Cookie Consent byPrivacyPolicies.com"Quant aux soins iatrogènes, ils me font vivre tous les - Eugenol

"Quant aux soins iatrogènes, ils me font vivre tous les jours !"

king_zoulou

28/11/2012 à 12h26

paradoxe écrivait:
------------------
> pulperyl07 écrivait:
> --------------------
> > je voulais dire simplement qu'à l'heure actuelle
> > seul le dentiste-conseil peut repérer ces confrères indélicats
>
> Indélicats de quoi ???
> Faire des soins à 2 euros payés 2 euros ??

Et ainsi se torcher le cul avec le code de déontologie, le serment d'Hippocrate et le code de santé publique.

Y en a qui y arrivent très facilement, d'autre moins, d'autre pas du tout. Les premiers gagnent beaucoup d'argent, les second sont malheureux au travail ou se forment beaucoup pour sortir le plus possible du cadre conventionnel, les troisièmes se pendent ou changent de profession.


chirdent26

28/11/2012 à 12h58

Salamandre écrivait:
--------------------
> Moi j'imagine bien un cardiologue faire des pontages de merde avec du matos non
> stérile et l’anesthésiste chirdent 26 dire" ben c'est pas grave, si le patient
> n'est pas content, il changera de praticien".
> J'ai juste envie de dire "hé "censuré" réveille toi! On soigne des gens. La
> dentisterie c'est aussi prévenir des risques cardiaques, diabetiques et co. On
> est pas des mecano ou des coiffeurs! Je te renvoie ton: "bravo pour ton
> humanité". En fait tu place ton corporatisme devant ton humanité.
> Parce que personne n'est parfait, certains auraient le droit d’êtres des
> irresponsables protégés? Si notre profession veut être reconnu à sa juste
> valeur, il faudrait faire du ménage dans nos rang. Quelqu'un affublé d'un
> cerveau sait faire la différence entre une imperfection et une infamie.
>
Ce n'est pas à moi ou à toi de régler le problème de la qualité du voisin . C'est la collégialité qui doit s'en charger . Tu devrais lire le feuilleton d'algi qui résume tout à fait l'état d'esprit des différents types de confrères . Les irresponsables n'ont pas à être protégés mais pas jetés non plus à la vindicte populaire . Les personnes comme toi et pulpéryl 07 n'ont pas qu'une haute idée de leur métier mais aussi de eux-mêmes . Certainement je vous croise en formation tout au long de l'année et je vous écoute parler de vos qualités professionnelles à se demander ce que vous avez encore à apprendre . Vous vous gaussez de la question d'un participant dont la réponse vous semble si évidente voire vous portez un jugement sur le formateur .
Vous parlez de ménage dans nos rangs comme une nuit des longs couteaux , sûr que vous ne placerez pas votre humanité devant quoique ce soit et l'infamie est plutôt là.
Lorsque vous tenez ces propos vous ne poussez personne hors de la médiocrité , vous vous enfermez vous-même dans l'étroitesse de votre esprit . Je plains autant notre profession d'avoir dans ses rangs des confrères que vous dites irresponsables que des praticiens capables comme vous de les écraser si l'occasion se présente .


jeff13

28/11/2012 à 13h16

Et dire que l'expert psychiatre d'Outreau avait raison depuis le debut
"Avec des honoraires de femmes de menage, on rend des expertises de femmes de menage"


Capture d  cran 2015 03 12 12.28 - Eugenol
chicot29

28/11/2012 à 13h28

Algi écrivait:
--------------

>
> Dr Truc veut être un bon, veut être humain et compatissant, il sort de la fac,
> se forme, apprend, récupère les cacas des autres mais se voit confronté à
> l'obsolescence de la nomenclature, au mur de l'argent, aux hn qu'il ne peut pas
> systématiquement demander, aux patients qui trouvent qu'il est "long", il
> voudrait bien un laser, un cerec, une grosse bagnole et un bateau.... soit il
> déménage et se met à faire de la dentisterie "de luxe" soit il continue là où il
> est avec ses convictions mais se met à envier Machin....et finira par faire
> comme lui mais sans avoir la conscience tranquille et un jour on le retrouvera
> pendu dans son jardin....
>

