Tous les forums
un ch'ti cas de ROG
27/01/2013 à 16h22
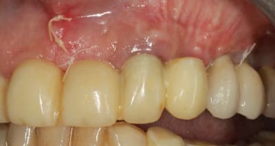
oui tu as raison pxav, la patiente a cassé son bridge pro et je n'ai pas assez bien repoli au niveau des fractures, quand aux embrasures je ne peux pas les ouvrir plus pour ne pas fragiliser le bridge provisoire.
27/01/2013 à 16h40
Bonne explication,c’était effectivement le seul point faible, que personne n'aurait remarqué si tu n'avais pas publié la photo.
c'est vraiment impitoyable les photos, mais si on ne montre pas tout, on triche un peu, donc bravo et merci.
--
xbk
"Si tous ceux qui croient avoir raison n'avaient pas tort, la vérité ne serait pas loin" Dac Pierre
28/01/2013 à 09h29
mac écrivait:
-------------
>
> @vava: c'est nouvelle patiente.
la patient avait un bridge avec 11, 21,23 en inter ou rien en 23? une pono pré-op merci
28/01/2013 à 10h11
Joli ! peux tu préciser le plan de traitement envisagé : comptes tu conserver la latérale ?
08/02/2013 à 11h19
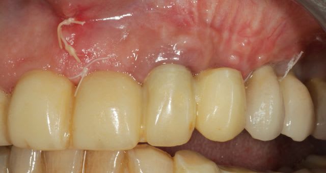
je n'avais pas vu vos messages, la 22 vas sauter et je vais faire un bridge 21-23, dans ce secteur, mais il s'agit d'un cas de réhabilitation globale.
voici la cicatrisation à deux semaines.
12/02/2013 à 18h40
mac écrivait:
-------------
> je n'avais pas vu vos messages, la 22 vas sauter et je vais faire un bridge
> 21-23, dans ce secteur, mais il s'agit d'un cas de réhabilitation globale.
>
> voici la cicatrisation à deux semaines.
a ce rythme t’es parti pour 1 an de traitement, soigne au moins un peu tes provisoires