Cookie Consent byPrivacyPolicies.comGestion inédite de canine incluse - Eugenol

Gestion inédite de canine incluse

Little shop of horrors brzqjx - Eugenol
chatondecarte

13/11/2012 à 11h24

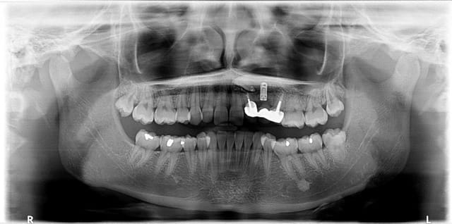
Découvert fortuitement lors d'un contrôle.
La patiente à moins de 25 ans. Le travail a environ 10 ans... Petite mobilité sur le bridge. Je vous laisse imaginer la chronologie des événements.

P2 yfaxmi - Eugenol

Photo pluton1b h9n4ea - Eugenol
pluton

13/11/2012 à 11h37

un beau travail en perspective...
la 22 semble perdue et il faudra vraisemblablement extraire la canine incluse (et donc virer l'implant...) pour pouvoir gérer la suite...
ROG ou greffe ensuite et 2 implants et 22/23 ou 22/24 si la 24 n'est pas conservable...

là où je suis le plus étonné...c'est patiente de moins de 25 ans et travail de 10 ans...faire çà a une gamine de 15 ans, çà me paraît surréaliste...


Little shop of horrors brzqjx - Eugenol
chatondecarte

13/11/2012 à 11h48

pluton écrivait:
----------------
>
> là où je suis le plus étonné...c'est patiente de moins de 25 ans et travail de
> 10 ans...faire çà a une gamine de 15 ans, çà me paraît surréaliste...

Oui, le sto à qui j'ai racheté mon cabinet, c'est un petit peu le André Breton de la chirurgie dentaire...

La patiente est prévenue de ses futures soucis, dès que la mobilité s'accentue elle rapplique.


1309531 ours brun n5iukf - Eugenol
seespan

13/11/2012 à 11h55

Très beau cas clinique pour montrer pourquoi il ne faut pas faire d'implant et encore moins d'implant solidarisé a des dents naturel chez un patient qui n'a pas fini sa croissance.

L'implant est ankylosé donc toutes les dents du bridge se comporte comme si elle était ankylosé. La croissance vertical n'étant pas fini les trois dents du bridges sont resté sur place quand tout les autres dents on continué a égresser en emenant l'os alvéolaire avec eux.

Résultat des courses le bridge se retrouve en infraclussion, la valeur des piliers prothétique est considérablement affaibli car le rapport couronne racine ne sera pas favorable, de plus l'esthétique peut etre compromis du fait du bas niveau de l'os alvéolaire, probablement que la gencive est trop basse aussi.

Une solution : faire une egression de 22 et 24 pour recréer le volume osseux qui aurait normalement dut se former durant la croissance, meme si les piliers ne sont pas conservable le rendu esthètique des implants sera amélioré. Au passage on peut aussi recréer l'os de 23. Une fois egresser les piliers devrais pouvoir etre conservé quelque année, le rapport couronne racines devenant plus favorable.

Ps : le stomato n'aurait pas essayer de tracter la canine? On semble voir une attache sur la couronne.

--
หมอจัดฟัน


003 penrd2 - Eugenol
Cingulum

13/11/2012 à 12h10

Heu seespan, l'implant il est enfoui avec sa vis de couverture si je ne m'abuse ...

--
Dr Cingulum
-----Ancien interné----
----Attaché à l'apex----
http://www.clinic-all.fr/ formation par passion


Photo pluton1b h9n4ea - Eugenol
pluton

13/11/2012 à 12h25

oui, c'est un implant "fantôme"...posé, jamais utilisé!!!

et le truc sur la couronne de la canine amha c'est plus un dépassement de pâte endo...


Little shop of horrors brzqjx - Eugenol
chatondecarte

13/11/2012 à 12h45

Tiens je vous mets le scan.
Dans le dossier, l'implant était douloureux en décembre et ligne suivante en mai : endo 22 et 24...


1309531 ours brun n5iukf - Eugenol
seespan

13/11/2012 à 12h57

Bon ben il y a des jours sans....
L'implant jamais intégrer dans le bridge j'avais zaper.
C'est décider si je continue après l'ODF, pas de master d'implanto, je ferais de l'ATM ...


--
หมอจัดฟัน