Dr chicot29 s'est bien essayé au cerec pour réaliser une dentisterie moderne. Il y a pris bien du plaisir avant de se crasher sur le mur d'une nomenclature obsolète.
Depuis dr chicot 29 affute ses r25 (la mort dans l’âme cependant)et essaye de faire des endos du mieux possible pour éviter de se pendre dans son jardin.





CHIRDENT

28/11/2012 à 13h33

Quand j'écris que je vis des soins iatrogènes, cela signifie que je ne reprends les choses que si le patient me laisse le faire sérieusement.

Pas de reprise de traitement si derrière il n'y a pas de couronne qui est le seul moyen de garantir la pérennité....et d'amortir la reprise.

Pour les grosses obturations coronaires 2,3 ou 4 faces débordantes, c'est inlay-onlay.

Pour le vrai détartrage qui remet les compteurs à zéro alors que ça fait 10 ans qu'il n'y a que de la gratouille, c'est HN.

Un autre manière de dire la même chose, c'est qu'au final, ce qui me surprend, ce sont les cabinets qui ne prennent pas de nouveaux patients. Logiquement, un patient bien soigné et suivi régulièrement ne me fait pas vivre, à certains aléas près. Donc c'est bien que ces cabinets qui ne prennent pas de nouveaux patients vivent de faire et refaire les mêmes bricolages.

Où alors quelque chose m'échappe après 34 ans de carrière.


Salamandre

28/11/2012 à 13h40

" C'est la collégialité qui doit s'en charger . "
Tu parles de qui la? De ceux qui ont réglé leur sort à bessis? Hum... Ouai...
La vindicte populaire? Non, en France on a des tribunaux.

" Les personnes comme toi et pulpéryl 07 n'ont pas qu'une haute idée de leur métier mais aussi de eux-mêmes . "
Pas vraiment non. Tu peux chercher mes posts, je me suis jamais vanté de mon boulot. Je sais que je pète trop de protaper, que je suis pas bon en paro etc. Cela ne m’empêche pas de trouver que faire rentrer un chien dans une salle de sté est anormal. Tu as une vision manichéenne. Un peu simplet mon bonhomme. Entre le noir et le blanc, il y a les gris. En plus c'est toi qui te pose en juge de ce que je ne suis pas et de ce que tu ne connais pas.
Moi le chien au moins je l'ai vu, touché.

"Certainement je vous croise en formation "
Certainement pas. Je me suis fait escroqué par un ****** de dentiste protégé par la "collegialité". 5 ans que je gagne que le SMIC. Dans 6 mois je devrais gagner mon procès qui est bien partis. Mais j'aurais perdu 5 ans grâce à la "collégialité".
En attendant son ancien associé qui est le mien en ce moment continue à procéder à la même escroquerie pourtant mis au grand jour. Il s'aprette à revendre son cab et de la même façon enfumer un confrère. Grâce au silence de la confraternité.

"Vous parlez de ménage dans nos rangs comme une nuit des longs couteaux"
Manichéisme, c'est toi l’étroit d'esprit. Justice n'a jamais été fascisme, au contraire.









Grueavatar nptrc9 - Eugenol
Le Choixpeau magique

28/11/2012 à 13h41

J'ai bien aimé ton message Algi.


pulperyl07

28/11/2012 à 13h45

chirdent 27
"Vous parlez de ménage dans nos rangs comme une nuit des longs couteaux , sûr que vous ne placerez pas votre humanité devant quoique ce soit et l'infamie est plutôt là. "
agressivité et injures?
pourquoi ?
Rassures toi je ne suis qu'un petit dentiste de campagne dans un patelin de 2000 habitants, je fais de mon mieux pour faire mon métier et n'est pas la prétention de te l'apprendre, puisque que tu suis tes cours de formation régulièrement.
je suis tout simplement emmerdé tous les jours avec des soins de merde à récupérer.
je cherche une solution auprès de mes confrères et je m'excuse
humblement pour ceux qui se sentent agressés dont tu sembles
faire partie, en espérant que cela puisse te calmer.


