Cookie Consent byPrivacyPolicies.comCollage Emax postérieure - Eugenol

Collage Emax postérieure

Nouveau image bitmap fz77zh - Eugenol
Sethef

06/12/2012 à 22h59

Bonjour à tous.

Je réalise de plus en plus de couronnes sur armature Emax en postérieur; jusqu'ici, je les colle au Variolink (mordançage total+Excite Dsc). Mais le protocole est un peu long, et le mordançage augmente souvent les risques de saignements en proximal lors du collage, ou lors du passage du fil dentaire.

Parmi ceux qui en posent beaucoup (je pense en particulier à Ceramik et Cingulum, mais ce ne sont probablement pas les seuls), comment les collez-vous?

Je pensais aux colles en un temps, type Relix, mais le collage plus faible ne risque-t-il pas de diminuer les propriétés mécaniques de la restauration? Je suis preneur des retours de ceux qui en réalisent depuis longtemps, donc qui ont un peu de recul sur leur protocole.


@+ Sethef


G-P

07/12/2012 à 00h30

C'est quoi des couronnes "sur armature emax" ?
Sinon je colle toujours au multilink les couronnes/onlay/facettes emax.

Edit : je connais pas mal de praticiens qui collent au fuji ou relyx, sans problèmes.


Nouveau image bitmap fz77zh - Eugenol
Sethef

07/12/2012 à 00h38

Emax stratifiée, par opposition aux monoblocs maquillées


Img 2951 flo3gr - Eugenol
molinarius

07/12/2012 à 02h26

juste comme çà ....

emax presse sur chappe emax , emax monobloc , ceramique emax sur chappe emax .... c'est toujours la même chose .. du moins pour le collage car le support reste ....l'emax ...
C'est vrai que c'est un peu le bordel :):)

car on peut très bien mettre de la céramique emax sur un autre support ex : sur de la Zircone

Es tu sûre que de ce que tu colles ? :):) es tu sûre que le support est en emax ?


RépondreCiter
Smile beach jgh0a1 - Eugenol
Céramik

07/12/2012 à 06h25

Tu places la digue ?
Tu isoles les dents lors du etching ?

Sinon, le kit Mukltilink est très bien, avec un self etch.
Bcp de recul, et bon produit.

Attention, les facettes au Multilink, ne pas faire.

Les CVIM pour le e.max, bof, pas top, et seulement pour les couronnes complètes.






--
Céramik


Nouveau image bitmap fz77zh - Eugenol
Sethef

07/12/2012 à 08h12

Céramik écrivait:
-----------------
> Tu places la digue ?
> Tu isoles les dents lors du etching ?




Pas pour les couronnes (comment la placer sur une prep de couronne?). Pourtant, ça me serait bien utile, justement pour éviter ces saignements sulculaires.
>
> Sinon, le kit Mukltilink est très bien, avec un self etch.
> Bcp de recul, et bon produit.
>
> Attention, les facettes au Multilink, ne pas faire.
>
> Les CVIM pour le e.max, bof, pas top, et seulement pour les couronnes complètes.
>
>
>

Oui oui, le but est de rester sur du collage tout de même.

Multilink pourquoi pas, je regarde d'un peu plus près.

Toi, tu utilises quoi? Selon les cas?


Merci à tous.


baroud69

07/12/2012 à 09h00

Emax (postérieur ou antérieur):

Si présence d'un faux moignon métallique > scellement (CVIMAR, relyx...)
Si présence d'un faux moignon composite / dent / faux moignon céramisé > collage (Multilink)

Mon protocole :

-Isolation (digue si possible, sinon cotons salivaires avec aspiration constante)

-Nettoyage US / (bientot sableuse) / brossettes rotatives

-Mordançage (Ac. fluorhydrique pour la céramique 20 sec, acide orthophosphorique pour les composites et la dent)

-Rinçage abondant

-Application du silane sur la céramique et les éléments métalliques (monobond)

-Application de l'adhésif partout

-Mise en place de la prothèse, élimination grossière des exces sans flash lumineux

- Après la prise du Multilink, nettoyage soigneux avec un CK6 ou un bistouri

-Contrôle radio pour vérifier l'absence de colle en interdentaire

-Réglage de l'occlusion (une fois l'élément collé)



G-P

07/12/2012 à 11h21

Céramik écrivait:
-----------------

> Attention, les facettes au Multilink, ne pas faire.
>

>
> --
> Céramik

Pourquoi ?


