Cookie Consent byPrivacyPolicies.comIMPLANT DANS LE SINUS ! - Eugenol

IMPLANT DANS LE SINUS !

3f3boxni50k58rq7e9ce9ddqrxgk - Eugenol
dentiste57

12/01/2013 à 21h25

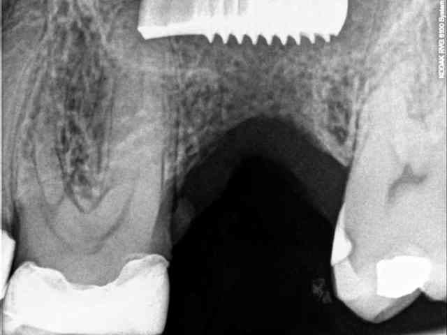
ce matin après avoir reçu un coup de téléphone d'une consœur, j'ai reçu en urgence un patient avec un petit souci...

l'implant a été posé en aout, apparemment dans une zone SA3 et apparemment sans utiliser la technique de Summers (d’après le patient , pas de biomat utilisé). je dis apparemment, car on se doit de tout mettre au conditionnel avec les patients.

ce dernier a perdu la vis de cica peu de temps après la pose et a mis plusieurs semaines pour se la faire remettre.

bref, depuis 4 jours il a mal, il consulte et là, c'est le drame...

migration dans le sinus et début d'infection.

je ne suis pas sure toutefois d'être en face d'une CBS dans la mesure où ma le teste de Walsava est négatif, et où l'implant semble accolé au plancher sinusien.
j'espère qu'il est simplement sous la membrane de Schneider, auquel cas il devrait mettre assez facile d'aller le chercher.

ça vous est déjà arrivé ?

allez y, répondez, y a pas de honte, hein!
ça n'arrive qu'à ceux qui travaillent
:)

R1 hakytf - Eugenol
R2 cm8hpx - Eugenol

carident

12/01/2013 à 21h40

Est-il ostéo-intégré, ou tourne-t-il comme une toupie lorsque le patient réalise la manœuvre de Valsalva? ;)


levm

12/01/2013 à 21h43

Pas de scan ?


S2y2o1v7q53ws4r5wy6ou8czrpom - Eugenol
pxav

12/01/2013 à 21h58

Salut Thomas
si tu écoutais pendant les cours d'expansion...tu saurais que ce n'est pas un bon plan, mais que ça peut arriver!
La technique et simple (mais stressante) ouverture, et avec l'aspi chirurgicale tu retires l'objet (oubli la manœuvre de Walsava).
ensuite tu refermes.
éventuellement fenêtre latérale si tu préfères, mais plus délabrant.

--
xbk
"Si tous ceux qui croient avoir raison n'avaient pas tort, la vérité ne serait pas loin" Dac Pierre


raeko

12/01/2013 à 22h06

au secours pluton.. identifie nous cet implant..
effectivement s'il est ostéointegré faut trouver un pilier angulé je pense..

céramique nous en dira plus pour la couronne full céram à faire par dessus..


Canin

12/01/2013 à 22h25

Jamais confronté perso mais déjà vu faire, ouverture latérale et tout.
Valsava pas utile car si infection donc certainement que le sinus est plein à l'heure actuelle.

On dirait bien ya de l'os néoformé donc ostéo intégration partielle en surface.
Faire bilan scan avant d'intervenir biensûr +/- avis orl selon atteinte

Pour moi la voie latérale semble être la seule possible pour tenter de déloger le berlingot et voir si moyen de faire nouveau comblement concomitant et pose nouvel implant plus tard.
Ou alors temporiser après élemination implant et attendre sagement l'assainissement de la cavité sinusienne.


Ps: en fonction de comment se déroule intervention, tu pourrais même envisager de reposer l'implant (celui qui est dans le sinus) car le site de forage au niveau du plancher semble complètement cicatrisé.

--
Canin


41467 100000418256397 4215 n ypxyho - Eugenol
Blette

12/01/2013 à 22h37

Moi je dis .... Tu peux le faire ....
Il est plutôt pas trop mal situé ;0)


41467 100000418256397 4215 n ypxyho - Eugenol
Blette

12/01/2013 à 22h38

Et je me ferais une superbe joie de venir te la tenir .... (l aspi :0))
J ai jamais vu ça en live ....


Blason dql7mj - Eugenol
growler

12/01/2013 à 22h40

on dirait un straumann trans-muqueux ?


S2y2o1v7q53ws4r5wy6ou8czrpom - Eugenol
pxav

12/01/2013 à 23h00

Et bien sur si tu a besoin je te fais l'assistant vidéaste, ça peut être instructif pour les autres.