Marque a3 orange fyvhyq - Eugenol
Marc Apap

28/11/2012 à 13h45

Pas tout lu, c'est trop long.
En fait, pour mettre tout le monde d'accord, je pense qu'il faudrait créer un organisme impartial, indépendant et désintéressé au sein même de la profession.
Il serait chargé de détecter les brebis galeuses et faire le ménage sans que ça sorte de chez nous.
Ca pourrait s'appeler "Conseil de l'Ordre". C'est une idée à creuser, non ?


CHIRDENT

28/11/2012 à 13h49

Quand j'écris que je vis des soins iatrogènes, cela signifie que je ne reprends les choses que si le patient me laisse le faire sérieusement.

Pas de reprise de traitement si derrière il n'y a pas de couronne qui est le seul moyen de garantir la pérennité....et d'amortir la reprise.

Pour les grosses obturations coronaires 2,3 ou 4 faces débordantes, c'est inlay-onlay.

Pour le vrai détartrage qui remet les compteurs à zéro alors que ça fait 10 ans qu'il n'y a que de la gratouille, c'est HN.

Un autre manière de dire la même chose, c'est qu'au final, ce qui me surprend, ce sont les cabinets qui ne prennent pas de nouveaux patients. Logiquement, un patient bien soigné et suivi régulièrement ne me fait pas vivre, à certains aléas près. Donc c'est bien que ces cabinets qui ne prennent pas de nouveaux patients vivent de faire et refaire les mêmes bricolages.

Où alors quelque chose m'échappe après 34 ans de carrière.


pulperyl07

28/11/2012 à 14h00

CHIRDENT écrivait:
------------------
> Quand j'écris que je vis des soins iatrogènes, cela signifie que je ne reprends
> les choses que si le patient me laisse le faire sérieusement.
>
> Pas de reprise de traitement si derrière il n'y a pas de couronne qui est le
> seul moyen de garantir la pérennité....et d'amortir la reprise.
>
> Pour les grosses obturations coronaires 2,3 ou 4 faces débordantes, c'est
> inlay-onlay.
>
> Pour le vrai détartrage qui remet les compteurs à zéro alors que ça fait 10 ans
> qu'il n'y a que de la gratouille, c'est HN.
>
> Un autre manière de dire la même chose, c'est qu'au final, ce qui me surprend,
> ce sont les cabinets qui ne prennent pas de nouveaux patients. Logiquement, un
> patient bien soigné et suivi régulièrement ne me fait pas vivre, à certains
> aléas près. Donc c'est bien que ces cabinets qui ne prennent pas de nouveaux
> patients vivent de faire et refaire les mêmes bricolages.
>
> Où alors quelque chose m'échappe après 34 ans de carrière
.
cher CHIRDENT , j'avais très bien compris le sens de ton message, et je l'ai précisé dès le départ, puisque que j'agis exactement de la même façon dans mon cabinet.
Ce qui est ennuyeux sur ce site c'est qu'a chaque fois
que l'on pose un problème certains confrères se sentent agressés et passent directement aux injures.

