Cookie Consent byPrivacyPolicies.comCompétitivité endo-taille-empreinte-provisoires dans la - Eugenol

Compétitivité endo-taille-empreinte-provisoires dans la séance

Capture d  cran 2015 03 12 12.28 - Eugenol
chicot29

08/11/2012 à 13h24

Maitre mot à l'heure actuelle. Le voici à ma sauce.))))
logement canalaire au largo 3, puis machtou vert chauffé au chalumeau.

R11 kc1zrk - Eugenol
R7 tsgwyi - Eugenol
R8 xykkke - Eugenol
R9 duv7xh - Eugenol

Pierre-E

08/11/2012 à 13h32

la résultat est propre, mais pourquoi pas un bon vieux thermafil ?

ça m'arrive de faire ce genre de choses, surtout pour remettre une "future ancienne couronne-tenon" en temporaire, j'ai toujours la peur que tout le cône de gutta remonte.....


Capture d  cran 2015 03 12 12.28 - Eugenol
chicot29

08/11/2012 à 14h15

Ça fait chier leur tuteur en plastoc, plus difficile de faire le logement du tenon avec ça. Bon le monocone n'est pas le top de l'obturation mais vu qu'on nous prend pour des cons on ne va pas faire du zèle en plus (après on se fait allumer parceque la prothèse est trop chère). Il nous faut trouver des solutions compétitives tout en évitant de faire de la merde. Ceci dit c'est peut être déjà de la merde, mais dans les années 80 c'était le top, ça tombe bien c'est pile poil en adéquation avec la nomenclature.


Pierre-E

08/11/2012 à 14h31

dans ces cas là, essaie la technique du cône coupé en enlevant la partie coronaire (donc il faut être sûr de son adaptation apicale) et l'insérer à la sonde droite.


Capture d  cran 2015 03 12 12.28 - Eugenol
chicot29

08/11/2012 à 15h05

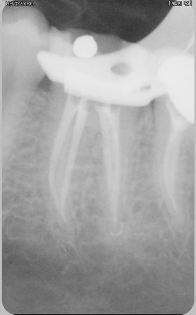
Radio cône en place avant de le sceller, avec un bon tuck- back et le machtou chauffé au rouge il est rare que le cône reste collé au fouloir. L'avantage de faire la provisoire dans la séance permet de descendre la couronne en plateau et de bien visualiser la chambre pulpaire, particulièrement indiqué dans le cas ci dessus sur des 31 41 d'une personne âgée pulpe rétractée ou à force de la chercher tu trouves .... le desmodonte !))))).


Capture d  cran 2015 03 12 12.28 - Eugenol
chicot29

08/11/2012 à 19h29

Re-belotte. 15.

et un bon vieux mordu, le tout 40 mn productivité !))))

R3 wnqcxz - Eugenol
R7 rt4hha - Eugenol
R10 gx3a0v - Eugenol
R4 qi19sc - Eugenol
12 11 novembre 035 iwauhc - Eugenol

Dsc 3167 ff43tz - Eugenol
Xenophon

09/11/2012 à 11h05

ah oui ... ça m'impressionne. J'en suis incapable. 40'; c'est déjà le temps dont j'ai besoin pour faire l'endo.
Je n'aurai jamais la rentabilité de certains. Ce n'est pas la peine de rêver.
J'ai renoncé à concourir.


Capture d  cran 2015 03 12 12.28 - Eugenol
chicot29

09/11/2012 à 11h44

Ça va venir. Le rdv était de 1 h 30 histoire d'être peinard, mais comme souvent j'ai de l'avance. C'est pour ça que je poste autant sur eugenol.


Gutt-A

09/11/2012 à 13h05

tu aurais du y aller encore plus franco avec le largo 3, parce que là tu n'a pas réussi à peter les racines!


Capture d  cran 2015 03 12 12.28 - Eugenol
chicot29

09/11/2012 à 14h28

les pivotmatics sont calibrés pour 10 mm (rouge) ou 11 mm (bleu)de logement de tenon. C'est un peu emmerdant lors du mordu que le pivomatic touche l'antagoniste. Leur diamètre en outre sont supérieurs au largo 3. Ça fait des années que je procède de la sorte, les fractures de racines sont exceptionnelles contrairement aux fractures de cuspides vestibulaires ou palatines consécutives à des obturations MOD comme la 15 ci-dessus. Maintenant si tu as une technique fiable pour faire tenir des restaurations avec des pivots de 3 mm et d'un diamètre inférieur je suis preneur.)


