Cookie Consent byPrivacyPolicies.comRésorption interne - Eugenol

Résorption interne

Bazaruto 2007 ircsez - Eugenol
jumpingjackflash

13/12/2012 à 12h56

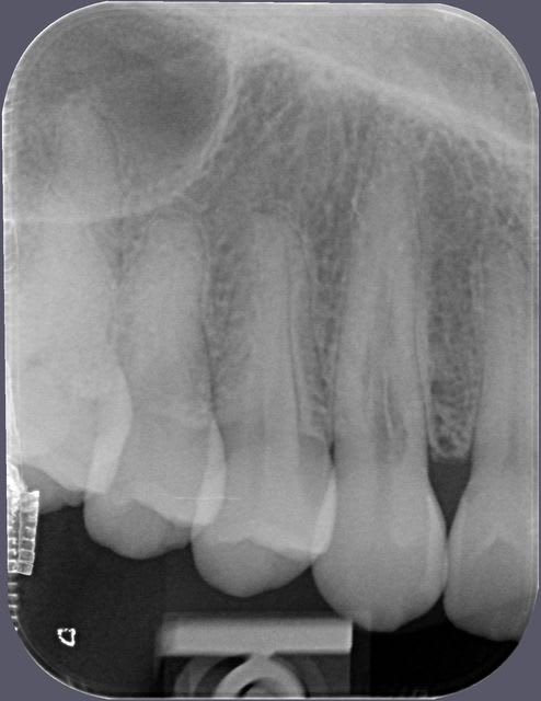
patiente 37 ans
dent asympomatique
radio 2011 et 2012
endo ou attente?


2011 12 05  nzo6t7 - Eugenol
2012 12 06  lxb6jr - Eugenol

Acerec

13/12/2012 à 13h48

Je serai tenté pour faire un cone beam pour vérifier qu'il n'y ait pas d'atteinte externe et après bio si ce n'est pas le cas...

M'enfin bon, je n'en suis qu'à mes débuts, je me trompe peut être...


Android jyzura - Eugenol
Tavéca

13/12/2012 à 13h52

vitalité?


1309531 ours brun n5iukf - Eugenol
seespan

13/12/2012 à 14h04

Attend confirmation par un endo exclusive sur nonol, mais pour mois c'est interne il faut faire l'endo pour éviter que la structure de la dents soit plus affaiblie aucun intérêt a attendre a moins de vouloir faire un implant.

Tu peux prendre plus de radio sous différente incidence pour Etre sur.

--
หมอจัดฟัน


Bazaruto 2007 ircsez - Eugenol
jumpingjackflash

13/12/2012 à 15h01

dent vivant
pas d'inflamation au niveau gingival au palais


1309531 ours brun n5iukf - Eugenol
seespan

13/12/2012 à 15h06

Si la dent est vivante c'est une résorption interne donc il faut faire l'endo.
Si la dent n'est pas vivante il faut faire l'endo.

Tellement d'option que choisir ....

--
หมอจัดฟัน


levm

13/12/2012 à 17h24

pourquoi pas une simple surveillance , il ne s'est rien passé en un an.


1309531 ours brun n5iukf - Eugenol
seespan

13/12/2012 à 18h16

Parce que la lésion est en 3D et donc dure a évaluer, le tissue perdue est relativement bas et ne sera pas remplacer par la pièce prothètique.

On a donc un affaiblissement de la structure racinaire qui est dure a évaluer sur une radio 2D et qui peut condamner la dent (si la racines est percé par exemple.
Une solution serait de faire des CBCT de contrôles assez régulièrement pour vérifier que la lésion n'affaiblie pas la dent.

Plus il s'agit d'un phénomène qui n'évolue pas de maniére constante mais par a cou si je ne dis pas de bétise (Les endo exclusif sont ou ?)

A défaut autant dévitaliser la dent pour conserver la structure racinaire.
--
หมอจัดฟัน


Bazaruto 2007 ircsez - Eugenol
jumpingjackflash

13/12/2012 à 18h30

je suis d'accord
de toute façon cela ne va pas rétrocéder
pourquoi attendre que cela s'agrave


33.2 - Eugenol
scuba06

13/12/2012 à 21h52

La résorption interne est un processus consécutif à une inflammation du nerf.
Ce phénomène est évolutif, donc il faut intervenir : traitement endo avec inter séance d'hydroxyde de calcium.