Cookie Consent byPrivacyPolicies.comcomment faire ? - Eugenol
Squash u44zd8 - Eugenol
steph

11/11/2012 à 12h02

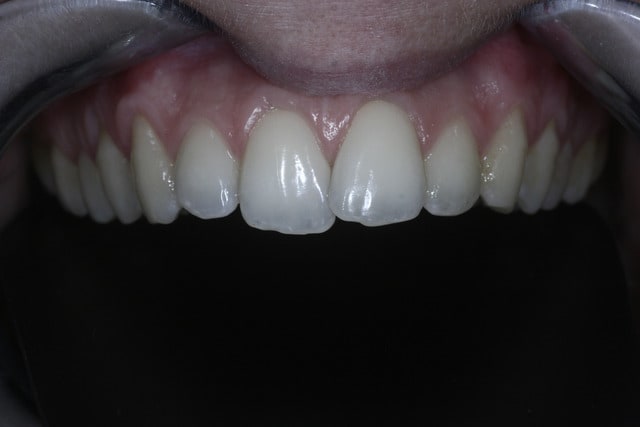
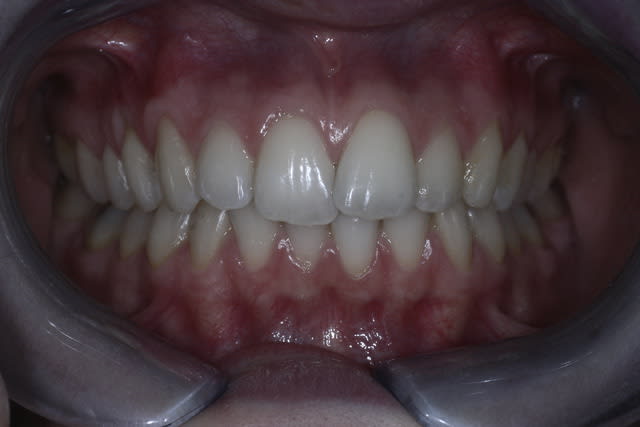
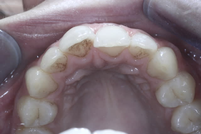
Cett jeune patiente refuse l'ODF "classique" mais veut faire qqchose pour corriger le chevauchement.
QQun pourrait me dire comment faire, je pensais un traitement comme le propose Danche mais pourriez-vous me préciser les références du matériel utilisé et la façon de faire ?
Merci

 mg 3919   copie zfegez - Eugenol
 mg 3914   copie feepvy - Eugenol
 mg 3920   copie wznqlb - Eugenol

pourri

11/11/2012 à 12h12

Coup de boule sur la 11?


joe satch

11/11/2012 à 12h25

Invisalign chez un ortho qui pratique


otho66

11/11/2012 à 18h27

Avec des gouttières style invisalign et les pinces de chez GAC qui te permettent des petits mouvements.


Squash u44zd8 - Eugenol
steph

12/11/2012 à 10h31

Un traitement invisalign, ça coûte combien ?


Grueavatar nptrc9 - Eugenol
Le Choixpeau magique

12/11/2012 à 14h02

6-8k


Ylfwcw979cz1jnx9gfqeaxndiuzk - Eugenol
Algi

12/11/2012 à 16h21

Cette "jeune" patiente.... jeune oui mais quel âge exactement?
Sinon, elle fonctionne comment? Déglutition, respiration, habitudes de mastication (à droite, à gauche, des deux côtés?)...

Elle serre, elle bruxe, elle se ronge les ongles, elle ronfle???

Oui une gouttiere invisalign ou invisalign like pourrait aider mais je doute que ce soit stable, de même un plaque palatine avec verrin d'expension (peut être) et un petit resssort derriere la centrale pourraient marcher mais perso ce serait soulet et besombes conformateur n°5 ou expansion n°3 et on attend quelques mois histoire de voir. Le sb pourrait sans doute lever sa supra par la même occsaion et expanser les arcades.

Cout: entre 600 et 800€ le semestre à raison de 1 fois /mois(et encore faut voir si les rdv ne peuvent pas être espacés à 2 ou 3 mois si les choses se passent bien et du coup réduiraient le coût annuel).
--
"On a toujours le choix! Mais entre quoi et quoi?
Vas-y boulégue et l'avenir te le dira!"


maz

13/11/2012 à 00h40

un inman aligner ?

http://www.inmanaligner.com/

pourquoi tu parles de supra et d'expansion algi ?
j'ai l'impression qu'elle a une occlusion quasi idéale sur la photo.
vu l'usure de ses dents et ses bords libres, je dirais qu'elle bruxe pas et qu'elle se ronge pas les ongles non plus.

mais comme je sais que tu t'y connais bien mieux que moi, je demande !


Bebe 038 nf8eum - Eugenol
danteyeah

13/11/2012 à 04h04

Algi écrivait:
--------------
> Cette "jeune" patiente.... jeune oui mais quel âge exactement?
> Sinon, elle fonctionne comment? Déglutition, respiration, habitudes de
> mastication (à droite, à gauche, des deux côtés?)...
>
> Elle serre, elle bruxe, elle se ronge les ongles, elle ronfle???
>
> Oui une gouttiere invisalign ou invisalign like pourrait aider mais je doute que
> ce soit stable, de même un plaque palatine avec verrin d'expension (peut être)
> et un petit resssort derriere la centrale pourraient marcher mais perso ce
> serait soulet et besombes conformateur n°5 ou expansion n°3 et on attend
> quelques mois histoire de voir. Le sb pourrait sans doute lever sa supra par la
> même occsaion et expanser les arcades.
>
> Cout: entre 600 et 800€ le semestre à raison de 1 fois /mois(et encore faut voir
> si les rdv ne peuvent pas être espacés à 2 ou 3 mois si les choses se passent
> bien et du coup réduiraient le coût annuel).
> --
> "On a toujours le choix! Mais entre quoi et quoi?
> Vas-y boulégue et l'avenir te le dira!"

C'est séduisant (et pas cher), j'ai aussi l'impression que les arcades sont étroites et manque d'expansion (respiration buccale ?), cependant on note déjà quelques récessions gingivale aux collets des 23, 14...N'y a t-il pas un risque d'accentuer cet état lors de l'expansion.
Le SB permet-il aussi un réglage assez fin pour réaligner les collet de 11 et 21 (il y a 1 bon mm de décalage pour l'instant)?
Merci.


Ylfwcw979cz1jnx9gfqeaxndiuzk - Eugenol
Algi

13/11/2012 à 10h10

Perso pas de craintes à ce niveau là, de toute façons on demarre et on suit l'evolution.

--
"On a toujours le choix! Mais entre quoi et quoi?
Vas-y boulégue et l'avenir te le dira!"


1 eugenol dmj5np - Eugenol
Dancha

13/11/2012 à 17h57

steph écrivait:
---------------
> Cett jeune patiente refuse l'ODF "classique" mais veut faire qqchose pour
> corriger le chevauchement.
> QQun pourrait me dire comment faire, je pensais un traitement comme le propose
> Danche mais pourriez-vous me préciser les références du matériel utilisé et la
> façon de faire ?
> Merci

http://www.eugenol.com/attachments/0001/8239/10877_12F.jpg

Matériel et méthode ainsi que cas cliniques publiés dans "L'Orthodontie Française" - Vol 80 - N°3 - Septembre 2009- p.305 à 312.

Utilisation universelle...:
http://www.vetortho.net/article-29146775.html

Daniel


lolop

09/01/2013 à 21h51

Je ne connais pas Danche ,mais peut être un positioneur avec slice pour caler si besoin