"je ne détiens pas la vérité, je détiens une vérité"


Zz cnsu38 - Eugenol
toto48

28/11/2012 à 15h13

pulperyl07


> Ce qui est ennuyeux sur ce site c'est qu'a chaque fois
> que l'on pose un problème certains confrères se sentent agressés et passent
> directement aux injures.
>
>

Déjà, note bien que je suis resté tout à fait calme et poli
Poser un problème, c'est bien
Proposer une solution c'est mieux!



chirdent26

28/11/2012 à 15h39

Salamandre écrivait:
--------------------
> " C'est la collégialité qui doit s'en charger . "
> Tu parles de qui la? De ceux qui ont réglé leur sort à bessis? Hum... Ouai...
> La vindicte populaire? Non, en France on a des tribunaux.
>
> " Les personnes comme toi et pulpéryl 07 n'ont pas qu'une haute idée de leur
> métier mais aussi de eux-mêmes . "
> Pas vraiment non. Tu peux chercher mes posts, je me suis jamais vanté de mon
> boulot. Je sais que je pète trop de protaper, que je suis pas bon en paro etc.
> Cela ne m’empêche pas de trouver que faire rentrer un chien dans une salle de
> sté est anormal. Tu as une vision manichéenne. Un peu simplet mon bonhomme.
> Entre le noir et le blanc, il y a les gris. En plus c'est toi qui te pose en
> juge de ce que je ne suis pas et de ce que tu ne connais pas.
> Moi le chien au moins je l'ai vu, touché.
>
> "Certainement je vous croise en formation "
> Certainement pas. Je me suis fait escroqué par un ****** de dentiste protégé par
> la "collegialité". 5 ans que je gagne que le SMIC. Dans 6 mois je devrais gagner
> mon procès qui est bien partis. Mais j'aurais perdu 5 ans grâce à la
> "collégialité".
> En attendant son ancien associé qui est le mien en ce moment continue à procéder
> à la même escroquerie pourtant mis au grand jour. Il s'aprette à revendre son
> cab et de la même façon enfumer un confrère. Grâce au silence de la
> confraternité.
>
> "Vous parlez de ménage dans nos rangs comme une nuit des longs couteaux"
> Manichéisme, c'est toi l’étroit d'esprit. Justice n'a jamais été fascisme, au
> contraire.
>
>
>
>
>
>
M'étonne pas que tu te fasses appeler salamandre cependant tu ne gagnes rien à jouer comme à la cour de récréation à "c'est celui qui dit qui y est"
Je me rends surtout compte que tu souffres de t'être fait escroquer et tu veux faire payer cela à ces confrères "irresponsables" .La collégialité n'est pas obligatoirement le CO ou la CNSD dont les statuts et rôles devraient être changés .C'est à cela que tu devrais plutôt t'attaquer.
Les différents types d'exercice ne sont que le reflet de notre société et sa course à l'échalotte .
Quant à la justice d'où sors -tu qu'elle n'a jamais été fascisme? Elle va bientôt donner raison au réseaux de soin car elle n'est que l'arme de la loi qui peut être inique .
Cependant tu as raison mais je me montre moins manichéen que toi car je ne pense pas qu'il n'y a que des bons et des mauvais dentistes . Content de savoir que je ne suis pas le seul à péter des protaper mais j'espère que tu ne me lyncheras pas si tu croises un de mes patients à qui c'est arrivé . Quant au chien couché ou "touché" difficile de dire à la gentille Mémé que sa brave bête doit rester dehors même si ça me fait grincer les dents.
Ce n'est pas aux confrères que tu devrais t'attaquer .
1. suis d'abord une bonne psychanalyse afin de déterminer la cause de cette haine des autres.
2.yoga méditation ou sexe pour contenir ta violence
3. pète la gueule de ton associé pour faire sortir ta violence
4. viens me péter la mienne ...demain à l'ADF j'aurai un arrosoir à la main au stand CNSD ou une coupe de champagne au stand du conseil de l'ordre

Bref ...


Dabitz

28/11/2012 à 18h25

C'est chiant de lire vos pavés de réglements de comptes.

Très bonne intervention d'Algi qui résume bien la pensée de 90% des confrères qui ne sont pas occupés à de foutre sur la gueule...


