Cookie Consent byPrivacyPolicies.com46 parodontite apicale chronique - traitement non - Eugenol

46 parodontite apicale chronique - traitement non chirurgical

1 hkievk - Eugenol
lupusebastian

10/12/2012 à 01h13

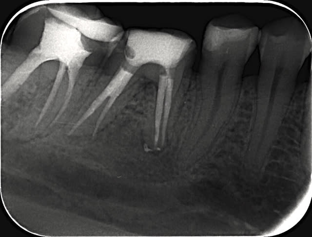
46 - fig 1,2 situation initiale

Fase du traitement: seule visite 2h
- percussion - positive
- teste du vitalité - négative

NaOCl 5% - l'irrigation et l'activation par ultrasons
chaud condensation de gutta-percha
build-up

Apres obturation - fig.3,4

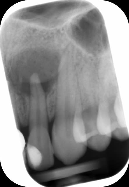
Apres 8 mois

Fig.5,6

E ici vous pouvez trouver le film


1 fyh5bw - Eugenol
2 jxffw9 - Eugenol
3 ds4mga - Eugenol
4 mjifdh - Eugenol
5 qsnov5 - Eugenol
6 s7juhz - Eugenol

S2y2o1v7q53ws4r5wy6ou8czrpom - Eugenol
pxav

10/12/2012 à 08h41

beau travail, ça calme de l'option extraction implantation!


--
xbk
"Si tous ceux qui croient avoir raison n'avaient pas tort, la vérité ne serait pas loin" Dac Pierre


Images jm2g2g - Eugenol
dr_0le

10/12/2012 à 08h54

Bon boulot..la situation initiale n'était vr aiment pas top...
En revanche je ne pense pas que la solution chir ait été recommandée dans ce cas...le ndi n'est quand même pas loin...


Mario ycg44a - Eugenol
Mario180

10/12/2012 à 09h18

beau boulot !

(le coup de la "fase", c'est sans doute à éditer, non ?)


1 hkievk - Eugenol
lupusebastian

10/12/2012 à 10h17

bonjour!
je vous remercier pour votre commentaire ... vraiment, la solution chirurgicale été propose dès le début, mais le patient voulait un option non chirurgicale..
Phases de travail ont été filmés et la coupe de 2 heures de vidéo ....


1 hkievk - Eugenol
lupusebastian

10/12/2012 à 10h48

un autre case con un instrument fracture Lentulo dans MV


tarski

10/12/2012 à 11h07

sympa, beau résultat, merci pour le partage.


Humator t9r5wy - Eugenol
humator

10/12/2012 à 11h16

très beau boulot.
Cela dit, je comprends pas que quelqu'un puisse poser ici une indication d'un traitement chir!
tu est endo exclu lupus?

--
N.Hum


1 hkievk - Eugenol
lupusebastian

10/12/2012 à 11h24

j'essaie de limite a endo... généralement, complete de soins dentaire, mais soutenu par micro... voir le seuils des prothèses sous micro...folie!


Android jyzura - Eugenol
Tavéca

10/12/2012 à 17h22

Jolie! Ça marche pas a tous les coups, mais il faut savoir essayer et réussir.


gaybriel

11/12/2012 à 01h30

c'est fait par un dentiste roumain en Roumanie.

PT Sebastian: tine-o tot asa.


Bebe 038 nf8eum - Eugenol
danteyeah

11/12/2012 à 03h02

Question "shopping": Quel est le matériau d'étanchéification (bleu) que tu as utilisé, et se substitut-il à un clamp?
Merci.