--
xbk
"Si tous ceux qui croient avoir raison n'avaient pas tort, la vérité ne serait pas loin" Dac Pierre


Photo pluton1b h9n4ea - Eugenol
pluton

13/01/2013 à 00h50

raeko écrivait:
---------------
> au secours pluton.. identifie nous cet implant..

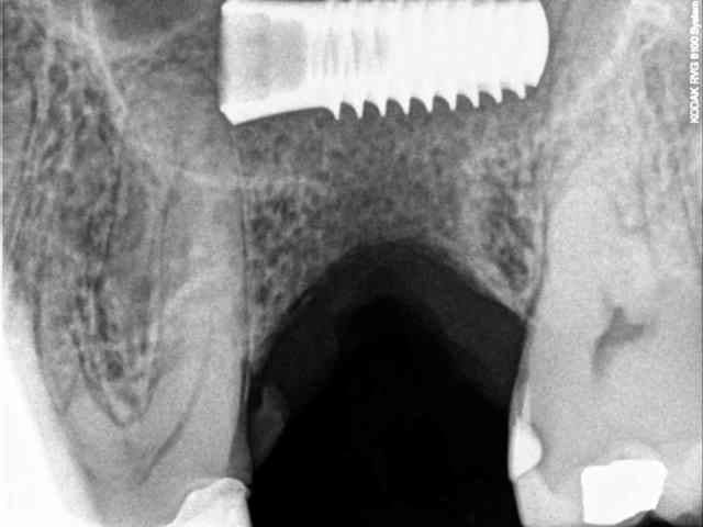
facile...enfin, j'ai eu quelques doutes...
parce que conique comme çà avec ce type de spires, j'aurais dis un swichplant ID...mais y a pas les minispires...alors j'ai eu un autre doute avec un Euroteck...mais pas conique...

la bonne réponse c'est swissplus Zimmer

http://www.zimmerdental.fr/popup/produit/prod_01.htm


3f3boxni50k58rq7e9ce9ddqrxgk - Eugenol
dentiste57

13/01/2013 à 01h37

félicitation , c'est bien un swissplus mais HA ou MTX ?

Capture ha avezft - Eugenol
Capture mtx bfiina - Eugenol

Pépélaratiche

13/01/2013 à 01h38

pxav écrivait:
--------------
> Salut Thomas
> si tu écoutais pendant les cours d'expansion...tu saurais que ce n'est pas un
> bon plan, mais que ça peut arriver!
> La technique et simple (mais stressante) ouverture, et avec l'aspi chirurgicale
> tu retires l'objet (oubli la manœuvre de Walsava).
> ensuite tu refermes.
> éventuellement fenêtre latérale si tu préfères, mais plus délabrant.
>
> --
> xbk
> "Si tous ceux qui croient avoir raison n'avaient pas tort, la vérité ne
> serait pas loin" Dac Pierre

+1

Il y a rien de grave : tu ouvres comme tu as l habitude ds tes sinus lift tu vires l objet et tu refermes

Il y que les sales cons ds un médicolégla pour te dire que c est une faute très grave

Dessous ou dessus la membrane de schneider tu t en cales : de tte façon en l ôtant tu la déchireras et alors elle cicatrisera...




--
Pp, bon en rien, mauvais en tout ...
Sed Fortuna audaces iuvat ...


3f3boxni50k58rq7e9ce9ddqrxgk - Eugenol
dentiste57

13/01/2013 à 01h38

je ne connais pas bien la différence.


Photo pluton1b h9n4ea - Eugenol
pluton

13/01/2013 à 02h34

dentiste57 écrivait:
--------------------
> félicitation , c'est bien un swissplus mais HA ou MTX ?

çà tu ne le verras pas à la radio...c'est l'état de surface...
MTX c'est sablé
HA c'est recouvert d'hydroxyapatite

amha la raison de cet implant dans le sinus: trop enfouis et site pas assez sous-foré, donc ne devais tenir que sur une spire avec une stab primaire toute relative (çà explique aussi la vis de couv ou de cicat dévissée)...et malgré la conicité...plouf...
remarque: c'est pas vraiment le type d'implant idéal pour un summers...les spires ne remontent pas assez haut...


Screenshot 2013 01 13 07 28 47 1 sd6bi0 - Eugenol
@polline

13/01/2013 à 02h50

growler écrivait:
-----------------
> on dirait un straumann trans-muqueux ?

Et ben non
Mais un bone level sous le sinus... comme ça faut être malade
Un tissu level : Col evase et ce serait pas arrivé
....


Smile beach jgh0a1 - Eugenol
Céramik

13/01/2013 à 02h59


Pour faire du full céram la dessus, ça va être chaud pour l'empreinte...

