Cookie Consent byPrivacyPolicies.comappareil photo - Eugenol
Maroc 02 l0ohhm - Eugenol
FAT09

12/10/2014 à 14h11

Oui d'accord avec vous, mais quid de la lumière, problème qu'on rencontre en macro, comment le gère-t-on avec les hybrides?

--
Rejoignez le mvt “Dentistes, indignez-vous”
http://www.facebook.com/pages/Dentistes-indignez-vous/235542939874693

Rejoignez le mvt: Dentistes revolté-e-s http://www.facebook.com/pages/Dentistes-r%C3%A9volt%C3%A9-e-s/347313975311339


Garcimore

12/10/2014 à 14h22

A vrai dire, je prend mes clichés sans flash, généralement en f8 à 800 ISO, en orientant correctement le Scialytique.

FAT09 écrivait:
---------------
> Oui d'accord avec vous, mais quid de la lumière, problème qu'on rencontre en
> macro, comment le gère-t-on avec les hybrides?
>
> --
> Rejoignez le mvt “Dentistes, indignez-vous”
> http://www.facebook.com/pages/Dentistes-indignez-vous/235542939874693
>
> Rejoignez le mvt: Dentistes revolté-e-s
> http://www.facebook.com/pages/Dentistes-r%C3%A9volt%C3%A9-e-s/347313975311339


Maroc 02 l0ohhm - Eugenol
FAT09

12/10/2014 à 14h46

Serait-ce possible d'avoir des exemples de photos pour se rendre compte du rendu?!!

--
Rejoignez le mvt “Dentistes, indignez-vous”
http://www.facebook.com/pages/Dentistes-indignez-vous/235542939874693

Rejoignez le mvt: Dentistes revolté-e-s http://www.facebook.com/pages/Dentistes-r%C3%A9volt%C3%A9-e-s/347313975311339


003 penrd2 - Eugenol
Cingulum

12/10/2014 à 19h28

pour l'omd EM5 (EM1 est un peu plus gros..)
comparaison avec le 60mm 2.8 macro monté dessus, (il cadre comme un 120mm 2.8), posé à coté du 100mm macro 2.8 canon...

Et les flashs que l'on peut monter dessus...


--
Dr Cingulum
-----Ancien interné----
----Attaché à l'apex----
http://www.clinic-all.fr/ formation par passion

1507040 10203826846084399 2307562216115057927 n nprxir - Eugenol
10352757 10203826877205177 1154092394578965008 n b17zcu - Eugenol
10685558 10203825530331506 6654884030382147298 n b5jejk - Eugenol

Index vf7ggk - Eugenol
dentisfuturis

12/10/2014 à 23h14

la macro avec les APN compacts n'a t elle pas tendance à grossir ce qui est au centre de l'objectif ou ce problème est il mieux contrôlé maintenant ?

--
http://www.dentisfuturis.com


Garcimore

12/10/2014 à 23h20

Bonne question. Mais les hybrides n'abrite pas les mêmes capteurs que les compacts. Dans le cas des Panasonic et Olympus, le grossissement n'est que doublé par rapport à un SLR, ce qui améliore la performance macro sans vraiment gêner le cadrage.

dentisfuturis écrivait:
-----------------------
> la macro avec les APN compacts n'a t elle pas tendance à grossir ce qui est au
> centre de l'objectif ou ce problème est il mieux contrôlé maintenant ?
>
> --
> http://www.dentisfuturis.com


003 penrd2 - Eugenol
Cingulum

13/10/2014 à 11h02

le souci avec les compacts c'est que le capteur est tout petit, donc la macro se fait très près du sujet. Cela déforme les perspectives. On se retrouve avec des arcades ogivales...

