Cookie Consent byPrivacyPolicies.comSpli, bloc, ROG, ou coffrage ? - Eugenol

Spli, bloc, ROG, ou coffrage ?

Icon poker h4nm2d - Eugenol
jeff

01/02/2013 à 13h55

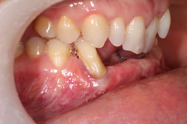
Autre cas, un peu plus ardu a mon avis.

J'ai un conseil alsacien pour un coffrage. Mais pour un premier prélèvement postérieur, c'est pas l'intervention la plus simple, compte tenue du peu de volume en rétromolaire.

le plan de traitement consiste a poser 4 implants 43 42 33 32 et un bridge de 6 éléments.

Je viens d'extraire 42 et de débuter l'ortho.

Peut être une nouvelle piste avec un coffrage et membrane polymère..

Qu'en pensez-vous ?

Jodf dddfwl - Eugenol
003 ypb11w - Eugenol
005 otjnpl - Eugenol
Coupe post ulae1w - Eugenol
J001 qu1prj - Eugenol
J - Eugenol
J - Eugenol
J - Eugenol

S2y2o1v7q53ws4r5wy6ou8czrpom - Eugenol
pxav

01/02/2013 à 21h40

Alors là, expansion interdite...


--
xbk
"Si tous ceux qui croient avoir raison n'avaient pas tort, la vérité ne serait pas loin" Dac Pierre


Henri

02/02/2013 à 00h49

Bonjour,
Quelle épaisseur as tu au niveau des 3?. Si c'est suffisant, que penses tu d'implanter uniquement en 33 et 43?. Incisives et canines ont l'air de se placer quasi sur une ligne droite sur ton Wax up...


flicflac

02/02/2013 à 04h40

pourquoi pas un bloc symphysaire?


Icon poker h4nm2d - Eugenol
jeff

02/02/2013 à 17h16

henri, il y a 3 mm au niveau des canines, et un bridge de 6 éléments sur 2 implants, je trouve cela un peu chaud.

Flic flac, comme ça le bloc ?

c'est vraiment petit, et on est sur du D1, pas évidement a prelever.

Greffe l9jhg5 - Eugenol

Photo pluton1b h9n4ea - Eugenol
pluton

02/02/2013 à 18h42

jeff écrivait:
--------------

> c'est vraiment petit, et on est sur du D1, pas évidement a prelever.

ni à greffer/roger non plus...très peu de vascularisation dans ce type d'os...
donc, perso, je ferais une ostéotension (tu prends un mini foret pour les vis d'ostéosynthèses par ex) pour perforer la corticale de partout sous AL et 45j après tu greffes
pour la greffe, un bloc biobank par ex...


Icon poker h4nm2d - Eugenol
jeff

02/02/2013 à 22h08

l'osteotension, j'ai jamais fait. Mais sur ce coup, c'était prévu.

Pas de souci de perforer la muqueuse au foret. Pas trop de suite pour le patient ?


3f3boxni50k58rq7e9ce9ddqrxgk - Eugenol
dentiste57

02/02/2013 à 23h58

non, pas de suites , même pas douloureuses..


Icon poker h4nm2d - Eugenol
jeff

06/02/2013 à 10h44

A part le fait que l'ostéotension s'impose, pas beaucoups d'avis sur la chir elle-même...

Tout le monde sèche ?


Photo pluton1b h9n4ea - Eugenol
pluton

06/02/2013 à 10h55

bien si...je t'ai donné une piste...ostéotension, bloc...

tien j'en ai fais un la semaine dernière (enfin 1 bloc coupé en 2 pour 2 sites plus exactement...) de biobank...NI-CKEL..., très belle cicat à 4 jours post-op...j'ai hâte de voir le résultat à 6 mois pour poser les implants...
en plus chez biobank, ils sont très sympa...


Icon poker h4nm2d - Eugenol
jeff

06/02/2013 à 11h46

En fait, à strasbourg, Guy nous a sorti une étude montrant que sur les 2 -3 mm vestibulaire, les greffes en bloc allogene étaient constitué d'un mélange conjonctif -os ( " je déconseille à 300 % !" ). C'est pour cela qu'il fait beaucoup de coffrage.

Maintenant, je ne saurai dire de quel bloc il s'agissait. je pense qu'il est impératif de ne pas toucher à la paroi cortical du bloc.

Tu mets une membrane dessus, ou rien ?


