Tous les forums
endocouronne, cerec et étanchéité coronaire
22/12/2012 à 01h55
"Un conférencier sirona chargé de te vendre le cerec, ou un conférencier/dentiste conseil à la sécu rompu à la ngap ?"
Le premier est respectable, l'autre pas.
22/12/2012 à 02h24
arno écrivait:
--------------
> 4 cas pour moi aujourd'hui, à l'inverse de toi, j'aime bien.
> Ca me plait de maquiller mes cérams, ça va dans le sens de l'orga en grand rdv
> et ça me convient bien. Comme quoi on est tous différents.
Exactement. Question de caractère tout ce qui me détourne du travail en bouche m'énerve. Si en plus il faut discuter plus avec les patients pour les motiver car le reste à charge est plus important (NGAP oblige, notamment perte du spr 57 et un malheureux sc 17 max pour les onlays) ça m'énerve doublement.)))))
22/12/2012 à 12h33
chicot29 écrivait:
------------------
Si en plus il faut discuter plus avec les patients pour les motiver
> car le reste à charge est plus important (NGAP oblige, notamment perte du spr 57
> et un malheureux sc 17 max pour les onlays) ça m'énerve doublement.)))))
Si on accepte de jouer le jeu de la sécu, il n'y a aucune raison qu'elle change de politique.
Moi ce qui m'énerve doublement c'est les SPR57/SPR50 non indiqué cliniquement (Je ne te fais pas de critique Chicot29, je l'ai fait des années).
Si j'acceptais ce mode de fonctionnement, j'aurais probablement fait le double de chiffre d'affaire cette année.
Les décideurs ne connaissent rien à notre métier. Ils voient nos revenus et estiment qu'ont à pas à se plaindre. Ils ignorent les concessions qu'on doit faire quotidiennement... Ben moi je refuse de continuer à passer mes journées à jouer au taille crayon. Même si je dois faire les sacrifices financiers qui s'imposent.
22/12/2012 à 13h47
chatondecarte écrivait:
-----------------------
> dr_0le écrivait:
> ----------------
>
> >
> > Confirmé a l'ADF pour cette cotation spr50 tant que le recouvrement est
> complet
> > apparemment.je n'invente rien. Je répète ce que le conférencier m'a répondu.
>
> Un conférencier sirona chargé de te vendre le cerec, ou un conférencier/dentiste
> conseil à la sécu rompu à la ngap ?
Conférence sur les endocrown par dr bartala de Bordeaux. Il m'a stipulé coter comme ça.
Pareil chatondecarte :je refuse de surtailler au prétexte de pouvoir coter spr50+57..même si cela signifie moins de chiffre.
22/12/2012 à 13h54
Euh.... je veux pas jouer au rabat-joie mais une endo couronne c'est pas précisément un modèle d'économie tissulaire. Je pensais plutôt à onlay versus couronne. Sc 33 versus inlay core c'est kif kif niveau délabrement.
22/12/2012 à 14h21
endocouronne c'est pas pareille qu'un onlay à recouvrement cuspidien?
22/12/2012 à 15h24
chicot29 écrivait:
------------------
> Euh.... je veux pas jouer au rabat-joie mais une endo couronne c'est pas
> précisément un modèle d'économie tissulaire. Je pensais plutôt à onlay versus
> couronne. Sc 33 versus inlay core c'est kif kif niveau délabrement.
22/12/2012 à 15h47
Il eu été plus judicieux d'attribuer la cotation spr 57 aux onlays céramiques et non pas aux inlays core. Ca nous aurait permis d'entrer dans l'ère de la dentisterie collée et aurait coûté moins cher, en effet un spr 57 actuellement se voit jumelé systématiquement avec un spr 50 et je ne parle meme pas de la pulpec sous jascente !))))
22/12/2012 à 16h03
DSL bug du précédent post.
Je vois les choses comme ça: devit. Préparation chambre légère dépouille.je sape les cuspides et parois trop fragiles jusqu'à avoir 1.5mm. En général je me retrouve avec les parois moins 2 3 mm occlusal. Pas de congé. C'est donc très conservateur.
Et je demande une pièce en emax monobloc que je colle.
Esthétiquement c'est très co venable.. je me limite aux secteurs lat et posterieurs pour cette technique. Je cote ça spr50.validé par mon CDC.
Effectivement je te suis chicot sur le fait qu'on aurait beaucoup plus de restaurations collées si on nous avait mis spr57 pour cet hybride onlay/endocrown...m enfin...avec ce système je trouve que le patient est gagnant...on conserve plus de tissu dentaire. je m assois sur le spr57 mais je travaille sous digue en collant de la ceram..et ca je prefere...
22/12/2012 à 17h10
Pour l'aspect cotation j'ai été contrôlé récemment sur une quinzaine de cas.
Tout s'est bien passé, sauf justement sur un cas d'endocouronne proche d'un gros onlay: spr50 refusé.
