Cookie Consent byPrivacyPolicies.comCas de chirurgie . - Eugenol

Cas de chirurgie .

Img 3657 cwjvqm - Eugenol
alapex

28/11/2012 à 19h18

Il fallait que ça arrive , après avoir traité avec succès les cas de DO (dentisterie opératoire pour les plus jeunes) largement rémunérés par notre cotation obsolète , j'ai abordé la grande chirurgie .
En effet il fallait étendre mes prestations et calmer ma soif du pognon .
Normal je suis Chirurgien Dentiste et pas journaliste , et je fais MON travail , MOI.
Le cas est épineux car tiraillé par mon statut de nanti et la gentillesse d'Anissa , j'ai opté comme toujours : j'ai fait mon boulot ...pour 41,42 euros .
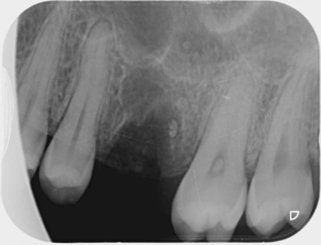
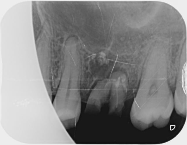
J'ai accueilli cette patiente un peu phobique , fait une anesthésie , une avulsion , un curetage de l'alvéole qui contenait de la pâte canalaire , le tout avec application de façon à ne pas pénétrer le sinus , vérifier une possible CBS , et suturer le tout .


Comme toujours si un journaliste passait par ici ,et qu'il se penche sur ce magnifique plateau technique et qu'il veuille bien aller glisser quelques mots dans les conduits bouchés de qui vous savez , j'en serais heureux .
Pour les détails techniques du coût du consommable , de la stérilisation , etc , qu'il me contacte en mp , merci .
En effet les 5 euros qui me restent après cet acte après mettre acquitté de tout ce que je "donne" à l'état , je veux bien les consacrer à un peu de temps pour lui .


Pour les autres , les nonoliens , faites une bonne action venez manifester dimanche 2 décembre à Paris , ne comptez sur personne d'autre que vous pour défendre votre profession sous peine de finir SEULS aux restos du coeur , éventuellement prenez votre carte de la FSDL .

Img 2120 lzdcgs - Eugenol
Img 2119 xvact6 - Eugenol
Alapex anissa 002 jvr7r1 - Eugenol
Alapex anissa 000 sh4yrw - Eugenol
P1030741 fxstcy - Eugenol
Img 2121 dxzuqz - Eugenol

Avatar hjdsnm - Eugenol
TiGabi

28/11/2012 à 20h19

C'est un cas de chir que l'on devrait montrer aux étudiants dans les facs ! "Introduction à l’exercice libéral : une technique de pénétration contrôlée".


Utilisateur banni

28/11/2012 à 23h05

Diffuse ton reportage en Roumanie pour éviter le sort des plombiers.