Photo pluton1b h9n4ea - Eugenol
pluton

06/02/2013 à 12h00

bloc cortico-spongieux...oui, pas que du spongieux
en plus chez biobank, ce bloc est en arc de cercle au niveau cortical donc çà devrait en plus arranger tes affaires sur cette zone antérieure...

membrane collagène dessus (moi en tout cas, oui...) pour pas que les têtes de vis ne blessent, entre autre, et que le biomat éventuellement complémentaire ne s'échappe pas...


Blason dql7mj - Eugenol
growler

06/02/2013 à 12h03

la question est toujours un peu la même pour la reconstruction de volume: quelle temporisation ?

Ici il semble que le déficit soit essentiellement horizontal, dans ce cas je fais une ROG de gros volume avec un mélange de matériau très peu résorbable ostéoconducteur et d'os autogène (apparemment tu as de beaux sites de prélèvement dans les zones ramiques), bien sûr membrane parfaitement stabilisée et pas d'appui sur la zone (on peut aussi faire du "tenting" pour maintenir le volume). Le plus difficile en zone symphysaire sera de refermer sans tensions qui sont néfastes (risque de réouverture mais aussi de perte de volume), tout dépend de la profondeur de ton vestibule. parfois on est quasi obligé de procéder à une 2ème ROG le jour de la pose des implants pour compléter le volume.
Autre possibilité, si prélèvement ramique, tailler deux lamelles de corticales et faire des coffrages remplis de la même façon que précédemment mais fermeture difficile là encore.
Je pencherais plus ici pour de la ROG avec membrane en prévenant le patient qu'il en aura pour un moment.


Icon poker h4nm2d - Eugenol
jeff

08/02/2013 à 12h45

Pour la temporisation, c'est réglé, puisque la patiente est comme ça depuis des lustres : pas de provisoire.

Sinon, je me retrouve avec un conseil de bloc, de ROG, ou de coffrage .. :)

Je pense que je vais faire faire une maquette 3D de la mandibule d'apres scanner d'ici un mois ( je laisse cicatriser au niveau de 42 ), pour poursuivre ma reflexion, et eventuellement préparer les blocs a l'avance, si bloc.


Icon poker h4nm2d - Eugenol
jeff

18/02/2013 à 22h56

Voici 3 possibilités traité sur la maquette mandibulaire.

2 blocs biobank 20x10 :700 € + membrane et vis

Coffrage avec prélèvement ramique : biomateriaux + vis , de la membrane et de la sueur .

Coffrage avec membrane en PDLLA 126x11x0,8mm :300 € ttc + biomatériaux ( autogene + minéros, c'est pas mal ) + vis d'espacement et de fixation + membrane collagene ( http://www.biagginimedical.com/#!sonicweldrx/civk )

L'étude me fait éliminer le coffrage ramique, car je me retrouve avec une assez faible épaisseur au niveau de 32 42, ( sans parler de la difficulté du prélèvement, vu le peu d'os disponible ).

Reste les blocs, et un coffrage en adaptant la technique sonicweldrx en fixant la membrane PDLLA avec des vis d'ostéosynthèse.

j'avais cru voir dans un kit de vis, des vis d'espacement avec une minivis dans la tête, pour fixer la membrane , mais je ne sais pas si j'ai rêvé, je ne retrouve pas le site web correspondant ( voir mon schéma )

112  copier  g6ozmy - Eugenol
110  copier  qcyuhr - Eugenol
108  copier  qr7bvw - Eugenol
107  copier  sklpcc - Eugenol
104  copier  cco67f - Eugenol
099  copier  htyt93 - Eugenol
Vis dtnsba - Eugenol
111  copier  bydh9z - Eugenol
109  copier  rsuv87 - Eugenol

billabong

18/02/2013 à 23h41

Bravo pour les maquettes, très beau travail de réflexion!
Sans hésiter j'opte pour le prélèvement symphysaire. tu n'es pas obligé de greffer au niveau des 31 et 41. Ce qui te laisse suffisamment d'os pour reconstruire les sites implantaires (4 implants, je suis de ton avis). Attention à la fermeture par contre, il y a pas mal de tension musculaire à ce niveau et la dissection du lambeau n'est pas sans risque sur le rameau labial du nerf mentonnier.

Montre nous la suite surtout.


S2y2o1v7q53ws4r5wy6ou8czrpom - Eugenol
pxav

19/02/2013 à 00h00

deux blocs biobank préparés à l'avance et roule...