Images jm2g2g - Eugenol
dr_0le

07/12/2012 à 12h10

G-P écrivait:
-------------
> Céramik écrivait:
> -----------------
>
> > Attention, les facettes au Multilink, ne pas faire.
> >
>
> >
> > --
> > Céramik
>
> Pourquoi ?

+1..pourquoi?


Chicoman

07/12/2012 à 14h15

Je présume que les valeurs d' adhérence entre la facette et la dent ne sont pas suffisamment élevées avec le multilink.

Il y a même marqué non recommandé pour les facettes sur le mode d emploi du multilink (à moins que ça ait changé récemment ?)


003 penrd2 - Eugenol
Cingulum

08/12/2012 à 10h09

en posterieur, j'utilise Rely x, et Fuji CEM dans tout les cas où j'estime mon épaisseur de céramique suffisante pour pas avoir besoin de renforcer la couronne par le collage.


Si besoin de collage, alors on colle vraiment, c'est dire protocole décrit par Baroud.
Pour les onlay j'utilise un protocole avec Immediate Dentin Sealing (IDS)
qui permet de limiter les sensibilités per op et améliore les valeurs d'adhésion sur la dentine.
puis au moment de l'assemblage un composite de restauration photo qui est chauffé et vibré.
les excès sont alors un bonheur à retirer, et la qualité du joint excellente...



--
Dr Cingulum
-----Ancien interné----
----Attaché à l'apex----
http://www.clinic-all.fr/ formation par passion

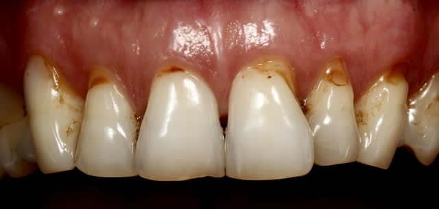
1  mg 2536 hced9a - Eugenol
2  mg 2539 ujnnly - Eugenol
3  mg 2540 hmqnxd - Eugenol
4  mg 2543 hgizk9 - Eugenol

S2y2o1v7q53ws4r5wy6ou8czrpom - Eugenol
pxav

08/12/2012 à 11h09

Toujours aussi propre cingulum, mais le "choc des photos", révèle me semble t il une petite infiltration de sillon distal...
Coloration ou infiltration a ton avis?
Il m'arrive maintenant grâce à toi d'ailleurs, (suite à des photos de facettes si je me souviens bien) de faire des photos avant l'empreinte pour vérifier que tout est propre.
Je précise que ceci doit être pris comme une simple remarque, en aucun cas un critique!

--
xbk
"Si tous ceux qui croient avoir raison n'avaient pas tort, la vérité ne serait pas loin" Dac Pierre


Smile beach jgh0a1 - Eugenol
Céramik

08/12/2012 à 18h58

Chicoman écrivait:
------------------
> Je présume que les valeurs d' adhérence entre la facette et la dent ne sont pas
> suffisamment élevées avec le multilink.
>
> Il y a même marqué non recommandé pour les facettes sur le mode d emploi du
> multilink (à moins que ça ait changé récemment ?)


Le self etch pour les facettes, pas bon, faut du total etch.
Le film du Multilink A+B est trop épais
La résine est dual, pas bon pour facettes, collage photo seulement.
Choix de couleur bof chez multilink
Stabilité de la couleur pas bon avec les dual.

Pour les facettes, j'utilise le 3M veneer, avec total etch.

--
Céramik


Smile beach jgh0a1 - Eugenol
Céramik

08/12/2012 à 18h59


Je m'incline devant Cingulum ! Photo top et collage top, bravo.


--
Céramik


579482 10150853902839038 1346467120 n lry9nx - Eugenol
paulcast

08/12/2012 à 20h08

le maquillage est magnifique, comment choisi-tu la cuspide à sacrifier?


003 penrd2 - Eugenol
Cingulum

08/12/2012 à 20h18

C'est une question d'appréciation mécanique. C'est difficile à expliquer.
J'estime ou non que la cuspide peut rester tel quel...
Sinon je retire suffisamment de tissu pour avoir de la céramique de recouvrement et me retrouver en appuis...

