Cookie Consent byPrivacyPolicies.comComment faîtes vous? - Eugenol

Comment faîtes vous?

Avatar jt8tlq - Eugenol
bogenom

19/01/2013 à 13h28

Hello les pros de l'endo,
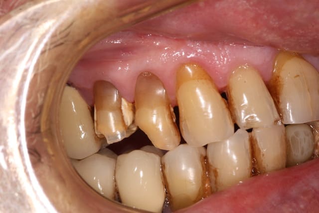
sur ces 14 et 15 asymptomatiques j'aimerais faire des couronnes sans devitaliser étant donné les grandes chances à mon avis de retrouver un quelconque canal, sur ce patient j'ai eu le probleme sur la 23 que j'ai fini par extraire
comment trouver de la rétention une fois les prepas faites ?

Endo gugvff - Eugenol
Endo2 nhwmxu - Eugenol

vmdeugénol

19/01/2013 à 13h52

V-prep étendue et çà doit fonctionner sans difficulté particulière.


Avatar jt8tlq - Eugenol
bogenom

19/01/2013 à 14h22

me voilà rassuré, je m'en vais de ce pas acheter le necessaire


vmdeugénol

19/01/2013 à 14h39


va jeter un oeil par là

http://www.cfao-cadcam.net/

http://www.cfao-cadcam.net/index.php?option=com_content&view=article&id=75&Itemid=122


Screenshot 2013 01 13 07 28 47 1 sd6bi0 - Eugenol
@polline

20/01/2013 à 16h20

bogenom écrivait:
-----------------
> Hello les pros de l'endo,
> sur ces 14 et 15 asymptomatiques j'aimerais faire des couronnes sans devitaliser
> étant donné les grandes chances à mon avis de retrouver un quelconque canal, sur
> ce patient j'ai eu le probleme sur la 23 que j'ai fini par extraire
> comment trouver de la rétention une fois les prepas faites ?

Je n ai pas la prétention d être une pro de l endo même si j'ai presque le même équipement.... sans facturer pareil
J oterais l ancienne obturation et mettrai de la biodentine avec matrice
Patient revu au moins 48h après puis préparations et dp
Si pulpe loin, cvi au lieu de biodentine ....
Voilà....


carident

20/01/2013 à 17h48

bogenom écrivait:
-----------------
> Hello les pros de l'endo,
> sur ces 14 et 15 asymptomatiques j'aimerais faire des couronnes sans devitaliser
> étant donné les grandes chances à mon avis de retrouver un quelconque canal, sur
> ce patient j'ai eu le probleme sur la 23 que j'ai fini par extraire
> comment trouver de la rétention une fois les prepas faites ?

L'avenir de la 14 m'a l'air bien compromis (dent plutôt courte, état parodontal, délabrement important et profond, pas d'endo possible donc pas d'ancrage radiculaire...).

Bon, s'il faut vraiment conserver et couronner la 15 :
- vu que l'endo n'est pas possible (pas possible de trouver un quelconque canal même avec du verifix, et une lime 6/100éme)
- vu que celle-ci est complètement asymptomatique (pas de douleur à la percussion axiale, pas de sensibilité au froid, ni au chaud, pas de lésion apicale visible à la Rx)

=> je ferais une reconstruction avec du compo, collé de manière rigoureuse et avec des tenons dentinaires (à l'ancienne) pour accroitre la rétention...
Puis une taille prériphérique sous le niveau du composite pour obtenir un effet de cerclage et accroite la rétention de la couronne...
Je passerais toute fois par deux mois de couronne prov., histoire de m'assurer qu'aucun symptôme n'apparait.

Mais j'expliquerais bien au patient que ce n'est pas la meilleur solution, et que ça ne sera peut être pas durable dans le temps...

Au vu de la pano, de l'état paro, et des nombreux bricolages qu'a déjà subit ce patient, j'envisagerais une solution plus globale et avec un meilleur pronostic dans la durée.


Avatar jt8tlq - Eugenol
bogenom

20/01/2013 à 19h00

Merci pour vos commentaires

Ok, j'opte pour prepa, compo, prov emp pour coiffe definitve qui encercle bien
si il y a un probleme : la part à charge sera déduite du cout des implants


Utilisateur banni

28/01/2013 à 11h04

Déjà des rx convenable parce que là il est urgent d'investir dans du matos radio, ensuite élongation coronaire et reconstitution au compo+ provisoire pour test, si ok durant plusieurs mois couronne.


Avatar jt8tlq - Eugenol
bogenom

30/01/2013 à 19h24

finalement biodentine puis compo et provisoire par contre definitives dans la foulée
j'attends vos commentaires sur les belles photos qui suivent

002 yqahue - Eugenol
005 emdcr3 - Eugenol
008 azqqef - Eugenol