Zz cnsu38 - Eugenol
toto48

10/11/2012 à 11h54

Dès que je peux, je réalise endo + prov + empr dans la séance, et si le cas s'y prête je réalise une RCR collée en profitant du fait que j'ai déjà isolé le champ opératoire:
Gain de temps, diminution du risque de contamination de l'endo pendant les interséances.
Je fais cela depuis déjà 6/7 ans et je m'en porte très bien.
Par contre j'obture avec la technique Macspadden et surtout plus avec des thermafill: c'est cher, c'est chiant à désobturer, je me sens pas de le faire dans la même séance.

Initial gipfov - Eugenol
Nett carie epho0e - Eugenol
Tfv jvnrec - Eugenol
002 icmdwu - Eugenol
007 bjzgxg - Eugenol
D pose compo vv5rzr - Eugenol
018 oykmjx - Eugenol
019 awfo4m - Eugenol
006 ib3nox - Eugenol

Pierre-E

10/11/2012 à 14h18

pourquoi une RCRF plutôt qu'une RCRC ?

en clair : pourquoi pas un inlay-core, sachant que je ne me serais même pas psoé la question....


Zz cnsu38 - Eugenol
toto48

10/11/2012 à 14h43

Pour moi deux raisons:
- sourire gingival avec prévision d'une CCC donc je préfère éviter le métal y compris pour la RCR
- racine courte avec perte de substance importante au niveau du logement canalaire (parois résiduelles fines). Dans ces cas là, j'ai peur de la rigidité de l'inlay core, je suis plus à l'aise (intellectuellement parlant, mais j'ai peut être tort) avec un restauration composite collée renforcée par un tenon fibré.


Zz cnsu38 - Eugenol
toto48

10/11/2012 à 14h43

Pour moi deux raisons:
- sourire gingival avec prévision d'une CCC donc je préfère éviter le métal y compris pour la RCR
- racine courte avec perte de substance importante au niveau du logement canalaire (parois résiduelles fines). Dans ces cas là, j'ai peur de la rigidité de l'inlay core, je suis plus à l'aise (intellectuellement parlant, mais j'ai peut être tort) avec un restauration composite collée renforcée par un tenon fibré.


Grumpy cat ifik8s - Eugenol
radich_a_tord

10/11/2012 à 15h51

Et tu as entièrement raison.

On peut ajouter une bien meilleure répartition des contraintes dans la racine, réduisant le risque de fracture par rapport à un inlay core.

En gros si tu as un échec ça sera un décollement = on peut refaire. Échec avec l'inlay core = fracture, c'est plus compliqué à gérer...


Utilisateur banni

10/11/2012 à 16h08

Quel branleur ce chicot-la-pointe!! :))))

Un de mes préférés dans ce bistrot!! :)))


Rodrigue_Beaubois

10/11/2012 à 17h55

toto48 écrivait:
----------------
avec un restauration composite collée renforcée par un tenon
> fibré.
>

Joli RCRCollée .
J'ai quelques questions car j'en fais trop peu.

Tu utilises quelle marque de tenon et quel composite?

Tu utilises un moule pour coller autour du tenon?

Merci


Zz cnsu38 - Eugenol
toto48

10/11/2012 à 20h03

je ne crois pas que les produits soient déterminants, par contre le protocole me semble être la clef.

1.isolation du champ : idéalement une digue bien inversée dans le sulcus pour être étanche, ou à défaut un coffrage avec la matrice de ton choix (pour moi c'est souvent une automatrix de dentsply).Bien souvent je ne réalise pas la préparation périphérique de la dent pour m'assurer une meilleure tenue de la digue et donc une bonne étanchéité.