Sur un hybride le capteur est intermédiaire entre un reflex et un compact...


ps impact de la focale sur les perspectives


--
Dr Cingulum
-----Ancien interné----
----Attaché à l'apex----
http://www.clinic-all.fr/ formation par passion

Stepheneastwood tile1 wo41tw - Eugenol
Taille capteurs numeriques comparaison dslr tphv2p - Eugenol

P2eqdh3csim6s7nb09ktdq3e7ev8 - Eugenol
barbabapat

13/10/2014 à 15h04

Les Sony alpha 7 ont des capteurs plein formats dans des boitiers hybrides.

Par contre l'offre d'objectifs est limité et contrairement aux réflexes il faut passer par un adaptateur pour monter les objectifs minolta.


003 penrd2 - Eugenol
Cingulum

13/10/2014 à 15h32

encore une fois la taille de l'optique dépend de la taille du capteur. Les hybrides ayant des capteurs APS C ou plus grand ont des optiques aussi grosses que sur les reflex ....

Aprés la taille c'est pas un handicap, mais un 100mm macro ça pèse lourd .

--
Dr Cingulum
-----Ancien interné----
----Attaché à l'apex----
http://www.clinic-all.fr/ formation par passion


Maroc 02 l0ohhm - Eugenol
FAT09

13/10/2014 à 19h46

Je vois que le sujet avance sans polémique, c'est bien!!

Cingulum: pourriez-vous me communiquer les refs des flashs?!! Et voit-on une différence avec et sans flashs

Concernant Sigma, que penser des objectifs 19,30 et 60mm / f2.8 dn art, le 60 en particulier peut-on faire de la macro avec?!!

--
Rejoignez le mvt “Dentistes, indignez-vous”
http://www.facebook.com/pages/Dentistes-indignez-vous/235542939874693

Rejoignez le mvt: Dentistes revolté-e-s http://www.facebook.com/pages/Dentistes-r%C3%A9volt%C3%A9-e-s/347313975311339


Garcimore

13/10/2014 à 19h56

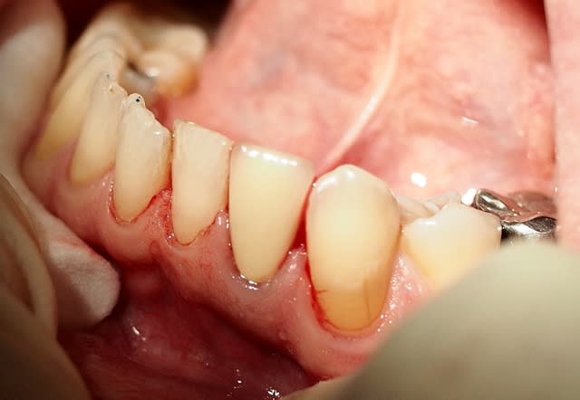
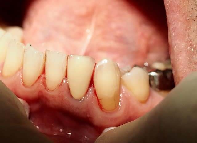
Voici ce que donnent les clichés pris avec l'OM-D E-M5 sans flash, avec ou sans scyalitique. Je crois les avoir pris avec l'obj. Panasonic 20mm (qui n'est pas un Macro).
Ta question sur les objectifs Sigma concerne quelle monture?

Scyalitique rcbelh - Eugenol
Sansscyalit hnjrmq - Eugenol

P2eqdh3csim6s7nb09ktdq3e7ev8 - Eugenol
barbabapat

13/10/2014 à 21h41

FAT09 écrivait:
---------------
> Je vois que le sujet avance sans polémique, c'est bien!!
>
> Cingulum: pourriez-vous me communiquer les refs des flashs?!! Et voit-on une
> différence avec et sans flashs
>
> Concernant Sigma, que penser des objectifs 19,30 et 60mm / f2.8 dn art, le 60 en
> particulier peut-on faire de la macro avec?!!
>
> --
> Rejoignez le mvt “Dentistes, indignez-vous”
> http://www.facebook.com/pages/Dentistes-indignez-vous/235542939874693
>
> Rejoignez le mvt: Dentistes revolté-e-s
> http://www.facebook.com/pages/Dentistes-r%C3%A9volt%C3%A9-e-s/347313975311339

http://www.sigma-photo.fr/Produits/Optiques/Objectifs-pour-boîtiers-hybrides-f23.aspx

Le 60 sigma et olympus sont très différents.


