Cookie Consent byPrivacyPolicies.comabces 51 sur une petite de 2 ans et demi - Eugenol

abces 51 sur une petite de 2 ans et demi

domdididomdom

23/01/2013 à 00h20

qui se révèle être en plus ma petite niece.
Mon frère vient de m'appeler pour me faire constater l'enflure sur sa lèvre supérieur après être aller chez son généraliste , qui a diagnostiquer "une gingivite" :)
Enfin, celui ci a quand même eu le bon réflexe de la mettre sous clamoxyl.
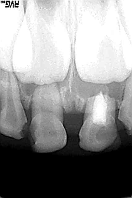
Elle était tombée sur les antérieures il y a un an et s'était pétée un petit fragment de la 51 ... pas de chance ça a évolué en nécrose à priori. Je confirme avec une radio vendredi (si j'y arrive).

Quelqu'un a t il déjà extrait une incisive de lait à une enfant si jeune ?

Si oui CAT ? Premedication ? MEOPA obligatoire ? AG ?
Et quid de l'espace qui ne sera comblé que dans 3 ans environ?

J'avoue que j’appréhende un peu quand même, je l'adore cette gosse..


doagui

23/01/2013 à 00h37

Je ne suis pas un pédo exclusif et je ne prétends pas etre d'aussi bon conseil qu'eux, mais en tout cas personnellement je ne ferais pas subir à ma nièce une extraction par mes soins. Je laisserais ça à un confrère de confiance, de préférence sous MEOPA je l'avoue, car quoi qu'on en dise une extrac reste traumatisante pour un enfant si jeune, alors autant qu'elle ne se rende compte de rien.

Pour le reste il faut maintenir l'espace d'une façon ou d'une autre, alors pourquoi ne pas faire une petite PAP éventuellement ?


MAUVE

23/01/2013 à 00h38

Pour faire la radio, l'anesthésie et l'extraction, c'est simple il ne faut pas que l'enfant bouge.
Pour l'aider à ne pas bouger: c'est le rôle des parents.
Ils assurent la contention physique si besoin.
S'ils ne sont pas d'accord, adresse à un stomato, qui fera ça sous ag.
Vu que c'est ta nièce, que tu n'as pas l'habitude et que tu appréhendes: délègue.
Bon courage.


MAUVE

23/01/2013 à 00h46

L'extraction est traumatisante si elle est réalisée de façon traumatisante, ce qui n'est pas une obligation.
On peut faire ça en douceur.

Quand à la PAP, la réalisée peut-être plus traumatisante pour l'enfant que de le laisser avec une dent absente.

Par contre l'éruption de la permanente est retardée lors d'extraction à cet âge là. Donc la définitive arrivera plutôt vers 7 8 ans.


doagui

23/01/2013 à 01h04

MAUVE écrivait:
---------------
> L'extraction est traumatisante si elle est réalisée de façon traumatisante, ce
> qui n'est pas une obligation.
> On peut faire ça en douceur.

Certes en théorie c'est possible. Mais là nous parlons d'une dent antérieure maxillaire, autrement dit d'une des zones les plus douloureuses à anesthésier. Meme les adultes je les préviens que c'est plus désagréable par là, alors avec une petite comme ça...

Mon plus gros echec en pédo était dans la meme situation : 3 ans je crois, dent traumatisée des mois plus tot, extraction à faire sur enfant a priori sage, mais il a hurlé lors de l'anesthésie et à partir de là c'etait fini, évidemment. Pourtant j'ai fait comme avec tous mes jeunes patients, explications, on s'entraine avec un instrument rond avant, on compte jusqu'à trois et on inspire fort, tout ça tout ça, et en général de cette façon les enfants ne sentent rien et certains me demandent quand je vais piquer alors que j'ai fini. Ajoute à ça une extraction (qui reste quand meme bien plus impressionnante qu'une pulpo ou un curetage de carie, on a beau dire l'enfant sentira bien que ça tire fort, anesthésite ou non) et je pense que tu as toutes les clefs pour les ennuis, d'où le MEOPA que je conseille.



> Quand à la PAP, la réalisée peut-être plus traumatisante pour l'enfant que de le
> laisser avec une dent absente.

Est-ce raisonnable de laisser l'espace se refermer ? Pourquoi créer un besoin d'ortho chez un enfant qui pourrait peut etre s'en passer autrement ?
On parle juste d'une empreinte alginate, ça vaut le coup d'essayer de présenter ça comme un truc ludique ("allez on mort dans le chewing gum" ou un truc comme ça), au pire si ça ne passe pas ok mais on aura essayé. Je me demande si l'empreinte serait envisageable sous MEOPA tient ? Je ne m'étais jamais posé la question ?


carident

23/01/2013 à 01h29

N'est-il pas possible d'envisager le traitement endodontique de cette dent nécrosée?


doczi

23/01/2013 à 08h00

pareil que carident, traitement endodontique et surveillence, après, au moindre problème extraction.


