Cookie Consent byPrivacyPolicies.comAvis pour réhab? - Eugenol
Logo qw3xdt - Eugenol
ĐĐS

15/11/2012 à 16h42

Bonjour à tous,

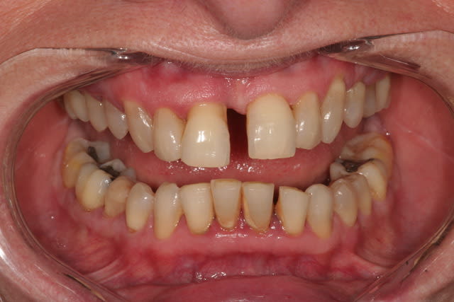
Cette patiente (60 ans) s'est présentée chez moi pour un "petit" détartrage...
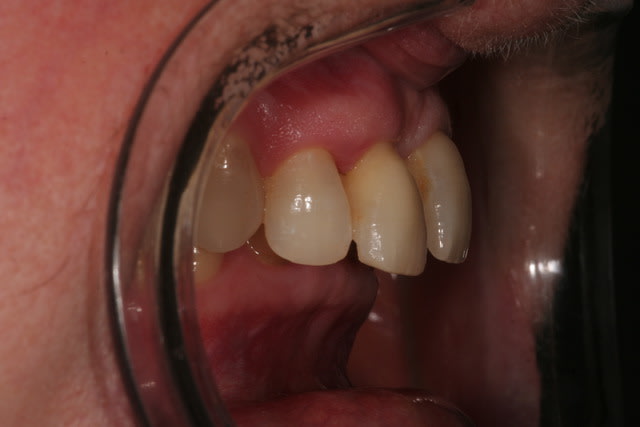
Elle est gênée par la position de sa 11 que des précédents dentistes lui ont meulé, plusieurs fois. Diastème qui n'existait pas il y a qq décennies...

Elle a un très gros problème paro à traiter en 1er.

Sinon si quelqu'un a des idées pour la suite du traitement.
Idéalement j'aurais dit de l'ortho... Pour essayer de retrouver un semblant d'occlusion correcte.

Je ne pense pas que financièrement cela pourra passer pour le reste.

En fait, c'était surtout pour une réflexion et un échange entre collègues.

--
Normal is not something to aspire to, it's something to get away from...

Img 4889 xqneqe - Eugenol
Img 4892 fop2zd - Eugenol
Img 4893 kruicm - Eugenol
Img 4898 vzdlws - Eugenol
Pano y7vfr0 - Eugenol
Img 4891 ujkcoy - Eugenol
Img 4899 msl7iq - Eugenol

Zz cnsu38 - Eugenol
toto48

15/11/2012 à 18h02

Effectivement, j'opterais aussi pour paro, ortho puis éventuellement prothèse.
Avec une patiente motivée et sans problème d'ordre général, le résultat sera sûrement conforme à ses attentes ainsi qu'au tiennes!


Zz cnsu38 - Eugenol
toto48

15/11/2012 à 18h02

.


Grumpy cat ifik8s - Eugenol
radich_a_tord

15/11/2012 à 18h04

C'est mal barré en haut, même avec traitement paro et bonne compliance.
Les furcations des molaires maxillaires sont touchées, on a l'évolution en éventail classique, et l'eggression associée, très préjudicable esthétiquement.

Si peu de moyens c'est la PAP à moyen terme en haut...en conservant canines et prémolaires.

Par contre en bas c'est plus gérable je pense.


Android jyzura - Eugenol
Tavéca

16/11/2012 à 09h56

1-evidemment traitement paro initiale (ext.et implants post a prévoir)

2-pour l'esthetique (classe 2, overbite et overjet important), difficle sans ortho , voire chir. ortho. dans le meilleur des monde!
c'est avant tout un cas ortho

3-traitement alternatif , bricolage pour discuter:

-paro
-ingression de 11-12 pour rattraper la symétrie de 21-22
et peut être que la patiente serait contente et permet aussi peu être de rattraper la lésion paro mésiale de 11.


Picture1111 zburnd - Eugenol
saidkholoki

17/11/2012 à 08h54

Bonjour,
Je crois bien qu'il est utile de voir à quelle limite un traitement orthodontique peut aller, avant de prendre des decisions irreversibles (extractions, implant....)
Un cas extreme, suivi par un expert notre ami Dancha (que je salue dans le passage) peut donner des resultats merveilleux.
http://www.eugenol.com/sujets/391613-4-ans-deja
Il y a le lien pour suivre le cas des le debut.


--
A suivre...
Said