--
Dr Cingulum
-----Ancien interné----
----Attaché à l'apex----
http://www.clinic-all.fr/ formation par passion


Tozzi

10/12/2012 à 12h48

"puis au moment de l'assemblage un composite de restauration photo qui est chauffé et vibré."
Peux-tu nous en dire plus sur ton protocole stp ?
Quel composite ?
Chauffé comment et combien de temps ?
Vibré comment et combien de temps ?
Merci


003 penrd2 - Eugenol
Cingulum

10/12/2012 à 15h04

Tozzi écrivait:
---------------
> "puis au moment de l'assemblage un composite de restauration photo qui est
> chauffé et vibré."
> Peux-tu nous en dire plus sur ton protocole stp ?
> Quel composite ?

Pour ma part Tetric Ceram normal, mais n'importe quel compo non nanochargé ....

> Chauffé comment et combien de temps ?

il est porté à 50°c, bien penser à allumer le chauffe carpule le matin après ça reste chaud la journée

> Vibré comment et combien de temps ?
avec un insert spécial a tête plastique et sans eau,quelques secondes
> Merci
de rien

--
Dr Cingulum
-----Ancien interné----
----Attaché à l'apex----
http://www.clinic-all.fr/ formation par passion


Nouveau image bitmap fz77zh - Eugenol
Sethef

10/12/2012 à 15h54

Merci à tous pour vos réponses, je vais essayer de répondre à chacun



Cingulum écrivait:
------------------
> en posterieur, j'utilise Rely x, et Fuji CEM dans tout les cas où j'estime mon
> épaisseur de céramique suffisante pour pas avoir besoin de renforcer la couronne
> par le collage.
>
>


N'ayant pas ton expérience, je préfère rester au collage systématique, ça m'évitera des déconvenues. Je note néanmoins que tu considères le Relyx comme un scellement du coup, à oublier pour moi donc.


> Si besoin de collage, alors on colle vraiment, c'est dire protocole décrit par
> Baroud.


Multilink également pour toi? Pour le reste, son protocole est assez semblable au mien.

> Pour les onlay j'utilise un protocole avec Immediate Dentin Sealing (IDS)
> qui permet de limiter les sensibilités per op et améliore les valeurs d'adhésion
> sur la dentine.
> puis au moment de l'assemblage un composite de restauration photo qui est
> chauffé et vibré.
> les excès sont alors un bonheur à retirer, et la qualité du joint excellente...

Ma question concernait plus les restaurations périphériques. Pour les onlays, comme je peux travailler sous digue, le problème du saignement sulculaire ne se pose pas: du coup, je reste sur mon variolink.

Par ailleurs, travail fantastique comme tout ce que tu présentes, tu me verras à Clinic All cette année (enfin!).



Molinarius écrivait:
>juste comme çà ....

>emax presse sur chappe emax , emax monobloc , ceramique >emax sur chappe emax .... c'est toujours la même chose .. >du moins pour le collage car le support reste ....l'emax ...
>C'est vrai que c'est un peu le bordel :):)

Le support, donc le collage, reste le même; les propriétés mécaniques, cependant, varient entre une monobloc et une stratifiée (même si tu dois mieux savoir que moi dans quelle mesure)



>car on peut très bien mettre de la céramique emax sur un >autre support ex : sur de la Zircone

>Es tu sûre que de ce que tu colles ? :):) es tu sûre que >le support est en emax ?


Bien entendu sûr de ce que j'utilise, que ce soit de la zircone ou de l'emax...


Baroud69 écrivait:
...


Même protocole que toi, avec Variolink. Cependant, je croyas que le multilink était self etch? Tu mordances quand même?


@+ Sethef


Smile beach jgh0a1 - Eugenol
Céramik

14/12/2012 à 05h09

Le multilink lui même n'est qu'une résine dual.
Le système de collage dans le kit complêt est un self-etch (A+B)

Tu peux utiliser multilink avec le total etch si tu veux, mais alors, prend ton Variolink.

Si j'ai une bande d'émail, et que je colle au multilink, je etch l'émail, ensuite, A+B, et multilink.