Avatar hjdsnm - Eugenol
TiGabi

23/01/2013 à 09h46

Il n'y a rien de systématique.

1/ Première consultation :
- Radiographie : si apex immature et/ou résorption et/ou infection endo-parodontale très étendue : avulsion. Si non et enfant coopérant : pulpectomie.
- Démonstration des instruments du dentiste : aspiration, eau en bouche, nettoyage avec un rotatif.
- Lors de cette démonstration, évaluer le comportement de l'enfant : communication verbale et non verbale (regards, gestes de protection, mimiques...). Evaluer alors si tu peux faire l'acte normalement ou avec prémedication sédative (Théralène) ou sous MEOPA ou adresser à un pédo.
Rien de systématique : il y a des petits polycariés de 2 ans à qui on peut refaire toute la bouche sans la moindre sédation.

2/ Acte :
- Anesthésie topique
- Aiguille courte et fine : injection entre 52 et 51, dans l'axe des dents, en transcortical. Injection d'une demi carpule. Un seul "moustique" et pas de sensation d'engourdissement de la lèvre.
- Davier : mouvements simultanés de rotation (racine ronde) et de traction.

Créer un climat d'acte "anodin". Un parent doit être présent en dessous de 3 ans : mais ce parent doit être zen et discret. Si l'enfant connait l'histoire de la petite souris, sait qu'il aura un cadeau car on enlève sa dent, il sera plus motivé.

Pas de prothèse à 2 ans et pour une dent : aucun intérêt esthétique (l'enfant préscolaire s'en fout), pas de problème phonatoire, pas ou peu de perte d'espace (et sans conséquence : les canines ne bougeront pas).


carident

23/01/2013 à 09h56

J'espère que ça pourra t'aider à prendre ta décision...


boxdistal

23/01/2013 à 10h59

privilégie la pulpec si l'état de la racine le permet, tu pourras te passer d'anesthésie vue la nécrose, je trouve que c'est beaucoup mieux vécu par un enfant de cet âge.


samuel.com

23/01/2013 à 11h33

alors là... je crois que tu es mal!
tu devrais demander conseil à ton associé qui est un spécialiste émérite de la pédodontie moderne, je ne vois que ça...


Image odged8 - Eugenol
ploc

23/01/2013 à 15h30

si necrose tu vas pouvoir eviter l'AL qui est l'acte le plus craint par une enfant de cet age
perso je tenterai la pulpec

sharon: pulpec a 3 ans sur dt necrosee et rx a 5 ans

61 suite zhfmok - Eugenol
Ttt 61 um5l69 - Eugenol

Avatar eug nol gr2wgp - Eugenol
Mitch-62

23/01/2013 à 16h21

ploc écrivait:
--------------
> si necrose tu vas pouvoir eviter l'AL qui est l'acte le plus craint par une
> enfant de cet age
> perso je tenterai la pulpec
>
> sharon: pulpec a 3 ans sur dt necrosee et rx a 5 ans

Avec quoi as-tu obturé cette racine?


Image odged8 - Eugenol
ploc

23/01/2013 à 16h27

IRM consistance creme epaisse


samuel.com

23/01/2013 à 16h47

Très joli cas et belle réussite
Combien de temps a tu pris pour réaliser cette acte ?
IRM pure ou OHCA puis IRM ?
L'enfant s'est il laissé faire? l'as tu premediqué ?

Merci de vos avis.

Sinon pour une extraction éventuelle
j'ai peut être une idée un peu saugrenue mais bon...
comme c'est ma nièce, je me dis que je peux tenter le coup pendant son sommeil.
Lui donner une prémédication avant qu'elle aille dormir,
et 1h après en sommeil profond, faire une anesthésie de contact costaude type Oraquix
puis intraligamentaire
et enfin davier, ni vu ni connu.

C'est un peu fourbe mais ça a peut être une chance de marcher
Qu'en pensez vous ?


RépondreCiter
appoline29

23/01/2013 à 16h55

Je pense que j'aurais aussi tenté la pulpec .

Je l'ai déjà fait sur une petite fille de 3 ans et ça s'est très bien passé ! Elle était impressionnante ! Bien plus tranquille que certains adultes ! Sa maman était avec elle et était remarquable par son aide à mes côtés , des parents comme on rêverait en avoir des tonnes au cabinet .