Img 0052 dkvbyu - Eugenol
Leandro

28/11/2012 à 18h53

chirdent26 écrivait:
--------------------
> Salamandre écrivait:
> --------------------
> > Moi j'imagine bien un cardiologue faire des pontages de merde avec du matos
> non
> > stérile et l’anesthésiste chirdent 26 dire" ben c'est pas grave, si le patient
> > n'est pas content, il changera de praticien".
> > J'ai juste envie de dire "hé "censuré" réveille toi! On soigne des gens. La
> > dentisterie c'est aussi prévenir des risques cardiaques, diabetiques et co. On
> > est pas des mecano ou des coiffeurs! Je te renvoie ton: "bravo pour ton
> > humanité". En fait tu place ton corporatisme devant ton humanité.
> > Parce que personne n'est parfait, certains auraient le droit d’êtres des
> > irresponsables protégés? Si notre profession veut être reconnu à sa juste
> > valeur, il faudrait faire du ménage dans nos rang. Quelqu'un affublé d'un
> > cerveau sait faire la différence entre une imperfection et une infamie.
> >
> Ce n'est pas à moi ou à toi de régler le problème de la qualité du voisin .
> C'est la collégialité qui doit s'en charger . Tu devrais lire le feuilleton
> d'algi qui résume tout à fait l'état d'esprit des différents types de confrères
> . Les irresponsables n'ont pas à être protégés mais pas jetés non plus à la
> vindicte populaire . Les personnes comme toi et pulpéryl 07 n'ont pas qu'une
> haute idée de leur métier mais aussi de eux-mêmes . Certainement je vous croise
> en formation tout au long de l'année et je vous écoute parler de vos qualités
> professionnelles à se demander ce que vous avez encore à apprendre . Vous vous
> gaussez de la question d'un participant dont la réponse vous semble si évidente
> voire vous portez un jugement sur le formateur .
> Vous parlez de ménage dans nos rangs comme une nuit des longs couteaux , sûr que
> vous ne placerez pas votre humanité devant quoique ce soit et l'infamie est
> plutôt là.
> Lorsque vous tenez ces propos vous ne poussez personne hors de la médiocrité ,
> vous vous enfermez vous-même dans l'étroitesse de votre esprit . Je plains
> autant notre profession d'avoir dans ses rangs des confrères que vous dites
> irresponsables que des praticiens capables comme vous de les écraser si
> l'occasion se présente .

BRAVO!


ameli

28/11/2012 à 18h56

paradoxe écrivait:
------------------
> Comment peut tu forcer Renault à construire des Twingo à 10K€ aussi bien que
> des Bentley 12 cylindres ?
> Impossible.

Si, c'est possible, puisque c'est écrit noir sur blanc dans la Convention.
Non seulement c'est écrit, mais en plus, tu as promis-juré de l'appliquer. Cochon qui s'en dédit : la Bentley est obligatoire.

S'il te manque du fric pour les soins, tu gonfles le prix de ta couronne.

Le système est ainsi.
On a le droit de ne pas être d'accord. Mais faut alors du courage ou de la témérité, et se déconventionner.

Ce système est bon par postulat, puisque ce sont les dentistes qui l'ont choisi et pérennisé, en pensant s'en mettre plein la fouille avec les rateliers.
Loin de moi l'idée d'oser affirmer que le système est mauvais, car je me prendrais la communauté dentaire sur le col : elle vient de valider la méthode.
Faut toujours aller dans le sens du poil, même si ça hérisse.