En général, je colle presque tout au total etch et résine photo.
Dans le fond, le compo chauffé et vibré, c'est photo seulement et ça marche sous les gros onlay de Cingulum, pourtant, dès que je parle de ne faire que du photo, on me dit c'est pas bon....je vais avoir des centaines de céram qui vont se barrer ! ;-)



--
Céramik


Nouveau image bitmap fz77zh - Eugenol
Sethef

14/12/2012 à 11h44

Du coup on en revient à mon problème initial, tu n'as jamais de saignements marginaux avec ton total etch? Tu n'as pas que des limites supra gingivales tout de même? Après, photo ou dual, le problème reste sensiblement le même...


Collée au variolink avant-hier, joint supra gingival, sauf en distal, comme souvent...

Img 2419 n1vxmq - Eugenol

Smile beach jgh0a1 - Eugenol
Céramik

15/12/2012 à 18h59

Pour le collage, c'est comme pour les empreintes, si ça saigne : pas bon.

Place un fil, une digue, un coup de laser,du superoxol, etc, bref il y moyen d'isoler.

Prend un etch visqueux, des loupes et ça saigne pas.

Sinon, certains font du CCM ou zircone et fuji partout, chaqu'un son truc.



--
Céramik


Nouveau image bitmap fz77zh - Eugenol
Sethef

17/12/2012 à 18h34

Je fais déjà un peu tout ça, j'espérais un moyen un peu plus... absolu (comme la digue pour un onlay). Là, on doit toujours faire gaffe que ça ne se remette pas à saigner au mauvais moment.

En général, si j'ai peur que ça saigne, je mets de l'expasyl + anesthésie papillaire, mais je trouvais ça un peu imparfait.

Tant pis.


Pour les CCM et les zircones, j'en fais également, bien sûr; mais c'est souvent moins satisfaisant niveau teinte, surtout chez les jeunes... Je ne me prive d'aucune technique.



Merci encore pour les conseils.


003 penrd2 - Eugenol
Cingulum

17/12/2012 à 19h12

Collage facette...
comme on me posait aussi la question en MP,de savoir si je collais les facettes avec du compo de restauration chauffé et vibré...
Le hic c'est de vibrer. J'aime pas appuyer sur une facette avec un embout plastique sur Ultrason
Je le fais quand les facettes sont assez épaisse.
Sur du fin j'ose pas.
j'avais posé la question à Pascal Magne, il avait été assez évasif. du genre "le
compo il est bien chaud, pas de problème..."
or même à 50°C tu dois quand même vibrer pour avoir un film de compo suffisament fin ...
De plus c'est interessant pour les cas ou je fais de l'IDS, et sur les facettes
je fais rarement c'est très galère d'avoir des provisoires, fines, qui tiennent
mais qui se décollet sur une couche d'adhésif, même en isolant à la
glycérine/vaseline....
L'optibond Fl c'est bien pour l'IDS... en directe c'est très épais quand même...

sinon le protocole est le même facette ou onlay:

-IDS -> SAblage -> mordançage -> Adhésif -> compo photo chauffé, vibré et lampe +++

C'est pour la qualité du joint et la facilité à retirer les excés que le compo chauffé c'est génial ...

--
Dr Cingulum
-----Ancien interné----
----Attaché à l'apex----
http://www.clinic-all.fr/ formation par passion

 mg 2133 qzuomx - Eugenol
 mg 2679 mawsu8 - Eugenol
 mg 2682 ejnalu - Eugenol

maz

17/12/2012 à 22h37

Cingulum écrivait:
------------------

> j'avais posé la question à Pascal Magne, il avait été assez évasif. du genre "le
> compo il est bien chaud, pas de problème..."
> or même à 50°C tu dois quand même vibrer pour avoir un film de compo suffisament
> fin ...

j'avais entendu une réponse de P Magne à la même question
il avait dit que ces insert ont au final principalement pour rôle de chauffer le compo, et que c'est plus simple de le chauffer avant, et que comme ça on chauffe pas toute la dent ou trop.

Il avait aussi montré une vidéo ou il colle une facette (feldspathique forcément) avec du compo chauffé (le HRi dentine, censément le plus fluorescent)
on le voit appuyer doucement, avec le doigt

depuis j'ai petit à petit arrêté d'utiliser l'insert US pour coller les onlays et je ne vois aucune différence. il m'est même arrivé d'oublier de mettre le réchauffeur en marche, et en fait ça marche très bien aussi, c'est juste à peine plus long.

je ne suis donc pas persuadé qu'il faille vibrer le compo pour avoir un film fin


12