--
xbk
"Si tous ceux qui croient avoir raison n'avaient pas tort, la vérité ne serait pas loin" Dac Pierre


3f3boxni50k58rq7e9ce9ddqrxgk - Eugenol
dentiste57

19/02/2013 à 00h36

j'aime aussi beaucoup le travail de réflexion car il montre que l'on a à faire à un praticien qui se casse le cul pour ses patients.
la version ROG me plait bien avec les vis FAST (enfin je pense) mais il s'agit d'une zone avec trop de risques de mobilisation musculaire pour une simple membrane.
la greffe en onlay me semble plus raisonnable, d'autant que tu disposes déjà d'un modèle stéreo que BIOBANK pourrait facilement exploiter comme te l'a dit pxav.


Photo pluton1b h9n4ea - Eugenol
pluton

19/02/2013 à 01h26

le modèle stéréo, c'est bibi...;-)
je te tiens à disposition, jeff, le fichier stl si tu en as besoin...;-)


Smile beach jgh0a1 - Eugenol
Céramik

19/02/2013 à 02h30

Je pour la forme, faut 2 vis par bloc, sinon ça bouge...

--
Céramik


Icon poker h4nm2d - Eugenol
jeff

19/02/2013 à 09h25

Encore merci, pluton. J'avais évité le remerciement public , tu va être submergé de demande de modèle ... :).
Pour la ROG, c'est bien des vis à joseph sur le modèle. L'idée était justement de ne pas utiliser une simple membrane, mais une en polymère . En 0.8 MM d'épaisseur , c'est sûrement très rigide. On peut en plus prendre à la symphyse une ou deux rondelle avec une trephine que l'on fore au milieu, pour servir d'entretoise et bien fixer la membrane en espacement. Le tout recouvert par une membrane collagène.

Sur le papier, cela me semble "élégant ", comme idée .

Mais il est vrai que la gestion des tissus va être technique, je vais peut être me simplifier la première partie. Je vais contacter biobank pour voir ce que l'on peut faire. Je vois aussi posit dans un mois.

Pour le fichier STL, il est issu du cône beam d'étude , la 42 à été extraite depuis. Il faudrait peut-être refaire un autre cône beam, ou un scan si travaille avec posit, il n'aime pas le kodak 9000 !


Android jyzura - Eugenol
Tavéca

19/02/2013 à 17h43

jeff écrivait:
--------------
> L'idée était justement
> de ne pas utiliser une simple membrane, mais une en polymère . En 0.8 MM
> d'épaisseur , c'est sûrement très rigide. On peut en plus prendre à la symphyse
> une ou deux rondelle avec une trephine que l'on fore au milieu, pour servir
> d'entretoise et bien fixer la membrane en espacement. Le tout recouvert par
> une membrane collagène.
>
> Sur le papier, cela me semble "élégant ", comme idée .


je partage ton opinion et j'avoue que je serais curieux de voir les résultats et le cas clinique.


> Mais il est vrai que la gestion des tissus va être technique,

Et les petits ballons de chez joseph justement ?


je vais peut être
> me simplifier la première partie. Je vais contacter biobank pour voir ce que
> l'on peut faire.

C'est ce que je ferais aussi parce que je suis sûr de savoir faire.


Icon poker h4nm2d - Eugenol
jeff

20/02/2013 à 17h43

J'ai contacté biobank.

Les petits ballons osmed, + 680 € :(

L'idée est bonne, mais si j'ajoute 2 blocs, deux membranes , 4 vis, les champs, j'arrive a 1780 de matos, pour un devis de greffe à 1280 ! gloups !

A propos de membrane, sur un bloc, faut il avoir une protection longue durée avec une membrane type mem-lok, ou une jason fleech simple collagene rapide peut suffire ?


P1010130 jpci1f - Eugenol
MarcB6

20/02/2013 à 19h50

Salut Jeff,
Tu as aussi une option sans greffe vu qu'il n'y a pas de nécessité esthétique absolue d 'augmenter le volume de ce site.
Ostéotension du site à implanter
Régul légère de la crête
pose de 2 implants de diam 3.3 en 33 et 43
et 2 implants monoblocs en 32 et 42 pour sécuriser le traitement.
Les implants de 3.3 et les monoblocs sont parfaitement fiables aujourd'hui.

Marc


Photo pluton1b h9n4ea - Eugenol
pluton

20/02/2013 à 22h12

Marc pour avoir eu les fichiers dicom et le modèle "en vrai" dans les mains, c'est très très fin et très très dense
je pense sincèrement que les options d'augmentations sont plus sages...et perso, j'ai ma préférence pour un bloc usiné chez biobank...juste à ouvrir (après ostéotension, là on est tous d'accord là dessus...) et ostéosynthèser, une membrane pour protéger et zou


12