RépondreCiter
paradoxe

28/11/2012 à 18h57

chirdent26 écrivait:
--------------------
> paradoxe écrivait:
> ------------------
> > Salamandre écrivait:
> > --------------------
> > > Moi j'imagine bien un cardiologue faire des pontages de merde avec du matos
> > non
> > > stérile et l’anesthésiste chirdent 26 dire" ben c'est pas grave, si le
> patient
> > > n'est pas content, il changera de praticien"
> >
> > Mais, c'est ce qui se passe..
> >
> > > Parce que personne n'est parfait, certains auraient le droit d’êtres des
> > > irresponsables protégés?
> >
> > Ben, c'est aussi le cas..
> >
> > Vous êtes toujours ado ?
>
> Si on répond à ma place je retourne au boulot
Désolé je n'ai pas vu qu'on parlait de toi.
Té tellement un bon que cela ne m'a pas effleuré l'esprit.


paradoxe

28/11/2012 à 19h04

ameli écrivait:
---------------
> paradoxe écrivait:
> ------------------
> > Comment peut tu forcer Renault à construire des Twingo à 10K€ aussi bien que
> > des Bentley 12 cylindres ?
> > Impossible.
> Si, c'est possible, puisque c'est écrit noir sur blanc dans la Convention.
hahahaha!
Ce qui est étonnant, c'est que si Renault écrit sur ses twingo Bentley Coventry V12, qu'il multiplie par 2 les chiffres du compteur, et qu'il rajoute un injecteur pour arroser la route et consommer plus , et qu'il marque "Certifié Qualité par l'Etat", il y aura toujours des couillons pour acheter..
C'est un peu le système de soins Français ?

> Ce système est bon par postulat, puisque ce sont les dentistes qui l'ont choisi
> et pérennisé, en pensant s'en mettre plein la fouille avec les rateliers.
J'aime bien cette façon de mettre la vérité sur la table.


paradoxe

28/11/2012 à 19h19

Leandro écrivait:
-----------------
> chirdent26 écrivait:
> --------------------
> > Salamandre écrivait:
> > --------------------
> > > Moi j'imagine bien
>
> BRAVO!
+1
Nous sommes tous des techniciens.
Nous somme tous capables de faire du techniquement bon et du techniquement mauvais.
TOUS.
Que ceux qui se croient supérieurs aux autres se disent qu'à force de se gausser et de laisser faire, ils risquent un jour d'être obligés de faire les 4 composites au doigt + l'endo au tire nerf en 20mn pour pouvoir gagner leur vie décemment.
Avec la bénédiction du CO, de la CPAM, des mutuelles, et de leurs confrères...
Ne riez pas, j'en ai connu... et des cadors.



chicote64

28/11/2012 à 19h23

Le problème ,pour les praticiens de me génération,c'est qu'on a passé des heures à tenter de "récupérer" des dents peu ou mal obturées,on était vraiment certains de faire ce qui était le mieux pour nos patients.....et puis les implants sont arrivés et là...le grand doute!On ne pourra jamais dire à notre patient que leur dent,traitée depuis plus de vingt ans,ne va pas se casser ou avoir un autre problème;plus j'ai d'expérience,plus j'ai des doutes!


Ylfwcw979cz1jnx9gfqeaxndiuzk - Eugenol
Algi

28/11/2012 à 20h38

Fini journée.... enfin! Quelques bons trucs quand même et puis divine surprise j'ai même droit à un compliment du choipeau.... Merci roumette aussi.

ps: j'ai un peu réfléchi à Dr Machin depuis ce matin et finalement je le plains, certes il bosse sans conscience et fait de la thune mais je me dis qu'il doit faire partie de ces confrères qui se font chier dans leur métier, qu'il doit bosser du lundi au samedi, 50 heures ou plus, et se fader du matin au soir une vingtaine de patients qui viennent pas spécialement pour "lui", des patients ininterressants, peu soigneux de leur bouche, pas très malins non plus, à qui il fait des trous qu'il rebouche ensuite, aussi pathétique que le gonze chanté par Gainsbourg qui poinçonne aux Lilas.

Bref finalement si je vais ce week end dans mon jardin ce sera pour désherber ou tailler mes lavandes, ça sent bon, la lavande...

pps: le pote pendu c'est vrai.... méfiez vous de ce métier! Un dentiste ça fait moins parler qu'un salarié de Orange mais ça craque aussi, des fois.

