Cookie Consent byPrivacyPolicies.comMarque implant? - Eugenol
Tom1974

30/11/2012 à 11h17

Bonjour,
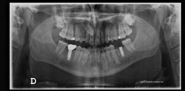
De quel implant s'agit-il en 46?
Le patient se plaint de douleurs à la mastication non permanentes sur cette couronne. je ne vois rien sur la rx et rien à l'examen buccal....Une idée?
Merci d'avance

X vv7tfb - Eugenol

Tom1974

30/11/2012 à 11h19

petit détail, c'est une couronne transvissée.


220px don camillo4 qrcfhs - Eugenol
camillo

30/11/2012 à 11h24

Y'aurait pas un sd du septum par intermittence en mésial?


dentiste68

30/11/2012 à 12h55

tsv zimmer?


DC64

30/11/2012 à 13h19

+1 pour Zimmer.
La couronne n'est-elle pas compressive en distal (peu d'espace avec le rebord osseux sur la panoramique)?


Tom1974

30/11/2012 à 13h41

Merci pour vos réponses
La compression en distal et le sd du septum j'y crois pas trop, car la couronne est en place depuis 10 ans et c'est apparu récemment. La gencive n'est pas enflammée, jamais de signements.
Peut être une fracture/fissure de l'implant ou au niveau de la connexion?


dentiste68

30/11/2012 à 13h58

Si tel était le cas tu aurais des problèmes de dévissage.


dentiste68

30/11/2012 à 14h01

Pluton doit être malade ;-)


Tom1974

30/11/2012 à 14h03

J'attendais aussi sa réponse en 1er :-)
T'as eu de la chance aujourd'hui, tu as gagné dentiste 68!


Mario ycg44a - Eugenol
Mario180

30/11/2012 à 14h19

Ta pano n'est pas anonyme.

;)


jeff13

30/11/2012 à 17h43

Elle a un gros souci de canine cette personne


Photo pluton1b h9n4ea - Eugenol
pluton

01/12/2012 à 01h54

dentiste68 écrivait:
--------------------
> Pluton doit être malade ;-)

pluton est malade (une bonne grosse sinusite...)
çà ne l'empêche pas d'arpenter les couloirs de l'ADF pour vous mettre à jour un certain petit tableau exel....;-)

mais du coup, je suis un peu moins sur nonol ces jours ci...et donc moins réactif que d'habitude...


145 kssowa - Eugenol
Chicot30

01/12/2012 à 15h31

Oui, Pluton hante l'ADF.... sinon tu n'aurais pas une retro ?

--
"C'est parce que la vitesse de la lumière est supérieure à celle du son que certains paraissent brillants avant d'avoir l'air cons."