Garcimore

13/10/2014 à 21h46

Attention, le Sigma n'est pas un Macro et a moins bonne réputation que l'Olympus.


Maroc 02 l0ohhm - Eugenol
FAT09

14/10/2014 à 00h42

Pardon, je me suis mal exprimée!!!

Je sais que le Sigma 60 n'est pas un macro, mais pour nos photos en bouche est-ce suffisant, c'était plus ça ma question…..il est clair que le Sigma n'a rien à voir avec l'Olympus

Garcimore: merci pour les photos

--
Rejoignez le mvt “Dentistes, indignez-vous”
http://www.facebook.com/pages/Dentistes-indignez-vous/235542939874693

Rejoignez le mvt: Dentistes revolté-e-s http://www.facebook.com/pages/Dentistes-r%C3%A9volt%C3%A9-e-s/347313975311339


Garcimore

14/10/2014 à 00h59

Suffisant, je dirait ni plus ni moins que n'importe quel autre objectif. On a tendance à penser que les longues focales permettrait de cadrer plus serré. C'est complètement faux, sauf à disposer d'un objectif Macro dédié. Il est vrai qu'une longue focale donnera une image moins déformée mais sur les appareils hybrides, à partir de 25mm, c'est déjà très négligeable.
Le principal intérêt de ces obj de chez Sigma est leur moteur ultra-silencieux qui les destinent principalement à la production de vidéos. Sinon, je passerait mon chemin.

FAT09 écrivait:
---------------
> Pardon, je me suis mal exprimée!!!
>
> Je sais que le Sigma 60 n'est pas un macro, mais pour nos photos en bouche
> est-ce suffisant, c'était plus ça ma question…..il est clair que le Sigma n'a
> rien à voir avec l'Olympus


P2eqdh3csim6s7nb09ktdq3e7ev8 - Eugenol
barbabapat

14/10/2014 à 01h02

Tu as des capacités de grandissement qui sont très différentes et normalement limitent leurs usages.

Après même sur du micro 4/3 avec des bagues adaptatrices tu peux monter des optiques macro de marques différentes tout en perdant l'autofocus si c'est une question de coûts.


003 penrd2 - Eugenol
Cingulum

14/10/2014 à 11h51

En configuration micro 4/3.
Olympus omd em10 ou em5.
Objectif zuiko 60mm macro
Bague adaptatrice fr-2
Et le flash olympus STF 22
Sûrement 2 fois moins encombrant 3 fois moins lourd qu'un reflex classique...


--
Dr Cingulum
-----Ancien interné----
----Attaché à l'apex----
http://www.clinic-all.fr/ formation par passion


Maroc 02 l0ohhm - Eugenol
FAT09

14/10/2014 à 22h11

Merci à tous pour vos éclaircissements!!!!

Cordialement

--
Rejoignez le mvt “Dentistes, indignez-vous”
http://www.facebook.com/pages/Dentistes-indignez-vous/235542939874693

Rejoignez le mvt: Dentistes revolté-e-s http://www.facebook.com/pages/Dentistes-r%C3%A9volt%C3%A9-e-s/347313975311339


17082007 synnio - Eugenol
kalif

15/10/2014 à 00h27

nikon D 7100
Objectif macro 105 mm sigma
flash annulaire sigma

le tout pour env 1600€ sur amazon
mais il faut se taper les réglages

Dsc 0042 qdgwz7 - Eugenol

Bebe 038 nf8eum - Eugenol
danteyeah

15/10/2014 à 04h44

Cingulum écrivait:
------------------
> En configuration micro 4/3.
> Olympus omd em10 ou em5.
> Objectif zuiko 60mm macro
> Bague adaptatrice fr-2
> Et le flash olympus STF 22
> Sûrement 2 fois moins encombrant 3 fois moins lourd qu'un reflex classique...
>
>
> --
> Dr Cingulum
> -----Ancien interné----
> ----Attaché à l'apex----
> http://www.clinic-all.fr/ formation par passion

Étant habitué à trimbaler un 120-300/2.8 a bout de bras pendant des heures, j'ai fini par trouver mon matos photo " dentaire" léger en comparaison😉
Je serais toutefois interressé de voir ce que tu arrives à produire avec un hybride. Disons que les exemples de garcimore sont peu convaincant. Merci.