--
"On a toujours le choix! Mais entre quoi et quoi?
Vas-y boulégue et l'avenir te le dira!"


Ylfwcw979cz1jnx9gfqeaxndiuzk - Eugenol
Algi

28/11/2012 à 20h46

Ameli tu disais:

"Ce système est bon par postulat, puisque ce sont les dentistes qui l'ont choisi et pérennisé, en pensant s'en mettre plein la fouille avec les rateliers.
Loin de moi l'idée d'oser affirmer que le système est mauvais, car je me prendrais la communauté dentaire sur le col : elle vient de valider la méthode."

Content de voir que tu cautionnes, bon en même temps tu en vis aussi, un peu plus que moi.....

Et ton avis, le vrai, c'est quoi? Et me dis pas que c'est celui que tu as donné plus haut!
Que toi tu prétendes aller dans le sens du poil de qui que ce soit ou que tu aies peur de te mettre à dos la communauté dentaire m'a fait bien rire.

--
"On a toujours le choix! Mais entre quoi et quoi?
Vas-y boulégue et l'avenir te le dira!"


doagui

28/11/2012 à 21h11

ameli écrivait:
---------------
> paradoxe écrivait:
> ------------------
> > Comment peut tu forcer Renault à construire des Twingo à 10K€ aussi bien que
> > des Bentley 12 cylindres ?
> > Impossible.
>
> Si, c'est possible, puisque c'est écrit noir sur blanc dans la Convention.
> Non seulement c'est écrit, mais en plus, tu as promis-juré de l'appliquer.
> Cochon qui s'en dédit : la Bentley est obligatoire.
>
> S'il te manque du fric pour les soins, tu gonfles le prix de ta couronne.
>
> Le système est ainsi.
> On a le droit de ne pas être d'accord. Mais faut alors du courage ou de la
> témérité, et se déconventionner.
>
> Ce système est bon par postulat, puisque ce sont les dentistes qui l'ont choisi
> et pérennisé, en pensant s'en mettre plein la fouille avec les rateliers.
> Loin de moi l'idée d'oser affirmer que le système est mauvais, car je me
> prendrais la communauté dentaire sur le col : elle vient de valider la méthode.
> Faut toujours aller dans le sens du poil, même si ça hérisse.


Toujours ce même argument daubique, selon lequel on aurait le moindre choix. SI on avait une alternative (viable l'aternative hein, pas le suicide professionnel qu'on nous propose actuellement), alors oui tu pourrais nous accuser de cautionner.
Ce n'est clairement pas le cas, tu le sais très bien, ton argument tu pourras donc le répéter à l'envie il n'en deviendra pas plus recevable.


Salamandre

29/11/2012 à 00h05

"M'étonne pas que tu te fasses appeler salamandre cependant tu ne gagnes rien à jouer comme à la cour de récréation à "c'est celui qui dit qui y est" "
Ouai j’étais fatigué hier soir, et tes attaques ad homine puisque tu n'a pas d'argument m'ont énervé.7
Les attaques ad homine que tu mènes sont l’apanage de ceux qui manquent d’arguments.

Tu proposes de m'attaquer au CO. Comme Bessis? Ouai...

"Quant à la justice d'où sors -tu qu'elle n'a jamais été fascisme?" Tu déformes. Je parles de la France d'aujourd'hui. Aux dernière nouvelles la justice civile et pénale n'a rien a voir avec vindicte populaire et nuit de longs couteaux.

"Elle va bientôt donner raison au réseaux de soin car elle n'est que l'arme de la loi qui peut être inique . " C'est pas la justice qui crée les réseaux de soins. Tu mélanges tout.

"mais je me montre moins manichéen que toi " Jusqu'à preuve du contraire tu juges que tout est bien sauf ceux qui pensent différemment de toi qui sont tous des méchants violents.