Sérieusement, un volet lattéral et comblement sinus en même temps.

Repose dans 6 mois.



--
Céramik


Photo pluton1b h9n4ea - Eugenol
pluton

13/01/2013 à 10h05

@polline écrivait:
------------------
> growler écrivait:
> -----------------
> > on dirait un straumann trans-muqueux ?
>
> Et ben non
> Mais un bone level sous le sinus... comme ça faut être malade
> Un tissu level : Col evase et ce serait pas arrivé
> ....

le swissplus zimmer est un tissu level avec col évasé comme tu le dis....et c'est quand même arrivé...


Olieve

13/01/2013 à 10h35

pluton écrivait:
----------------
> amha la raison de cet implant dans le sinus: trop enfouis et site pas assez
> sous-foré, donc ne devais tenir que sur une spire avec une stab primaire toute
> relative (çà explique aussi la vis de couv ou de cicat dévissée)...et malgré la
> conicité...plouf...
> remarque: c'est pas vraiment le type d'implant idéal pour un summers...les
> spires ne remontent pas assez haut...

Pluton, tu ne penses pas que n'importe quel implant eu foiré avec si peu de hauteur d'os sous-sinusienne ?


Photo pluton1b h9n4ea - Eugenol
pluton

13/01/2013 à 10h58

Olieve écrivait:
----------------

> Pluton, tu ne penses pas que n'importe quel implant eu foiré avec si peu de
> hauteur d'os sous-sinusienne ?

amha il y en avait un peu plus à l'origine, de l'os...
et dans un cas comme çà, un superline dentium il prend...


sidchir

13/01/2013 à 11h41

dentiste57 écrivait:
--------------------> bref, depuis 4 jours il a mal, il consulte et là, c'est le drame...
>
> migration dans le sinus et début d'infection.
>


Céramik écrivait:
-----------------
>
> Pour faire du full céram la dessus, ça va être chaud pour l'empreinte...
>
> Sérieusement, un volet lattéral et comblement sinus en même temps.
> --
> Céramik

s'il y a vraiment infection du sinus comme le dit dentiste57, je pense qu'il faut oublier le comblement dans l'immédiat,non?
Il serait préférable de supprimer l'étiologie(déposer l'implant), d'assainir le sinus avant de réintervenir ultérieurement afin de combler...


3f3boxni50k58rq7e9ce9ddqrxgk - Eugenol
dentiste57

13/01/2013 à 11h45

Canin écrivait:
---------------

>
> On dirait bien ya de l'os néoformé donc ostéo intégration partielle en surface.
> Faire bilan scan avant d'intervenir biensûr +/- avis orl selon atteinte


pas d'ostéointégration possible car l'implant était dans sa bonne position il y a encore 15 jours !
j'ai oublié ce détail important.


> Pour moi la voie latérale semble être la seule possible pour tenter de déloger
> le berlingot et voir si moyen de faire nouveau comblement concomitant et pose
> nouvel implant plus tard.
> Ou alors temporiser après élemination implant et attendre sagement
> l'assainissement de la cavité sinusienne.


oui, je vais toutefois voir si ça passe par la voie crestale ( de toute manières, il faut bien nettoyer)


Canin

13/01/2013 à 11h51

dentiste57 écrivait:
--------------------
> Canin écrivait:
> ---------------
>
> >
> > On dirait bien ya de l'os néoformé donc ostéo intégration partielle en
> surface.
> > Faire bilan scan avant d'intervenir biensûr +/- avis orl selon atteinte
>
>
> pas d'ostéointégration possible car l'implant était dans sa bonne position il y
> a encore 15 jours !
> j'ai oublié ce détail important.

Tant mieux !

--
Canin


3f3boxni50k58rq7e9ce9ddqrxgk - Eugenol
dentiste57

13/01/2013 à 11h52

sidchir écrivait:
-----------------

> s'il y a vraiment infection du sinus comme le dit dentiste57, je pense qu'il
> faut oublier le comblement dans l'immédiat,non?
> Il serait préférable de supprimer l'étiologie(déposer l'implant), d'assainir le
> sinus avant de ré-intervenir ultérieurement afin de combler...

je crois que c'est plus raisonnable car le sinus est totalement bouché.
je ne l'avais pas encore vu avant d'étudier la tomosynthèse.

Dr guillaumin mondelange  implant dans sinus rxy6lr - Eugenol

3f3boxni50k58rq7e9ce9ddqrxgk - Eugenol
dentiste57

13/01/2013 à 12h34

à propos de l'implant en lui même, je vous ai fait une petite animation à partir du wiever de ma Morita.



( c'est trop bon d'avoir un cone beam au cabinet
mouarfff :)) )



.be