Cookie Consent byPrivacyPolicies.comCas du jour, vos propositions - Eugenol

Cas du jour, vos propositions

Ips emax tech zircad 3 i7hqhy - Eugenol
Emax

21/01/2013 à 22h22

Bonsoir à tous,

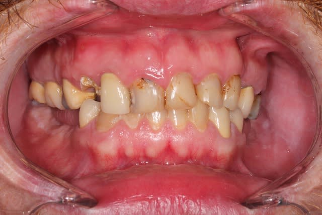
Patient, une trentaine d'années, état bucco-dentaire désastreux.
Le patient porte un stellite en bas. Il souhaite une réhabilitation fixe au maxillaire. J'ai bien un avis mais j'aimerais connaître le votre.
13/14/25 sont mobiles

Ci-joint pano et photo.

Merci pour vos avis.

Je suis dispo si vous avez des questions.

Pano21012013 yvkrx4 - Eugenol
Photo 21012013 oy1p91 - Eugenol

Pepsi tmi4vp - Eugenol
cartman

21/01/2013 à 23h00

Il a vraiment entre 10 et 20 k pour faire du vrai bon boulot ? Autrement ce sera rebelotte pour de la dentistertie patchwork jusqu'au complet dans 10 ans...


Ips emax tech zircad 3 i7hqhy - Eugenol
Emax

21/01/2013 à 23h07

Il est bien conscient de l'aspect financier.
Le secteur en bas est plutot bien rehabilité, le stellite bien mené.
On se concentre sur le haut à priori.


Images jm2g2g - Eugenol
dr_0le

21/01/2013 à 23h19

s'il a du temps et de l'argent, fixé en haut tout céram sur rmipp.. il semble qu'il reste suffisamment de tissu dentaire pour faire quelque chose de bien..

bien évidemment, phase de prothèse transitoire le temps des rte..

super cas si le mec suit =).. ya aussi besoin de motivation a l hygiene !


Ips emax tech zircad 3 i7hqhy - Eugenol
Emax

21/01/2013 à 23h55

Le kyste en regard de12/13 est quand même bien volumineux...


Images jm2g2g - Eugenol
dr_0le

22/01/2013 à 00h09

Voir si résection apicale après rte serait judicieux..ça permettrai de sauver 2 dents au moins....


carident

22/01/2013 à 00h14

J'ai un doute pour la 25, sinon pour les autres je tenterais la RTE. L'endo de la 27 va être balaise...


dochris33

22/01/2013 à 02h21

beau fistule en regard de la 13!


Image001 e0kg9q - Eugenol
clemsdent

22/01/2013 à 09h13

comme rien n'est vraiment sûr dans ce cas, je fais des rtt endo + inlay-core + provisoire d'abord, ça permet de tester la motivation du patient.
Ensuite après 2-3 mois, décision si résection ou pas ou extractions.
éventuellement à certains endroits des Implants, si il a fallu extraire trop et si un inter de bridge semble trop osé.

dans tous les cas, je ferais probablement remonter le secteur 3 (égression secteur 2?)


dentatronche

22/01/2013 à 11h02

La réponse à ta question c'est le patient qui va te la donner... qu'est ce qu'il souhaite?

Tu dis il veut de la fixe mais il veut quoi exactement? Il faut bien fixer les chose des le départ.

S'il est chaud pour réhabilitation totale tu fais un devis pour un bridge complet max. Majore les inlay core pour prévoir les dépose galère.
Va falloir réhausser la dvo, donc bridge du bas avec prothèse postérieur provisoire

dans un second temps implantation des secteurs postérieurs mandibulaires.

Bien évidemment prévenir le patient qu'il y aura pt etre des dents a enlever si surprise après dépose ou galère endodontique. Consigne tout ca dans le consentement eclaire. Et prends tous les chèque a l'étape des empreintes


letropezien

24/01/2013 à 10h09

dentatronche écrivait:
----------------------
> Va falloir réhausser la dvo,

POURQUOI ????

tu l'as testé ????


145 kssowa - Eugenol
Chicot30

24/01/2013 à 13h22

Réhausser la DVO pourquoi ? (facettes d'abrasion type bruxo sur les incisives inf ? on ne voit pas).
Sinon si tu veux la relever et que tu ne touches pas au bas ça va te faire des dents longues non ?
Après difficile à dire sans les photos tu dois le savoir mieux que moi.
Perso si je refais, je refais tout y compris le stellite du bas surtout si tu touches à la DVO.
Bref sinon même avis que tous, je refais tou le haut en fixe avec tou ce qui est rattrapable et le bas en fonction de ce que veux le patient et de son budget.

Bon courage c'est très intéressant comme cas, j'ai un peu la même chose chez moi mais sans stellite en bas avec un DVO effondrée et une jolie classe 2 avec un contact incisives palais. Je prévois une demi journée pour tout démonter mettre sous prov et éventuellement faire les RTE. Je sens qu'enfin je vais m'exprimer. Si je peux je prends des photos et je me lance.

--
"C'est parce que la vitesse de la lumière est supérieure à celle du son que certains paraissent brillants avant d'avoir l'air cons."


Ips emax tech zircad 3 i7hqhy - Eugenol
Emax

24/01/2013 à 17h43

Merci pour vos avis qui rejoignent globalement ma proposition.

-paro
-avulsion 28
-dépose des éléments prothétiques sur 17/16/14/12/25/26
-endo sur 17/16/15/14/13/12/25/26
-réalisation FM sur ces mêmes dents avec provisoires longue durée

Réévaluation après qq mois et prise de décision.
Le doute je l'ai sur 25 qui à mon avis ne sera pas conservable dans ce cas implants 24/25.
Doute aussi sur 12/13/14, je vais mener les endos au mieux et sans doute résection apicale et chir du kyste.
Mon traitement va sans doute évolué en fonction de la situation clinique.

Je prépare le devis et on verra ...
Si il ne fait rien c'est complet haut dans 5 ans.
Je vous tiens au courant et illustrerais le cas.

Emax