Tiens un exercice pour voir qui est manichéen et qui ne l'est pas:
Réponses possibles:
- je suis un bisounours
- C'est pas bien, mais s'il le faut je couvrirais mon confrère parce que comme dans la mafia l'omerta règne.
- Je couvre mon confrère parce que ça arrive à tout le monde. Un bete aléa.
- ce confrère est une honte
- c'est pas bien grave, c'est humain.

exemple:
- le chien dans la sté
- la consoeur qui dit: je n'utilise pas de localisateur ni de rx, les apex je les sens au feeling. De toute façon c'est des CMU.
- L'associé qui gonfle son CA en cotant de faux actes systématiquement. Jusqu'à 40% de son CA. Cela depuis 10 ans car protégé par le CO local.
- Un praticien qui a cassé un protaper dans un canal.

Tu vois, ne pas être manichéen c'est ne pas répondre omerta chaque fois.
Et il ne s'agit même pas de juger, contrairement à vous, qui travail mieux que l'autre. L'attitude des exemples 2 ou 3, je n'ai pas besoin de voir le boulot pour me dire que quelque chose ne va pas. En l’occurrence dans l'exemple 3, l'associé bosse mieux que moi. Et alors?! Le mec qui va racheter son cab va se faire enfler grave. Et les patients c'est tout les jours qu'ils se font enfiler.

C'est sur que fermer les yeux quand un mec se fait voler dans le metro c'est plus humain.
Un enfant subit des sévices physiques par un adulte.
Ah, mais la c'est un confrère... D'accord... Vous êtes plus humains, je m'incline.







carident

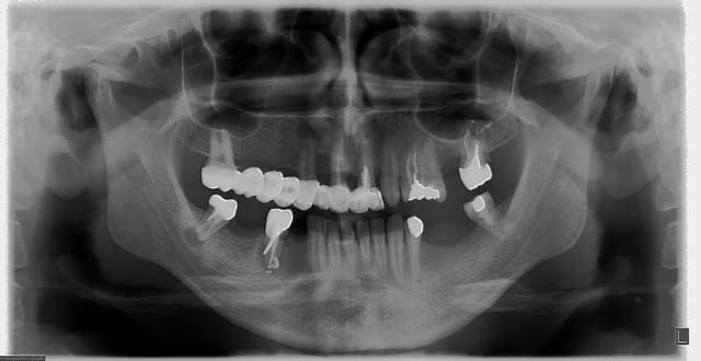
29/11/2012 à 00h43

Si j'ai bien compris ce qu'insinuent certains d'entre vous, c'est qu'il est tout à fait normal de soigner les gens comme le patient ci-dessous, et que cela est même tout à fait justifié par les tarifs ridicule de notre bonne vieille nomenclature.
Si certains se contrebalancent de l’hygiène, de l’aseptise, et de la stérilisation, c'est pas grave non plus!
Il ne faut surtout rien dire, puisqu'on pourrait nous suspecter de manquer de confraternité, ou pire d'un pêché d'orgueil!
Après tout, tous ces soins mal fait seront autant de cas intéressant pour d'autres praticiens compétents, ou pas...

Bien sûre que personne ne peut prétendre tout savoir, bien sûre que personne n'est à l'abri d'une erreur, mais dans ce cas là il s'agit simplement d'un aléa thérapeutique... Mais lorsque les erreurs deviennent systématiques, lorsqu'elles ne sont pas reconnues, et que les patients soufrant et demandant des explications ne reçoivent qu'une ordonnance d'antalgique et un "tout va bien ne vous inquiétez pas!"

Errare humanum est, perseverare diabolicum!

Si en plus les erreurs sont faites de manière intentionnelle parce les soins sont mal remboursés... C'est certainement pas comme cela que l'on va réussir à redorer notre blason! Car c'est de cela dont il s'agit, petit à petit on passera non seulement pour des nantis, des cupides, mais aussi pour des escrocs, des incompétents, voir même des criminels!

Pano vtwpc8 - Eugenol