Cookie Consent byPrivacyPolicies.comCas clinique . - Eugenol

Cas clinique .

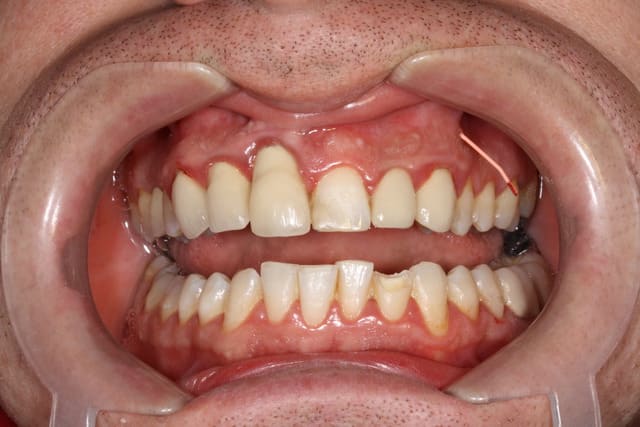
Img 3657 cwjvqm - Eugenol
alapex

11/12/2012 à 16h07

Bonjour je suis nouveau sur le forum , voilà je suis en 6 ème année , à peine mon cas fini pis j'ai une fistule (je crois que ça s'appelle comme ça) sur la dent du haut à gauche (je crois que c'est la gauche), que faire ?


C'est du m*rde in mutuelle : c'est beaaaaaaaauuuuuuuu ...)))
Je jure que c'est vrai .
Remarque , l'année prochaine nous ferons tous cela sans complexe finalement .

Alapex carlos 001 slbhlv - Eugenol
Alapex carlos 002 mbfhlq - Eugenol
Img 2203 ekmckr - Eugenol

Darmon - Eugenol
Latin

11/12/2012 à 16h22

Et en bas c'est un détartrage'minute made in mutuelle aussi? Et le soin sur la 32? Faut vite la couronner parce que les compos à tarif opposable ne font sûrement pas partie de l'arsenal thérapeutique made in mutuelle. Conduite à tenir : Bah tu prescris des AB et tu adresses à un cabinet libéral bien-sûr!


01 ukhwbq - Eugenol
ʎqqoq

11/12/2012 à 16h26

T'es sûr que c'est pas plutôt une perforation, je crois que ça s'appelle comme ça, faite en faisant l'ouverture de chambre sur la 4 qui était saine (puis en alésant l'os comme un goret) mais qu'il aurait été bon de couronner pour faire du fric, je crois que ça s'appelle comme ça aussi ^^


Avatar hjdsnm - Eugenol
TiGabi

11/12/2012 à 16h31

Alapex,

Dommage pour ton joli travail mais ne désespère pas : ce n'est pas ta faute si le patient a tendance a faire des kystes aux dents.

Sur ta photo clinique, je vois que tu as utilisé un cône de gutta : l'obturation a retro transfistulaire est une technique délicate. Vu que tu débutes, essaie plutôt un bon bourre-pâte methasone/salive.

Cordialement,
TiGabi.


doagui

11/12/2012 à 17h03

Ceci dit pour être honnête je suis assez surpris par le boulot de leur prothésiste, c'est pas mal d'un point de vue esthétique !


Images jm2g2g - Eugenol
dr_0le

11/12/2012 à 17h25

en tout cas tu as beau être en 6eme année, tu es un chef en paro.. félicitation.. contrôle de plaque/tartre impeccable.. pourtant le patient n'était pas très motivé au départ!!!
en en chir paro...ta greffe sur la 11 a bien pris.. on ne voit presque plus le décalage des collets !!
félicitations !


roger chicot

11/12/2012 à 17h32

Démontage 23 (ccm + tenon fibré), reprise du traitement canalaire et remontage/rebasage, dt prov sur 23, temporisation 3/6 mois, contrôle radio, si problème de sous (dt prov collée en définitif, sinon 23 à refaire...
Radio nulle, apex 23 !!!
ya rien sur la 24 !!!
Alapex est un troll !!!


eusebius

11/12/2012 à 17h39

Vous ne connaissez pas les abcès de gencive...


on ne vous apprend vraiment plus rien à la fac les djeun's....


en tout cas c'est une pathologie que je rencontre souvent depuis le départ à la retraite des voisins...

mais les patients connaissent généralement leur "mal"

le mot magique, c'est "abcès de gencive"

avec cela les patients ne s'en font pas.... :-)))
(


Img 3657 cwjvqm - Eugenol
alapex

11/12/2012 à 20h03

doagui écrivait:
----------------
> Ceci dit pour être honnête je suis assez surpris par le boulot de leur
> prothésiste, c'est pas mal d'un point de vue esthétique !


C'est vrai que n'étant adepte de la paro , ou de l'extraction et n'ayant pas de correspondant ou de paro en mutuelle , le praticien s'est excellemment débrouillé et le prothésiste c'est bien appliqué sur la fausse gencive ; sans mal d'ailleurs car les préparations intrasulculaires et sous gingivales ça aide ...


Img 3657 cwjvqm - Eugenol
alapex

11/12/2012 à 20h09

roger chicot écrivait:
----------------------
> Démontage 23 (ccm + tenon fibré), reprise du traitement canalaire et
> remontage/rebasage, dt prov sur 23, temporisation 3/6 mois, contrôle radio, si
> problème de sous (dt prov collée en définitif, sinon 23 à refaire...
> Radio nulle, apex 23 !!!
> ya rien sur la 24 !!!
> Alapex est un troll !!!

Mais JE n'ai pas , ni voulu faire croire à un gutta dans la 24 ouverte à l'arrache , comme on le voit sur cette excellent photo , le cône rentre sans difficulté par la fistule jusqu'à moi en place de 23 ...)))

Espérons que le fibré est collé avec un ciment conventionnel ... ça serait nickel .


Mv2

11/12/2012 à 22h00

"Alapex,

Dommage pour ton joli travail mais ne désespère pas : ce n'est pas ta faute si le patient a tendance a faire des kystes aux dents.

Sur ta photo clinique, je vois que tu as utilisé un cône de gutta : l'obturation a retro transfistulaire est une technique délicate. Vu que tu débutes, essaie plutôt un bon bourre-pâte methasone/salive.

Cordialement,
TiGabi."

:)
mdr!!