Tous les forums
Par exemple :
04/02/2013 à 17h52
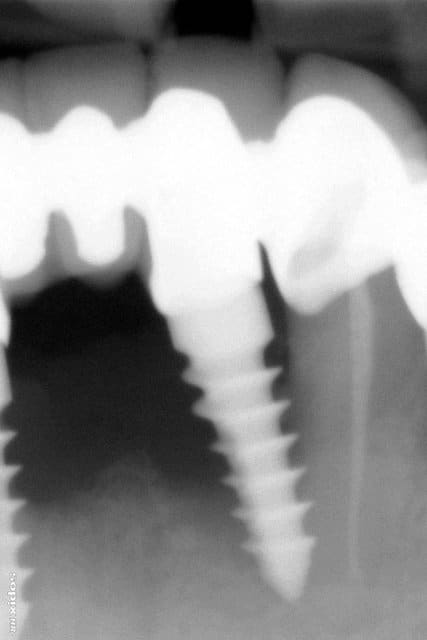
Je vous joins une panoramique, j'ai dû faire une capture d'écran, j'espère que c'est lisible.
Patient la cinquantaine, pas d'ATCD médicaux, fumeur occasionnel, motivé, du tartre en pagaïe.
Reconstruction par deux bridges complets, dento-implanto-portés, effectuée de l'autre côté de la frontière par praticiens français.
Le travail a environ 18 mois sur cette radio.
Depuis, la 33 a été dépulpée à travers la structure, les autres attendent.
Patient satisfait du résultat pour le moment, vient pour une visite de routine.
CAT?
04/02/2013 à 17h56
quelle frontière?
CAT: retour à l'envoyeur! perso je ne touche pas, j'ose même pas regarder d'ailleurs!
04/02/2013 à 18h05
Piccalilly écrivait:
--------------------
>> Reconstruction par deux bridges complets, dento-implanto-portés, effectuée de
> l'autre côté de la frontière par praticiens français.
>
> Le travail a environ 18 mois sur cette radio.
>
Elle aurait du choisir un menuisier qui travaille en France
04/02/2013 à 18h15
arno écrivait:
--------------
> quelle frontière?
> CAT: retour à l'envoyeur! perso je ne touche pas, j'ose même pas regarder
> d'ailleurs!
espagnole,
bien sûr on ne touche pas, et retour à l'envoyeur,
mais j'ai informé, montré, expliqué, et mis en place des méthodes d'HBD "parodonto-implanto-conscientes"
04/02/2013 à 18h17
vava écrivait:
--------------
> Piccalilly écrivait:
> --------------------
> >> Reconstruction par deux bridges complets, dento-implanto-portés, effectuée de
> > l'autre côté de la frontière par praticiens français.
> >
> > Le travail a environ 18 mois sur cette radio.
> >
>
>
> Elle aurait du choisir un menuisier qui travaille en France
mdr!
Tu as noté comme moi l'excellent pas de vis qui nous assure une rétention à toute épreuve!
04/02/2013 à 18h30
pour ceux que çà intéresse...c'est des implants trinon...;-)
http://osseosource.com/dental-implants/product_info.php?products_id=581
04/02/2013 à 19h12
Intérêt du pilier/implant une pièce? ça sert vraiment à empêcher la péri-implantite?
04/02/2013 à 19h15
youn écrivait:
--------------
> Intérêt du pilier/implant une pièce? ça sert vraiment à empêcher la
> péri-implantite?
la preuve que non...
04/02/2013 à 19h31
Ouh....
Je crois que j'ai eu la grande sœur de ton patient.
Mêmes vis à bois. Mêmes péri-implantites.
Je l'ai renvoyée au SAV, ils ont préconisé un collyre antibio à instilles autour des implants foireux.
Elle aussi elle était contente.
Jusqu'à la fracture de la céramique...;-)
04/02/2013 à 19h32
pluton écrivait:
>
> la preuve que non...
Oui mais n'y a t'il pas d'études sérieuses sur le sujet avec des gens qui posent correctement les vis?
04/02/2013 à 19h37
pluton écrivait:
----------------
> pour ceux que çà intéresse...c'est des implants trinon...;-)
>
> http://osseosource.com/dental-implants/product_info.php?products_id=581
J'aurai dit des Casto, ils sont très fidèles
Bon je sors !
04/02/2013 à 20h05
Je connais pas grand chose en implantologie.. mais il me semble que , ici, il y a TOUT ce qu'il ne faut SURTOUT pas faire, non ?
Implant mal enfoui, limite cervicale anti-anatomique
Hybride dent naturels/implant, à éviter à tout prix.
Implant trop prêt de la racine d'une dent naturelle.
Notions d'hygiène absentes.
autres..
05/02/2013 à 08h06
paradoxe écrivait:
------------------
> Je connais pas grand chose en implantologie.. mais il me semble que , ici, il y
> a TOUT ce qu'il ne faut SURTOUT pas faire, non ?
> Implant mal enfoui, limite cervicale anti-anatomique
> Hybride dent naturels/implant, à éviter à tout prix.
> Implant trop prêt de la racine d'une dent naturelle.
> Notions d'hygiène absentes.
> autres..
>
>
>
perte du capital osseux et financier