1 hkievk - Eugenol
lupusebastian

11/12/2012 à 08h38

bonjour!
le materiel e LC BlockOut Ultradent (une resine per lab)


1 hkievk - Eugenol
lupusebastian

11/12/2012 à 08h45

Tavéca
moi opinion - devrais toujours faire un bon endo avant les résultats n'avez pas. Apres vous pouvez faire un apicectomie.. :)


1 hkievk - Eugenol
lupusebastian

11/12/2012 à 08h49

13 traitement endo symptome acute; seule visite

http://www.youtube.com/watch?feature=player_embedded&v=aWcaKJSxLRI


Android jyzura - Eugenol
Tavéca

11/12/2012 à 13h06

lupusebastian écrivait:
-----------------------
> Tavéca
> moi opinion - devrais toujours faire un bon endo avant les résultats n'avez pas.
> Apres vous pouvez faire un apicectomie.. :)

Plusieurs critères interviennent.

-prix du traitement
-consevation osseuse
-pronostic
-plan de traitement
-capacité de l’opérateur
-choix du patient....


1 hkievk - Eugenol
lupusebastian

11/12/2012 à 15h58

d'accorde


1 hkievk - Eugenol
lupusebastian

18/12/2012 à 23h20

http://www.trilulilu.ro/video-cultura/16-retreatment-c-shape-dec-2012


Capture d  cran 2015 03 12 12.28 - Eugenol
chicot29

19/12/2012 à 16h16

C'est bon pour l'association. Tu peux venir quand tu veux. Tu fais les endos et moi la prothèse, j'ai un 2eme fauteuil qui n'attend que toi. Honnête comme marché non ?


flicflac

21/12/2012 à 13h50

quel est ton protocol d'irrigation... les agents utilisées outre le NaOCl 5%


1 hkievk - Eugenol
lupusebastian

22/12/2012 à 01h47

@ chicot29 - je vous remercie pour votre offre e donner des détails sous privée.

@ flicflac - le protocol d'irrigation est adapte a chaque cas clinique - vital o devital; j'utilise hipo 5%, citric acid e EDTA gel.... bon e l'alcool e solution saline; rare CHX

46 on acute symptoms; cas interessant parce que les structures anatomiques voisines - MAF (90) e nerf alvéolaire inférieur


www.youtube.com/watch?v=gePAh82fcAU


flicflac

24/12/2012 à 22h07

pourquoi pas CHX 2% dans tous les cas de nécrose 2 minutes en fin de traitement?


1 hkievk - Eugenol
lupusebastian

27/01/2013 à 20h42

buonjour a tous !

@flicflac
- in JOE 3/2010 - "Minimum Contact Time and Concentration of Sodium Hypochlorite Required to Eliminate Enterococcus faecalis" il était demotre - 40 min de NaOCl à 5,25% tuer tous les germes. Je vous attacher le document.

Je n'utilise pas CHX pour éviter tout risque de rendre précipité périapicale (tout reste de CHX sur le canal latéral ou secondaire peut faire une precipiate - même je utiliser du sérum saline entre CHX et NaOCl)


1 hkievk - Eugenol
lupusebastian

27/01/2013 à 20h48

35 - MOD avec endodontic traitment e direct composite reconstruction

6 syc00a - Eugenol
8 ylfpaf - Eugenol
1 tspgjl - Eugenol
2 ovunxi - Eugenol
1 jgdgdc - Eugenol
2 tsogiy - Eugenol
3 r0j71e - Eugenol
4 kwpqkn - Eugenol
5 tahsev - Eugenol
7 aysyis - Eugenol

1 hkievk - Eugenol
lupusebastian

27/01/2013 à 21h15

11,22 - test de vitalité - négatif
- percussion - peu positif

premier visite 2,5 heures
- isolement digue
- instrumentation manuel 11 - 55/0.10; 22 - 40/0.10
- irrigants active par ultrasons NaOCl 5% ; citric acid

5 jours avec hydroxyde de calcium

deuxième visite 1,5 heures
- obturation endodontique - 2/3 condensation laterale a froid; apres chaud verticale condensation pour assure l'étanchéité 1/3 apicale

Indication - radiografie de contrôle apres 3 moins

2 hlpblj - Eugenol
1 b0lux1 - Eugenol
3 1.32 - Eugenol

12