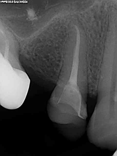
Dans le cas présent, j'ai une prépa périphérique, un collage en exploitant les parois de la cavité d'accès. Donc SPR 50 sans aucun doute. Le but était d'éviter le tenon radiculaire.
Plus qu'un débat de cotation, je voulais surtout montrer l'avantage de lancer la reconstitution définitive avant d'avoir fait le retraitement radiculaire et donc de coller la céram avant la dépose de la digue mise en place pour l'endo.
22/12/2012 à 18h25
arno écrivait:
--------------
> Plus qu'un débat de cotation, je voulais surtout montrer l'avantage de lancer la
> reconstitution définitive avant d'avoir fait le retraitement radiculaire et donc
> de coller la céram avant la dépose de la digue mise en place pour l'endo.
>
C'est a mon sens un super protocole.le patient ne vient qu'une fois et repart avec un ttt fiable esthétique et conservateur.
Dommage que la secu ne nous facilite pas la tache encore une fois....m'enfin...
22/12/2012 à 20h29
chatondecarte écrivait:
-----------------------
> endocouronne c'est pas pareille qu'un onlay à recouvrement cuspidien?
Bien sûr que oui, mais après c'est ouvert à appréciation. Si tes limites sont basses, tu peux faire passer ça pour une couronne si le CDC est un peu tolérant... mais tu t'exposes à ce qu'il ne le soit pas.
23/12/2012 à 00h52
t'as raison y vaut mieux bousiller le dent et effacer les preuves... c'est plus courageux !!
allez va, Joyeux Noël et Bonnes Pâques
doagui écrivait:
----------------
> Bien sûr que oui, mais après c'est ouvert à appréciation. Si tes limites sont
> basses, tu peux faire passer ça pour une couronne si le CDC est un peu
> tolérant... mais tu t'exposes à ce qu'il ne le soit pas.
23/12/2012 à 12h16
vmdeugénol écrivait:
--------------------
> t'as raison y vaut mieux bousiller le dent et effacer les preuves... c'est plus
> courageux !!
> allez va, Joyeux Noël et Bonnes Pâques
Voilà une réponse particulièrement stupide et agressive sans aucune raison. Quelqu'un d'autre que moi te dirais surement d'aller te faire mettre, mais ce serait peu élégant alors je vais m'abstenir et faire comme on fait avec les cons : leur expliquer patiemment ce qu'ils n'ont manifestement pas compris.
Tout ce que j'ai voulu dire c'est que les endocouronnes sont supposées être côtées comme des onlays, mais que si le délabrement est telle que les limites se retrouvent du coup un peu basses alors on peut compter sur une certaine tolérance du CDC qui admettrait que c'est quasiment une couronne tout céramique.
Je n'ai jamais parlé de délabrer sciemment la dent pour arriver à cette situation. C'est d'ailleurs totalement inutile en général puisqu'on est censés faire une prep donnant un certain cerclage périphérique donc on ne taille pas à l'horizontale mais en légère pente descendante vers l'extérieur, ce qui descend encore un peu la limite d'office. A partir de là on voit : la cotation attendue reste SC17 (et c'est plutôt vers ça que je penche, je ne risque pas les emmerdes pour arranger les patients), mais si on voit dès le départ que la limite sera effectivement basse certains peuvent vouloir tenter le SPR50.
23/12/2012 à 16h12
arno écrivait:
--------------
>
> Il y a sans doute beaucoup à critiquer, mais mon bilan c'est quand même beaucoup
> de temps de gagné et une étanchéité coronaire obtenue avant la dépose de la
> digue.
- C'est effectivement joli du moins en vue occlusale.
- Effectivement c'est aussi beaucoup de temps gagné.
- Mais le plus intéressant c'est SURTOUT l'assurance d'éviter toute contamination bactérienne avant le scellement/collage définitif de la restauration puisque l'étanchéité coronaire est obtenue avant la dépose de la digue.
Pour ma part, pour essayer de palier ce risque de re-contamination avant le scellement définitif, lorsque je fais une couronne classique, j'irrigue systématiquement à l'hypochlorite les logements d'IC à chaque étape (après l'empreinte et avant le rescellement des provisoires, après l'essayage et avant le scellement des IC), et même si le temps d'action reste limité, c'est toujours mieux que rien...
Maintenant, je me pose quand même quelques questions à propos de ton protocole :
- N'utilises-tu pas d'eugenate pour l'obturation des canaux? N'y a-t-il pas d'incompatibilité avec le composite utilisé pour coller l'endo-couronne?
- C'est bien de gagner du temps, des étapes, voir des séances, néanmoins qu'en est-il si la patient présente de forte douleur post-opératoire, et que celle-ci ne cesse pas? Qu'en est-il s'il existe un canal subsidiaire que tu n'aurais pas vu? Je pense qu'il est parfois prudent de savoir temporiser entre chaque étape clef, non?
