Cookie Consent byPrivacyPolicies.comManque d'espace MD - Eugenol

Manque d'espace MD

Chicoman

14/11/2012 à 20h07

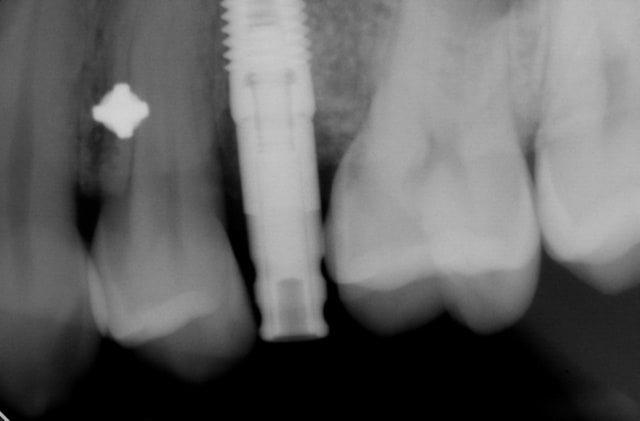
Bonsoir j'ai envoyé il y a plus d'un an chez mon implanto ce patient pour poser un implant pour remplacer la 25.

Aujourd'hui je revois le patient pour la prothèse mais je me heurte à un manque de place en MD.

J'ai exposé le problème au patient.

Je me disais que le plus simple était de faire des améloplasties en D de 24 et M de 26 mais il n'est pas très chaud pour que je touche à ses dents.

Les coups de crayon sur le modèle représentent l'espace idéal pour mon proto.

Je ne vais quand même pas couronner l'une de ces 2 dents pour trouver l'espace nécessaire?

Que feriez vous à ma place? Merci

Itor2 bjzfrz - Eugenol
Itor dijwou - Eugenol
Itor3 rn1xiy - Eugenol

145 kssowa - Eugenol
Chicot30

14/11/2012 à 20h26

C'est avant qu'il fallait mesurer malheureusement il est un peu tard l'espace était trop réduit à la base (il me semble que ton implant est de 3.5 de diam) il te fallait un espace mésio distal plus important (6.5 mini).

Là pas le choix, pas de coronoplasties, pas de ccm sur implant... la couronne oublie les dents sont saines ce serait un crime, au max un onlay mais franchement ce serait du gâchis.


RépondreCiter
Canin

14/11/2012 à 20h49

Chicot30 écrivait:
------------------
> C'est avant qu'il fallait mesurer malheureusement il est un peu tard l'espace
> était trop réduit à la base (il me semble que ton implant est de 3.5 de diam) il
> te fallait un espace mésio distal plus important (6.5 mini).
>
> Là pas le choix, pas de coronoplasties, pas de ccm sur implant... la couronne
> oublie les dents sont saines ce serait un crime, au max un onlay mais
> franchement ce serait du gâchis.
>


+1, il faut anticiper le problème et en parler tout de suite avec le patient dès la première consult. Pareil pour l'histoire des égressions et de la dent en face qu'il faut retoucher ou couronner.

--
Canin


Chicoman

14/11/2012 à 20h50

Oui je sais chicot30 Mea Culpa je n aurais pas du l
Envoyer chez l implanto. ( et lui n aurait sûrement pas du le poser dans ces conditions )
Maintenant c est moi qui dois gérer cette tuile malheureusement...


Photo pluton1b h9n4ea - Eugenol
pluton

14/11/2012 à 22h37

juste pour dire..."patient envoyé il y a un an..."
et oui, çà peut arriver!!! en 1 an l'espace MD peut se réduire de la sorte...

bon tout n'est pas perdu...y a aussi l'ODF qui peut "sauver" cette situation: quelques boitiers, un petit ressort titane, et en quelques mois, le tour est joué...;-)


Chicoman

14/11/2012 à 22h56

Je vais en discuter avec lui.

Effectivement il a mis bcp de temps à faire sa couronne car il n' avait pas les moyens et le temps de la faire après la pose de l' implant.

Merci pour vos avis


1309531 ours brun n5iukf - Eugenol
seespan

15/11/2012 à 00h26


L'odf ici relativement pratique car on a un ancrage absolue avec l'implant (ce qui n'est pas le cas avec une minivisse).

Un ressort en niti pour distaler la 6 ?
A voir en fonction de l'occlusion.
Voir avec un ortho pour un traitement avec quelque boitié en post, mais si la patiente a du mal a payer la couronne, je crains que l'orthodontiste ne soit un peut cher car non remboursé.
--
หมอจัดฟัน


1309531 ours brun n5iukf - Eugenol
seespan

15/11/2012 à 02h27


Sinon il y a une méthode original que j'ai vue pratiqué par un stomato.
Tu laisse la visse de cicatrisation, l'implant rester enfouie et tu fais un bridge de 26 à 24.
--
หมอจัดฟัน