Garcimore

16/10/2014 à 20h19

Désolé pour les photos pourries. Voici un cas plus récent pris avec L'OM-D EM-5 et l'obj. 20mm Panasonic. Les clichés sont évidemment re-cadrés puisque l'obj. n'est pas un Macro.

Pa161903 wiofik - Eugenol
Pa161902 sogcck - Eugenol
Pa161901 owf9jv - Eugenol

grinchodonte

16/10/2014 à 21h46

Je conseillerais de voir l'excellent article fait sur la photographie au cabinet dentaire que je viens de voir sur le dernier "information dentaire".Tout y est ou presque.
Si une chose est à retenir, pour moi, c'est l'inutilité totale de se procurer un boitier très onéreux vu la simplicité des réglages à effectuer.
Un bon appareil, oui, mais chez soi pour se faire plaisir si on est vraiment amateur de photos.
Pour ma part ,au cabinet, j'ai un vieux Nikon F70 (avec un macro 105mm et flash annulaire sigma). Ce boitier est tout à fait suffisant.


Bebe 038 nf8eum - Eugenol
danteyeah

29/10/2014 à 05h31

Garcimore écrivait:
-------------------
> Désolé pour les photos pourries. Voici un cas plus récent pris avec L'OM-D EM-5
> et l'obj. 20mm Panasonic. Les clichés sont évidemment re-cadrés puisque l'obj.
> n'est pas un Macro.

OK , il y a un truc principal qui me gêne et d'où découle un manque d'informations apportées par tes clichés: le manque de lumière. Du coup t'es obligé d'ouvrir ta focal le plus possible: problème de profondeur de champ limité, d'augmenter ta sensibilité iso : risque de grain et donc diminution du Piqué, et enfin ça donne une balance des blancs bizarre. Pourquoi ne pas utiliser un éclairage macro dédié résolvant ces problèmes?


Bebe 038 nf8eum - Eugenol
danteyeah

29/10/2014 à 05h42

grinchodonte écrivait:
----------------------

> Si une chose est à retenir, pour moi, c'est l'inutilité totale de se procurer un
> boitier très onéreux vu la simplicité des réglages à effectuer.
> Un bon appareil, oui, mais chez soi pour se faire plaisir si on est vraiment
> amateur de photos.
> Pour ma part ,au cabinet, j'ai un vieux Nikon F70 (avec un macro 105mm et flash
> annulaire sigma). Ce boitier est tout à fait suffisant.

On peut voir les choses ainsi. Mais après avoir testé le confort d'un écran de contrôle plus grand, tactile et de meilleure qualité, la possibilité d'envoyer mes clichés par wifi en direct, le nettoyage automatique du capteur (efficace) , tout en conservant une ergonomie et une prise en main connu: je me félicite de mon passage d'un antique EOS 20D, vers son arrière, arrière, arrière ......petit fils le 70D pour moins cher qu'une lampe LED pas chinoise, et rien ne m'empêche de ramener mon boîtier au bercail ;-)


Contreangle t5vw99 - Eugenol
contreangle

29/11/2014 à 11h05

Bonjour à tous
Si dans mon cas,je ne cherche pas à faire de la photo d'art (dentaire)...juste des photos pour les teintes et des photos medico-legale patient avant traitement et apres.
J'ai repéré sur un site l'appareil: Ensemble Canon S200 avec éclairage RING 48
N'est ce pas un bon compromis? puisque le problème de la lumière semble réglé avec l'eclairage ring 48...
Quels sont selon vous les inconvénients de ce choix par rapport au réflexe+objectifmacro+flashannualire?
merci