- Comme tout ce que nous faisons, rien n'est éternel, et malgré toutes les précautions prise, on est jamais à l'abri d'une reprise de carie, d'une lésion apicale, etc... J'aimerais savoir s'il est aisé de déposer une endo-couronne? Quelqu'un l'a-t-il déjà fait? Est-ce faisable sans complétement délabrer les structures dentaires résiduelles que l'on a essayé de préserver auparavant?
- Esthétiquement cela a l'air joli en vue occlusale, mais qu'en est-il en vue vestibulaire? Je voulais aussi acheter un Cerec lorsque je me suis installé il y a deux ans, mais je me suis résigné à cause de la difficulté d'obtenir un mimétisme parfait avec de la céramique maquillée, surtout lorsqu'il existe un joint dento-prothétique visible...
23/12/2012 à 20h24
carident écrivait:
------------------
> arno écrivait:
> --------------
> >
..
>
> - Esthétiquement cela a l'air joli en vue occlusale, mais qu'en est-il en vue
> vestibulaire? Je voulais aussi acheter un Cerec lorsque je me suis installé il y
> a deux ans, mais je me suis résigné à cause de la difficulté d'obtenir un
> mimétisme parfait avec de la céramique maquillée, surtout lorsqu'il existe un
> joint dento-prothétique visible...
>
>
Quel patient se plaint d'un joint dent céramique visible sur une 16??
Jr préfère me passer de ce genre de patient...
23/12/2012 à 20h57
Peut-être aucun patient...
Néanmoins la face V de la 16 peut être parfois clairement visible, ou peut-être suis-je trop perfectionniste...
Je ne sais plus où j'ai lu cela, et de qui s'est, mais un grand dentiste a dit un jour :
l'Art dentaire est le seul Art dans lequel le but de l'artiste est de faire en sorte que son œuvre passe inaperçue.
Je ne sais plus comment la phrase était tournée exactement...
23/12/2012 à 21h16
carident écrivait:
légère ------------
> Peut-être aucun patient...
>
> Néanmoins la face V de la 16 peut être parfois clairement visible, ou peut-être
> suis-je trop perfectionniste...
>
> Je ne sais plus où j'ai lu cela, et de qui s'est, mais un grand dentiste a dit
> un jour :
> l'Art dentaire est le seul Art dans lequel le but de l'artiste est de faire en
> sorte que son œuvre passe inaperçue.
>
> Je ne sais plus comment la phrase était tournée exactement...
Personnellement la legere démarcation que je visualise sous loupes 2.8 ne pose pas de problème au patient..
Mais c'est bien de vouloir faire le mieux possible..
28/12/2012 à 22h22
Personnellement, c'est extrêmement rare que la légère démarcation en vestibulaire gène le patient. Avec une colle translucide, elle est vraiment atténuée.
Dans le cas, ou je tombe sur un chieur, je lui explique que l'on conserve au maximum sa dent, et que, lorsque la couronne sera à refaire (mes traitements ne durent pas toute la vie), on aura toujours ce capital dentaire disponible pour éventuellement faire autre chose. Et je leur montre un modèle de IC CCM dent à ras. Et la, cette démarcation ne pose plus de problème.
Je pense que la prep, endo, pose en une séance est la meilleure solution pour nos patients.
Pour le collage, il existe des ciments d'obturation canalaire sans eugénol.
03/01/2013 à 16h44
Tiens de temps en temps j'en croise de mes endos couronnes cerec. Ca marche sur prémolaire aussi, celle ci date de 2006 sur un CMU (375 euros, qu'elle perte de temps).
21/01/2013 à 02h25
Les endocouronnes sont souvent les meilleures indications pour des molaires sous DV réduite, j'en pratique depuis plus de 20 ans et je peux en attester la fiabilité.
Elles peuvent parfaitement aussi se pratiquer sur des prémolaires, j'en ai même réalisé une partielle sur une latérale sup, tout dépend du contexte...
Ce protocole en séance unique est excellent, même si le risque de complication existe, il sera cependant réduit car il assure la meilleure étanchéité possible sans matériaux intermédiaires.
Une alternative à l'eugenate est le giroflate, réalisé à base d'HE de girofle dont les propriétés sont totalement différentes de l'eugenol son principe actif isolé, mélangé à l'OZn il ne pose aucun problème pour les collages. En principe une pointe à l'entrée du canal suffit pour compléter l'action de la gutta chaude injectée, de plus aucune trace ne subsiste au contact de la colle car elle est entrainée vers l'apex.
L'intérêt de l'inlaycore céramique existe dans les cas de réalisation de bridge pour assurer le parallélisme et préférer le collage tout céramique au scellement. Une préparation endocouronne peut aussi être réalisée dans le cadre d'un bridge monobloc, j'en ai déjà réalisé et cela fonctionne très bien.
Comme bien d'autres sur le forum, je ne réalise plus d'inlaycores métalliques depuis que je me suis mis au collage des céramiques que je trouve bien plus fiable et moins agressif, même si la cotation est souvent moins intéressante.