2.préparation du logement canalaire au LARGO 2 (après réalisation de l'endo si nécessaire) et essayage du tenon qui doit être flottant pour e^tre ensuite entierement englobé dans la résine composite de reconstruction

3. nettoyage méticuleux des surfaces à coller : fraises LN, air abrasion et insert US type perio (N°60 sur Soniflex) à faible puissance avec irrigation abondante

4.réalisation de la reconstruction:
pour les tenons, je privilégie le tenon en fibre de verre pour la transmission de la lumière pour la photopolymérisation. Je prends les plus simple possible et les moins chers: GLASSIX pour les cylindriques et Advanced Dental Composite pour les cylindroconiques
Dans quelques rares cas, j'ai utilisé un CVIMAR en capsule pour sa facilité d'utilisation (pour des cas avec des parois importantes).
Sinon en général, j’utilise une résine DUALE (car même avec un tenon en fibre de verre je ne suis pas sûr de la transmission des rayons UV). Tu en trouves plein sur le marché, mais j'ai une préférence pour la PARACORE de chez COLTENE ou le CoreXflow de chez dentsply pour leur thyxotropie.
j
Donc il me faut un système adhésif compatible avec ces résines DUALES. Pour moi, c'est l' excite DSC endo de chez IVOCLAR(MR2 DUAL).

Donc pour reprendre le fil du protocole, une fois les surfaces nettoyées au mieux,
je sèche,
je mordance,
je rince abondamment,
je sèche délicatement avec boulettes de coton et pointes de papier,
j'applique mon adhésif en frottant bien les parois,
j'élime les excès : soufllette + pointe de papier pour éviter d'avoir le fond du logement plein d’adhésif, qui, une fois polymérisé, empechera la mise en place du tenon.
je photopolymérise,
je remplis le logement canalaire avec la résine,
je mets le tenon en place,
je termine de remplir la cavité avec la résine,
je laisse polymériser en mode auto puis je rajoute un coup de lampe pour assurer au max.


Rodrigue_Beaubois

10/11/2012 à 20h36

Merci Toto pour toutes ces infos

Faut que je m'y mette maintenant !!!


Capture d  cran 2015 03 12 12.28 - Eugenol
chicot29

12/11/2012 à 17h52

Précision, j'utilise le largo 3 sur un contre angle double bague verte. Ça a son importance, pas tourner trop vite ni forcer of course.
Ca va on le voit bien à l'oeil nu le mv2 ? rendez vous de 30 mn, et oui consult (douleur sous gros amg), un peu just pour faire l'empreinte et la taille dans la séance, dommage . Pas facile de zoomer avec une seule main avec l'iphone par contre !))))

12 11 novembre 007 b6oe3i - Eugenol

Sarté

16/11/2012 à 20h43

Lundi je vous montre un cas!

Endo/Prep Couronne/Pose Couronne en 45 mn! Par contre stressant!


Images 1 riqzif - Eugenol
Odontine

17/11/2012 à 00h31

Salut,
J'admire ton efficacité toto48. Cependant, n'aurait-il pas été judicieux de faire une médication interséance au CaOH2 pour ces deux dents ? Merci pour ta réponse.


--
Carmen


Capture d  cran 2015 03 12 12.28 - Eugenol
chicot29

17/11/2012 à 01h41

Sarté écrivait:
---------------
> Lundi je vous montre un cas!
>
> Endo/Prep Couronne/Pose Couronne en 45 mn! Par contre stressant!

Surtout pour le prothésiste ! faire une ceram en 10 mn, chapeau bas !)))))


Zz cnsu38 - Eugenol
toto48

17/11/2012 à 10h12

Odontine écrivait:
------------------
> Salut,
> J'admire ton efficacité toto48. Cependant, n'aurait-il pas été judicieux de
> faire une médication interséance au CaOH2 pour ces deux dents ? Merci pour ta
> réponse.
>
>
> --
> Carmen

Je suis très "Hydroxyde de Calcium". j'en ai donc placé en inter-séances pour la 11. Mais je me suis posé la question de sa nécessité, le canal était "sec". Je crois que je peux même avouer l'avoir mis plus pour le risque de résorption sans être sûr que cela soit réellement utile, mais j'étais plus rassuré comme ça.
Par contre pour la molaire, il s'agit d'une biopulpectomie donc je n'en vois pas l'utilité (sauf saignement ou difficulté d'assécher le canal).


Sarté

17/11/2012 à 12h47

Mon prothesiste, c'est la MCXL


12