Cookie Consent byPrivacyPolicies.comQuand iatrogène, y a pas de plaisir. - Eugenol

Quand iatrogène, y a pas de plaisir.

Little shop of horrors brzqjx - Eugenol
chatondecarte

19/11/2012 à 18h32

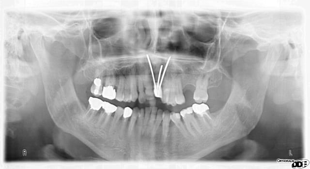
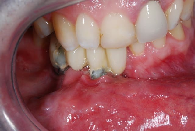
Patient de 33 ans venant pour une molaire douloureuse...
Je pense tenir le record du n'importe quoi implantaire.

(N'empêche qu'aujourd'hui je sais gérer des cas bien complexes... Alors finalement je suis bien content d'avoir racheter le cabinet de ce grand malade...)

Dsc 0291 e7uwvt - Eugenol
Dsc 0293 rx73hw - Eugenol
P1 pujebp - Eugenol
Dsc 0292 ybf7ax - Eugenol

Dsc 3167 ff43tz - Eugenol
Xenophon

19/11/2012 à 19h51

joli !!


41467 100000418256397 4215 n ypxyho - Eugenol
Blette

19/11/2012 à 20h38

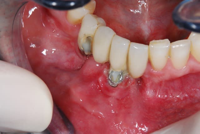
Ça a quel âge ça.....?
C est du compo pour combler ?

Bah monsieur, va falloir démonter, faire une chtite greffe, un partiel , etc....
Il doit être content ..... :0(


Logo vuaztn - Eugenol
mac

19/11/2012 à 23h17

MAGIQUE !


jeff13

19/11/2012 à 23h25

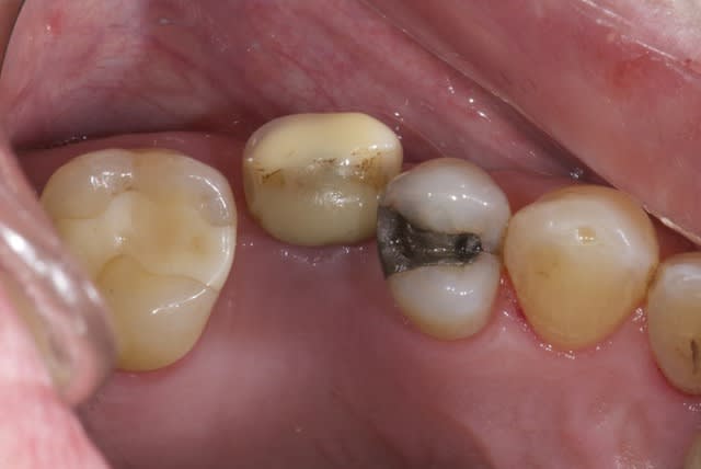
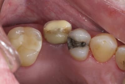
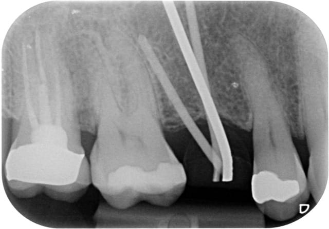
Pourtant les endos ne sont pas immondes


Grueavatar nptrc9 - Eugenol
Le Choixpeau magique

19/11/2012 à 23h51

Quand on dit que ça marche les implants courts !


Smile beach jgh0a1 - Eugenol
Céramik

20/11/2012 à 02h07


Ce qui me dérange le plus, c'est l'age du patient...33 ans et autant de soins....
Ensuite, la super maitrise des soins...même si les implants ont 10 ans, c'est vraiment honteux.

--
Céramik


olivier

20/11/2012 à 10h25

jeff13 écrivait:
----------------
> Pourtant les endos ne sont pas immondes

euh 37 et 16 y a comme un problème


Bazaruto 2007 ircsez - Eugenol
jumpingjackflash

20/11/2012 à 12h01

chatondecarte écrivait:
-----------------------

> Je pense tenir le record du n'importe quoi implantaire.

petit bras

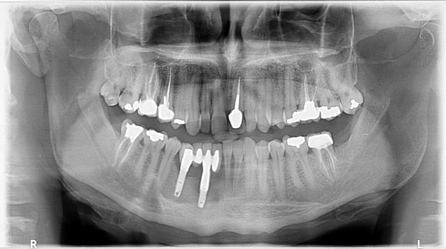
non content de le faire il l'enseigne, il a monter un DU pour cela
le cas a moins de deux ans, quand elle a mal il lui dit que c'est occlusal
j'ai refusé d'y mettre les doigts même avec des gants

j'en ai d'autres pour plus tard
--
bluesky

 mg 6232 bm4nvz - Eugenol
 mg 6236 af949i - Eugenol

Bazaruto 2007 ircsez - Eugenol
jumpingjackflash

20/11/2012 à 12h39

bridge en place depuis plus de 8 ans, assymptomatique, pas de mobilité, à la palpation on les sent sous muqueux
si le patient est content moi je suis content, il ne m'a rien demandé je ne lui ai rien dit

