Cookie Consent byPrivacyPolicies.comimplant et pilier lousse - Eugenol

implant et pilier lousse

flicflac

16/01/2013 à 00h34

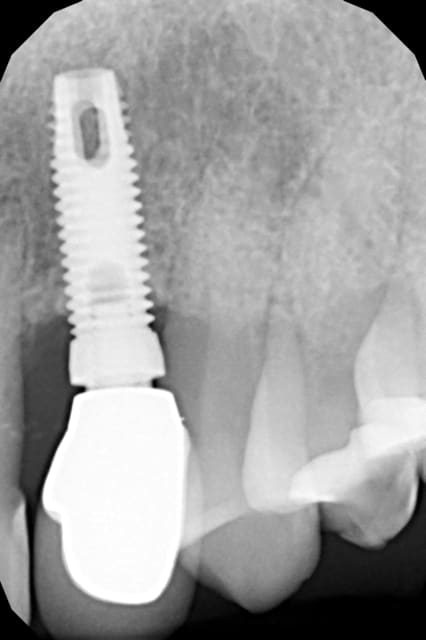
couronne cimentée sur pilier
le pilier est mobile, dévissage
il semble que ce soit un hex externe de type Nobel
que faites-vous et quel est l'implant d'après vous
NOBEL SELF TAPING 3.75mmn mais le col semble plus haut, existait-il différent hauteur de col pour ces implants?
pose de l'implant en 1998

Pilier lousse jaalp2 - Eugenol

Photo pluton1b h9n4ea - Eugenol
pluton

16/01/2013 à 00h44

c'est parce que c'est pas un Nobel, mais un Zimmer...;-)

http://osseosource.com/dental-implants/product_info.php?products_id=1373


dent2669

16/01/2013 à 11h09

Moi dans ces cas là, avant de découper complètement la couronne, j'essai de deviner l'axe de l'implant et de faire juste un accès au puits de forage pour transformer tout ça en couronne transvissée sur implant. Après, il ne reste qu'à trouver le bon tournevis...
Bon, si tu ne trouves pas car axe décalé, là il faudra tout découper !


flicflac

16/01/2013 à 16h00

merci, et encore une fois je suis stupéfait par la rapidité de Pluton, malgré un heure aussi tardive.
Malheureusement il arrive assez fréquement que l'axe fait en sorte que la vis sort à l'incisif ou au buccal, au mieux on peut essayer de sauver le pilier dans ce cas la, au pirre on refait le tout.
Zimmer hexagone externe est-il compatible avec le nobel?


Photo pluton1b h9n4ea - Eugenol
pluton

16/01/2013 à 16h08

flicflac écrivait:
------------------

> Zimmer hexagone externe est-il compatible avec le nobel?

dans le lien, tu as un onglet avec toutes les compatibilités...;-)

mais oui...;-)
par contre peut être pas avec la vis...en tout cas chez Zimmer c'est un Hex de 1.2mm alors que chez Nobel c'est un genre de torx...;-)