcz - Eugenol

003 penrd2 - Eugenol
Cingulum

10/11/2012 à 19h20

Sur le premier cas, ça sert à rien de préparer là où on va rajouter beaucoup...
Tu verras d'ailleurs que la ceram va bien au dela de mes préparations et que cela ne gène pas. on est en sur ajout quasiment partout..

J'en profite d'ailleurs pour remercier mon prothésiste qui fait un travail remarquable et sans lui... pas de sourire :)

--
Dr Cingulum
-----Ancien interné----
----Attaché à l'apex----
http://www.clinic-all.fr/ formation par passion


Image gle53x - Eugenol
cadxpress13

10/11/2012 à 19h23

ACCUEIL SOCIÉTÉ ARTICLES PRESSE CARRIÈRE FORMATION CONTACT
Accueil / Tous les produits
IPS e.max - Vitrocéramique au disilicate de lithium


La vitrocéramique à base de disilicate de lithium est idéale pour la réalisation de couronnes unitaires monolithiques. Cette céramique innovante vous permet d'obtenir des résultats hautement esthétiques et présente une résistance 2 à 3 fois supérieure à celle des des autres vitrocéramiques. Associée à une armature en zircone, elle peut également être utilisée pour la fabrication de bridges dans le secteur postérieur.

Le matériau est mis en oeuvre au laboratoire soit par pressée, soit à l'aide de la technologie CAD/CAM. Grâce à la haute résistance de 360-400 MPa du matériau, les restaurations peuvent être assemblées soit par collage, soit par scellement. En fonction des exigences du patient et pour obtenir un résultat encore plus esthétique, les restaurations peuvent être stratifiées ou, s'ils s'agit de restaurations monolithiques, maquillées.

Même si les préparations présentent uen teinte grise (par ex. en cas de dyschromie ou en présence d'un pilier titane), il est tout à fait possible de réaliser une restauration en tout-céramique. Dans ce cas, indiquez à votre laboratoire la couleur du moignon de façon à ce que le technicien détermine l'opacité idéale du matériau IPS e.max à utiliser pour obtenir un résultat esthétique proche du naturel.


Indications

Facettes pelliculaires (0.3 mm)
Inlays et onlays peu invasifs
Couronnes et couronnes partielles
Suprastructures implantaires
Bridges 3 éléments dans les secteurs antérieur ou prémolaire (uniquement IPS e.max Press)
Bridges 3 éléments (uniquement IPS e.max CAD sur armature zircone)
Les points forts
Des teintes proches du naturel pour des résultats hautement esthétiques
Restaurations durables grâce à la haute résistance du matériau
Préparation peu invasive préservant ainsi la structure dentaire
Matériau polyvalent pour une large gamme d'indications
Esthétique, indépendammen de la teinte de la préparation
Assemblage par collage, collage auto-adhésif ou par scellement conventionnel selon l'indication


Image gle53x - Eugenol
cadxpress13

10/11/2012 à 19h35

http://www.facebook.com/photo.php?fbid=375586235853002&set=a.201728233238804.49182.186509148094046&type=1&relevant_count=1


87 ujotte - Eugenol
Spatouille

10/11/2012 à 19h35

Cingulum écrivait:
------------------
> Sur le premier cas, ça sert à rien de préparer là où on va rajouter beaucoup...
> Tu verras d'ailleurs que la ceram va bien au dela de mes préparations et que
> cela ne gène pas. on est en sur ajout quasiment partout..
>
> J'en profite d'ailleurs pour remercier mon prothésiste qui fait un travail
> remarquable et sans lui... pas de sourire :)
>
> --
> Dr Cingulum
> -----Ancien interné----
> ----Attaché à l'apex----
> http://www.clinic-all.fr/ formation par passion

je pensai pas forcément à préparer beaucoup en épaisseur, plutôt décalé la ligne de finition en palatin, j'aime bien les ligne de finitions bien nettes :)

ce qui serait intéressant une fois c'est d'avoir une photo de la masse pressée seule ... :)

effectivement, après deuxième consultation de tes photos, il y a sur-ajout , j'imagine qu'un bon collage total etch permet cela ...

et pour finir, ton prothésiste est certes excellent mais il travail sur du velour ... beaucoup de tes confrères n'imaginent pas à quel point cela nous facilite la tâche ...


S2y2o1v7q53ws4r5wy6ou8czrpom - Eugenol
pxav

10/11/2012 à 19h39

magnifique cingulum!

--
xbk
"Si tous ceux qui croient avoir raison n'avaient pas tort, la vérité ne serait pas loin" Dac Pierre


Image gle53x - Eugenol
cadxpress13

10/11/2012 à 19h41

http://www.facebook.com/photo.php?fbid=339725606105732&set=a.201728233238804.49182.186509148094046&type=1&relevant_count=1


3f3boxni50k58rq7e9ce9ddqrxgk - Eugenol
dentiste57

11/11/2012 à 13h08

J'adore!


question;
quand tu tailles, tu mets un fil ou non ?


Bebe 038 nf8eum - Eugenol
danteyeah

11/11/2012 à 14h08

dentiste57 écrivait:
--------------------
> J'adore!
>
+1000

>
> question;
> quand tu tailles, tu mets un fil ou non ?

