Cookie Consent byPrivacyPolicies.comMac. Namara: On ne peut pas reculer une 6 - Eugenol

Mac. Namara: On ne peut pas reculer une 6

1 p3qrc4 - Eugenol
Bjc.

14/01/2013 à 03h23

Et pourtant on peut
Comment ?

@+ Bjc.


Kyll

14/01/2013 à 08h37

En disant au patient de faire un pas en arrière.

Du coup les 6 reculent (avec les 5, les 4, les 3, les 2 et les 1).

Kyll 1 - MacNamara 0


Olieve

14/01/2013 à 10h38

Osteotomie :-)


edje ouaïse

14/01/2013 à 11h18

Distaliseur Carrière :-)


Zorglub

14/01/2013 à 14h39

Mini implants et ostéotension...


paradoxe

14/01/2013 à 16h14

Zorglub écrivait:
-----------------
> Mini implants et ostéotension...
+1
Ou ressort simple.. axial ou sur arc lingual, en bloquant sur le groupe antérieur.
Faut être patient, mais ça marche. Attention à la DV qui augmente légèrement.


Gaudi parc guell lezard  ntokms - Eugenol
lezard

14/01/2013 à 18h05

Avec FEO si tu veux ressembler à ça :


63302168 p jpcrzs - Eugenol

Gaudi parc guell lezard  ntokms - Eugenol
lezard

14/01/2013 à 18h06

Ou bien avec ceci, le Pendulum, je crois que ça s'appelle .




1 p3qrc4 - Eugenol
Bjc.

15/01/2013 à 02h48

C'est beau la Pub.!

Le pendulum fait parti des appareillages testés par Mac Namara dans son article du J.A.O. de 2003. (gain moyen= 0.2 mm.)

Le seul moyen sur adulte et sur ado, est de déroter les 6, avec un Q.H., un Carrieré etc …

Mais sur les Ados, il y a un une autre possibilité.

Je ne veux pas vous la jouer aux devinettes en 101 épisodes des Rois maudis, mais il se trouve que j’ai oublié au cabinet la clef USB. sur laquelle j’ai copié un cas.

@+ Bjc.


1 p3qrc4 - Eugenol
Bjc.

15/01/2013 à 17h37

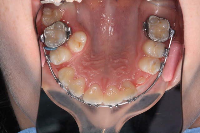
Voici, par exemple, un cas en fin de TTT.

+ Bjc.

Img 1 qmasah - Eugenol
Img 2 vtedrr - Eugenol
Img 3 zxbzaf - Eugenol

full

15/01/2013 à 17h46

A quoi sert le separateur entre les 16 et 17?

L'alignement des dents est sympa, mais as tu les teleradios
qu'on puisse juger du recul des 6?

Merci


1 p3qrc4 - Eugenol
Bjc.

15/01/2013 à 18h19

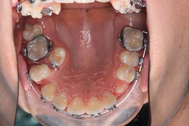
Voici un autre exemple de séparateurs sur le m cas.
(mes petits trucs)

@+ Bjc.

P.S.:Tu as besoin de Rx. pour voir le réalignement des 6 ?

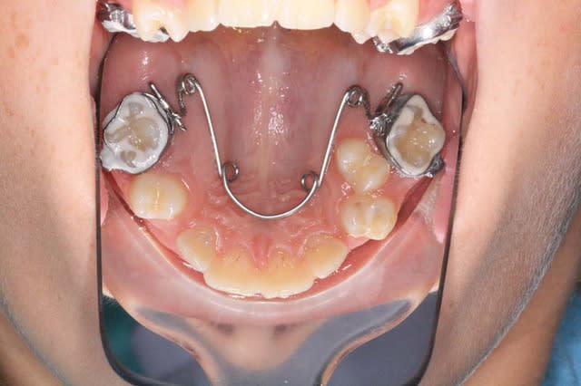
Img 4 qwhnmm - Eugenol

1309531 ours brun n5iukf - Eugenol
seespan

15/01/2013 à 18h21

C'est pas un séparateur je pense que c'est une boucle qui s'appuis sur la face occlusal de la 17 avec de la résine pour redresser l'axe de la 17.

Ensuite pour distaliser les 6 ils y a un paquet d'option du moment que l'on a un appuis osteo intégré.

Le pendulum a en effet un effet plus que modeste mais ça on le sais depuis peut. Ça peut toutefois être envisager avec des patient ou une petite protrusion des incisves ne serait pas un problème (patient adulte).
Ici ils sont pas fan du tout vue que les patients ont une forte tendance a la biprotrusion alvéolaire.

Normalement le HG marche mais c'est tellement contraignant pour le patient que je vois mal l’intérêt. Mais vous allez encore trouver des praticiens qui utilise.
--
หมอจัดฟัน


1309531 ours brun n5iukf - Eugenol
seespan

15/01/2013 à 18h33

A moins d'avoir un point d'appuis ankylosé le séparateur aura les même effet de protrusion sur les dents antérieur. On ne coupe pas au effet mécanique dans ce cas.

Le problème c'est que c'est dure a mesurer a moins d'avoir des études très bien construite.

Type le pendulum, il a fallut plusieur décénie avant que l'on s'aperçoive que en fait il n'y avait pas de recule des 6. Mais dans les vieux (enfins pas si vieux que ça) bouquin on vous soutenais mordicus que ça distalisé les six.

Il y a même des designs avec des ressort modifier pour mettre en place une mécanique type begg.