Cette petite a déménagé par la suite , je ne l'ai donc pas suivie jusqu'à la perte de sa dent de lait .

Je soigne aussi ma nièce depuis quelques temps , ce n'est jamais simple mais avec nous ils se sentent en confiance , surtout à cet âge où on est vite très impressionné par ses inconnus .

On peut jouer sur le déguisement , comme elle te connais en "civil" et que tu seras déguisée en dentiste, elle peut aussi se déguiser pour venir !


appoline29

23/01/2013 à 16h58

J'ai dit "déguisée " mais tu n' es peut être pas une fille en fait ..... !!


Enfin ....chacun fait ce qu'il veut quand il s'agit de se déguiser !


Image odged8 - Eugenol
ploc

23/01/2013 à 16h58

IRM pur en direct apres bien sur plein d'hypo

mauvaise idee de la prendre par surprise:c'est une joke?
elle va forcement se reveiller ,avoir un mvt de crainte meme si elle n'a pas mal,au mieux tu la traumatises pr un certain temps(et comme tonton,finis les calins,tu es devenu le gd mechant) ,au pire tu casses ton aiguille ou la blesse

pas de Meopa ds ce cas,juste un peu d'hypnose et l'effet ploc:)(private joke pr les anciens eugenoliens)


carident

23/01/2013 à 17h10

samuel.com écrivait:
--------------------
> Très joli cas et belle réussite
> Combien de temps a tu pris pour réaliser cette acte ?
> IRM pure ou OHCA puis IRM ?
> L'enfant s'est il laissé faire? l'as tu premediqué ?
>
> Merci de vos avis.
>
> Sinon pour une extraction éventuelle
> j'ai peut être une idée un peu saugrenue mais bon...
> comme c'est ma nièce, je me dis que je peux tenter le coup pendant son sommeil.
> Lui donner une prémédication avant qu'elle aille dormir,
> et 1h après en sommeil profond, faire une anesthésie de contact costaude type
> Oraquix
> puis intraligamentaire
> et enfin davier, ni vu ni connu.
>
> C'est un peu fourbe mais ça a peut être une chance de marcher
> Qu'en pensez vous ?

Si tu veux en faire une insomniaque à vie, qui ne dormira que d'un œil même en sommeil profond... C'est ce qui faut faire!


domdididomdom

23/01/2013 à 17h17

bon mauvais idée alors
et non c'était pas une joke, ca me trottait dans le tete
j'attends la radio et j'aviserai


labelledeK10

23/01/2013 à 22h03

qui dit nécrose, dit résorption pathologique...
qui dit résorption pathologique dit endo impossible,

la dent est à extraire, et pour une seule dent, l'espace n'a pas à être maintenu.
vous imaginez un enfant de deux ans avec un berlingot en résine? pas moi!
--
je plie et ne romps pas.


Image odged8 - Eugenol
ploc

23/01/2013 à 23h05

Avec un berlingot non mais avec une attelle en compo + fibres collée sur laquelle on remet la couronne de sa dent oui!
je vous cherche la photo demain


Avatar hjdsnm - Eugenol
TiGabi

23/01/2013 à 23h49

Hello Ploc :)
L'IRM contient de la résine : c'est donc un matériau non résorbable et contre-indiqué pour un traitement canalaire.
Voulais-tu parler de ZnO/Eugenol ou de CaOH ?


Image odged8 - Eugenol
ploc

24/01/2013 à 00h17

Ds la littérature,TiGabi,je sais
Mais je pourrais te montrer(et il doit y avoir des photos qui perdurent sur eugenol) de cas de racines traitées a l'IRM qui se résorbent: je me suis amusée qqes annes a suivre et contrôler pr pouvoir argumenter et pourquoi pas mettre un petit(tout petit) article mais comme tu sais,arrêtée ds mon élan
Cela dit ,ts les cas suivis ont vu leurs racines se résorber...
L:IRM est a une consistance inhabituelle cependant: legeremnt plus epais,que crème fraiche épaisse
Cela permet de rajouter de suite de la poudre pr le mettre a consistance normale ds la chambre puis des sa prise s'enchaîner sur CVI ou combo

Essaye tu verras:)


oglala

24/01/2013 à 12h23

Je suis sidéré que l'on puisse envisager l'extraction d'une 51 à 2ans et demi.
Les enfants sont très raisonnables,et comprennent ce que l'on envisage de réaliser,pour peu que l'on le leur explique.

Enfant de 4ans(Médecin,gingivite) fistule.51,ouverture obturation canal,tout rentre dans l'ordre.Surveillance de la résorption.
On a le droit de faire simple.


12