Image 1 uq5csd - Eugenol

dent2669

20/11/2012 à 12h44

jumpingjackflash écrivait:
--------------------------
> bridge en place depuis plus de 8 ans, assymptomatique, pas de mobilité, à la
> palpation on les sent sous muqueux
> si le patient est content moi je suis content, il ne m'a rien demandé je ne lui
> ai rien dit

C'est beau de faire des chirurgies flapless !!!


Bazaruto 2007 ircsez - Eugenol
jumpingjackflash

20/11/2012 à 12h48

là c'est moins marrant
les deux incisives adjacentes sont très mobiles et douloureuses,l'implant est en place depuis deux ans il y a du tartre de partout
solutions?

Implant bl35zo - Eugenol

Bazaruto 2007 ircsez - Eugenol
jumpingjackflash

20/11/2012 à 12h51

dent2669 écrivait:
------------------


>
> C'est beau de faire des chirurgies flapless !!!

même pas il décollait des lambeaux pour les mettre


Logo vuaztn - Eugenol
mac

20/11/2012 à 14h15

jumpingjackflash écrivait:
--------------------------
> là c'est moins marrant
> les deux incisives adjacentes sont très mobiles et douloureuses,l'implant est en
> place depuis deux ans il y a du tartre de partout
> solutions?

c'est le même?

seule solution, virer la dernière incisive et faire un bridge avec une dent en cantilever.


Bazaruto 2007 ircsez - Eugenol
jumpingjackflash

20/11/2012 à 15h30

non c'est un autre, mais un brillant enfin il le pense.
mais je ne pense pas que se soit la seule solution


Bazaruto 2007 ircsez - Eugenol
jumpingjackflash

20/11/2012 à 16h25

celui la s'en est un autre
et comme disait Audiart "pour les c.ns rien n'est impossible, c'est d'ailleurs à ça qu'on les reconnait"
je suis installé à la limite d'une réserve
ce travail à moins d'un an

 mg 6888 mubkal - Eugenol
 mg 6886 ibmzob - Eugenol
 mg 6890 wdkwnp - Eugenol

01 ukhwbq - Eugenol
ʎqqoq

20/11/2012 à 16h54

Le patient venait pour un rescellement? ^^


Dentiste oa9i0v - Eugenol
DavierCrocket

20/11/2012 à 16h55

le pire c'est qu'avec des cas comme ça, l'implantologie retrouvera son niveau de popularité des années 80 où les implants "ne marchaient pas" et où il y avait des "rejets".

aux prix où sont les traitements, les patients risquent d'être de plus en plus difficile à convaincre et puis après tout "pourquoi ne pas aller à l'étranger", quitte à avoir de la merde aatant la payer le moins cher possible et voyager un peu.


Android jyzura - Eugenol
Tavéca

21/11/2012 à 18h01

Pour le plaisir de participer...
Technique brésilienne.

Dsc 9789 dxbsux - Eugenol
Dsc 9786 vvcnpc - Eugenol
P0000621 20100607 wxd06 ogmgmw - Eugenol

doudou59000

21/11/2012 à 18h04

mais ca tient depuis quand ce truc, c'est dingue ca quand même


Android jyzura - Eugenol
Tavéca

21/11/2012 à 18h39

En fait le truc tient depuis 20 ans !


marcassin

21/11/2012 à 19h14

Tenu 30 ans à la brésilienne aussi

06 wv55p4 - Eugenol
05 zjjyap - Eugenol

Images 5  n6rze9 - Eugenol
zebob

21/11/2012 à 19h38

ca serait-y pas des implants en tantale?


marcassin

21/11/2012 à 19h44

zebob écrivait:
---------------
> ca serait-y pas des implants en tantale?

Le sujet fort heureux de son trophée n'a pas voulu que j'autopsie la bête et de plus a déménagé.


145 kssowa - Eugenol
Chicot30

21/11/2012 à 20h11

Ohhh les jolis implants aiguilles, des lustres que j'en avais pas vu... ça fait partie de l'histoire !

--
"C'est parce que la vitesse de la lumière est supérieure à celle du son que certains paraissent brillants avant d'avoir l'air cons."