SI tu veux le savoir, va là...http://www.clinic-all.fr/ ..eh! eh! ;-)


Bebe 038 nf8eum - Eugenol
danteyeah

11/11/2012 à 18h09

Tiens, tout frais sortit de ma boite mail, et qui colle parfaitement au sujet.
Je parlais plus haut du coffret de Dietschi, ça change de nom, mais c'est la même chose.
Pour une fois qu'une video commerciale est bien faite, faut en faire profiter tout le monde.
D'autant que l'astuce de la digue (à la Céramik) avec colle tissulaire est séduisante ainsi que le repère intraoral de la ligne bipupilaire (on pourrait même y rajouter un repère pour le milieu interincisif tiens!).

http://www.mailingmarket.com/lien-F6gq9m6ha2.htm

C'est marrant, mais j'arrive toujours pas a croire que jpm ne fait aucune préparation avant ses Emax pelliculaire. Et ne vous y trompez pas cette réhabilitation composite est hyper opérateur dépendant, même si ça à l'air facile en zieutant la vidéo.


Android jyzura - Eugenol
Tavéca

11/11/2012 à 18h18

Bravo a Cingulum, beau travail.


Smile beach jgh0a1 - Eugenol
Céramik

11/11/2012 à 18h34

labo Axodent écrivait:
----------------------
> Bonsoir,
>
> Étant prothésiste je vais me limiter à mon domaine de compétence, mais je pense
> pouvoir un peu vous éclairer...

> rien d'autre que l'Emax PRESS ayant une résistance de 400 mpa; existant en 4
> opacités différentes :
> -HT (hautement translucide)et LT (moyennement translucide)
> qui existent dans toutes les teintes vita classique et ivoclar
> -MO (moyennement opaque)et HO (hautement opaque)




Il y a aussi les teintes "e.max Press Impulse"
Le Opal 1 et le Opal 2 est fait pour les facettes ultra-mince

Voir photo et schéma
http://www.emaxdentallab.com/files/impulse.pdf

Les cas de "sans préparation" qui sont super jolis sont rares, en général, une petite préparation aide bcp le résultat final.




--
Céramik


Smile beach jgh0a1 - Eugenol
Céramik

11/11/2012 à 18h40

danteyeah écrivait:
-------------------

> D'autant que l'astuce de la digue

(à la Céramik)




MDR, on me cite maintenant !
;-)

--
Céramik


87 ujotte - Eugenol
Spatouille

11/11/2012 à 19h32

danteyeah écrivait:
-------------------

> http://www.mailingmarket.com/lien-F6gq9m6ha2.htm


franchement , c'est une alternative correcte les facettes compos ? quelle tenue dans le temps ?


003 penrd2 - Eugenol
Cingulum

11/11/2012 à 20h08

Je ne mets jamais de fil.
Le placement de la limite est juxta, ou supra gingivale.
j'ai longtemps mis un fil voir deux...
mais ce qui compte c'est l'état de la gencive et la position de la limite.

Le double fil je trouve ça traumatique, ça créée par fois des récessions de 1 ou 2 mm...

--
Dr Cingulum
-----Ancien interné----
----Attaché à l'apex----
http://www.clinic-all.fr/ formation par passion


Grumpy cat ifik8s - Eugenol
radich_a_tord

11/11/2012 à 20h24

Céramik écrivait:
-----------------

> MDR, on me cite maintenant !
> ;-)
>
> --
> Céramik

J'ai une petite pensée pour toi à chaque fois que je pose la digue à ta façon !


Bebe 038 nf8eum - Eugenol
danteyeah

13/11/2012 à 03h44

Spatouille écrivait:
--------------------
> danteyeah écrivait:
> -------------------
>
> > http://www.mailingmarket.com/lien-F6gq9m6ha2.htm
>
>
> franchement , c'est une alternative correcte les facettes compos ? quelle tenue
> dans le temps ?

La facette doit avoir la même tenue qu'un inlay composite de labo bien polie, cependant comme les "moules" ne sont pas sur mesure, cela doit entrainer une adaptation de composite direct donc obligatoirement un joint de collage direct de volume et surface importante, ça vieillie donc comme un composite: bien fait ça se "matifie" au bout de 6 mois (mais rien n'empêche de le repolir), et ça doit pouvoir tenir aussi longtemps qu'un beau composite stratifié (voir les liens de maz sur les maîtres Italiens ;-)). Mal fait (pas de digue, mauvaise adaptation des moules, polissage succinct), ça doit pas tenir 1 an, c'est pourquoi je disais que c'était opérateur dépendant.
Je ne voulait pas mettre ce produit en avant, c'était juste pour montrer la vidéo, je ne suis pas utilisateur du système (que je trouve bien trop cher pour du composite), par contre je trouve la vidéo super bien faite et présentant deux bonnes astuces à retenir, bien que la digue "Ceramik style" ne soit pas indiqué pour des montages composite (humidité du sulcus, et risque de saignement polluant le collage au niveau des collets).


87 ujotte - Eugenol
Spatouille

13/11/2012 à 08h24

ok, ok , je trouve ça vachement opérateur dépendant aussi car pour refaire un bloc en situation esthétique comme ça, faut pas être mancho quand même .... après ça vous permet aussi de traiter quelqu'un eu une seule séance .... mais une grosse !


Pierre-E

13/11/2012 à 20h33

Merci à tous pour vos interventions, c'est très intéressant vos remarques !


Et comme par hasard, j'ai un représentant Labocast qui s'est pointé cet aprèm au cabinet.
Evidemment un très beau bridge céramométal de démo, mais c'était un "4 sur 2", et surtout avec une magnifique "collerette" au niveau du métal là ou est le sulcus, donc à tous les coup débordant et donc TOP pour l'espace bio.
Et il ne connaissait pas les piliers implantaires "personnalisés" titane usinés par CFAO.....