Cookie Consent byPrivacyPolicies.comDépassement obturation 22 - Eugenol

Dépassement obturation 22

Acerec

03/01/2013 à 16h44

Bartho écrivait:
----------------
> - je travaille avec le système Protaper, ils font des limes manuelles de même
> calibre que les limes mécanisées, pratiques pour vérifier la LT en fin de
> traitement. Les cônes papier et gutta sont aussi calibrés sur la même cônicité.
> Avec ça, MacSpadden à LT-3mm et aucun souci.


Bartho, commment arrive tu à bien thermocompacter les cônes ProTaper ? J'utilise le Revo Condensor et j'ai vraiment du mal à plastifier la Gutta, je dois laisser mon Revocondensor un bon moment dans le canal avant que la gutta ne se plastifie...

Merci

Acerec


Avatar2 u3u8yh - Eugenol
riccyman

04/01/2013 à 16h46

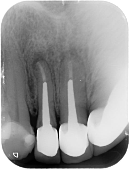
une autre 22.

lésion apicale avec fistulisation il y a quelques semaines.

1/ Dépose de la couronne à tenon dans le cadre d'une réhabilitation prothétique globale des prothèses car racines marrons apparentes dans le sourire. odeur --- rockles sur coton. pansement.
Couronnes provisoires.

2/ mise en place de la digue.
parage canalaire get EDTA. irrigation Dakin.
Accès à l'apex au rotatif ( manuellement ça passait pas), d'ou le "tout droit".

a parte:

!!! OUI DAKIN !!!
qu'est ce qu'ils ont tous contre celui là, à mon avis faut pas dire qu'on peut l'utiliser sinon les laboratoires feraient la tronche. pas assez bactéricide que j'ai entendu.. mon OEIL !!
Et celui qui me dit que c'est pas bien s'expose a des radios pré et post op de lésions apicales bien traitées.


mise en forme manuelle à 45 au localisateur d'apex.
pas de saignement. Odeur agréable des dernières limes après parage.

eugénol, oxyde de zinc , au lentulo; condensation lat. sans trop se prendre la tête, car la semaine prochaine je vide tout pour remettre, un tenon de 40 ou + ( ce qu'il y avait avant quoi). je v surtout éviter de fragiliser les parois.
Dépose de la digue, je remet le bridge (erf trop de ciment il descend pas... d'ou le hiatus à la radio) je dois attendre que le ciment prenne pour déposer et resceller donc...

radio post OP. et la le doute , la raison de mon post...



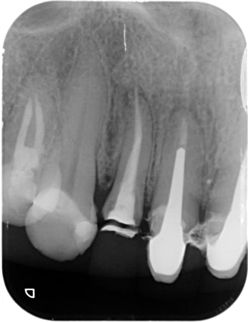
image hélicoïdale à l'apex.
je vérifie le lentulo, je le compare avec ses semblables.
Il ne manque rien.

La pâte à laissé la trace du lentulo on jurerait qu'il y en a un bout, vous confirmez? vous avez déjà remarqué ça ?






1 x 2012 12 20 10 29 49 4 e2ycqj - Eugenol
1 x 2013 01 04 11 24 45 4 yn8bo0 - Eugenol

Bebe 038 nf8eum - Eugenol
danteyeah

05/01/2013 à 03h12

Je ne vois pas de lentulo, par contre ça ressemble à un dépassement de cône de gutta.
Hors sujet peut être, mais faudrait aussi traiter la 21, et vu le délabrement radiculaire cervical prévoir une bonne élongation coronaire pour 22 et 21, et sensibiliser le patient à l'implanto, car à mon avis c'est pour bientôt.


12