Pour ceux que sa intéresse


http://www.google.com/url?sa=t&rct=j&q=non%20compliance%20treatment%20of%20class%20ii%20patient%20papadopoulos%20amazone&source=web&cd=1&cad=rja&ved=0CC4QFjAA&url=http%3A%2F%2Fwww.amazon.com%2FOrthodontic-Treatment-Class-Noncompliant-Patient%2Fdp%2F0723433917&ei=u4T1UKHdE8SikQXu74GADQ&usg=AFQjCNH6E9v0MekyiVJ_hEJSKYqNNp7_hg


--
หมอจัดฟัน


full

15/01/2013 à 18h35

je te l'ai dit l'alignement est sympa.

c'est toi qui a intitulé : "reculer une 6"


1309531 ours brun n5iukf - Eugenol
seespan

15/01/2013 à 18h38


Je pense que les radios c'est plus pour l'inclinaisons des incisives et molaire prè et post traitement.
--
หมอจัดฟัน


1 p3qrc4 - Eugenol
Bjc.

15/01/2013 à 20h47

Cher full,

Comme Mac Namara, qui n’est pas un débutant, l’a démontré, on ne peut pas reculer, d’une manière stable, une 6.
Il arrive, avec ses différentes mécaniques, à gagner 2 à 3 mm. qui sont perdus ensuite, pour arriver à 0.2 mm. de gain final.
Il n’explique pas pourquoi.

Mais on peut empêcher, sur un ado., la mésialisation de la 6, en la bloquant. (Se reporter aux V.T.O.)
Ici, il s’agit d’un TTT. asymétrique, un peu délicat pour un débutant. (ancrage)

L’utilisation des élastiques séparateurs, comme distalleurs, est aussi, un peu délicate.

@+ Bjc.

P.S.: vous montrer ce cas en entier serait un peu longuet.


full

15/01/2013 à 22h15

Utiliser des separateurs pour distaler me fait doucement rigoler. Tu verses la dent tout au plus.

Et tu viens nous parler de bloquer la mesialisation des 6 chez un ado. On est hors sujet.

Que tu geres tres bien tes cas ortho, j'en suis convaincu. c'est pas la peine d'en rajouter avec des theories à 2 balles

Bonsoir


1 p3qrc4 - Eugenol
Bjc.

15/01/2013 à 22h37

"Utiliser des separateurs pour distaler me fait doucement rigoler. Tu verses la dent tout au plus."
Ou on redresse la dent (tout au plus). Mais ce n’est pas dans ce but que j’utilise des séparateurs

"Et tu viens nous parler de bloquer la mesialisation des 6 chez un ado. On est hors sujet."
Quand on n’avance pas et que les autres avancent, on recule.

"Que tu geres tres bien tes cas ortho, j'en suis convaincu. c'est pas la peine d'en rajouter avec des theories à 2 balles"

Qui a parlé de théorie ?

;-)


1 p3qrc4 - Eugenol
Bjc.

15/01/2013 à 23h45

il est amusant de voir que certains, quand ils ne comprennent pas, deviennent agressifs.

@+


1 p3qrc4 - Eugenol
Bjc.

16/01/2013 à 02h03

les petits élastiques séparateurs :

leur rôle est
1°) de mobiliser la molaire, la 7, car avant de déplacer une dent, il faut la mobiliser.
( la 6 étant mobilisée par le Q.H.)
2°) entre 6 et 7, son rôle est de garder le léger recul de la 7.

Ce n’est pas l’essentiel du système, c’est juste un petit plus. (je rappelle que le Q.H. n'est pas un ancrage)

@+ Bjc.


full

16/01/2013 à 10h34

"il est amusant de voir que certains, quand ils ne comprennent pas, deviennent agressifs."

Il est amusant de voir que certains, quand ils rencontrent une divergence de vue, deviennent suffisants.

Je n'ai aucune agressivité, je pense juste differemment. Je pensais que c'etait possible sur un forum. Visiblement eugenol appartient à une certaine caste. Je n'interviendrait plus sur tes sujets. Je te laisse, j'ai du taf. Tres bonne journée.


1 p3qrc4 - Eugenol
Bjc.

16/01/2013 à 17h04

""Je n'ai aucune agressivité, je pense juste differemment. Je pensais que c'etait possible sur un forum.""

Un forum est fait pour que ceux qui pensent différemment, s’expriment.
Exprime toi, ou alors,tu fais bien de te retirer.

Si tu gardes tes pensées pour toi, cela peut être mal interprété.

bonne journée

@+ Bjc.


RépondreCiter
dentistefr

16/01/2013 à 19h05

- CE QUE J'AI REMARQUE :

ya presque personne en france qui post des cas ortho sur eugenol
EXPLICATIONS??? CHASSE GARDE & PRE CARRE??? surement !!!

et les pauvres malheureux qui post ici sont mal vu par les orthodontistes???? surement !!!

alors ca par contre les autres domaine prothese endo implanto paro chir ca y va ya du monde

en tout cas merci au rare qui post des cas ortho ici (bjc), et qui conseillent divers livres ou revues international en anglais récent* (seespan & bjc)




* Quand je vois par ex sur un autre post à l'instant les torchons francais poussiereux en noir et blanc d'il y a 20 ans ou 30 ans que certains conseil encore : reeducation des fonctions SID
(ou encore langlade maloine/chateau cdp/bassigny masson)



1 p3qrc4 - Eugenol
Bjc.

17/01/2013 à 02h08

je ne post pas ce cas en entier car j’en réserve la priorité à mes vieux amis d’Uni-Odf., si mon sujet est accepté.

Je te promets de le montrer sur Nonol ensuite.

@+ Bjc.

P.S.: tu es un peu dur avec les anciens, il y a du bon à prendre, m s'ils sont désuets.


RépondreCiter
12