Cookie Consent byPrivacyPolicies.comL'art de tenir sa brosse par les poils - Eugenol

L'art de tenir sa brosse par les poils

7313935 les metaux lourds roche et rouleau devil cornes main signe avec un bracelet en cuir noir cloutes yoxyzx - Eugenol
kinetic

11/02/2013 à 11h06

Bonjour à tous.

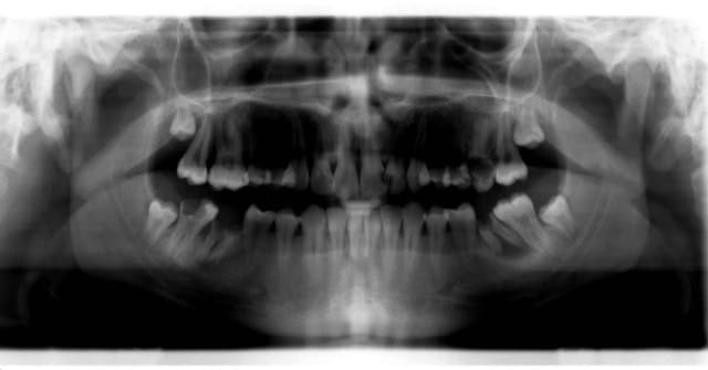
Petit cas de la semaine dernière.

Patient qui vient pour une douleur.
Mon grand jeu avec ce genre d'urgence, c'est de deviner la dent qui fait mal en regardant la pano avant de voir le patient.

au pif, je mise tout sur la 36.

Le patient arrive, en fait il a mal à droite surtout au froid.
Zut, c'est la pulpo de la 47 qu'il va falloir faire.

a ce stade je n'ai pas encore vu la bouche, j'ai juste eu une description des douleurs.

Le patient me demande alors :
- on pourra faire un détartrage aussi ?
Moi :
- euh... oui on verra ça une prochaine fois car il y a plus urgent.

Il s'installe, ouvre la bouche. Et... je vous laisse admirer la photo.
Quand j'ai vu ça je n'ai pas pu resister : "vous savez pour le detartrage, il faut déjà se brosser les dents. Mais il ne faut pas tenir la brosse par les poils. Car là c'est franchement sale. et le detartrage c'est franchement un détail à ce stade".

J'ai fait sa pulpo sur la 47 aprés avoir traversé le capuchon gingival qui faisait office de composite occluso distal.

Le gars a 18 ans, une bouche bien crade, et j'ai retrouver de la plaque dentaire sur mon ecarteur photo...

Reviendra-t-il ? Je ne sais pas. En tout cas il m'a juré qu'il avait arreté les bonbons depuis longtemps... Belle motivation...



Img 0312 rlvazk - Eugenol
Panopano drersu - Eugenol

Images jm2g2g - Eugenol
dr_0le

11/02/2013 à 11h25

parfois l'impression de ramer contre le courant...


7313935 les metaux lourds roche et rouleau devil cornes main signe avec un bracelet en cuir noir cloutes yoxyzx - Eugenol
kinetic

11/02/2013 à 11h31

oh oui...

A chaque fois que je vois des cas celui ci (bien qu'il soit relativement soft par rapport à certains) je me demande comment on peut se regarder dans une glace sans réagir.

S'ils ne prennent pas le temps de se laver les dents je n'ose pas imaginer le reste. Je plains surtout sa copine s'il en a une, même si je me doute qu'elle est du même ordre.

De toute façon "mes parents ont des dentiers" qu'ils me répondent souvent. Au père de répondre "il n'y a pas de déshonneur à en avoir"

No comment.


Images jm2g2g - Eugenol
dr_0le

11/02/2013 à 11h58

beau pays latin ...


41467 100000418256397 4215 n ypxyho - Eugenol
Blette

11/02/2013 à 16h30

jeune fille 23 ans...
si je cherchais pas du boulot, je referais pas mes dents,
mais la, je me fais virer de tous mes entretiens d'embauche....
sans blague....

Img 4862 kmfg3x - Eugenol
Img 4863 li8ywm - Eugenol

Eldrya

11/02/2013 à 17h03

...
Les dernières photos me laissent sur le c**
On dirait des caries du biberon... des habitudes persistantes? ^^


7313935 les metaux lourds roche et rouleau devil cornes main signe avec un bracelet en cuir noir cloutes yoxyzx - Eugenol
kinetic

11/02/2013 à 17h34

a 23 ans c'est plus le biberon. Elle doit teter autre chose riche en sucre...


Images jm2g2g - Eugenol
dr_0le

11/02/2013 à 18h06

j'en ai jamais des comme ça moi!!! :/


7313935 les metaux lourds roche et rouleau devil cornes main signe avec un bracelet en cuir noir cloutes yoxyzx - Eugenol
kinetic

11/02/2013 à 18h56

Je peux t'en adresser si tu veux.

Comme celle ci : 21 ans.

Img 0038red gdsv1u - Eugenol

01 ukhwbq - Eugenol
ʎqqoq

11/02/2013 à 19h11

Je parie qu'elle venait pour un blanchiment ^^


7313935 les metaux lourds roche et rouleau devil cornes main signe avec un bracelet en cuir noir cloutes yoxyzx - Eugenol
kinetic

11/02/2013 à 19h23

Presque.

Elle venait pour refaire ses deux centrales et parraissait trés motivée.

Il y avait un paquet de caries un peu partout aussi.

J'ai réussi à lui faire utiliser la brosse a dents avec un résultat encourageant dés le deuxième rendez vous.

Du coup je me suis lancé dans 2 endos. Elle n'est jamais revenue ensuite. Peut etre que ses deux centrales se sont couronnées toutes seules. Du moins c'est la seule explication que j'ai trouvé.

Mais je n'ai rien perdu, car je me sers de sa photo pour expliquer aux jeunes ado l'utilité du brossage. La question qui tue : "embrasserais-tu cette fille ?"

Endo nymw0d - Eugenol

malimor33

11/02/2013 à 20h27

Vous pouvez poster tout ça sur le championnat de France de bouche pourrie...


steph94

12/02/2013 à 16h11

Son mec est diabétique ?

kinetic écrivait:
-----------------
> Je peux t'en adresser si tu veux.
>
> Comme celle ci : 21 ans.


olivier

13/02/2013 à 13h09

steph94 écrivait:
-----------------
> Son mec est diabétique ?
>
> kinetic écrivait:
> -----------------
> > Je peux t'en adresser si tu veux.
> >
> > Comme celle ci : 21 ans.


classe ....